Skip to main content

Perikardiecyste - en sjælden årsag til thoraxsmerter

Christian Backer Mogensen & Henrik Ømark Petersen

2. nov. 2005
5 min.

Prævalensen af perikardiecyster er estimeret til 1:100.000 (1). Mere end 50% er asymptomatiske og tilfældige fund. De kan være uændrede livet igennem, men kan ved tilvækst give symptomer (2).

Sygehistorie

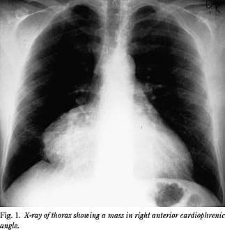
En 38-årig mand, der var rask fraset catarrhalia to uger tidligere, blev indlagt på et lokalsygehus efter et døgns højresidige skuldersmerter og senere respirationssynkrone smerter retrosternalt. Objektivt fandtes der let halsvenestase med patienten i siddende stilling samt pulsus paradoxus, men i øvrigt var han ikke hæmodynamisk eller respiratorisk påvirket. Temperaturen var 37,5 °C. CRP var 57 mg/l, og leukocyttallet var 16,9 × 109 /l. Øvrige værdier inklusive koronarenzymer var inden for normalområdet. Et ekg viste sinusrytme uden tegn på iskæmi eller pericarditis. Et røntgen af thorax viste en stor, rund struktur langs højre hjerterand. Strukturen målte ca. 10 cm i diameter (Fig. 1 ). En transtorakal ekkokardiografi (TTE) afslørede en cysteagtig homogen proces langs højre atrium, der komprimerede især højre atrium. De venstresidige hjertekamre var normalt dimensionerede med god ventrikelkontraktion og velfungerende klapper.

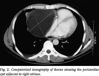
Patienten blev overflyttet til thoraxkirurgisk specialafdeling, hvor ovenstående blev bekræftet ved en CT (Fig. 2 ).

Patienten fik det næste døgn temperaturstigning til 38,9 °C og kortvarig CRP-stigning til 492 mg/l, der remitterede spontant uden antibiotisk behandling. Der var ingen vækst i venyler. Der blev herefter foretaget cysteresektion via sternotomi. Operativt fandt man en knytnævestor, intraperikardialt beliggende, stilket, lobuleret cyste, som indeholdt 450 ml klar væske. Cysten blev fjernet efter fridissektion. En histologisk undersøgelse viste mesotelbeklædt cystevæg uden malignitet. I cystevæsken sås en del makro-fager, men ingen maligne celler, og en dyrkning var uden vækst.

Det postoperative forløb var ukompliceret, patienten blev udskrevet den sjette postoperative dag og var ved klinisk efterkontrol uden klager. Der blev ikke foretaget røntgen af thorax eller TTE.

Diskussion

Perikardiecyster er kongenitte benigne dannelser som resultat af manglende fusion af mesenkymale lakuner ved perikardiet (1), de er hyppigt enkamrede uden sammenhæng med de omgivende organer og varierer i størrelse fra 1 cm til 15 cm eller mere. Placeringen er oftest anteriort i højre kardiofreniske vinkel, men kan findes andetsteds, eksempelvis i mediastinum. Malignitet er ikke beskrevet (2).

Hvis cysten vokser, vil påvirkningen af de omgivende strukturer give symptomer (3) som dyspnø, prækordialsmerter, pleurale smerter eller dyspepsi (4). Tilstanden kan kompliceres med atrieflimren, cysteruptur, kompression af højre hjertehalvdel med hjertesvigt (5), blødning i cysten, infektion og erosion af en ventrikelvæg (6), torsion eller hjertetamponade (7).

Differentialdiagnostiske overvejelser er ectasia cordis af anden årsag, diaphragmahernie, andre mediastinale eller diafragmale tumorer, solide hjerte- og perikardietumorer, ekkinococcyste, thymoma eller lungetumor (3-5).

Ved røntgenundersøgelse af thorax fremtræder cysten som en velafgrænset homogen struktur. Diagnosen styrkes med TTE (8), som muliggør en opmåling af cysten og en afgrænsning fra hjertet. Yderligere afklaring sker ved transøsofagal ekkokardiografi og CT af thorax (9).

Asymptomatiske, tilfældigt opdagede cyster er ikke behandlingskrævende, og der er beskrevet spontan remission (10). Symptomgivende cyster kan enten aspireres med senere risiko for recidiv eller fjernes ved torakoskopi, subsidiært torakotomi ved store cyster (2). Ved tegn på erosion mod hjertet og infektion anbefales adgang til kardiopulmonal peroperativ bypass (6).

