Peritoneal tuberkulose efter immunmodulerende behandling


Emilie Ziegler Faunø, Jesper Winkler Andersen & Thomas Møller Jensen
Denne kasuistik omhandler en kvinde, der på trods af korrekt forebyggende behandling forud for start af anti-TNF-alfa-behandling udviklede aktiv peritoneal tuberkulose (tb).
Tuberkulose er en infektionssygdom forårsaget af Mycobacterium tuberculosis. Globalt har en fjerdedel af befolkningen latent (LTBI) eller aktiv tb, prævalensen er størst i ressourcefattige lande. Pulmonal tb er hyppigst, men tb manifesteres også ekstrapulmonalt (i 25% af tilfældene). I Danmark er peritoneal tb sjældent, i 2021 fandtes tre tilfælde [1].
Tuberkulose kan være vanskelig at diagnosticere, fordi symptomerne er diffuse, og diagnostikken er usikker og tidskrævende. Derudover er der ofte et diagnostisk delay, idet klinikeren ofte sent får mistanke om tb.
Svartiden på en interferon gamma-frigørelsestest (IGRA) er op til en uge, sensitiviteten er 80%. En tb-dyrkning varer 3-8 uger.
Ascites påvises hos 90% med peritoneal tb [2]. I Danmark skyldes ascites oftest cirrose (75%), mens malignitet, hjertesvigt, tb m.fl. udgør de resterende årsager. Ved tvivl om årsagen udføres der diagnostisk ascitespunktur, der sendes til dyrkning, cytologi, protein m.m. jf. nationale guidelines [3]. Mononukleær cytologi, højt proteinniveau og albumin-gap er karakteristisk for tb. Dyrkning af ascites for M. tuberculosis er 58% sensitiv, og en peritoneal biopsi er 73% sensitiv [2]. Den lave sensitivitet medfører stor risiko for falsk negativt resultat og kan forsinke diagnostikken yderligere.
Mange kroniske inflammatoriske sygdomme behandles med biologiske immunmodulerende lægemidler, herunder anti-TNF-alfa. Behandlingen medfører øget risiko for opportunistiske infektioner, hvorfor screening for tb anbefales. Ved tegn på LTBI (positiv IGRA og fravær af aktiv tb) gives profylaktisk behandling i 3-6 mdr., og i mindst 1 md. før påbegyndelsen af biologisk behandling for at undgå reaktivering [3, 4].
En 47-årig etnisk spansk kvinde, som havde mb. Crohn, blev set i et gastroenterologisk ambulatorium pga. tiltagende diarré. Koloskopiske fund var forenelige med mb. Crohn i aktivitet, og man fandt indikation for behandling med anti-TNF-alfa. Hun blev screenet for tb, og IGRA-testen var positiv (TB Ag1-Nil 3,29, TB Ag2-Nil 2,06). Der var radiologisk og anamnestisk ikke mistanke om aktiv tb, og hun blev diagnosticeret med latent tb.
Der blev ordineret 3 mdr.s eradikationsbehandling med rifampicin og isoniazid, og først herefter påbegyndtes anti-TNF-alfa-behandlingen med udtalt effekt på de gastroenterologiske symptomer.
Et halvt år senere blev hun indlagt med mavesmerter og ascites. Hun blev tappet for 9 l ascitesvæske. Man fandt 5.700 leukocytter, overvejende mononukleære, samt 57 g/l protein. En CT viste ascites og gav mistanke om karcinomatose. Urin, ascites, fæces og ekspektorat var negativt for tb ved PCR og uden påvisning af syrefaste stave ved mikroskopi. Senere udkom også dyrkningssvar negative. På mistanke om karcinose udførtes en diagnostisk laparoskopi, hvor man så udbredte peritoneale karcinomatoselignende forandringer intraabdominalt.
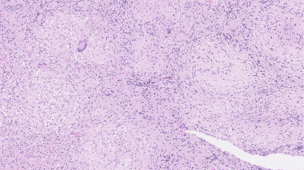
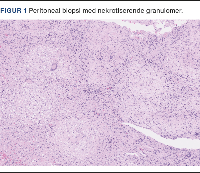
Biopsier fra laparoskopien viste nekrotiserende granulomatøs inflammation (Figur 1) samt fund af én syrefast stav, og kort tid efter fremkom dyrkningen af biopsien positiv for M. tuberculosis, der viste sig at være fuldt følsom for den givne eradikationsbehandling.
Patienten kom i 6 mdr.s behandling for tb, hvorefter den biologiske behandling blev genoptaget uden yderligere komplikationer.
I casen fulgtes retningslinjerne for screening og eradikation i 3 mdr., og alligevel reaktiveres patientens LTBI under biologisk behandling.
Biologisk behandling er attraktivt og hyppigt anvendt, da den er effektiv og oftest veltålt. Chancen for sygdomskontrol og øget livskvalitet skal dog holdes op mod de bivirkninger, som unægteligt forekommer hos nogle, herunder risikoen for infektioner. Et metaanalytisk studie viste, at risikoen for udvikling af alvorlig infektion er 64% større på monoterapi med anti-TNF-alfa end på behandling med thiopuriner eller methotrexat [5].
Man kan overveje, om de gastrointestinale gener har haft betydning for absorptionen og dermed effekten af antibiotika.
Man har hos patienter med LTBI sammenlignet risikoen for udvikling af tb efter eradikationsbehandling i 3 mdr. med rifampicin og isoniazid med placebo og fundet en oddsratio på 0,52 (referenceinterval: 0,33-0,84) [4] og hermed en væsentlig risiko for manglende eradikation. Derfor er det relevant, at man altid får mistanke om tb ved uforklaret infektion og/eller ascites, også selvom patienten er profylaktisk behandlet, da effekten af eradikation kan være utilstrækkelig.
Korrespondance Emilie Ziegler Faunø. E-mail: emilie@faunoe.dk
Antaget 26. januar 2023
Publiceret på ugeskriftet.dk 20. marts 2023
Interessekonflikter ingen. Forfatternes ICMJE-formularer er tilgængelige sammen med artiklen på ugeskriftet.dk
Referencer findes i artiklen publiceret på ugeskriftet.dk
Artikelreference Ugeskr Læger 2023;185:V10220604
Emilie Ziegler Faunø, Jesper Winkler Andersen & Thomas Møller Jensen
Ugeskr Læger 2023;185:V10220604
It is well known that biological treatment increases the risk of opportunistic infections. Guidelines recommend tuberculosis screening prior to treatment. This is a case report of a woman who had morbus Crohn and developed peritoneal tuberculosis even though she completed a preventive tuberculosis eradication before initiating treatment with anti-TNF-inhibitor. She appeared with ascites and was examined very thoroughly, and eventually a peritoneal biopsy revealed tuberculosis. Tuberculosis is difficult to diagnose, and eradication is no guarantee that tuberculosis cannot relapse during biological treatment.