Skip to main content

Pneumocystepneumoni og hiv-infektion hos to patienter med formodet COVID-19

Olivia Borchmann & Ann-Brit Eg Hansen

25. jan. 2021
5 min.

Feber, tør hoste, træthed og åndenød med svær forværring ved fysisk aktivitet og snigende symptomudvikling over få uger – det er det typiske symptombillede ved pneumocystepneumoni (PCP) hos personer, som er hiv-positive. PCP forårsages af svampen Pneumocystis jirovecii og er en opportunistisk infektion, der forekommer hos personer med underliggende immundefekt. PCP er den hyppigste aids-definerende lidelse i Danmark. I dag ses hiv-associeret PCP næsten udelukkende hos patienter med udiagnosticeret og dermed ubehandlet hiv-infektion, hvor cluster of differentiation (CD)4-tallet er nået under 200 celler/µl [1].

Symptomerne kan til forveksling ligne symptomerne på coronavirus disease 2019 (COVID-19) [2]. I denne kasuistik beskrives to patienter, der i løbet af foråret og sommeren 2020 blev indlagt og gentagne gange undersøgt for COVID-19, men som begge viste sig at have hiv og PCP.

SYGEHISTORIER

I. En 27-årig mand blev indlagt på en medicinsk afdeling. Han havde været sengeliggende i godt en uge med åndenød, feber og tør hoste. Han var to dage forinden podet negativ for severe acute respiratory syndrome coronavirus 2 (SARS-CoV-2). Ved indlæggelsen sås en akut og kronisk medtaget patient med hypoksi (saturation på 86%), anæmi, lymfocytopeni, et C-reaktivt protein (CRP)-niveau på 220 mg/l og et laktatdehydrogenase (LDH)-niveau på 1.130 E/l. En røntgenundersøgelse af thorax viste småinfiltrater bilateralt. Den kliniske mistanke om COVID-19 var så stor trods yderligere negativ svælgpodning samt trakealsekret, at patienten efter en dag blev overflyttet til en infektionsmedicinsk afdeling under denne diagnose. Her bemærkede man Candida-belægninger i munden og et BMI på 17 kg/m2. Man havde mistanke om, at han havde PCP, og en kviktest for hiv samt mundskyl for pneumocyster var positive. Han begyndte i behandling med sulfamethoxazol-trimethoprim og prednisolon for PCP samt antiretroviral behandling. CD4-tallet var 43 celler/µl.

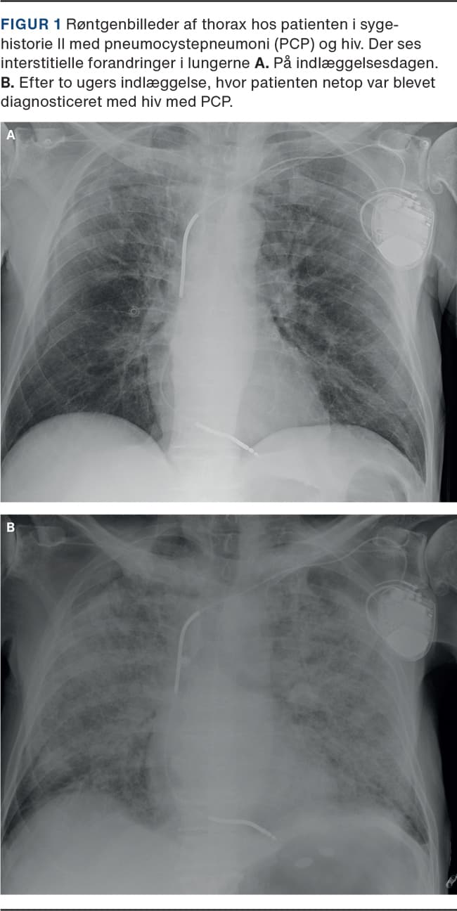
II. En 71-årig mand, som havde kronisk obstruktiv lungesygdom (KOL) og iskæmisk hjertesygdom, blev indlagt på en lungemedicinsk afdeling på mistanke om COVID-19. Han var igennem mange måneder blevet tiltagende træt, appetitløs og afkræftet og var nærmest bundet til sengen. Han havde hypoksi med en saturation på 92% og det parakliniske billede med lymfocytopeni, et CRP-niveau på 37 mg/l, anæmi, et LDH-niveau på 296 E/l og en røntgenundersøgelse af thorax (Figur 1), hvorpå der sås interstitielle forandringer, henledte mistanken på COVID-19. Trakealsekretet blev undersøgt, og han blev podet i alt fire gange for SARS-CoV-2. Alle test var negative. Hans tilstand forværredes under indlæggelsen, han blev delirøs og febril, hostede og fik progredierende behov for ilt. Han blev sat i bredspektret antibiotisk behandling uden effekt, udredt for KOL-eksacerbation og akut myokardieinfarkt uden ST-elevation, og der var mistanke om en underliggende malign tilstand. Efter to ugers indlæggelse blev PCP overvejet som differentialdiagnose, og polymerasekædereaktionstest for pneumocyster på trakealsekret var positiv. Efter konference med en infektionsmedicinsk afdeling blev udført hiv-kviktest, der udkom positiv. Patienten blev overflyttet til en infektionsmedicinsk afdeling, hvor der blev iværksat behandling for PCP og hiv. CD4-tallet var 14 celler/µl.

