Skip to main content

Pseudo-Meigs' syndrom: en sjælden komplikation til et uterint fibrom

Reservelæge Purnima Kumarathas & overlæge Lena Hagelskjær Kristensen Regionshospitalet Viborg, Medicinsk Afdeling og Klinisk Mikrobiologisk Afdeling

12. mar. 2010
5 min.

Kombinationen af pleuraeksudat, ascites og forhøjet cancerantigen 125 (CA125) leder ofte mistanken hen på cancer ovarii.

Vi beskriver her et tilfælde med bilaterale pleuraeksudater, let ascites, stort uterint fibrom og let forhøjet CA125 hos en kvinde med høj feber og svært påvirkede inflammationsparametre, som viste sig at være pseudo-Meigs' syndrom [1, 2]. Patienten havde desuden perikardieeksudat, hvilket kun er beskrevet en gang tidligere i litteraturen ved dette syndrom [3].

Sygehistorie

En 42-årig, tidligere rask kvinde, fraset at hun havde fået fjernet et stort modermærke som 12-årig, blev indlagt efter fire år med intermitterende symptomer i form af trykkende fornemmelse i epigastriet, smerter ved dyb inspiration, træthed samt feber. Symptomerne var tiltaget gennem de seneste måneder. Ved indlæggelsen var hun akut og kronisk medtaget med temperatur omkring 39 °C. Der fandtes anæmi med hæmoglobin på 5,5-7,0 mmol/l (7,4-9,6), trombocyttal på 394-664 × 109/l (150-450), sænkningsreaktion på 100-122 arbejdsenheder (2-21) og C-reaktivt protein (CRP) på 122-354 mg/l (0-9).

Røntgen af thorax viste bilaterale infiltrater, pleuraeksudater og cor ektasi.

På mistanke om pneumoni påbegyndtes penicillinbehandling. Pga. vedvarende højfebrilia, stigende CRP samt neutrofilocytose skiftedes til bredspektret antibiotisk behandling med cefuroxim, gentamicin (senere ciprofloxacin) og metronidazol. Der var ingen effekt af den antibiotiske behandling, hvorfor den seponeredes efter tre uger.

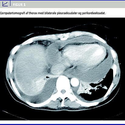
Ekkografi viste normal funktion af hjertet, men et perikardieeksudat på tre centimeter, der ikke var hæmodynamisk betydende. Computertomografi (CT) af thorax bekræftede fund af bilaterale pleuraeksudater samt perikardieeksudat. Der var ingen rumopfyldende processer eller tumorsuspekte forandringer (Figur 1 ).

Perikarditudredning med virusdiagnostik og reumatologisk udredning inklusive antineutrofile cytoplasmatiske antistoffer, kardiolipinantistoffer, gentagne bloddyrkninger, dyrkning af urin og pleuravæske var alt sammen negativ. Pleuravæsken var uden fund af maligne celler.

CA125 var 112 kU/l (0-34). Ved vaginal ultralydsskanning fandtes en mobil 10 × 12 cm stor proces i uterus, som tolkedes som benignt fibromyom og et tilfældigt fund.

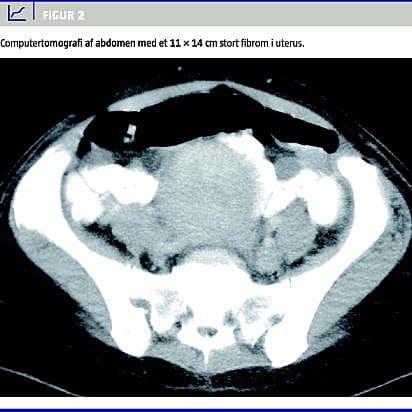
Ved CT af abdomen genfandt man en 11 14 cm stor ensartet proces i uterus (Figur 2 ), minimal ascites samt hyperekkogene processer i leveren, der initialt blev beskrevet som metastasesuspekte, men senere tolkedes som hæmangiomer. Leukocytskintigrafi var uden sikre opladninger. Da patienten fortsat var diagnostisk uafklaret, bestiltes helkropspositronemissionstomografi (PET).

PET viste stærkt malignitetssuspekt fluordeoksyglukoseoptagelse i den store bækkentumor samt mistanke om et par metastaser på hver side af bækkentumoren.

Patienten fik herefter foretaget hysterektomi med fjernelse af et 9 × 11 × 16 cm stort fibrom, som viste sig at være et helt igennem benignt leiomyom.

Patientens tilstand bedredes herefter, og biokemien normaliseredes fuldstændigt. To måneder senere var patienten velbefindende og har været det siden.

Patientens egen forklaring var, at fibromet virkede som et fremmedlegeme i hendes krop. Diagnosen pseudo-Meigs' syndrom blev stillet.

