Skip to main content

Pseudartrose af ulna hos patient med neurofibromatose

Christina Kinnander

2. nov. 2005
4 min.

Neurofibromatose tilhører gruppen phakomatoser, der er arvelige sygdomme, og som karakteriseres ved defekter i CNS samt i hud, retina og andre organer, herunder bl.a. knogler. Symptomer skyldes således defekter, der kan involvere alle tre kimblade (1, 2).

Neurofibromatose kan klassificeres i flere undertyper. Den hyppigste er mb. Recklinghausen (NF-1), der er en autosomal dominant sygdom. Den forekommer ved en ud af 3.000 fødsler.

Sygehistorie

Patienten er en 12-årig pige, med kendt mb. Recklinghausen, men uden ossøse abnormaliteter.

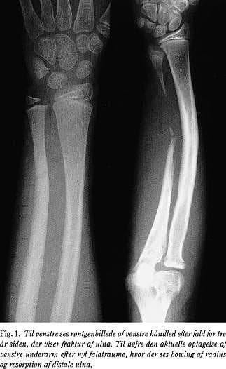
For tre år siden kom patienten i skadestuen efter faldtraume. Der blev konstateret en venstresidig udisloceret ulnafraktur, ca. 10 cm proksimalt for håndleddet (Fig. 1). Der blev anlagt gipsskinne, og patienten blev ikke kontrolleret radiologisk i efterforløbet. Der var angiveligt ikke gener efter frakturen.

Patienten kom på ny i skadestuen efter fald, hvor hun havde taget for sig med ve. hånd. Objektivt fandtes ømhed og mistanke om fraktur af distale antebrachium, men ingen tegn på instabilitet af håndleddet. Røntgenundersøgelse af underarmen viste tiltagende bowing af radius samt resorption af den distale halvdel af ulnadiafysen, men med bevaret distal ulnametafyse. Der var forkortning af ulna og let deformering af den distale radiusepifyse. Der var ingen friske frakturer eller afrivninger (Fig. 1).

Patienten blev henvist til nærmere udredning på universitetshospital. MR-scanning viste ingen aktivitet i resorptionsområdet, ingen relevante neurofibromer eller forandringer i radius. Hun overgik til fortsat kontrol på ortopædkirurgisk afdeling på universitetshospitalet.

Diskussion

De ossøse forandringer ved mb. Recklinghausen ses oftest i kraniet og i columna, men i bækkenet og i de lange rørknogler kan der ses knogledefekter, der menes at skyldes mesodermal dysplasi eller komplet mangel på knogle. Der kan ses bowing, patologiske frakturer og pseudartrose af de lange rørknogler samt defekt callusdannelse og frakturheling (3). Hyppigst afficeret er tibia (1, 2, 4). Der er beskrevet lignende tilfælde i litteraturen, hvor ulna er involveret, om end sjældent (3-5).

Den manglende frakturheling kan forårsage væksthæmning pga. ødelæggelse af den tilstødende epifyse. Væksthæmningen betyder forkortning af knoglen, og på underarmen kan dette medføre ledforandringer og indskrænket bevægelighed, da radius ikke er skadet.

Årsagen til den defekte frakturheling er ikke kendt, men antages at være en form for fibrøs dysplasi (1, 4). Fibrøs dysplasi forårsager en skeletal udviklingsanomali af knogledannende mesenkym, idet osteoblasterne ikke undergår den sædvanlige differentiering og modning. Callusdannelsen ser ud til at være defekt frem for at mangle. Pseudartrose udvikles spontant, efter fraktur eller efter operative indgreb som fx osteotomi 2.

Behandlingen af ulnar pseudartrose er et vanskeligt ortopædkirurgisk problem og mislykkes ofte. Der er gennem tiden forsøgt adskillige behandlingsmetoder for at opnå normal knoglelængde og stabilitet. Der anbefales konservativ behandling, hvis der er tale om langsom progression, og hvis patienterne er smertefrie. Operativ behandling er indiceret ved tiltagende instabilitet af albue- og håndled og ved progredierende deformitet af underarmen. De kirurgiske alternativer strækker sig fra resektion over transplantation, ekstern fiksation og osteosyntese til mikrovaskulær knogletransplantation med knoglegrafter fra fx fibula (2, 3, 5). Problemet ved de sidstnævnte teknikker er ofte, at der på sigt ligeledes sker en resorption af grafterne. Man opnår tilsyneladende størst stabilitet, kraft og knoglelængde ved at lave en såkaldt én-knoglet underarm, til trods for at supination/pronationsbevægelsen går tabt. Der udføres i den forbindelse en korrigerende osteotomi af radius med indsættelse af en skinne (3). Behandling bør foregå på centerafdeling.


Christina Kinnander, Ndr. Fasanvej 39B, 2. th., DK-2000 Frederiksberg.

E-mail: ckinnander@yahoo.dk

Antaget den 15. august 2001.

Haderslev Sygehus, røntgenafdelingen.

Litteratur

Summary

Summary Pseudoarthrosis of the ulna in a patient with neurofibromatosis. Ugeskr Læger 2002; 164: 1054-5. A case of pseudoarthrosis and partial resorption of the ulna in a 12-year-old girl with neurofibromatosis is described. Neurofibromatosis is a common neurocutaneous disease with characteristic osseous lesions. The pseudoarthrosis in this case developed after fracture. The bone most commonly affected is the tibia and involvement of the ulna has been reported in only a few cases. The possible cause of pseudoarthrosis, the radiographic changes, and the treatment are discussed.

Referencer

  1. Resnick D. Diagnosis of bone and joint disorders. 3.ed. Philadelphia: W.B. Saunders, 1995: 4361-79.
  2. Crawford AH Jr, Bogamery N. Osseous manifestations of neurofibromatosis in childhood. J Pediatr Orthop 1986; 6: 72-88.
  3. Maffulli N, Fixsen JA. Psudoarthrosis of the ulna in neurofibromatosis. Arch Orthop Trauma Surg 1991; 110: 204-7.
  4. Ramelli GP, Slongo T, Weis J, Tschappler H, Vassella F. Pseudoarthrose bei Neurofibromatose Typ 1. Klin Padiatr 2000; 212: 26-30.
  5. Ali MS, Hooper G. Congenital pseudoarthrosis of the ulna due to neurofibromatosis. J Bone Joint Surg Br 1982; 64: 600-2.