Pleurainfektion


Bakir Nabil Al-Jarah1, Nasir Muhammad2, Karin Armbruster2, Christian N. Meyer1, Christian B. Laursen3, 4, Merete Christensen5, Uffe Bødtger2, 6 & Katrine Fjællegaard6, 7
Pleurainfektion er en sygdom med høj mortalitet.
Hurtig og korrekt behandling af pleurainfektion samt løbende evaluering er essentielt for at forbedre mortaliteten.
Der er behov for hurtig adgang til specialiseret behandling af pleurainfektioner i lungemedicinsk regi.
For over 2.000 år siden udførte Hippokrates den første beskrevne udtømning af pus fra pleurahulen. Siden da er behandlingen af pleurainfektioner blevet mere specialiseret og evidensbaseret, og i de seneste år er flere internationale retningslinjer blevet opdateret [1-3].
Pleurainfektion defineres som inficeret pleuravæske og dækker over et spektrum fra initial kolonisering af en serøs effusion til reelt empyem, som er kendetegnet ved makroskopisk pus. Incidensen globalt er stigende og er i Danmark aktuelt omkring 12,5/100.000 indbyggere/år svarende til 700 patienter [4].
I denne artikel vil vi give et overblik over de nyeste anbefalinger for udredning og behandling af pleurainfektioner.
Oftest opstår pleurainfektion sekundært til en pneumoni. Den hyppigste mekanisme er direkte spredning [5]. Ved igangværende inflammation dannes fibrin, som medfører septadannelse og opdeling af pleurahulen i lommer. Bakteriel metabolisme og leukocytaktivitet medfører et fald i pleuravæskens pH- og glukoseniveau og stigning i laktatdehydrogenase (LD)-niveau. Måling af disse lokale metaboliske tegn på inflammation og infektion indgår i diagnose og håndtering af pleurainfektion (Figur 1) [6-8]. Yderligere progression medfører tiltagende grumset pleuravæske, hvor slutstadiet er empyem, defineret som purulent pleuravæske eller direkte påvisning af bakterier i pleuravæsken [5].
Pleurainfektion kan tillige opstå ved anden direkte spredning (eksternt traume, nærliggende fokus i mediastinum eller øvre abdomen) eller ved hæmatogen/lymfogen spredning fra torakale eller ekstratorakale infektioner [5].
Pleurainfektion er i forbundet med en etårs mortalitet på 20%, men dette tal dækker over en etårsmortalitet på 35% hos ældre eller immunsupprimerede [2]. I et dansk studie var tremåneders mortaliteten 13% [9]. Mortalitetsrisikoen kan bestemmes ved måling af RAPID-score (se Tabel 1), et valideret redskab til at estimere tremåneders mortalitetsrisiko (lav = 1,5%; mellem = 18%; høj = 48%) [10, 11]. RAPID tager udgangspunkt i fem faktorer: nyrefunktion, alder, pleuravæskepurulens, hospitals-/samfundserhvervet infektion og plasmaalbumin. Klinikere kan bruge RAPID til identifikation af risikopatienter. Et nyere retrospektivt studie indikerer, at RAPID muligvis bidrager til identifikation af patienter, der har gavn af tidlig kirurgisk intervention, men validering ved et prospektivt studie savnes [12].
Inficerede patienter med pleuraeffusion bør udredes og afklares subakut mhp. mulig infektion (se Figur 1), idet > 24 t. forsinkelse af drænage af pleurainfektion har betydning for mortalitet [9]. Initial udredning bør derfor kunne varetages i enhver akutmodtagelse og i afdelinger inden for de internmedicinske specialer. Udredning indebærer lunge-UL-skanning (LUS), CT af thorax samt diagnostisk aspiration af pleuravæske, som sendes til en klinisk biokemisk afdeling (til måling af glukoseniveau, LD og protein samt leukocyt- og differentialtælling), pH-niveaumåling i blodgasapparat (obs.: Kun klar pleuravæske!) samt mikroskopi og dyrkning og resistensbestemmelse (D+R) i spidsglas og D+R i aerobe samt anaerobe dyrkningskolber [2, 3]. Som ved andre infektioner øges sensitivitet for identifikation af mikrobiologisk agens, hvis pleuravæske tages fra til dyrkning inden opstart af behandling med antibiotika [13].
Billeddiagnostik
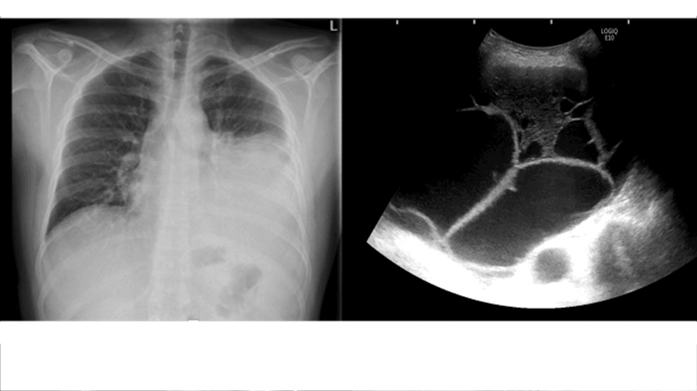
Thoraxrøntgenbillede med linseformet effusion kan give mistanke om pleurainfektion, men er inferiør i alle henseender sammenlignet med LUS og CT [3]. På CT af thorax kan fund som f.eks. konstrastopladning af pleura, pleurafortykkelse og lokulering være tegn på pleurainfektion, men er ikke diagnostiske [14]. LUS er røntgen af thorax overlegen til diagnostik af pleuraeffusion [1]. LUS er CT overlegen til at bedømme grad af lokulering og septadannelse [15] (Figur 2) og har derfor en central rolle i at identificere det optimale sted for pleurapunktur/drænplacering samt i kontrol af pleuraansamlinger både under indlæggelse og ved ambulant kontrol. CT af thorax med kontrast er LUS overlegen mht. at identificere lokaliserede væskelommer, som ikke er subpleuralt placeret (f.eks. langs mediastinum) og at afklare sygdom i lungeparenkymet såsom lungetumorer eller abscesser. Derfor kan CT af thorax med kontrast med fordel udføres initialt, hvorved skanningen kan fungere som en baseline til fremtidig sammenligning. Som minimum bør CT af thorax med kontrast udføres ved behandlingssvigt for at belyse mulige årsager og tilpasse behandlingsplanen [3].
Mikrobiologi
Pleuravæskedyrkninger er blot positive i ca. 20-60% af tilfældene ved pleurainfektion, bl.a. pga. forudgående antibiotika [16]. Der foreligger kun enkelte nyere studier om mikrobiologisk ætiologi i Danmark [17]. Som ved pneumoni afhænger agens af samfunds- eller hospitalserhvervet infektion. Ved samfundserhvervet pleurainfektion udgøres spektret af bakterier af streptokokker (50%), Staphylococcus aureus (10-20%), gramnegative bakterier (10-20%, oftest Escherichia coli) samt anaerobe bakterier (20-30%) [17]. Flere studier med benyttet nukleinsyreanalyse af pleuravæske indikerer, at anaerobe bakterier forekommer væsentligt hyppigere, end hvad der findes ved almindelige bloddyrkninger (ca. 80%), og at infektionen ofte er forårsaget af flere bakterier [18]. Hospitalserhvervet pleurainfektion skyldes oftere S. aureus (35%)) eller gramnegative bakterier (35%; E. coli, Enterobacter spp., Pseudomonas aeruginosa, Klebsiella spp.), men også anaerobe bakterier (10%) og streptokokker (10-18%) forekommer. Såkaldte atypiske patogener (Legionella pneumophila, Mycoplasma pneumoniae, Chlamydia pneumoniae, C. psittaci) kan medføre simpel parapneumonisk effusion, men sjældent pleurainfektion [19].
