Posteriort reversibelt encefalopatisyndrom


Mikkel Bundgaard Skotting1, Anders Vedel Holst1, Daniel Kondziella2 & Peter Birkeland1
Posteriort reversibelt encefalopatisyndrom (PRES) viser sig klinisk i form af hovedpine, encefalopati, epileptiske anfald og synsforstyrrelser. Typiske radiologiske fund er vasogent ødem primært i hjernens parietal- og occipitallapper.
Oprindeligt er syndromet beskrevet som godartet og fuldt reversibelt, men det er forbundet med en risiko for funktionelle handikap og har en dødelighed på ca. 2%.
For at reducere risikoen for alvorlige komplikationer og dødelighed ved PRES er det afgørende at identificere og behandle den tilgrundliggende årsag.
Posteriort reversibelt encefalopatisyndrom (PRES) er et neurologisk syndrom, som omfatter hovedpine, encefalopati, epileptiske anfald og synsforstyrrelser. De typiske billeddiagnostiske fund er vasogent ødem overvejende i hjernens occipital- og parietallapper [1]. PRES blev først beskrevet i 1996 [1]. Dengang var navnet reversibelt posteriort leukoencefalopatisyndrom (RPLS), men navnet PRES er nu det mest anvendte. Oprindeligt betragtede man PRES som fuldt reversibelt [1], men det har siden vist sig ikke altid at være tilfældet [2].
Der findes ikke klart definerede diagnostiske kriterier [3]. PRES er en differentialdiagnose til flere akutte neurologiske tilstande og er derfor vigtigt at kende til. Forekomsten i Danmark er ukendt, og der findes heller ikke en national behandlingsvejledning for PRES. Formålet med denne artikel er at give et samlet overblik over PRES med fokus på patofysiologi, disponerende faktorer, behandling og prognose.
Patofysiologien er ikke fuldt klarlagt, men den cerebrale perfusion menes at spille en central rolle. Ved PRES ses ofte – men ikke altid – markante blodtrykssvingninger [4, 5]. Det er derfor sandsynligt, at en kombination af forskellige mekanismer bidrager til sygdommen, herunder hypertension, forstyrrelser i hjernens autoregulering og endotelial dysfunktion forårsaget af cytokinsekretion eller medikamenter [5, 6].
PRES kan ramme alle aldersgrupper. Gennemsnitsalderen er 45 år, og der er en højere forekomst hos kvinder end hos mænd [7, 8]. I Tabel 1 ses en oversigt over risikofaktorer for udvikling af PRES [2], og nedenfor uddybes de vigtigste disponerende faktorer.
Hypertension
Hypertensiv krise er den mest almindelige og bedst kendte form for PRES. Det er dog værd at bemærke, at i 20-30% af tilfældene opstår PRES ved normalt blodtryk [2].
Ved hypertensiv krise anses cerebral hyperperfusion for at spille en afgørende rolle. Under normale forhold sørger autoregulationen for at bevare normal blodgennemstrømning til hjernen trods udsving i det systemiske blodtryk. Det vil sige, at der sker en vasodilatation ved systemisk hypotension og vasokonstriktion ved systemisk hypertension. Ved hurtig udvikling af hypertension kan kapaciteten for den cerebrale autoregulering overstiges, hvilket resulterer i hyperperfusion. Den bageste cerebrale cirkulation synes mere sårbar over for hyperperfusion pga. mindre sympatisk innervation, hvilket begrænser evnen til at modvirke refleksbetinget parasympatisk vasodilatio [9]. Årsagen til den reducerede sympatiske innervation i forhold til det anteriore cerebrale kredsløb er formentlig evolutionsbiologisk: Det bagerste kredsløb er fylogenetisk ældre end det anteriore.
Denne hypotese er dog blevet anfægtet [5]. Den øvre grænse for autoregulering skønnes at være et middelarterieblodtryk (MAP) på 140-150 mmHg [10], og det er under halvdelen af patienter med hypertensiv PRES, der har et MAP over denne grænse. Der er dog variationer i den øvre grænse for autoregulering, f.eks. hos gravide [10].