Diskussion

Meigs' syndrom er en sjælden lidelse, der kræver følgende tre kriterier opfyldt [4]: 1) benign solid ovarietumor, især ovariefibrom, 2) tilstedeværelse af ascites og pleuraeksudat og 3) operativ fjernelse af ovarietumoren medfører, at patienten bliver helt rask uden recidiv af ascites eller pleuraeksudat.

Ofte er der ledsagende forhøjelse af CA 125, hvorfor mistanke om malign gynækologisk lidelse, især cancer ovarii, rejses [5].

Pseudo-Meigs' syndrom eller variant af Meigs' syndrom er tilsvarende en kombination af en benign ikkeovariel bækkentumor, der ledsages af ovenstående punkt 2+3 [1, 2].

Meigs' syndrom ses kun ved 1-2% af ovariefibromer og pseudo-Meigs' syndrom endnu sjældnere ved uterine leiomyomer [3].

Patogenesen formodes bl.a. at være irritation af peritoneum pga. tumor og væskesekretion, der er forårsaget af nye kardannelser, der breder sig fra abdomen til pleura, især på højre side [1, 3-5]. Især større tumorer (> 10 cm) har tendens til at fremkalde syndromet [5].

Vores patient havde ledsagende perikardieeksudat, hvilket kun er beskrevet en gang tidligere i litteraturen ved syndromet [3]. Patogenesen til perikardieeksudatet er formentlig den samme som til ascitesdannelsen og pleuraeksudatet [3].

Både pseudo-Meigs' syndrom og Meigs' syndrom bør huskes som differentialdiagnoser hos patienter med pleuraeksudat, ascites og en benign gynækologisk tumor. Behandlingen er enukleation af tumor, hvorefter patienten er helbredt [1-5].


Purnima Kumarathas , Medicinsk Afdeling, Regionshospitalet Viborg, DK-8800 Viborg. E-mail: purnima@dadlnet.dk

Antaget: 25. maj 2009

Interessekonflikter: Ingen.

Taksigelse: Vi takker Renè R. Jensen og Stanislaw Wasilewski , Billeddiagnostisk Afdeling, Regionshospitalet Viborg, for hjælp til Figur 1 og Figur 2.

  1. O'Flanagan SJ, Tighe BF, Egan TJ et al. Meigs' syndrome and pseudo-Meigs' syndrome. J R Soc Med 1987;80:252-3.
  2. Salmon UJ. Benign pelvic tumors associated with ascites and pleural effusion. J Mount Sinai Hosp 1934;1:169-72.
  3. Qaisar S, Osman F, Pitt M. Resolution of pericardial effusion after removal of -ovarian fibroma - a Meigs'-like syndrome. J R Soc Med 2005;98:313-4.
  4. Meigs J. Fibroma of the ovary with ascites and hydrothorax; M eigs' syndrome. Am J Obstet Gynecol 1954;67:962-85.
  5. Timmerman D, Moerman P, Vergote I. Meigs' syndrome with elevated serum CA 125 levels: two case reports and review of the literature. Gynecol Oncol 1995;59:405-8.

Summary

Summary Pseudo-Meig's syndrome: a rare complication to uterine fibroma Ugeskr Læger 2010;172(4):295-296 Pseudo-Meigs syndrome is a rare condition where a benignant non-ovarial pelvine tumour, pleural effusion and ascites are coexisting, and where removal of the tumour cures the patient. We present a patient with pseudo-Meigs syndrome originating from a leiomyoma of the uterus associated with elevated cancer antigen 125 and inflammatory parameters. Our patient also had pericardial effusion, which has only been reported once before in the literature. All her symptoms disappeared when the uterine fibroma was removed. Pseudo-Meig's syndrome has to be kept in mind in these patients.

Referencer

  1. O'Flanagan SJ, Tighe BF, Egan TJ et al. Meigs' syndrome and pseudo-Meigs' syndrome. J R Soc Med 1987;80:252-3.
  2. Salmon UJ. Benign pelvic tumors associated with ascites and pleural effusion. J Mount Sinai Hosp 1934;1:169-72.
  3. Qaisar S, Osman F, Pitt M. Resolution of pericardial effusion after removal of -ovarian fibroma - a Meigs'-like syndrome. J R Soc Med 2005;98:313-4.
  4. Meigs J. Fibroma of the ovary with ascites and hydrothorax; Meigs' syndrome. Am J Obstet Gynecol 1954;67:962-85.
  5. Timmerman D, Moerman P, Vergote I. Meigs' syndrome with elevated serum CA 125 levels: two case reports and review of the literature. Gynecol Oncol 1995;59:405-8.