Pneumocefalus


Ebba Katsler1, 2, Alexander Lilja-Cyron1 & Jane Skjøth-Rasmussen1
Pneumocefalus ses hyppigt efter neurokirurgiske indgreb og ved hovedtraumer.
Behandlingen er oftest konservativ, men resorption af intrakraniel luft kan fremskyndes ved iltbehandling.
Hos patienter med trykpneumocefalus anbefales hurtig kontakt til neurokirurgisk afdeling med henblik på akut aflastning.
Pneumocefalus omtales også som intrakraniel pneumatocele eller aerocele og betegner luft i de forskellige intrakranielle rum: epi- eller subduralt, i subaraknoidalrummet, ventrikelsystemet eller i hjerneparenkymet [1]. Enkelte studier har rubriceret intravaskulær luft som pneumocefalus, men klassisk forstås pneumocefalus som afgrænset ovenfor [2]. Tilstanden adskilles fra pneumorhakis, som er betegnelsen for luft i spinalkanalen, selv om fænotyperne kan optræde samtidigt [3].
En af de hyppigste årsager til pneumocefalus er hovedtraumer med kraniefrakturer. Der er imidlertid stor variation i den rapporterede incidens blandt traumapatienter. I et ældre og ofte citeret review baseret på kasuistikker om 294 traumapatienter beskrives en incidens af pneumocefalus på op mod 74%, mens der i et retrospektivt studie baseret på CT’er af 508 patienter med hovedtraumer angives en incidens på 9,7% [4, 5]. Epidural pneumocefalus ses oftest ved kraniefrakturer med intakt dura, hvorimod duralæsioner hyppigt vil medføre subdural pneumocefalus [6]. Luft i det intrakranielle rum kan ved hovedtraumer stamme fra åbne frakturer, men skyldes formentlig oftere basis cranii-frakturer involverende luftfyldte sinusser.
Infektioner er vist at være årsag til ca. 9% af tilfældene af pneumocefalus [7]. Ud over at bakterier fra otitis media eller sinuitis med intrakraniel spredning kan give en lokal produktion af gas, findes der også eksempler på, at bakterielle infektioner har medført en erosion af kranievæggen og dermed faciliteret indtrængning af atmosfærisk luft. Lignende erosioner er noteret ved tumorer, f.eks. osteom eller sarkom i luftfylde sinusser, og efter stråleterapi [7]. Der findes desuden rapporter om pneumocefalus som følge af skudsår, gentagne nys og Valsalvas manøvre, men også spontant i forbindelse med præeksisterende knogledefekter ved rejser til stor højde [7-10].
Neurokirurgiske indgreb anses for at være en af de hyppigste årsager til pneumocefalus [11, 12]. Dette er en naturlig følge af, at der ved disse operationer er behov for åbning af dura for at kunne behandle en underliggende patologi i hjerne eller rygmarv, hvilket medfører en eksponering for atmosfærisk luft. Subdural lokalisation af luften er den hyppigste (Figur 1), men afhængigt af indgrebet kan luft forekomme i alle intrakranielle kompartmenter [13, 14].
Peroperativt søges graden af pneumocefalus mindsket ved lejring af patienten med duraåbningen som toppunkt, installering af fysiologisk saltvand i subduralrummet og efterfølgende tæt lukning af dura, som kan kræve anvendelse af autograft (oftest en stilket eller fri perikranielap) eller en syntetisk durasubstitut (f.eks. Lyoplant eller Neuro-Patch). Ud over neurokirurgiske indgreb anses ØNH-kirurgi for at være en anden af de hyppige iatrogene årsager til pneumocefalus [11]. En tredje iatrogen årsag er lumbalpunktur, som oftest kun fører til en mindre grad af pneumocefalus [4].
Ud over at inddele pneumocefalus på baggrund af ætiologi klassificerer nogle forfattere pneumocefalus efter, om symptomerne præsenteres akut (< 72 t.) eller sent (≥ 72 t.) efter den udløsende årsag, f.eks. hovedtraumet. Det er dog vigtigt at understrege, at på trods af sen debut kan pneumocefalus progrediere hurtigt og give alvorlige kliniske manifestationer [9].
I tillæg til den direkte eksponering for luft ved kirurgiske indgreb, luftembolisering, eller in situ-produktion af bakterier beskrives ofte to hovedmekanismer bag pneumocefalus:
1) »Ball-valve«-mekanismen: Luft kan passere intrakranielt grundet et ekstrakranielt overtryk, f.eks. hoste, nys eller overtryksventilation, men grundet en ventilmekanisme fra intrakranielt væv lukkes åbningen, så luften ikke kan slippe ud igen (Figur 2). Denne mekaniske blev beskrevet af Walter Dandy allerede i 1926 [1].
2) »Inverted soda bottle«-mekanismen: Her antages det, at pneumocefalus opstår som følge af cerebrospinalvæske (CSV)-lækage med følgende negativt intrakranielt tryk (ICP), der fører til, at luft suges ind den modsatte vej [15]. Klinisk ses pneumocefalus ofte samtidig med CSV-lækage, men dette er således ikke obligat [16].
Symptomer afhænger af lokalisering og luftvolumen [11]. Det hyppigste symptom er hovedpine, og en »klukkende« lyd ved hovedbevægelse, som er beskrevet som patognomonisk for tilstanden [9]. Derudover er symptomerne relateret til den udløsende årsag. Ved pneumocefalus, som er opstået på en otogen baggrund, f.eks. ved malformation af mastoidcellerne, der åbnes ved en kraftig Valsalvas manøvre, kan øresmerter, otolikvore og tinnitus forekomme. Hvis ætiologien er en underliggende infektion, ses hyppigt meningeale symptomer og feber [7].
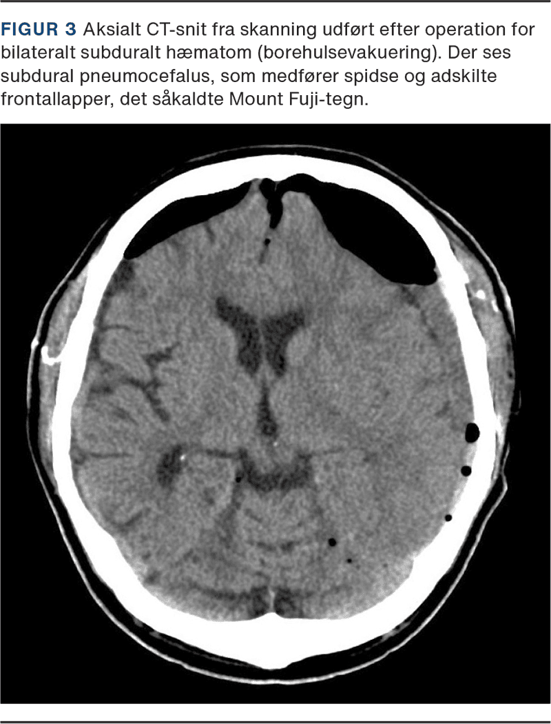
Trykpneumocefalus defineres som intrakraniel luft, der udøver masseeffekt på hjernen og kan medføre forhøjet ICP med dertilhørende symptomer, som inkluderer hovedpine, kvalme/opkastning, motorisk uro, fokale neurologiske udfald, f.eks. kranienervepåvirkning, kramper samt faldende bevidsthedsniveau og ultimativt død [9, 17, 18]. Trykpneumocefalus er beskrevet i forbindelse med mange af de tidligere nævnte ætiologier, herunder efter forskellige neurokirurgiske procedurer, traumer og spontant [9, 17-20]. Mortaliteten for ubehandlet trykpneumocefalus er ukendt, men må antages at være høj [20]. Trykpneumocefalus kan tænkes at opstå både som følge af en ventilmekanisme og som følge af udtalt CSV-lækage som tidligere beskrevet [9]. Et radiologisk fund, som kan ses ved trykpneumocefalus, er Mount Fuji-tegnet, hvor frontallapperne på aksiale CT eller MR-snit fremstår spidse, sammenpressede og adskilte ved frontalpolen, hvilket giver et udseende, der minder om den kendte bjergsilhuet (Figur 3). Det er dog vigtigt at pointere, at både sensitivitet og specificitet er relativt lav, så ikke alle patienter med trykpneumocefalus udviser dette tegn, og at ikke alle patienter med Mount Fuji-tegn har trykpneumocefalus [20].