Den initiale behandling af pleurainfektion bør opstartes subakut (Figur 3). Specialiseret behandling bør varetages af lungemedicinsk afdeling i samarbejde med den lokale mikrobiologiske, infektionsmedicinske og thoraxkirurgiske afdeling. Effektiv pleuradrænage og målrettet antibiotika er afgørende for succesfuld behandling, og der er god evidens for, at tidlig opstart af denne behandling forkorter indlæggelsestid, mindsker behovet for åben kirurgi og reducerer senkomplikationer [20].
Manglende klinisk bedring inden for 48 t. og/eller dræneringssvigt indikerer behov for thoraxkirurgisk vurdering eller opstart af intrapleural behandling.
Grundbehandling involverer også tromboseprofylakse, mobilisering og ernæringsoptimering som ved anden svær infektion [21, 22].
Antibiotika
Ideelt set opstartes empirisk antibiotisk behandling inklusive anaerobt dække ifølge lokale retningslinjer efter udført diagnostisk pleuracentese/pleuradrænering [2]. Senere tilrettes behandlingen til de mikrobiologiske fund, gerne efter konference med en mikrobiologisk afdeling.
For at minimere risiko for recidiv og pga. den nedsatte penetrans til pleura er der behov for en længerevarende antibiotisk behandling. Evidensen for en konkret behandlingsvarighed er dog sparsom, da der ikke foreligger større RCT’er med forskellige behandlingsvarigheder eller intravenøs vs. oral terapi [2, 3]. I Danmark anbefales 4-6 ugers behandling afhængigt af respons, heraf de første 5-14 dage administreret i.v. [1]. Varigheden bør således vurderes ud fra mikrobiologiske agens og patientens immunstatus samt det kliniske og parakliniske respons.
Pleuradræn
Formålet med drænbehandling er at udtømme inficeret pleuravæske for at forkorte sygdomsforløbet, muliggøre intrapleural behandling samt minimere senfølger. Ved pleurainfektion anbefales UL-vejledt anlagt 12-14 F dræn (f.eks. pigtail), da mindre dræn oftere bliver dysfungerende (tilstoppes af fibrin eller kinker). Større dræn bør undgås initialt, da der ikke er RCT-evidens for en bedre effekt, mens det patientoplevede ubehag inklusive smerter er markant større [23]. Ved udtalt viskøst pus kan større dræn overvejes. Det anbefales at skylle pleurahulen med 250 ml isoton NaCl × 2-3 dagligt [24].
Der foreligger ingen sikker evidens for det optimale tidspunkt for drænseponering, men pragmatisk anbefales seponering ved: 1) klinisk og paraklinisk bedring, 2) ingen betydende resteffusion på billeddiagnostik, 3) klar skyllevæske samt 4) væskeproduktion < 200 ml/døgn.
Intrapleural behandling
Der er RCT-evidens for, at intrapleural behandling med alteplase og deoxyribonuclease 2 × dagligt i tre dage fremmer udtømningen af pleuravæske og forkorter indlæggelsestiden signifikant [25]. Den intrapleurale behandling kan gives i samme seance (alteplase først). Alteplase eller deoxyribonuclease som monoterapi har vist sig ikke at være effektive [2, 25]. Guidelines anbefaler opstart af intrapleural behandling ved manglende effekt af initiale tiltag efter 48 t. Intrapleural behandling kan dog opstartes initialt, hvis man vurderer, at skyl med NaCl ikke er sufficient.
Relative kontraindikationer er nyligt større blødning, kirurgi, traume, apopleksi eller pågående blodfortyndende behandling samt mistanke om bronkopleural fistel [1].
Komplikationer er smerter (op til 36%) og blødning fra især pleura (omkring 5%, dog sjældent transfusionskrævende) [2, 26].
Statusvurdering
Patienter med pleurainfektion skal tilses dagligt, da klinisk og paraklinisk forværring, f.eks. sepsis, manglende udtømning af væske og stigende/stagnerende infektionstal, er et faretegn.