Nyresvigt
Op til 55% af patienter med PRES har nyresvigt. Mekanismerne, der forbinder nyreskade med PRES, er endnu ikke fuldt ud forklaret, men kan involvere forstyrrelser i renin-angiotensin-aldosteron-systemet [10].
Præeklampsi/eklampsi
Præeklampsi og eklampsi er stærkt forbundet med PRES, hvor op mod 97,9% af patienterne med eklampsi også har PRES [11]. Patienter med PRES grundet graviditet har oftere hovedpine og sjældnere ændret mental status end patienter, hvor PRES ikke skyldes obstetriske faktorer [12].
Autoimmune tilstande og blodsygdomme
Autoimmune tilstande som systemisk lupus erythematosus og trombotisk trombocytopenisk purpura er relateret til næsten halvdelen af PRES-tilfældene.
Såvel organ- som stamcelletransplantationer er også forbundet med en øget risiko for PRES, med en forekomst på 0,4-22%.
PRES hos patienter med seglcellesygdom er også beskrevet i litteraturen [10]. Det er dog uklart, om årsagen til associationen er den autoimmune sygdom i sig selv eller snarere den høje forekomst af nyreskade samt de immunsuppressive lægemidler, der ofte anvendes i behandlingen af disse tilstande.
Medikamenter
Immunosuppressiva såsom tacrolimus og steroider kan alle disponere for PRES [10]. PRES er også associeret til en lang række kemoterapeutiske medikamenter [13]. En oversigt over medikamenter, der disponerer for PRES, er anført i Tabel 1.
Som nævnt tidligere er der ikke konsensus om de diagnostiske kriterier for PRES. På trods af dette er de kliniske manifestationer velbeskrevne.
PRES udvikler sig over timer til dage. Hovedsymptomerne inkluderer encefalopati, epileptiske anfald, hovedpine, visuelle forstyrrelser og fokale neurologiske symptomer [2].
Encefalopati, som spænder fra let forvirring til svær stupor eller koma, ses hos 28-94% af patienterne [7, 8, 14].
Epileptiske anfald rammer 74–87% og opstår sædvanligvis inden for de første 24-48 t.; 3%-17% kan opleve status epilepticus, som sjældent er det indledende symptom [15, 16].
Omkring halvdelen af patienterne med PRES oplever hovedpine, som typisk er ikkepulserende, diffus og gradvist forværres [2]. Pludselig og intens hovedpine (tordenskraldshovedpine) kan forekomme, men er mere almindelig ved reversibelt cerebralt vasokonstriktionssyndrom (RCVS) [17, 18].
Visuelle symptomer rapporteres hos 39% af patienterne. De visuelle symptomer kan være nedsat syn, dobbeltsyn, synsfelttab, kortikal blindhed, farvesynsforstyrrelser og visuelle hallucinationer [1, 7, 8]. Øjenundersøgelser af patienter med PRES er ofte negative, men der kan forekomme papilødem og uspecifikke blødninger [10].
Fokale neurologiske udfald som afasi og hemiparese ses hos 19% af patienterne [8].
Paraklinik
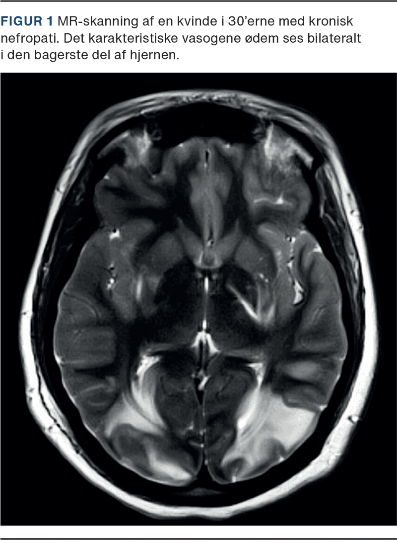
PRES-diagnosen bekræftes ved hjælp af billeddiagnostik af hjernen. MR-skanning foretrækkes frem for CT grundet dens overlegne opløsning. De typiske billeddiagnostiske karakteristika for PRES inkluderer vasogent ødem i den hvide substans og ofte i den overliggende cortex. PRES erkendes bedst på MR-skanning med fluid-attenuation inversion recovery-sekvenser (FLAIR) [19].
Parietallapperne og occipitallapperne er næsten konsekvent involveret, og man ser typisk, at fundene er symmetriske og bilaterale. Der kan ses involvering af frontallapperne i nogen grad, specielt nær de superiore frontale sulci. Selv om vasogent ødem kan påvirke den grå substans, observeres det oftere og tydeligere i den subkortikale hvide substans [19].
En central variant, der påvirker hjernestamme og basalganglierne er også beskrevet, og rygmarven kan i sjældne tilfælde være involveret [2].
I praksis er mønstrene ofte blandet, og PRES med kombinerede mønstre er mere almindeligt end PRES med isoleret parieto-occipital involvering [20].
Intrakranielle blødninger findes i den akutte fase i 10-25% af tilfældene [21]. Men op til 65% af patienterne, der får udført opfølgende MR-skanning, har mikroblødninger [21] (Figur 1).
Laboratorieundersøgelserne bør tilpasses den kliniske situation. I et review fra 2022 anbefales følgende initiale laboratoriepanel: 1) leukocytter inkl. differentialtælling, 2) nyretal, 3) levertal (især vigtigt i forhold til HELLP-syndromet) og 4) urintoksikologiscreening. Labotorieprøverne herfor er ikke udtømmende.
Analyse af cerebrospinalvæske (CSV) er normalt ikke påkrævet ved tydelige tilfælde af PRES, men bør overvejes ved atypiske MR-skanningsresultater og/eller atypiske kliniske fund for at udelukke alternative diagnoser som encefalitis eller demyeliniserende sygdomme.
Som nævnt tidligere er det ikke alle patienter med PRES, der har forhøjet blodtryk [22]. Ved svær og uforklarlig hypertension er det fornuftigt at undersøge for årsager til sekundær hypertension, herunder fæokromocytom, nyrearteriestenose, Cushings syndrom m.m. Eftersom PRES er associeret med autoimmune lidelser, kan det være hensigtsmæssigt at screene for disse også.
Differentialdiagnoser
Det kliniske billede og risikofaktorerne for PRES kan være overlappende med andre tilstande. Derfor er en grundig gennemgang af patientens sygehistorie og medicinliste essentiel. Som nævnt er RCVS en vigtig differentialdiagnose.
I Tabel 2 ses differentialdiagnoser for PRES og de billeddiagnostiske samt andre parakliniske fund, der kan benyttes til at skelne PRES fra andre diagnoser. Nogle af de nævnte tilstande kan klinisk skelnes fra PRES, men kan billeddiagnostisk ligne PRES [5].
Følgende behandlingsalgoritme er baseret på en oversigtsartikel fra 2022 [2]. Det overordnede mål er hurtig identificering og behandling af den udløsende årsag. Herudover er behandlingen symptomrettet. Figur 2 giver en visuel oversigt over den diagnostiske tankegang.
Hos patienter med hypertension bør blodtrykket gradvist sænkes med maksimalt 25% i de første få timer for at mindske risikoen for iskæmi i hjerne, hjerte og nyrer. Behandlingsmålet er et MAP på 105-125 mmHg [2].
Hvis der er mistanke om, at PRES er medicinudløst, pauseres medikamenterne.
Ved nyresvigt er der indikation for hurtig dialyse. Der kan blive behov for transfusion af blodprodukter ved koagulopati og for at give kortikosteroider til patienter med autoimmune lidelser.
