Skip to main content

Polyp i galdeblæren påvist ved ultralydskanning

Professor Jacob Rosenberg & overlæge Charlotte Strandberg Amtssygehuset i Gentofte, Kirurgisk Afdeling D og Billeddiagnostisk Afdeling

31. okt. 2005
2 min.


Sygehistorie

En 46-årig kvinde henvendte sig til egen læge pga. smerter under højre kurvatur, specielt efter indtagelse af fede spiser. Smerterne varer 2-3 timer pr. anfald. Der blev foretaget ultralydskanning, hvorved man ikke fandt konkrementer i galdeblæren, men derimod en polyp på 7 mm udgående fra galdeblærens væg. Der var normale forhold ved leveren og de ekstrahepatiske galdeveje.

Værd at vide

  • Polypper i galdeblæren (med og uden symptomer) forekommer hos ca. 5% af befolkningen, og langt de fleste er benigne på diagnosetidspunktet.

  • Man anser adenomer i galdeblæren for at være forstadier til adenokarcinom, om end der ikke foreligger solid evidens for dette.

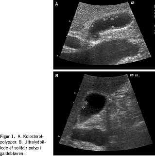
  • Galdeblærepolypper ses på ultralydskanninger som små vægstillede hyperekkogene processer, der prominerer ind i lumen uden at kaste stenskygge (Figur 1 ).

  • »Polypper« i galdeblæren kan være adenomer, kolesterolpolypper, slimhindefolder eller galdesten.

  • Multiple polypper er ofte kolesterolpolypper, og de er ofte benigne. Solitære polypper er oftere adenomer. De bredbasede polypper er mere malignitetssuspekte end de stilkede.

  • Medmindre der foreligger kontraindikation mod operation, anbefales generelt laparoskopisk kolecystektomi ved fund af en polyp i galdeblæren ved skanning.

  • Ved massive forandringer, f.eks. tegn på invasion i leveren, eller ved en polyp > 18 mm set ved skanning, anbefales åben operation med mulighed for definitiv kirurgisk behandling (resektion af levervæv mv. - dvs. henvisning til en afdeling med leverkirurgisk ekspertise).

  • Risikoen for malignitet øges ved polypper > 10 mm, ved samtidige galdeblæresten, ved alder > 50 år, og ved vækst af polyppen.

  • Ved stationær størrelse af polyppen i to år er risikoen for malignitet negligeabel.

Hvad gør vi?

  • Patienten har symptomer og en polyp på 7 mm og bør derfor tilbydes operation (Figur 2 ).



Korrespondance: Jacob Rosenberg , Kirurgisk Gastroenterologisk Afdeling, Amtssygehuset i Gentofte, DK-2900 Hellerup.
E-mail: jaro@gentoftehosp.kbhamt.dk

Antaget: 3. februar 2005

Interessekonflikter: Ingen angivet

Anbefalet læsning


Referencer

  1. Afzal S, Kristiansen VB, Rosenberg J. Galdeblærepolypper. Ugeskr Læger 2001;163:5003-6.
  2. Lee KF, Wong J, Li JCM et al. Polypoid lesions of the gallbladder. Am J Surg 2004;188:186-90.
  3. Referenceprogram for behandling af patienter med galdestenssygdomme. Sundhedsstyrelsen, Sekretariatet for referenceprogrammer. 2002:1-58.