Skip to main content

Pneumomediastinum efter snifning af kokain

Rikke Mærkedahl Anæstesiologisk Afdeling, Aarhus Universitetshospital

2. apr. 2012
4 min.

Kokainmisbrug er udbredt i nattelivet i Danmark. Således angiver ca. 10% af de 25-34-årige i en dansk undersøgelse fra 2005 at have prøvet kokain [1]. Denne kasuistik omhandler en patient, der efter snifning af kokain fik brystsmerter, som viste sig at være forårsaget af luft i mediastinum.

Sygehistorie

En 24-årig mand med et weekendkokainmisbrug blev indlagt pga. brystsmerter efter snifning af 6 g kokain over seks timer. Umidddelbart herefter fik han smerter i halsen, og smerterne spredte sig i de følgende timer ned i brystkassen og ud i flankerne. Smerterne blev forværret, når han sank, hostede eller trak vejret dybt. Herudover havde han let dyspnø og hovedpine.

Patienten havde været ved bevidsthed hele tiden og havde ikke været udsat for nogen traumer. Han var normalvægtig, ikkeryger, men disponeret for hjerte-kar-sygdom. Han var tidligere misbruger af anabole steroider, men ellers rask.

Objektivt fandt man ømhed og subkutant emfysem på halsen og på skuldrene. Ved stetoskopi af hjertet hørtes en knitrende mislyd. En lungestetoskopi viste normale forhold. Patienten var afebril og havde normalt blodtryk (130/80 mmHg) og puls (85). Respirationsfrekvensen var 20.

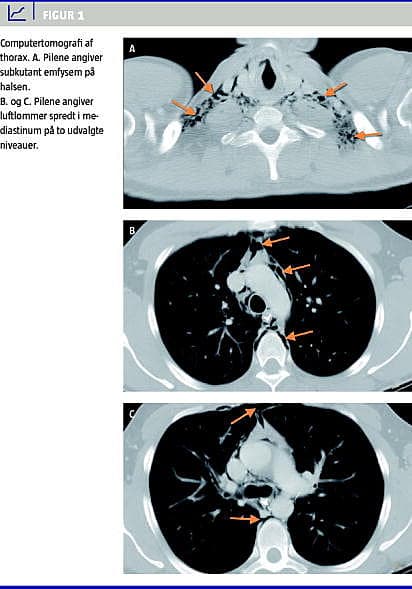
Paraklinisk var der normale koronarenzymer og marginalt forhøjede infektionstal. Et elektrokardiogram (ekg) viste sinusrytme uden tegn til iskæmi. Røntgen af thorax viste luft i mediastinum og subkutant emfysem på halsen, men ingen pneumothorax. En computertomografi (CT) med kontraststof af øsofagus viste ingen tegn på lækage. Man genfandt emfysem i mediastinum og subkutant på halsen (Figur 1 ).

Der blev udført direkte laryngoskopi, øsofagoskopi og bronkoskopi. Alle undersøgelser var uden abnorme fund fraset lidt rødme og hævelse af slimhinden i den ene overlapsbronkie.

Patienten fik antibiotikaprofylakse samt paracetamol og oxycodon som smertestillende behandling. Han blev overflyttet til en thoraxkirurgisk afdeling med henblik på observation for mediastinitis og til fortsat antibiotikabehandling. Efter tre dages observation blev han udskrevet i velbefindende, og blodprøverne viste normale forhold.

DISKUSSION

Den stigende brug af kokain i Danmark kræver, at læger er opmærksomme på de mange komplikationer, der er ved kokainmisbrug. Hyppige komplikationer er sår i næseskillevæggen, subaraknoidal hæmoragi, malign hypertermi og universelle kramper [2]. De kardiopulmonale komplikationer spænder fra lungeødem over myokardieinfarkt og arytmier til pludselig hjertedød. Ovenstående patienthistorie illustrerer, at ikke alle tilfælde af kokaininducerede brystsmerter forårsages af myokardieiskæmi.

Litteraturen, der omhandler pneumomediastinum i forbindelse med kokainmisbrug er sparsom. Alnas et al beskriver 42 tilfælde [3], men der er ikke tidligere beskrevet tilfælde i skandinaviske tidsskrifter.

De mest almindelige symptomer på pneumomediastinum er pludseligt opståede brystsmerter, åndenød og eventuelt synkesmerter, desuden smerter i halsen, dyspnø og eventuelt hæshed eller ændret stemme [4]. Ofte findes der subkutant emfysem. I ca. 50% af tilfældene høres over prækordiet en knitrende, skurrende lyd synkront med hjertets slag (Hammans tegn). Lyden opstår, når hjertet slår mod det omgivende luftfyldte væv [5].

Årsagen til pneumomediastinum skal formentlig findes i den teknik, som misbrugeren anvender, når kokainen indtages. Her foretages en dyb og forlænget inspiration, ofte efterfulgt af en Valsalvas manøvre, dette angiveligt for at potentere effekten af stoffet ved en hurtigere absorption. Hvis der genereres en tilstrækkelig trykgradient f.eks. under et host, kan en alveole rumpere, og luft vil dissekere sig ned i det peribronkiolære bindevæv og videre ind i mediastinum. En eventuel inflammation pga. langvarig brug af kokain kan bidrage til, at alveolevæggen svækkes og dermed lettere brister [5]. Pnemomediastinum ses også i forbindelse med rygning af hash eller heroin.

Udredningen inkluderer anamnese og klinisk undersøgelse, hvor specielt subkutant emfysem og Hammans tegn er hyppige fund [3, 5]. Herudover bør der tages røntgenbilleder af thorax eller foretages ultralydundersøgelse af lungerne for at udelukke pneumothorax. CT af thorax kan anvendes, hvis ovenstående er inkonklusivt [3]. Der skal foretages ekg og måles koronarenzymer for at udelukke kardiel iskæmi.

Behandlingen består i iltterapi og smertestillende medicin eventuelt suppleret med benzodiazepiner. Generelt er spontan pneumomediastinum efter kokainindtag en benign tilstand, som blot kræver observation i få dage. Indlæggelse på en intensivafdeling er sjældent indiceret [3, 5].

src="/LF/images_ufl/ufl_bla.gif">
Rikke Mærkedahl , Anæstesiologisk Afdeling, Aarhus Universitetshospital, Nørrebrogade 44, 8000 Aarhus C. E-mail: rikke.maerkedahl@dadlnet.dk.

Antaget: 3. august 2011

Først på nettet: 26. september 2011

Interessekonflikter: ingen

Taksigelse: Mette Hjørringgaard , Radiologisk Afdeling, Aarhus Universitetshospital, Aarhus Sygehus, takkes for udvælgelse af billedmateriale.

Summary

Summary Pneumomediastinum induced by sniffed cocaine Ugeskr Læger 2012;174(14):945-946 The increasing availability and use of cocaine stresses the importance that physicians are aware of the medical complications of the abuse. This case report describes a 24 year-old man who got chest pain after the snorting of 6 g of cocaine. A chest X-ray revealed a pneumomediastinum, which was confirmed by a computed tomography of the thorax. Pneumomediastinum secondary to cocaine insufflations is described as a benign condition. Adequate therapy is painkillers and observation, when life-threatening condition such as oesophageal rupture is excluded.

Referencer

  1. Narkotikasituationen i Danmark. København: Sundhedsstyrelsen, 2006.
  2. Devlin RJ, Henry JA. Clinical review: major consequences of illicit drug consumption. Crit Care 2008;12:202.
  3. Alnas M, Altayah A, Zaman M. Clinical course and outcome of cocaine-induced pneumomediastinum. Am J Med Sci 2010;339:65-7.
  4. Perna V, Vilà E, Guelbenzu JJ et al. Pneumomediastinum: is this really a benign entity? Eur J Cardiothorac Surg 2010;37:573-5.
  5. Seaman ME. Barotrauma related to inhalational drug abuse. J Emerg Med 1990;8:141-9