Skip to main content

Post partum-ovarievenetrombose

Aria Homaira Nezam, Finn Friis Lauszus & Rubab Hassan Agha Krogh

29. okt. 2018
4 min.

I graviditeten og puerperiet er der øget risiko for tromboemboliske komplikationer, hvoraf dyb venetrombose er en af de hyppigste. Risikoen stiger med gestationsalderen, idet størrelsen på uterus omkring gestationsuge 25-29 nedsætter det venøse flow med 50% pga. venøs stase [1]. En anden medvirkende faktor under en graviditet er hyperkoagulabilitet, som er en øgning af mange koagulationsfaktorer som en fysiologisk, hæmostatisk forberedelse på fødsel [1].

SYGEHISTORIE

En 38-årig kvinde fik akut opståede, tiltagende mavesmerter tre uger post partum. Hun havde haft to døgns anamnese med tiltagende mavesmerter i højre fossa og feber på 38,9 °C.

Hun havde født tre gange, og den seneste fødsel var efter en in vitro-fertilisering (IVF)-graviditet med dikoriske tvillinger, hvor hun fik foretaget elektivt sectio i uge 38 + 2. Hun havde fået tromboseprofylakse med lavmolekylær heparinbehandling, 7.500 anti-Xa IE dagligt i forbindelse med fødslen og seks uger post partum, da der var øget risiko for tromboemboli pga. et BMI > 30 kg/m2, flerfoldgraviditet, IVF og alder.

Objektivt var hun øm i højre fossa med indirekte abdominal ømhed. Ved transvaginal ultralydskanning fandtes normale forhold. Temperaturen blev målt i øret til 370° C; hun havde dog taget paracetamol og ibuprofen forinden. Paraklinisk havde hun et leukocytniveau på 6,5 × 109/l og C-reaktivt protein-niveau på 30 mg/l.

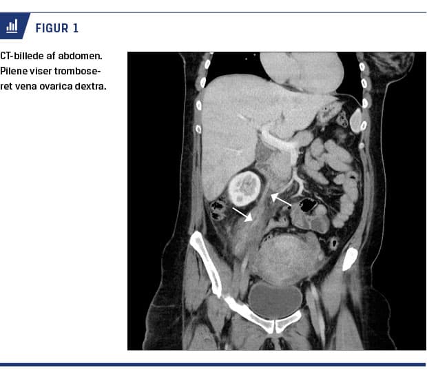
Klinisk havde man mistanke om appendicitis, og man bestilte derfor CT af abdomen (Figur 1). Denne viste inflammatoriske forandringer, der udgik fra venstre side af uterus og op til nedre højre nyrepol samt en tromboseret højresidig ovarievene.

Patienten fik antibiotisk behandling og lavmolekylær heparin i teraputiske doser, 18.000 anti-Xa IE dagligt. To dage senere blev hun af kardiologerne sat i warfarinbehandling og henvist til center for hæmofili og trombose til videre udredning.

DISKUSSION

Post partum-ovarievenetrombose (POVT) er en sjælden, men alvorlig komplikation, der ses op til 2-3 uger efter en fødsel. Den er en sjælden tilstand, der rammer en ud af 2.000 kvinder [2]. I 80-90% af tilfældene er det højre ovarievene, der bliver ramt, idet den er længere end venstre ovarievene, og pga. uterus‘ dekstrorotation under graviditeten [3].

Hos kvinder, der har akut indsættende mavesmerter i ugerne post partum, må man overveje POVT som
differentialdiagnose. Symptomerne kan være feber, leukocytose, mavesmerter samt flanke-, lænde- og lyskesmerter. Alt dette kan bl.a. ligne appendicitis, adnextorsion, endometritis eller pyelonefritis [4]. Hos patienten i sygehistorien gav feber og smerter i højre fossa først mistanke om appendicitis.

Risikofaktorer for POVT er sectio, multiparitet, flerfoldsgraviditet, langvarig vandafgang, rygning, højt BMI, trombofili, puerpural feber og bakteriæmi [5].

Patienten i sygehistorien havde flere risikofaktorer for tromboemboli post partum, og på trods af profylaktisk trombosebehandling udviklede hun POVT. Diagnosen blev stillet på baggrund af billeddiagnostik, og en CT viste en tydelig tromboseret højre ovarievene (Figur 1).

Anbefalingen er få dages antibiotikabehandling pga. øget risiko for sepsis samt længerevarende antitrombotisk behandling og trombofiliudredning [4].

Med denne sygehistorie vil vi henlede opmærksomhed på den sjældne, men alvorlige komplikation, der kan forekomme 2-3 uger post partum. Man bør have dette in mente hos en kvinde, der har akutte mavesmerter efter en fødsel.

Korrespondance: Aria Homaira Nezam.
E-mail: Homaira.nezam@gmail.com

Antaget: 21. august 2018

Publiceret på Ugeskriftet.dk: 29. oktober 2018

Interessekonflikter: Forfatternes ICMJE-formularer er tilgængelige sammen med artiklen på Ugeskriftet.dk

Summary

Aria Homaira Nezam, Finn Friis Lauszus &
Rubab Hassan Agha Krogh:

Post-partum ovarian vein thrombosis

Ugeskr Læger 2018;180:V03180187

In this case report a 38-year-old woman presented with lower abdominal pain three weeks postpartum. She had been delivered by caesarean section after twin pregnancy and was given low-molecular heparin prophylaxis to be taken six weeks post caesarean. The initial clinical examination was normal. A CT scan revealed thrombosis in the right ovarian vein. Therapeutic dosage of low-molecular heparin was initiated, and the patient was further referred for thrombophilia workup. Post-partum ovarian vein thrombosis is a very rare condition but a diagnosis to keep in mind, when women present with lower abdominal pain even weeks after labour.

Referencer

LITTERATUR

  1. Devis P, Knuttinen MG. Deep venous thrombosis in pregnancy: incidence, pathogenesis and endovascular management. Cardiovasc
    Diagn Ther 2017;7(suppl 3):S309-S319.

  2. Al-toma A, Heggelman BG, Kramer MH. Postpartum ovarian vein thrombosis: report of a case and review of literature. Neth J Med 2003;61:334-6.

  3. Sorbi F, Mannini L, Aldinucci M et al. Ovarian vein thrombosis presenting as acute abdomen in puerperium. J Clin Diagn Res 2016;10:QD03-QD04.

  4. Arslan H, Ada S, Celik S et al. Postpartum ovarian vein and inferior vena cava thrombosis. Case Rep Med 2014;2014:609187.

  5. Salomon O, Dulitzky M, Apter S. New observations in postpartum ovarian vein thrombosis: experience of single center. Blood Coagul Fibrinolysis 2010;21:16-9.