Postepiduralt subduralt hæmatom


Frederik Lundgaard Hansen & Jens Christian Hedemann Sørensen
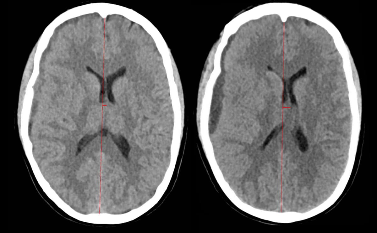
En 30-årig kvinde fødte under epidural anæstesi. I efterforløbet blev hun behandlet med blood patch pga. spinal hovedpine. Efter 14 dage opstod akutte neurologiske symptomer med hovedpine, venstresidig hemiparæstesi, hemiparese, facialisparese, ordfindingsbesvær og dysartri. CT af cerebrum (CT-C) viste initialt smalt subduralt hæmatom (SDH) over højre hemisfære (A). Over to døgn progredierede symptomerne, og CT-C viste SDH med tiltagende masseeffekt (B). Patienten blev akut opereret med udtømning af SDH via borehul med efterfølgende klinisk bedring.
SDH er en sjælden, men potentielt ganske alvorlig komplikation til neuroaksial blokade [1, 2]. Sygdomsmekanismen menes at være tab af cerebrospinalvæske gennem dural læsion ved indstiksstedet og som følge heraf intrakranial hypotension med kaudal displacering af hjernen med risiko for overrivning af brovener, hvilket forårsager blødning i subduralrummet [3].
Man bør have denne differentialdiagnose for øje, når en patient i forløbet efter neuroaksial blokade udvikler behandlingsresistent eller nonpostural hovedpine, især med ledsagelse af neurologiske udfald, da denne tilstand potentielt kræver kirurgisk intervention for at undgå men eller fatale følger.
Korrespondance Frederik Lundgaard Hansen. E-mail: frehanse@rm.dk
Publiceret på ugeskriftet.dk
Interessekonflikter Der er anført potentielle interessekonflikter. Forfatternes ICMJE-formularer er tilgængelige sammen med artiklen på ugeskriftet.dk
Artikelreference Ugeskr Læger 2022;184:V71132
Szeto V, Kosirog J, Eilbert W. Intracranial subdural hematoma after epidural anesthesia: a case report and review of the literature. Int J Emerg Med. 2018;11(1):36.
Lim G, Zorn JM, Dong YJ et al. Subdural hematoma associated with labor epidural analgesia: a case series. Reg Anesth Pain Med. 2016;41(5):628-31.
Cuypers V, Van de Velde M, Devroe S. Intracranial subdural hematoma following neuraxial anaesteshia in the obstetric population: a literature review with analysis of 56 reported cases. Int J Obstet Anesth. 2016;25:58-65.