Skip to main content

Post-endoskopisk retrograd kolangiopankreatikografi-pankreatitis med sænkningsabsces til knæniveau

Pernille Linde Jellestad1 & Biniam Berhane Teklay2

26. aug. 2019
4 min.

Incidensraten af akut pankreatitis varierer fra 5,4 til 79,8 pr. 100.000 pr. år [1]. Diagnosen stilles ud fra
kliniske symptomer kombineret med en stigning af
niveauet af amylase i blodet. Akut pankreatitis kan udvikle sig med alvorlige komplikationer i form af multiorgansvigt, pancreasnekroser, abscesser og pseudocyster.

Årsagen til akut pankreatitis er hyppigst alkoholmisbrug eller obstruktiv galdevejssygdom, men lidelsen kan også opstå som komplikation i forbindelse med endoskopisk retrograd kolangiopankreatikografi (ERCP. Denne endoskopiske procedure kan have andre komplikationer såsom blødning, perforation og kolangitis [2]. Der er også forekommet mere sjældne komplikationer i forbindelse med ERCP – herunder udvikling af subkutant emfysem med pneumoretroperitoneum, hypofyseapopleksi [3] og nu knænære abscesser.

SYGEHISTORIE

En 67-årig kvinde fik foretaget ERCP i november 2016 pga. sten i de dybe galdegange. Hun blev dagen efter indlagt med svære øvre mavesmerter. Ved en objektiv undersøgelse fandt man direkte ømhed i hele abdomen, dog med punktum maksimum i øvre abdomen, og et amylaseniveau på 500 U/L. Initialt blev tilstanden tolket som post-ERCP-pankreatitis. Efter fire dage afslørede en CT en væskeansamling omkring pancreas. Patientens infektionstal var steget til C-reaktivt protein 300 mg/l og leukocytter 20 × 109 E/l.

Elleve dage post-ERCP var abdominalsmerterne væk. Patientens gene var nu tyngdefornemmelse og smerter i højre ben. Ved en objektiv undersøgelse sås hævelse i hele højre underekstremitet (UE). Dyb venetrombose blev udelukket. Pga. fortsat stigende infektionstal 20 dage efter indlæggelse påbegyndte man behandling med piperacillin/tazobactam og metronida-
zol, og mistanken om nekrose ved peripancreas blev rejst. Niveauet af amylase i serum var nu normaliseret. En bloddyrkning viste Enterococcus faecium, og antibiotikabehandlingen blev ændret til vancomycin.

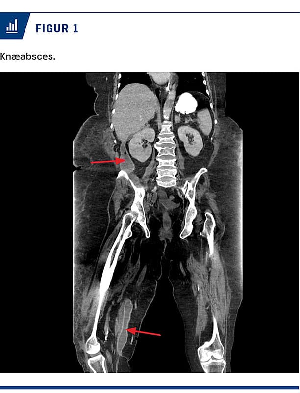
Højre UE hævede yderligere, og 27 dage efter indlæggelse blev der foretaget endnu en CT, som viste tiltagende væskeansamling ved pancreas og i højre fossa, samt multiple abscesser i lårmuskulaturen på højre UE (Figur 1). Ansamlingen i UE blev dræneret lige over knæniveau (Figur 2) med udtømning af 400 ml pus (der indeholdt 34 IE amylase), og ansamlingen i højre fossa blev tømt ultralydvejledt. Begge ansamlinger indeholdt Escherichia coli, hæmolytiske B-streptokokker og Staphylococcus aureus, hvilket medførte et længerevarende behandlingsforløb med firestofsantibiotika. Med tilstedeværelsen af amylase blev abscesserne tolket som sænkningsabscesser gennem retroperitonealrummet ned mod højre UE – altså en ekssudativ pankreatitis.

Patienten havde et længere efterforløb med anlæggelse af både loopileostomi pga. colonileus og gastroenterostomi pga. fibrotisk stenose (tre måneder post-ERCP) og blev behandlet frem til november 2017 for intermitterende intraabdominale abscesser. Ileostomien blev efterfølgende tilbagelagt i rolig fase.

DISKUSSION

ERCP bruges i både diagnostisk og terapeutisk øjemed, den er en rutineendoskopisk undersøgelse af patienter med obstruktion af galdegangene. Den er kendt for at give øget risiko for komplikationer, men efter at have gennemsøgt litteraturen har vi ikke genfundet en lignende komplikation som en sænkningsabsces fra pancreas helt ned til knæniveau i efterforløbet af ERCP. Dog er der set abscesser til scrotum pga. nekrotiserende pankreatitis [4]. En forklaring på placeringen og patogensen af en sænkningsabsces fra pancreas så distalt som til knæniveau er, at abscessen kan være udgået fra pancreas og via retroperitonealrummet gået til både højre fossa og ned langs højre UE, hvilket dokumenteres med fund af amylase i abscessen ved punktur. Tilstanden er formentligt opstået som en iatrogen perforation til retroperitonalrummet under ERCP.

Kort efter indlæggelsen af patienten i sygehistorien var niveauet af amylase i serum normaliseret, selvom en CT 27 dage efter indlæggelsen stadig viste morfologiske tegn på pankreatitis og sænkningsabscesser. I tilfælde hvor patienten enten har en kendt kronisk pankreatitis og dermed en minimalt mængde amylase, der kunne lækkes til blodbanen, eller hvor blodprøven tages for tidligt, inden den endelige amylasestigning har fundet sted, vil P-amylaseniveauet ligge i normalområdet. Rundt om i verden bruges der andre parametre til tolkning af akut pankreatitis herunder urinamylaseniveau [5].

Korrespondance: Pernille Linde Jellestad.
E-mail: pernille.jellestad@gmail.com

Antaget: 2. juli 2019

Publiceret på Ugeskriftet.dk: 26. august 2019

Interessekonflikter: ingen. Forfatternes ICMJE-formularer er tilgængelige sammen med artiklen på Ugeskriftet.dk

Summary

Pernille Linde Jellestad & Biniam Berhane Teklay:

Post-endoscopic retrograde cholangiopancreatography with descending abscess to knee level

Ugeskr Læger 2019;181:V12180885

In this case report, a 67-year-old woman underwent an endoscopic retrograde cholangiopancreatography (ERCP). The following day she was admitted to hospital due to abdominal pain. Blood tests showed amylase of 500 U/l and C-reactive protein of 300 mg/l, and suspicion of post-ERCP pancreatitis was raised. A CT scan of the abdomen showed signs of acute pancreatitis. After ten days the lower right leg started to swell. Deep venous thrombosis was ruled out, and a control CT-scan four weeks after admission showed abscesses in the right lower fossa and the lower right leg at knee level. Punctures had contents of amylase. Everything was interpreted as descending abscesses retroperitoneal from pancreas due to acute pancreatitis as an ERCP complication.

Referencer

LITTERATUR

  1. Kingsnorth A, O‘Reilly D. Acute pancreatitis. BMJ 2006;332:1072-6.

  2. Talukdar R. Complications of ERCP. Best Pract Res Clin Gastroenterol 2016;30:793-805.

  3. Crisman C, Ward M, Majmundar N et al. Pituitary apoplexy following
    endoscopic retrograde cholangiopancreatography. World Neurosurg 2019;121:201-4.

  4. Mirhashemi S, Soori M, Faghih G et al. Scrotal abscess: a rare presentation of complicated necrotizing pancreatitis. Arch Iran Med 2017;20:124-7.

  5. Rompianesi G, Hann A, Komolafe O et al. Serum amylase and lipase and urinary trypsinogen and amylase for diagnosis of acute pancreatitis. Cochrane Database Syst Rev 2017;4:CD012010.