CT, MR og konventionel røntgen kan alle bruges til at påvise intrakraniel luft, men ved små voluminer er CT mest følsom [11]. Ved mistanke om CSV-lækager udføres primært ikkeinvasiv diagnostik. Højopløselig CT (HRCT) kan i knoglevindue anvendes til at identificere knogledefekter i kraniet, også i tilfælde af pneumocefalus uden CSV-lækage, samt væskeansamlinger i paranasale sinus eller mastoidceller. MR-cisternografi uden kontrast kan med kraftigt T2-vægtet sekvens påvise lokaliseret ekstrakraniel væskeansamling (som udtryk for CSV-lækage) med høj specificitet [21, 22]. Invasive billeddiagnostiske metoder kan anvendes til både at bekræfte og lokalisere CSV-lækagen. Blandt disse metoder ses CT- og MR-cisternografi med intratekal (i.t.) kontrast samt cisternografi med i.t. radionukleotid [21].
Det er vigtigt at afgøre, om der er tale om ukompliceret pneumocefalus uden CSV-lækage eller pågående indtrængen af luft, da sidstnævnte situationer kan kræve operativt indgreb med tætning af kranie- og/eller duradefekten. Hos asymptomatiske patienter med ukompliceret pneumocefalus, f.eks. efter neurokirurgisk indgreb, er den primære behandling konservativ. Her anbefales elevation af hovedgærdet samt undgåelse af forhold, der øger ICP, f.eks. Valsalvas manøvre [11, 19]. Det angives nogle steder i litteraturen, at man bør undgå hypertermi og behandle med antipyretika grundet teoretiske overvejelser om sammenhængen mellem temperatur og massefylde for gasser. Dog vil temperaturstigning inden for et fysiologisk niveau ikke føre til en klinisk betydende volumenændring [11]. Den konservative strategi kan suppleres med normobar eller hyperbar iltbehandling. Et systematisk review fra 2024, der inkluderede tre studier med totalt 41 patienter og 40 kontroller, indikerede hurtigere resorption af pneumocefalus ved iltbehandling. I to af de inkluderede studier anvendtes normobar iltbehandling og i det tredje hyperbar iltbehandling, men der var positiv effekt af iltbehandlingen i alle tre studier [23].
Spørgsmålet om anvendelse af antibiotikaprofylakse ved en aktiv lækage af CSV er omdiskuteret. I en Cochrane-gennemgang fra 2015 af fem randomiserede kliniske forsøg (totalt n = 208) fandtes ingen forskel i forekomsten af meningitis mellem patienter med fraktur i kraniebunden, der modtog profylaktisk antibiotika, og dem, der ikke gjorde [24]. Dette uanset om der var aktiv CSV-lækage eller ej. Forfatterne drog i samme review en tilsvarende konklusion på baggrund af en separat analyse af 17 ikkerandomiserede studier (n = 2.168). Der forelå dog betydelig heterogenitet, da de antibiotiske regimer inkluderede forskellige præparater, doser og behandlingsvarighed. I et af de randomiserede kliniske forsøg, som var inkluderet i Cochrane-reviewet, undersøgte forfatterne profylaktisk antibiotika (1 g ceftriaxon i.v. × 1 i 5 dage) ved traumatisk pneumocefalus, hvor der ikke blev fundet effekt på forekomsten af meningitis, mens et intrakranielt luftvolumen på > 10 ml var forbundet med øget risiko for meningitis og blev derfor kategoriseret som en sekundær risikofaktor [25]. Ifølge Statens Serum Institut vurderes patienter med CSV-lækage på baggrund af traume eller større kraniekirurgi at have en særdeles høj risiko for invasiv pneumokoksygdom. Det anbefales derfor, at ikkevaccinerede patienter i denne gruppe får vaccinen PCV13, som er en 13-valent pneumokokvaccine, med tillæg af vaccinen PPV23 – en 23-valent pneumokokvaccine – efter otte uger [26].
Ved svære fokale neurologiske udfald eller tryksymptomer (hovedpine, kvalme og/eller opkastning) og evt. bevidsthedspåvirkning er der indikation for akut aflastning, som kan være livreddende, hvorfor akut kontakt til neurokirurgisk afdeling anbefales. Afhængigt af luftens lokalisation kan aflastning ske ved nåleaspiration eller genåbning af tidligere borehul/kraniotomi, anlæggelse af nyt aflastende borehul eller evakuering ved anlæggelse af et eksternt ventrikeldræn [19, 27].
Når kabinetrykket falder under flyvning, ekspanderer luftfyldte rum i kroppen [28]. Da kraniet er en rigid struktur, er der således en mulighed for, at ekspansion af intrakraniel luft kan føre til et stigende ICP og evt. fokale neurologiske udfald afhængigt af lokalisation [29]. En svensk forskergruppe har udviklet en model, der relaterer intrakranielt luftvolumen til kabinehøjde og simulerer ændringer i ICP [28, 29]. Ved kabinetryk svarende til en højde på 8.000 fod over havets overflade, hvilket er et typisk kabinetryk ved langdistanceflyvninger, forudsiger modellen en volumenøgning på ca. 30% i forhold til havniveau. Luftvolumener < 11 ml ville ifølge modellen ikke forventes at forårsage klinisk relevant ICP-stigning, selv med udgangs-ICP på 15 mmHg ved havniveau. Større volumener kan derimod give markant ICP-stigning afhængigt af udgangs-ICP, hvorfor der i disse tilfælde bør konfereres med neurokirurgisk afdeling, alternativt afventes resorption af luften inden for typisk 1-2 uger [12, 29]. Modellen indikerer desuden, at den hurtigste ICP-stigning opstår tidligt i opstigningen, hvor kabinetrykket falder mest. Eventuelle symptomerne hos en patient vil således debutere i rejsens første fase [28]. En særlig fare kan dog opstå hos patienter med evt. ikke-erkendt kraniedefekt, hvor også nedstigning med tiltagende kabinetryk kan medføre forværring af pneumocefalus [30].
Ved behov for transport af patienter med højt ICP og pneumocefalus kan kabinetrykket holdes højt ved at reducere flyvehøjden, hvilket dog kan være hydrodynamisk udfordrende med øget risiko for turbulens og et højere forbrug af brændstof. En del ambulancefly tilbyder dog alligevel transport med kabinetryk til havniveau for disse patienter [28, 29].
Pneumocefalus er en heterogen og oftest ufarlig tilstand, som hyppigt ses efter et hovedtraume eller et neurokirurgisk indgreb. Hos disse patientgrupper er pneumocefalus en vigtig differentialdiagnose til f.eks. intrakraniel blødning ved neurologiske udfald, og hurtig diagnostik med efterfølgende korrekt håndtering kan være afgørende.
Korrespondance Ebba Katsler. E-mail: ebba.louise.katsler@regionh.dk
Antaget 16. december 2025
Publiceret på ugeskriftet.dk 23. marts 2026
Interessekonflikter ingen. Alle forfattere har indsendt ICMJE Form for Disclosure of Potential Conflicts of Interest. Disse er tilgængelige sammen med artiklen på ugeskriftet.dk
Referencer findes i artiklen publiceret på ugeskriftet.dk
Artikelreference Ugeskr Læger 2026;188:V07250578
doi 10.61409/V07250578
Open Access under Creative Commons License CC BY-NC-ND 4.0
In this review, pneumocephalus – a pathological condition that most commonly refers to intracranial air located in the epidural or subdural spaces, the ventricles, or within the brain parenchyma – is investigated. Symptoms include headache and a pathognomonic splashing sound on head movement. In the absence of symptoms, conservative treatment is recommended, and in the presence of mild symptoms, oxygen therapy can accelerate intracranial air resorption. In some cases, simple pneumocephalus can progress to tension pneumocephalus, a potentially life-threatening condition that may require acute neurosurgical intervention.