Prænatal diagnostik af misdannelser i centralnervesystemet


Lisa Neerup Jensen1, Bodil Helenius Hvingel2, Christina Hjørnet Kamper3, Pernille Nørgaard2, Pernille Christina Martens4, Mette Bendixen Thorup5, Annika Reynberg Langkilde4, Vibeke Andrée Larsen4 & Puk Sandager3, 6
Misdannelse af CNS er en af de hyppigste fostermisdannelser.
Alvorlige neuralrørsdefekter kan oftest detekteres ved UL-skanning i 1. trimester, mens kortikale misdannelser sjældent detekteres prænatalt.
Foster-MR-skanning er et vigtigt supplement til UL-skanning ved mistanke om CNS-misdannelse.
Misdannelser i centralnervesystemet (CNS) er nogle af de hyppigst forekommende fostermisdannelser, og prognosen er ofte alvorlig [1-4]. Årsagen til CNS-misdannelse er oftest ukendt, men kan være associeret til en kromosomafvigelse, en miljøpåvirkning, f.eks. visse infektionsygdomme, teratogen medicin eller kroniske sygdomme hos den gravide f.eks. type 1-diabetes. Manglende lukning af neuralrøret er desuden associeret til lavt niveau af folinsyre ved konceptionen, hvorfor kvinder, som har oplevet at abortere eller føde et barn medneuralrørsdefekt, anbefales et øget tilskud af folinsyre forud for en ny graviditet.
Udviklingen af CNS begynder i tredje graviditetsuge og fortsætter gennem hele graviditeten, hvilket er afgørende for, hvornår forskellige misdannelser kan detekteres. Lukningen af neuralrøret og dannelsen af forhjernen sker tidligt i graviditeten, og misdannelser som akrani og holoprosencefali kan oftest ses ved UL-skanning meget tidligt i graviditeten, og med den teknologiske og videnskabelige udvikling øges antallet af misdannelser, som kan detekteres allerede i 1. trimester. Den biologiske udvikling begrænser derimod prænatal detektion af misdannelser i den del af CNS, der først udvikles sent i graviditeten.
Diagnostik i 1. trimester
UL-skanning i 1. trimester foretages i graviditetsuge 11-14 og udføres som udgangspunkt med 2D-abdominalskanning. Ved behov kan der suppleres med vaginalskanning og evt. 3D-skanning. CNS vurderes i et midt-sagittalt og aksialt plan, hvor følgende visualiseres: intakte kranieknogler med henblik på at udelukke akrani og store encefaloceler, midtlinie og symmetriske hemisfærer og lateralventriklerne udfyldt af plexus choroideus. Der måles biparietaldiameter for at sikre intakt kranium og overensstemmelse mellem crown-rump-length og caputs størrelse. Columnas udseende og form vurderes for at udelukke alvorlig columnadefekt [5, 6]. Ud over de strukturer, der er obligatoriske at fremstille ved rutineundersøgelsen, kan man nu ofte allerede i 1. trimester visualisere thalamus, cerebrale pedunkler, aquaductus cerebri, plexus choroideus, hjernestammen, cisterna magna og tredje og fjerde ventrikel (Figur 1 og Figur 2) [5].
Der er høje detektionsrater for en række alvorlige neuralrørsdefekter i 1. trimester: akrani: 98%, holoprosencefali: 88-92%, encefalocele: 89-95% og åben spina bifida: 68% [6, 7]. For at opnå høje detektionsrater er en systematisk undersøgelsesprotokol afgørende.
Afvigende UL-fund i 1. trimester kan ud over strukturelle misdannelser være afvigelser, som øger risikoen for kromosomale afvigelser.
Diagnostik i 2. trimester
Ved UL-skanning i 2. trimester, som foretages i 18.-20. graviditetsuge, undersøges kraniet, de cerebrale strukturer, ansigt og columna/spinalkanal. Der foretages vurdering i tre planer, hvorved strukturer, som er væsentlige pejlemærker for normal udvikling af hjernen, visualiseres (Figur 3). Såfremt strukturerne ikke kan fremstilles normale, vil det medføre mistanke om abnorm udvikling af CNS. F.eks. er ventrikulomegali en hyppig markør for abnorm cerebral udvikling, manglende cavum septum pellucidium kan være et indirekte tegn på en række alvorlige midtlinjedefekter, som holoprosencefali og corpus callosum agenesi [8]. I op mod 96% af tilfælde med åben spina bifida vil der være abnorm facon af kraniet (lemon sign) og cerebellum (banana sign) [9].
Biometrier er ligeledes en væsentlig del af undersøgelsen, og der foretages ved undersøgelsen følgende mål: hovedomfang, diameter af lateralventriklerne og cerebellum. Hovedets vækst er betinget af vækst af hjernen og er dermed en markør for normal udvikling af hjernen. Diagnosen mikrocefali kan dog oftest først stilles sent i 2. trimester eller i 3. trimester
Ved erkendt eller mistænkt anomali af CNS ved UL-skanning i 2. trimester er der indikation for udvidet neurosonografisk undersøgelse ved en føtalmedicinsk specialist. Ved neurosonografisk undersøgelse suppleres der ofte med 3D-UL-skanning, og hvis fosteret er i hovedstilling med transvaginal UL-skanning hvorved der kan opnås en højere opløselighed på grund af de transvaginale probers højere frekvens.
Der foretages ved den neurosonografiske undersøgelse skanning i tre transverselle, fire koronale og tre sagittale planer [10, 11]. I det sagittale plan er det bl.a. muligt at fremstille corpus callosum og vurdere størrelse og morfologi på vermis cerebelli og hjernestammen. I koronalplanet er det under optimale omstændigheder muligt at visualisere den laminære opbygning af parenkymet. Oftest er der dog behov for MR-skanning for at vurdere udviklingen af parenkymet.
En generel vurdering af cortex cerebri og de begyndende sulci, fissurer og gyri er ligeledes en del af den neurosonografiske undersøgelse. Tidspunkt for dannelsen af de forskellige sulci og fissurer er i den normale udvikling meget præcis og derfor gode markører for hjernens udvikling [12].
Da hjernens udvikling fortsat er ret primitiv, kan en normal UL-skanning i 2. trimester ikke udelukke betydende intrakranielle malformationer hos et foster. F.eks. kan migrationsdefekter sjældent detekteres direkte før 3. trimester, og det er derfor vigtigt, at der informeres om begrænsningerne ved UL-skanning i 2. trimester af CNS.
Diagnostik i 3. trimester
En rutine-UL-skanning i 3. trimester i en lavrisikopopulation er ikke en del af den danske svangreomsorg, idet der ikke er evidens for, at det forbedrer det perinatale eller maternelle outcome.
Talrige indikationer kan dog medføre at der foretages UL-skanning i 3. trimester, hvor der således vil være mulighed for også at detektere CNS-anomalier efter en i øvrigt normal 2. trimester-gennemskanning.
Ved mistanke om CNS-misdannelse i 3. trimester er der indikation for en målrettet neurosonografisk undersøgelse som gennemgået ovenfor.
I 3. trimester kan der foretages en detaljeret vurdering af den kortikale udvikling, hvor afvigelser ofte er associeret med alvorlige misdannelser [13].
Ved sent diagnosticerede misdannelser vil supplerende prænatal MR-skanning være indiceret, når det skønnes at have betydning for planlægning af fødsel og håndtering af barnet umiddelbart efterfølgende.
En del af de kortikale malformationer kan først afklares endeligt postnatalt. Ved de fleste tilfælde af polymikrogyri kan man således kun visualisere de helt tidlige tegn prænatalt og det vil derfor stadig oftest være en postnatal diagnose [14].
Diagnostik i 3. trimester vil ligeledes give mulighed for prænatal genetisk udredning, hvor det skønnes at have betydning for det neonatale forløb.
MR-skanning
Ved mistanke om CNS-anomali vil det i mange tilfælde være indiceret at supplere den neurosonografiske undersøgelse med prænatal MR-skanning.
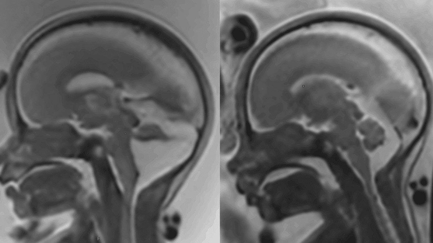
Føtal MR-skanning er en vigtig supplerende undersøgelse til føtalmedicinsk specialist neurosonografi. Formålet er at be- eller afkræfte UL-fund og undersøge for andre/associerede CNS-misdannelser, som kan være væsentlige for en samlet vurdering af prognosen (Figur 4) [15].
MR-skanning foretaget i 2. og 3. trimester betragtes som en sikker modalitet til visualisering af fosterhjernen og er ikke forbundet med risiko for fosteret, når den foretages uden kontrast. MR-skanning anbefales generelt ikke i 1. trimester [16].
Føtal MR-skanning er centraliseret i Danmark og foretages kun på Aarhus Universitetshospital og på Rigshospitalet, men universitetshospitalerne i Aalborg og Odense vil inden for kortere tid ligeledes kunne foretage føtal MR-skanning.
MR-skanning har nogle fordele og komplimenterer derfor føtal UL-skanning. MR-skanning er uafhængig af fosterlejring, højt BMI hos den gravide og oligohydramnios. Der kan ved MR-skanning visualiseres flere detaljer ved mistanke om fossa posterior anomalier, ligesom blødninger, vaskulære forandringer, migrationsdefekter og andre malformationer af den kortikale udvikling fremstilles bedre ved MR-skanning. Derimod har UL-skanning en højere spatial opløsning end MR-skanning og kan bedre visualisere f.eks. cystevægge og flow i kar med Doppler. MR-skanning kræver længere undersøgelsestid, hvilket kan være problematisk ved ubehag hos den gravide eller mange fosterbevægelser.