Manglende behandlingsrespons efter 48 t. eller en klinisk forværring er indikation for subakut CT af thorax med kontrast (hvis ikke udført inden for senest 24 t.) mhp. drænplacering, lommedannelse, anden patogenese (cancer, abscesser mv.). Behandlingen intensiveres med opstart af intrapleural behandling (hvis ikke allerede initieret), skift af antibiotika hvis muligt, yderligere pleuradrænage hvis muligt og ellers vurdering ved en thoraxkirurg.
Ligeledes bør patientforløb og ny kontrast-CT (< 24 t. gammel) gennemgås med thoraxkirurg, hvis ikke der kan spores klar fremgang på femte behandlingsdag [2].
Thoraxkirurgi
Ifølge litteraturen har 12-20% af patienterne med pleurainfektion behov for thoraxkirurgi. Danske data angiver 11,7% [9]. Der udføres oftest kikkertbaseret operation (VATS), som indebærer oprensning af pleurahule, frigørelse af lungen, afskrælning af lungehinde og til sidst optimal placering af dræn. Mortaliteten ved VATS er opgjort til 0-7% [27]. Konvertering til åben kirurgi kan være nødvendig, men er forbundet med flere postoperative smerter, længere indlæggelsestid og højere mortalitet [27].
Det igangværende danske FIVERVATS-multicenterstudie vil afklare, om tidlig kirurgi inden for 48 t. efter diagnose er bedre end intrapleural fibrinolyse [28].
Opfølgning og sequelae
Patienten følges op ambulant efter et par uger for at fange recidiv: Der foretages klinisk vurdering, måling af infektionstal, røntgen af thorax og evt. lungefunktionsundersøgelse samt LUS eller CT af thorax [2]. Tidspunktet for kontrol afhænger af det kliniske forløb og af patientens forventede risiko for recidiv.
Hyppige sequelae til pleurainfektion er pleurafortykkelse, pleuraforkalkning og let nedsat lungefunktion. Sjældent ses fisteldannelse eller fibrothorax, hvor konsekvensen er non-expandeble lung (begrænset udfoldning af lungen pga. fibrøst fortykket og stiv pleura) [29]. Incidensen af klinisk betydende sequelae er ikke undersøgt systematisk.
Incidensen af pleurainfektioner er stigende og udgør et spektrum fra tyndtflydende inficeret pleuraeffusion til pus. Tremånedersmortaliteten er ca. 13%, men kan reduceres ved hurtig og korrekt udredning og behandling samt daglig monitorering af muligt behandlingssvigt. Behandling bør derfor kun varetages af afdelinger med erfaring og ekspertise i behandling af pleurainfektion. Effektiv drænage af pleurahulen med skylning med isoton NaCl samt intrapleural behandling (alteplase og deoxyribonuclease) reducerer behovet for thoraxkirurgi. Anbefalet antibiotikavarighed er 4-6 uger med opfølgning i specialafdeling. P.t. er kirurgi et tilbud ved medicinsk behandlingssvigt, men det undersøges i disse år, om tidlig thoraxkirurgisk intervention er at foretrække.
Korrespondance Katrine Fjællegaard. E-mail: kafj@regionsjaelland.dk
Antaget 19. august 2024
Publiceret på ugeskriftet.dk 7. oktober 2024
Interessekonflikter Der er anført potentielle interessekonflikter. Forfatternes ICMJE-formularer er tilgængelige sammen med artiklen på ugeskriftet.dk
Referencer findes i artiklen publiceret på ugeskriftet.dk
Artikelreference Ugeskr Læger 2024;186:V05240329
doi 10.61409/V05240329
Open Access under Creative Commons License CC BY-NC-ND 4.0
The mortality of pleural infections is substantial but is reduced by fast and correct diagnostic work-up and treatment which therefore should be initiated sub-acutely and evaluated frequently. More advanced treatment including intrapleural fibrinolytic therapy should be performed in departments specialized in pleural infections. Soon it will be clarified if initial thoracic surgery could be a superior treatment. In Denmark, this review finds, there is a need to focus on more swift sub-acute diagnostics and treatment initiation of pleural infection.