Skip to main content

Pneumocystepneumoni ved behandling med infliximab

Læge Maria Eklund Josephson, overlæge Lena Hagelskjær Kristensen & overlæge Vibeke Charlotte Andersen Regionshospitalet Viborg, Medicinsk Afdeling og Klinisk Mikrobiologisk Afdeling

6. jun. 2008
5 min.

Tumornekrosefaktor-α-hæmmer er siden 2005 dokumenteret at have effekt ved behandling af colitis ulcerosa. Imidlertid øger behandlingen risikoen for opportunistiske infektioner. Vi beskriver to tilfælde af Pneumocystis jiroveci- pneumoni hos patienter, der havde colitis ulcerosa og var i behandling med infliximab. De responderede godt på peroral sulfamethoxazol/trimethoprim og ledsagende steroid. Vi anbefaler særlig opmærksomhed på risiko for p. jiroveci pneumoni hos patienter, der er i behandling med infliximab og får lungesymptomer med hypoksi.

Behandling med tumornekrosefaktor (TNF)-α-hæmmer med f.eks. infliximab er veletableret ved Crohns sygdom, behandlingen medfører dog risiko for opportunistiske infektioner [1]. Siden 2005 er infliximab dokumenteret at have virkning ved behandlingen af colitis ulcerosa [2]. Vi beskriver her to tilfælde af Pneumocystis jiroveci-pneumoni hos patienter, der havde colitis ulcerosa og var under behandling med infliximab [1].

Sygehistorier

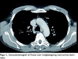
I. En 59-årig mand, der havde haft rektosigmoiditis siden 1981, fik opblussen under vedligeholdelsesbehandling med azathioprin og mesalazin. Behandling med højdosis steroid kompliceredes af aseptisk knoglenekrose og måtte seponeres. Patienten ønskede ikke operation, og derfor påbegyndtes behandling med infliximab med god effekt på hans tarmsymptomer. Der forelå negativ interferon-γ-test for tuberkulose (TB). Efter anden kur blev han træt og fik dyspnø, hovedpine, høj feber og forhøjet C-reaktivt protein. En røntgenundersøgelse af thorax viste et lille infiltrat. Luftvejssekret blev undersøgt for almindelige luftvejspatogener, legionella, pneumocyster samt TB og blod blev undersøgt med Cytomegalovirus (CMV)-polymerasekædereaktion (PCR) og Aspergillus galactomannan-antigentest. Patienten påbegyndte behandling med penicillin og clarithromycin uden effekt. På grund af tiltagende luftvejssymptomer og hypoksi med saturationsfald til 80% under korte gåture skiftede han til peroral sulfamethoxazol/trimethoprim og samtidig steroidkur. En computertomografi af thorax viste matglastegning (Figur 1). I trakealsekret og bronkial alveolær lavage fandt man ved PCR-undersøgelse P. jiroveci. Alle øvrige mikrobiologiske undersøgelser var negative. Patienten responderede godt på sulfamethoxazol/trimethoprim. Han fik dog pancytopeni i slutningen af kuren, hvorfor sulfamethoxazol/trimethoprim blev midlertidigt pauseret med god effekt. Patienten blev efterfølgende kolektomeret, og immunsuppressiv behandling kunne seponeres. Tre måneder senere afsluttedes den profylaktiske sulfamethoxazol/trimethoprimbehandling.

II. En 57-årig mand, der havde haft rektosigmoiditis siden 1971, fik opblussen under behandling med mesalazin. Steroid var uden effekt. Da han ikke ønskede operation, påbegyndtes der med god effekt langsigtet behandling med azathioprin suppleret med infliximab med henblik på hurtig remission. Der forelå negativ interferon-γ-test for TB. Efter tredje kur fik han i løbet af et par uger tiltagende sygdomsfornemmelse, hovedpine, subfebrilia og let forhøjelse af C-reaktivt protein. En røntgenundersøgelse af thorax ved sygdomsstart viste ingen sikre infiltrater, men en arteriepunktur viste let hypoksi med pO2 på 9,4 kPa (spændvidde: 10,0-14,5 kPa). Patienten gennemgik samme undersøgelsesprogram som patienten i sygehistorie I. Eneste positive mikrobiologiske fund var en klart positiv PCR-undersøgelse for P. jiroveci i trakealsekret. Han responderede på behandling med sulfamethoxazol/trimethoprim, som han tålte uden problemer, og fik efterfølgende profylaktisk sulfamethoxazol/trimethoprimbehandling til tre måneder efter seponering af azathioprin. Han var derefter i remission på mesalazin som monoterapi.