I tilfælde af PRES ved præeklampsi/eklampsi kan man følge den nationale behandlingsvejledning [23]. Hvis muligt, skal fosteret forløses.
I tilfælde af status epilepticus behandles der akut med benzodiazepiner og loading af antiepileptika samt efterfølgende vedligeholdelsesdosis. Der er ingen standardretningslinjer for håndtering af PRES-associeret status epilepticus.
Da op til 70% af patienterne i forløbet vil få behov for intensiv terapi, bør man alene ved mistanke om PRES overveje at flytte patienten til en intensivafdeling. Patienter med PRES og GCS-score ≤ 8 bør om muligt få anlagt intrakraniel trykovervågning, når der ikke er andre oplagte årsager til bevidsthedstab (f.eks. status epilepticus). Behandling af forhøjet intrakranielt tryk følger vanlige algoritmer, der inkluderer osmoterapi, CSV-drænage ved eksternt ventrikulært dræn og kraniotomi med fjernelse af evt. hæmatom [2].
Prognosen for PRES er generelt god [1, 24], men varierer dog fra studie til studie og afhænger af den underlæggende årsag og evt. tilstødte komplikationer.
Ét studie estimerede mortaliteten til 2,2% [13]. Et andet studie rapporterede en samlet og specifik 90-dagesmortalitet på hhv. 16% og 5,7% [8]. Ifølge et tredje studie fik op til 44% af patienterne et varigt funktionelt handicap [25]. Flere radiologiske studier har påvist blivende strukturelle læsioner i 40%-65% af tilfældene [21, 26].
Nyt tilfælde af PRES forekommer hos 4% af patienterne, primært hos patienter med vedvarende risikofaktorer [27]. Epilepsi udvikles hos 1,0-3,9% af patienterne, der har haft et epileptisk anfald [15, 28].
Følgende faktorer er forbundet med en dårlig prognose: indlæggelse på en intensivafdeling, intrakraniel blødning, cytotoksisk ødem, autoimmun sygdom, infektioner, encefalopati og koagulationsforstyrrelser [24]. Derimod er præeklampsi/eklampsi som udløsende årsag til PRES associeret med en bedre prognose [13].
PRES er et syndrom med karakteristiske kliniske og neuroradiologiske fund. Den præcise patofysiologiske mekanisme er ukendt, men der indgår en dysfunktion af blod-hjerne-barrieren resulterende i vasogent ødem overvejende i det posteriore cerebrale kredsløb. Der eksisterer en række veldokumenterede årsager til syndromet, herunder hypertensiv krise. Behandlingen er rettet mod den underliggende årsag med særlig opmærksomhed på håndtering af hypertension og krampeanfald. Selv om syndromet i mange tilfælde er reversibelt og har en god prognose, er der en risiko for vedvarende morbiditet og mortalitet.
Korrespondance Mikkel Bundgaard Skotting. E-mail: mbskotting@gmail.com
Antaget 12. september 2024
Publiceret på ugeskriftet.dk 4. november 2024
Interessekonflikter ingen. Forfatternes ICMJE-formularer er tilgængelige sammen med artiklen på ugeskriftet.dk
Referencer findes i artiklen publiceret på ugeskriftet.dk
Artikelreference Ugeskr Læger 2024;186:V03240180
doi 10.61409/V03240180
Open Access under Creative Commons License CC BY-NC-ND 4.0
This review summarises the current knowledge of posterior reversible encephalopathy syndrome which is an acute and severe neurological condition characterised by headache, encephalopathy, epileptic seizures, and visual disturbances. Typical radiological findings are cerebral vasogenic oedema, predominantly localised in the posterior cerebral circulation. The exact pathophysiological mechanisms remain unknown but involve dysfunction of the blood-brain barrier. There are several well-documented causes for the syndrome, the most important being acute hypertension. Management is aimed at identifying and eliminating the underlying cause and preventing secondary brain injury from, e.g., epileptic seizures.