Begge patienter bedreres og blev udskrevet til rehabilitering efter langvarige indlæggelser inklusive respiratorbehandling på et intensivt terapi-afsnit.

DISKUSSION

COVID-19-pandemien kræver fuld opmærksomhed, for at alle patienter med mulig COVID-19 effektivt kan isoleres, og smittespredning dermed hindres. Det er derfor god klinisk praksis, at patienter med luftvejssymptomer og/eller relevante parakliniske fund i første omgang formodes at have COVID-19, og at negative test gentages ved stærk klinisk mistanke. Disse sygehistorier illustrerer imidlertid, at man også under en pandemi må bevare et differentialdiagnostisk overblik.

PCP ligner både klinisk og paraklinisk COVID-19 med hypoksi, interstielle forandringer på røntgenbilleder, forhøjet LDH-niveau og lymfocytopeni. Begge patienter havde dog symptomer, der ikke oplagt skyldtes COVID-19. De havde tegn til underliggende sygdom og var nærmest kakektiske ved indlæggelsen, og patienten i sygehistorie I havde oral candidiasis.

Når en patient har en uafklaret interstitiel pneumoni, der ikke bedres på iværksat behandling, må man overveje, om det drejer sig om underliggende immundefekt med PCP eller anden opportunistisk infektion, og der må udføres hiv-test på lav indikation.

I Danmark diagnosticeres mange patienter med hiv fortsat sent. Det gælder ikke mindst for ældre patienter, hvor der sjældent er mistanke om hiv [3, 4]. Netop det var tilfældet for patienten i sygehistorie II, som var indlagt i to uger, før man fik mistanke om, at han kunne have PCP. Forsinket diagnostik øger patienternes risiko for at udvikle alvorlig aids-definerende sygdom og have dårligere behandlingsrespons [5]. Disse sygehistorier er en påmindelse om, at hiv fortsat er en infektion, der kræver opmærksomhed blandt læger i Danmark.



KORRESPONDANCE: Olivia Borchmann. E-mail: oliviaborchmann@gmail.com
ANTAGET: 30. november 2020
PUBLICERET PÅ UGESKRIFTET.DK: 25. januar 2021
INTERESSEKONFLIKTER: ingen. Forfatternes ICMJE-formularer er tilgængelige sammen med artiklen på Ugeskriftet.dk
LITTERATUR: Findes i artiklen publiceret på Ugeskriftet.dk

Summary

Pneumocystis pneumonia and HIV infection in two patients suspected with COVID-19

Olivia Borchmann & Ann-Brit Eg Hansen

Ugeskr Læger 2021;183:V09200673

Pneumocystis pneumonia (PCP) in undiagnosed HIV-positive individuals and COVID-19 patients share many of the same clinical features. This case report describes two patients admitted to hospital during the COVID-19 pandemic. Both suffered from dyspnoea, dry cough and fever, showed signs of underlying illness and had severe hypoxia, elevated lactate dehydrogenase levels and lymfocytopenia. COVID-19 was suspected despite several negative tests. Both patients tested positive for PCP and HIV. In cases with unexplained interstitial pneumonia, PCP and underlying immunodeficiency should be suspected, and an HIV-test should be performed.

Referencer

Litteratur

  1. Huang L, Cattamanchi A, Davis JL et al. HIV-associated pneumocystis pneumonia. Proc Am Thorac Soc 2011;8:294-300.

  2. Wang D, Hu B, Hu C et al. Clinical characteristics of 138 hospitalized patients with 2019 Novel Coronavirus-infected pneumonia in Wuhan, China. JAMA 2020;323:1061-9.

  3. Statens Serum Institut. Hiv – opgørelse over sygdomsforekomst 2018, 2019. https://www.ssi.dk/sygdomme-beredskab-og-forskning/sygdomsovervaagning/h/hiv-2018 (14. sep 2020).

  4. Helleberg M, Engsig F, Kronborg G et al. Late presenters, repeated testing, and missed opportunities in a Danish nationwide HIV cohort. Scand J Infect Dis 2012;44:282-8.

  5. Hansen B, Andersen Å, Koch A et al. Indikatorsygdomme for hiv-infektion. Ugeskr Læger 2015;177:V03150266.