Diskussion

Behandling med TNF-α-hæmmer er effektiv til at inducere remission hos patienter, som har moderat til svær colitis ulcerosa og ikke har haft effekt af konventionel behandling [1, 2]. TNF-α-hæmmende behandling kompromitterer imidlertid den cellulære immunitet og øger risikoen for f.eks. TB, histoplasmose, listeriose, aspergillose, herpes zoster-infektion, CMV-pneumoni, candidiasis og P. jiroveci-pneumoni.

Pneumocystepneumoni ses især inden for de første tre måneder af behandlingen og skyldes formentlig en reaktivering af en latent infektion [3, 4]. Symptomerne begynder ofte snigende med febrilia, almen utilpashed og dyspnø. Hypoksi er ofte udtalt, mens de røntgenologiske forandringer kan være diskrete. P. jiroveci kan påvises i luftvejssekret ved PCR-undersøgelse eller mikroskopi. Der er en betydelig mortalitet på 27% [4].

Hos ikke-hiv-patienter anbefales behandling med sulfamethoxazol/trimethopim 100/20 mg/kg legemsvægt dagligt i 14-21 dage ledsaget af prednisolon 40 mg × 2 dagligt i ti dage ved samtidig hypoksi og PaO2 under 9,0 kPa [5]. Den immunsuppressive effekt formodes at vare i 3-6 måneder efter seponering af TNF-α-hæmmende behandling, hvorfor sekundær profylakse med sulfamethoxazol/trimethopim 400/80 mg dagligt synes at være rationel i denne periode [3, 4]. Der foreligger dog ingen egentlige rekommandationer herfor, ligesom det ikke umiddelbart anbefales at undersøge for andre infek-tioner end TB inden påbegyndelse af infliximabbehandling [4].

Under TNF-α-hæmmende behandling er årvågenhed over for mulige opportunistiske infektioner vigtig. Ved tegn på lungeinfektion og hypoksi anbefales det at undersøge for P. jiroveci-pneumoni.


Vibeke Charlotte Andersen, Medicinsk Afdeling, Regionshospitalet Viborg, DK-8800 Viborg.

E-mail: vibeke.andersen@viborg.rm.dk

Antaget: 26. februar 2008

Interessekonflikter: Ingen

Taksigelse: Rene Jensen og Stanislaw Wasilewski, Billeddiagnostisk Afdeling, Regionshospitalet Viborg, takkes for hjælp til Figur 1.

Summary

Summary Pneumocystis jiroveci pneumonia during infliximab therapy Ugeskr Læger 2008;170(24):2159-2160 The treatment of ulcerative colitis has improved since the appearance of Tumor Necrosis Factor(TNF)-α inhibitors. However, the use of TNF-α inhibitors increases the risk of opportunistic infections. We describe two cases of Pneumocystis jiroveci pneumonia during infliximab therapy for active ulcerative colitis. They were successfully treated with sulfametoxazole/trimetroprim. High awareness of P. jiroveci pneumonia in patients who develop pulmonary symptoms with hypoxia during TNF-α modulator therapy is recommended.

Referencer

  1. Rutgeerts P, van Assche G, Vermeire S. Review article: Infliximab therapy for inflammatory bowel disease - seven years on. Aliment Pharmacol Ther 2006; 23:451-63.
  2. Rutgeerts P, Sandborn WJ, Feagan BG et al. Infliximab for induction and maintenance therapy for ulcerative colitis. N Engl J Med 2005;353:2462-76.
  3. Bakleh M, Tleyjeh I, Matteson EL et al. Infectious complications of tumor necrosis factor-alpha antagonists. Int J Dermatol 2005;44:443-8.
  4. Kaur N, Mahl TC. Pneumocystis jiroveci (carinii) pneumonia after infliximab therapy: a review of 84 cases. Dig Dis Sci 2007;52:1481-4.
  5. Wazir JF, Ansari NA. Pneumocystis carinii infection. Arch Pathol Lab Med 2004;128:1023-7.