Privat eksponering og miljøsanering hos mor og søn med hypersensitivitetspneumonitis


Laura Cathrine Christoffersen Ravn1, Annemette Geilager Abild-Nielsen2, Michael Alan Victor3 & Harald William Meyer1
Hypersensitivitetspneumonitis (HP) er en inflammatorisk lungesygdom, der påvirker lungeparenkymet og de små luftveje [1]. Den skyldes en immunmedieret reaktion på inhalerede antigener hos disponerede individer [2]. Mange antigener kan udløse HP, herunder dyre- og planteproteiner, svampe, bakterier og kemikalier. Hos op til 53% identificeres det udløsende antigen ikke [3]. HP kan manifestere sig med inflammatoriske (nonfibrotisk HP) eller fibrotiske forandringer (fibrotisk HP). Symptomerne omfatter dyspnø, hoste og træthed. Diagnosen baseres på eksponeringsbeskrivelse, højopløseligheds-CT (HRCT), bronkoalveolær lavage (BAL) og evt. transbronkiale lungebiopsier (TBB), medmindre dette er kontraindiceret. Den primære behandling er elimination af årsagen. Medicinsk behandling afhænger af sværhedsgraden. Casen beskriver et sjældent tilfælde af HP hos en mor og søn, som udviklede sygdommen i samme bolig.
I
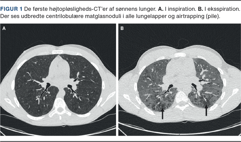
En 18-årig mand debuterede med funktionsdyspnø og tør hoste i 2021. Han var diagnosticeret med Aspergers syndrom og ikkeryger. I marts 2021 blev han indlagt med mistanke om akut forværring af astma. Han blev diagnosticeret med nonfibrotisk HP. En lungefunktionsundersøgelse (LFU) viste et restriktivt mønster (forceret vitalkapacitet (FVC) 3,97 l (64%); total lungekapacitet (TLC) 75%; diffusionskapacitet for karbonmonoxid (DLCO) 67%). En HRCT viste udbredte centrilobulære matglasnoduli i alle lungelapper og airtrapping (Figur 1). En BAL viste lymfocytose (75%), og TBB viste uspecifikke reaktive forandringer (kronisk inflammation, ingen fibrose). Han var eksponeret for træstøv og skimmelsvamp på arbejdet samt for ande- og gåsefjer i sin dyne derhjemme. Der var ingen mistanke om skimmelsvamp i hjemmet i 2021. IgG var forhøjet for diverse skimmelsvampe, ande- (120 mg/l; ref. < 10 mg/l) og gåsefjer (53,5 mg/l; ref. < 10 mg/l). Han skiftede erhverv til flyttemand og skiftede til en dyne med syntetiske fibre. Han blev behandlet med prednisolon juli-november 2021. DLCO’en steg til 84%, og en HRCT viste regression af matglasnoduli. Han var efterfølgende symptomfri, men i januar 2022 faldt DLCO’en til 62%, og en HRCT viste recidiv af matglasnoduli. Man påbegyndte behandling med prednisolon for ham fra maj 2022 til maj 2023, hvorefter DLCO’en steg til 92%. I begyndelsen af 2024 udviklede han igen funktionsdyspnø, DLCO’en faldt til 67%, og en HRCT viste recidiv. Der blev ved hjemmebesøg fundet skimmelsvamp i hjemmet, og han var eksponeret for duefjer/-fæces fra en altan. En IgG for duefjer/-fæces var forhøjet (1.532 mg/l; ref. < 20 mg/l). Boligen blev saneret for skimmelsvamp, og han blev anbefalet ikke at benytte altanen. Han blev behandlet med prednisolon fra august 2024 og suppleret med steroidbesparende medicin fra oktober 2024. Han er fortsat i behandling og symptomfri, DLCO’en 79%.
II
En 59-årig kvinde debuterede med funktionsdyspnø, træthed og vægttab i 2023. Hun var diagnosticeret med hypertension og ikkeryger. Hun blev diagnosticeret med nonfibrotisk HP i slutningen af 2024. LFU’en viste et uspecifikt mønster (FVC 2,24 l (75%); TLC 80%; DLCO 39%). En HRCT viste udbredte centrilobulære matglasnoduli i alle lungelapper og airtrapping, og en BAL viste lymfocytose (60%). Hun havde ingen relevant erhvervseksponering, men var eksponeret for de samme antigener i hjemmet som hendes søn. IgG var forhøjet for ande- (77,8 mg/l), gåse- (41,3 mg/l), duefjer/-fæces (740 mg/l), mens IgG for skimmelsvampe var normal. Hun skiftede dyne og flyttede i november 2024. Hun blev sat i behandling med prednisolon og blev trappet ud efter fire måneder. Hun har p.t. ingen respiratoriske symptomer, DLCO 51%.
Sygehistorierne beskriver et tilfælde af HP hos en mor og søn, som udviklede sygdommen i samme bolig. HP er en sjælden sygdom, og familiær forekomst er kun sparsomt beskrevet i litteraturen. Et dansk studie har estimeret en incidens på 1,16/100.000 [4], mens et andet fandt under 50 nye tilfælde årligt [5]. HP er ofte associeret med erhvervseksponering, men disse sygehistorier viser, at privat eksponering også er relevant, idet der blev identificeret eksponeringer i deres fælles bolig. Det vurderes, at skimmelsvamp og fuglefjer var udløsende for sønnen, mens fuglefjer var det for moren. Identifikation og eliminering af udløsende antigener er afgørende for at forebygge recidiv af HP. Sønnen oplevede gentagne recidiver trods behandling, hvilket understreger behovet for miljøsanering og opfølgning. Sygehistorierne fremhæver betydningen af grundig eksponeringsbeskrivelse, både erhvervsmæssig og privat, samt en multidisciplinær tilgang til udredning, behandling og opfølgning for at reducere risikoen for progression og recidiv.
Korrespondance Laura Cathrine Christoffersen Ravn. E-mail: laurachristoffersen@hotmail.de
Antaget 8. juli 2025
Publiceret på ugeskriftet.dk 29. september 2025
Interessekonflikter ingen. Alle forfattere har indsendt ICMJE Form for Disclosure of Potential Conflicts of Interest. Disse er tilgængelige sammen med artiklen på ugeskriftet.dk
Referencer findes i artiklen publiceret på ugeskriftet.dk
Artikelreference Ugeskr Læger 2025;187:V04250279
doi 10.61409/V04250279
Open Access under Creative Commons License CC BY-NC-ND 4.0
Hypersensitivity pneumonitis (HP) is an inflammatory lung disease caused by an immune reaction to inhaled antigens. This case report describes a rare occurrence of HP in a mother and her adult son living together. The 59-year-old mother and her 18-year-old son developed HP due to exposure to mold and bird feathers. Both were treated with prednisolone, and the environmental triggers were eliminated. This case highlights the importance of identifying environmental triggers, ensuring follow-up, and considering non-occupational exposures in the HP diagnosis and management of HP.