I Danmark foretages ca. 150 MR-fosterskanninger om året ligeligt fordelt mellem København og Aarhus. De fleste MR-skanninger foretages som opfølgning på UL-skanning i 2. trimester. Hyppige indikationer er f.eks. abnorm hjernebiometri, ventrikulomegali, tegn på fokal patologi som iskæmi eller blødning, fossa posterior malformation, midtlinjeanomalier som corpus callosum agenesi og i visse tilfælde ved infektionssygdomme, som kan medføre fosterhjerneskade. Ved mistanke om defekter i spinalkanalen kan nærmere detaljer ved et evt myelomeningocele påvises.
I 3. trimester anvendes MR-skanning ved opfølgning af tilstande, hvor der er behov for planlægning af forløsning og intervention postnatalt.
Ved føtal MR-skanning lejres kvinden med den gravide uterus i centrum af skanneren. Man foretager et oversigtsbillede af uterus med henblik på fosterplacering. Herefter foretages T2-sekvenser i tre planer over fosterhjernen, som er optimal til vurdering af de strukturelle forhold. T1-sekvens belyses med henblik på eventuel blødning eller forkalkning og diffusionssekvens til vurdering af iskæmi. Selv om de enkelte sekvenser er hurtige, er det ofte nødvendigt at gentage dele af undersøgelsen på grund af fosterbevægelser. Hele undersøgelsestiden varer derfor ofte op mod en time.
Prænatale genetiske undersøgelser
Ved fund af CNS-misdannelser er der indikation for at tilbyde genetisk undersøgelse af fosteret. Som standard foretages kromosomal microarrayanalyse. Hvis kromosomundersøgelsen med microarray er normal, tilbydes nu ofte genomundersøgelse, da denne har vist at have en yderligere diagnostisk gevinst ved CNS-misdannelser [17, 18].
Undersøgelser for infektionssygdom
Visse infektionssygdomme kan overføres fra den gravide til fosteret og forårsage misdannelser i hjernen. Som led i udredningen foretages der derfor ofte undersøgelse for evt. føtal infektion (bl.a. toksoplasmose, cytomegalovirus, parvovirus, zikavirus) ved undersøgelse for antistoffer i maternelt serum samt PCR-undersøgelse af fostervand.
Vurdering af prognose
Vurdering af fund og prognose samt information af den gravide/parret foregår ofte i tværfagligt samarbejde med genetikere, radiologer med ekspertise i MR-skanning af foster, neuropædiatere og neurokirurger. Den prognostiske vurdering kan i nogle tilfælde være vanskelig, da CNS ikke er færdigudviklet, og forløbet af den videre udvikling ikke kan forudsiges. I tilfælde, hvor CNS-misdannelsen er fatal, eller hvor der er høj risiko for, at barnet bliver svært mentalt eller motorisk handicappet, har den gravide/parret mulighed for at anmode Abortsamrådet om tilladelse til afbrydelse af graviditeten i henhold til sundhedsloven.
KONKLUSION
Misdannelser i CNS er nogle af de hyppigste fostermisdannelser. Tidlig prænatal detektion og præcis diagnostik er essentielt med henblik på information til den gravide/parret om fund og forventet prognose.
CNS udvikles gennem hele graviditeten, og det er derfor vigtigt at kende den anatomiske udvikling i forskellige gestationsaldre ved vurdering af CNS prænatalt. Den teknologiske og videnskabelige udvikling giver mulighed for, at flere misdannelser kan påvises allerede i 1. trimester, men den biologiske udvikling af fosteret begrænser prænatal detektion af tilstande, der først viser sig, når CNS er mere udviklet.
UL-skanning er bedste billedmodalitet til prænatal screeningsundersøgelse af fosterets CNS, men MR-skanning er et vigtigt supplement til UL-skanning og har en højere diagnostisk sikkerhed i 3. trimester. For at klarlægge årsag og prognose er der oftest indikation for at foretage genetisk undersøgelse af fosteret og undersøgelser for evt. intrauterin infektion.
Diagnostik og vurdering af prognose kan være kompleks og foretages ofte i et tværfagligt samarbejde med kolleger fra tilstødende specialer.
Korrespondance Puk Sandager. E-mail: kirssand@rm.dk
Antaget 15. januar 2025
Publiceret på ugeskriftet.dk 28. april 2025
Interessekonflikter ingen. Forfatternes ICMJE-formularer er tilgængelige sammen med artiklen på ugeskriftet.dk
Referencer findes i artiklen publiceret på ugeskriftet.dk
Artikelreference Ugeskr Læger 2025;187:V11240764
doi 10.61409/V11240764
Open Access under Creative Commons License CC BY-NC-ND 4.0
Anomalies of the central nervous system (CNS) are some of the most common anomalies in the fetus. Severe neural tube defects can be detected by ultrasound in the 1st trimester. An accurate diagnosis at the prenatal ultrasound is essential for parents’ prenatal counseling. Since the CNS develops throughout pregnancy, it is important to know the normal anatomy at different gestational ages. Fetal MRI is an important supplement to ultrasound for diagnostic accuracy. Genetic testing with microarray and whole genome sequencing can provide important information on the prognosis as argued in this review.