I det her omtalte tilfælde var placering, symptomer og diagnostik som beskrevet i litteraturen. På grund af cystens størrelse, diagnostisk usikkerhed og ønske om radikal fjernelse valgte man den angivne operative metode. Patienten fik præoperativt feber, leukocytose og forhøjet CRP med spontan remission. Der kunne ikke påvises nogen sammenhæng mellem den febrile episode og cysten. Ved operationen fandt man ingen tegn på lækage. Måske har patienten haft viral pleuritis, og cysten blev tilfældigt afsløret ved røntgen af thorax, som i øvrigt henledte opmærksomheden på den lette halsvenestase og pulsus paradoxus.

Der er efter vort kendskab tidligere kun rapporteret om én mindre, symptomgivende perikardiecyste i Danmark (4).


Christian Backer Mogensen, medicinsk afdeling, Aabenraa Sygehus, DK-6200 Aabenraa.

Antaget den 3. juli 2002.

Aabenraa Sygehus, medicinsk afdeling, og

Odense Universitetshospital, thorax-karkirurgisk afdeling.

Ovenstående artikel hviler på en større litteraturgennemgang end litteraturlistens ti numre. Oplysninger om denne baggrundslitteratur kan fås fra forfatteren.

  1. Le Roux BT. Pericardial coelomic cysts. Thorax 1958; 14: 27-34.
  2. Jarzabkowski DC, Braunstein DB. Pericardial cyst: an incidental finding. J Am Osteopath Assoc 1998; 98: 445-6.
  3. Feigin DS, Fenoglio JJ, McAllister HA, Madewell JE. Pericardial cysts. Radiology 1977; 125: 15-20.
  4. Andersen LI, Hvid I. Symptomgivende perikardiecyste. Ugeskr Læger 1980; 142: 961-2.
  5. Hedman A, Bylund H, Orre L, Zuber E, Meijer-Carlsson I. Jättehjärta utan svikt visade sig vara en cysta. Läkartidningen 1997; 94: 2478-80.
  6. Chopra PS, Duke DJ, Pellett JR, Rahko PS. Pericardial cyst with partial erosion of the right ventricular wall. Ann Thorac Surg 1991; 51: 840-1.
  7. Bava GL, Magliani L, Bertoli D, Gorrieri PF, Rimini A, Zaccagnini G et al. Complicated pericardial cyst: atypical anatomy and clinical course. Clin Cardiol 1998; 21: 862-4.
  8. Hynes JK, Tajik AJ, Osborn MJ, Orszulak TA, Seward JB. Two-dimensional echocardiographic diagnosis of pericardial cyst. Mayo Clin Proc 1983; 58: 60-3.
  9. Unverferth DV, Wooley CF. The differential diagnosis of paracardiac lesions: pericardial cysts. Cathet Cardiovasc Diagn 1979; 5: 31-40.
  10. Kruger SR, Michaud J, Cannom DS. Spontaneous resolution of a pericardial cyst. Am Heart J 1985; 109: 1 390-1.

Referencer

  1. Le Roux BT. Pericardial coelomic cysts. Thorax 1958; 14: 27-34.
  2. Jarzabkowski DC, Braunstein DB. Pericardial cyst: an incidental finding. J Am Osteopath Assoc 1998; 98: 445-6.
  3. Feigin DS, Fenoglio JJ, McAllister HA, Madewell JE. Pericardial cysts. Radiology 1977; 125: 15-20.
  4. Andersen LI, Hvid I. Symptomgivende perikardiecyste. Ugeskr Læger 1980; 142: 961-2.
  5. Hedman A, Bylund H, Orre L, Zuber E, Meijer-Carlsson I. Jättehjärta utan svikt visade sig vara en cysta. Läkartidningen 1997; 94: 2478-80.
  6. Chopra PS, Duke DJ, Pellett JR, Rahko PS. Pericardial cyst with partial erosion of the right ventricular wall. Ann Thorac Surg 1991; 51: 840-1.
  7. Bava GL, Magliani L, Bertoli D, Gorrieri PF, Rimini A, Zaccagnini G et al. Complicated pericardial cyst: atypical anatomy and clinical course. Clin Cardiol 1998; 21: 862-4.
  8. Hynes JK, Tajik AJ, Osborn MJ, Orszulak TA, Seward JB. Two-dimensional echocardiographic diagnosis of pericardial cyst. Mayo Clin Proc 1983; 58: 60-3.
  9. Unverferth DV, Wooley CF. The differential diagnosis of paracardiac lesions: pericardial cysts. Cathet Cardiovasc Diagn 1979; 5: 31-40.
  10. Kruger SR, Michaud J, Cannom DS. Spontaneous resolution of a pericardial cyst. Am Heart J 1985; 109: 1390-1.