Skip to main content

Primær lokaliseret amyloidose i naso- og oropharynx

Britta Kaltoft1, Preben Løvgren2, Ulf Frølund3 & Jakob Welinder1

26. aug. 2013
4 min.

Lokaliseret amyloidose (LA) er en sjælden, benign tilstand med tumorlignende deponering af amyloid uden prædisponerende sygdom [1].

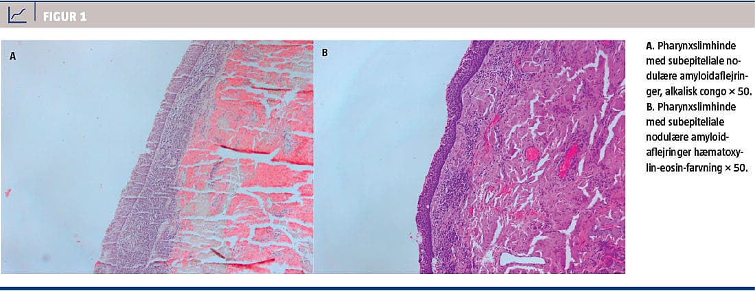
Amyloidaflejringerne er karakteriseret ved uopløselige fibriller, der består af proteinmateriale, som har et særligt udseende ved elektronmikroskopi. Ved specialfarvning med alkalisk congo lyser amyloidfibrillerne æblegrønt i polariseret lys [1].

Incidensen er ukendt, og tilstanden er formentlig underrapporteret, da den kun giver sparsomme gener. LA i naso- eller oropharynx er aldrig tidligere beskrevet i et dansk tidsskrift.

SYGEHISTORIE

En 62-årig kvinde blev henvist fra egen otolog efter fund af en tumor i næse- og mundhulen. Den havde været til stede i flere år, men gav nu gener i form af fremmedlegemefornemmelse. Patienten var ellers rask.

Objektivt fandtes en velafgrænset, gullig tumor, der var beliggende bag højre tonsil og strakte sig op mod tubaostiet. Øvrig otologisk undersøgelse viste normale forhold. Tumoren, som målte 27 × 13 × 6 mm, blev fjernet in toto. Det postoperative forløb var uproblematisk.

Histologisk fandt man subepiteliel infiltration med lymfocytter og polyklonale plasmaceller. Tumoren var opbygget af nodulært arrangeret acellulært eosinofilt amorft materiale, som var positivt for amyloidspecialfarvninger (Figur 1A og B), og diagnosen LA blev stillet.

Patienten blev efterfølgende udredt for systemisk amyloidose (SA) i hæmatologisk regi.

Klinisk havde patienten ikke tegn på organsvigt. Der kunne ikke påvises M-komponent i hverken plasma eller urin. Der var ingen letkædeforhøjelse, kappa-lambda-ratioen og niveauet af immunglobuliner var normale. Der var normal hæmatologi, normal kreatinin-, ioniseret calcium- og beta-2-mikroglobulinkoncentration samt normalt levertal fraset let forhøjet laktatdehydrogenase (LDH). Et elektrokardiogram viste sinusrytme uden low voltage. En knoglemarvsbiopsi viste moderat hyperplasi uden atypiske monoklonale plasmaceller eller amyloide aflejringer. En røntgenundersøgelse af totalskelettet viste ingen osteolytiske foci. På grund af forhøjet LDH foretog man en positronemissions/computertomografi. Denne var uden organomegali, men man fandt i højre aksil en hypermetabol lymfeknude, der ved en efterfølgende ultralydskanning viste sig at være normal. Patienten havde således ikke tegn på SA med underliggende monoclonal gammopathy of undetermined significance eller myelomatose, og det kliniske billede forblev uændret ved efterfølgende kontrol.

DISKUSSION

Amyloidose inddeles i henholdsvis LA og SA [2].

Symptomer på SA er relateret til amyloidaflejringer i organerne. Symptomerne viser sig ofte først, når aflejringerne er udtalte, og sygdommen fremskreden. Sygdommen kan vise sig ved neuropati, øget blødningstendens, hjertesvigt eller nefrotisk syndrom. En del vil have organomegali, herunder makroglossi [3].

Prognosen for SA er dårlig på grund af hastigt progredierende organsvigt, og den hyppigste dødsårsag er behandlingsrefraktært hjertesvigt. Opdages tilstanden tidligt, kan behandling forlænge overlevelsen betydeligt [4]. Derfor skal patienter med LA udredes for SA med blodprøver, urinundersøgelse, knoglemarvsbiopsi og billeddiagnostik. Biokemisk kan man med immunfiksationsanalyse af urin og plasma, kombineret med kappa-lambda-ratio sikkert detektere M-komponent, der er obligat for letkædeamyloidose. Billeddiagnostisk ses der ud over organomegali karakteristiske forandringer ved ekkokardiografi. Den endelige diagnose stilles ved histologisk undersøgelse. Er der efter ovenstående udredning fortsat mistanke om SA med organinvolvering, bør man undersøge med farvning for amyloid i knoglemarvspræparatet og foretage abdominal fedtbiopsi eller rectumbiopsi. Disse undersøgelser vil vise positive amyloidfarvninger hos 60-90% af patienterne med SA [4]. Ved negative biopsier og fortsat klinisk mistanke om organsvigt på grund af amyloidaflejringer må man foretage organbiopsi. Udredningen for SA er en specialistopgave, der bør foregå i hæmatologisk regi.

Patogenesen for LA menes at være forstyrrelser i immunreguleringen efter et langvarigt antigenrespons. Dette medfører polymerisering af immunoglobulinproteiner i det ekstracellulære rum [2].

LA er beskrevet i stort set i alle organsystemer. Symptomerne afhænger af lokalisationen og er ofte sparsomme. Vores patients eneste symptom var fremmedlegemefølelse i svælget.

Senere udvikling til SA er beskrevet i op til 2% af tilfældene, men udredning for SA er variabel og ofte ikke tilstrækkeligt beskrevet. Patienterne kan derfor på udredningstidspunktet have haft asymptomatisk SA [5].

Behandlingen af LA er kirurgisk, eventuelt ved brug af CO2-laser, med excision af tumor [1, 2]. Recidiv er dog beskrevet [5].

KORRESPONDANCE: Britta Kaltoft, Øre, næse og halskirurgisk Afdeling, Køge Sygehus, Lykkebækvej 1-3, 4600 Køge. E-mail: brittakaltoft@hotmail.com

ANTAGET: 18. september 2012

FØRST PÅ NETTET: 22. april 2013

INTERESSEKONFLIKTER: