Skip to main content

Pulmonalt interstitielt emfysem hos en 15 måneder gammel dreng behandlet med højfrekvent oscillerende ventilation

Simon Ladehoff Thomsen1, Graziella Andersen2 & Nils Bjerregaard1

19. aug. 2013
4 min.

Pulmonalt interstitielt emfysem (PIE) er en sjælden, men livstruende tilstand, der primært opstår som komplikation i forbindelse med respiratorbehandling af præmature børn [1].

PIE opstår som følge af et barotraume, hvor den alveolære basalmembran gennembrydes, og luft dissekerer ud langs de perivaskulære strukturer i det interstitielle rum. Herved dannes multiple luftfyldte
ansamlinger, der forårsager atelektaser i det omkringliggende lungevæv. Mortaliteten er høj, men PIE er en potentielt fuldt reversibel tilstand, idet absorption af luften vil genetablere den normale lungemorfologi [2, 3]. Nedenfor præsenteres en sygehistorie, hvor en 15 måneder gammel dreng overlever og opnår fuld restitution efter fund af lokaliseret persisterende PIE.

SYGEHISTORIE

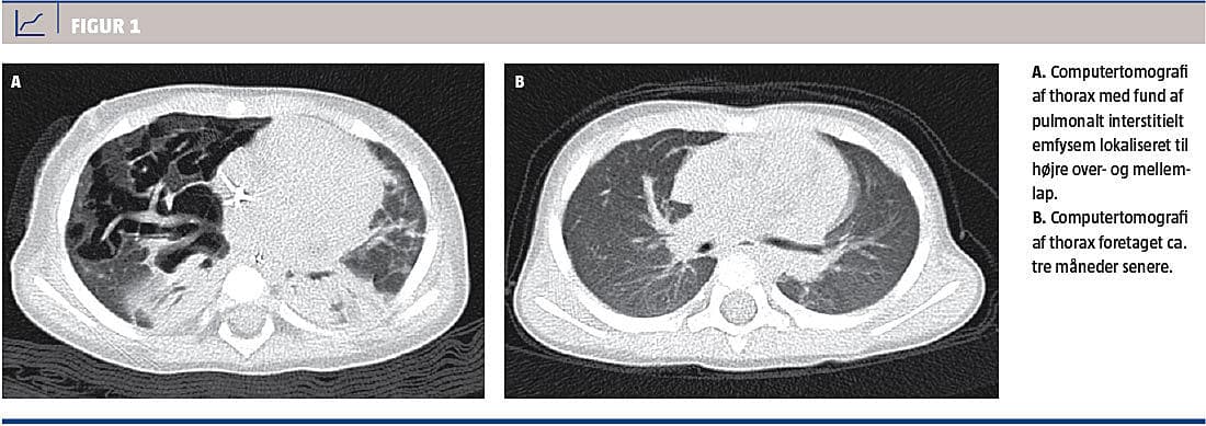
En 15 måneder gammel tidligere rask dreng blev akut indlagt efter syv dages anamnese med feber og vejrtrækningsbesvær. Den først målte iltsaturation var 60%. Pga. manglende effekt af iltterapi og continuous positive airway pressure blev der hurtigt påbegyndt respiratorbehandling. Det eneste positive mikrobiologiske fund var respiratorisk syncytialvirus påvist ved polymerasekædereaktion. Inden for to døgn udvikledes der bilateral pneumothorax, subkutant emfysem og pneumomediastinum, og på trods af dyb sedering, relaksering og ventilation med højt positive end expiratory pressure (12 cm H2O) var patienten ikke sufficient oxygeneret (PaO2 5,9 kPa), hvorfor overflytning til højt specialiseret enhed med henblik på extracorporal membrane oxygenation (ECMO) blev arrangeret. Imidlertid bedredes tilstanden efter overflytningen og start af inhalation med nitrogenoxid og lungeprotektiv ventilation i form af high frequency oscillatory ventilation (HFOV) med indstillingerne: mean airway pressure (P) 18-22 cm H2O, amplitude (ΔP) 30-55 cm H2O og frekvens 6-10 Hz. ECMO blev aldrig iværksat. På grund af vedvarende pneumothorax og luftfyldte cyster på røntgen af thorax blev der efter samlet tre ugers respiratorbehandling udført computertomografi (CT) af thorax (Figur 1 A) med fund af line-and-dot pattern omgivet af multiple luftfyldte cystiske forandringer, hvilket er klassisk for PIE. Der var involvering af højre over- og mellemlap. Da tilstanden var under stabilisering, valgte man at afvente det spontane forløb. Efter 36 dage i respirator kunne patienten ekstuberes, og efter yderligere fem dage aftrappedes ilttilskuddet, og han blev udskrevet i velbefindende til ambulant fysioterapi. Kontrol-CT af thorax fire måneder efter sygdomsdebut (Figur 1 B) viste fuld restitution af de beskrevne lungeforandringer, og drengen var udviklet alderssvarende uden sequelae.

DISKUSSION

PIE er kun kasuistisk beskrevet hos ikkenyfødte. Guldstandarden for diagnosticering er patoanatomisk undersøgelse med fund af luftfyldte alveoler omgivet af lungevæv bestående af bl.a. gigantceller, men diagnosen kan med stor sensitivitet også stilles med CT af thorax [2]. De beskrevne klassiske forandringer for PIE er til stede, men endelig radiologisk differentiering fra kongenit lobært emfysem, bronkopulmonal dysplasi og cystisk adenomatoid malformation er sandsynligvis ikke mulig. Det kliniske forløb med fuld restitution udelukker de nævnte differentialdiagnostiske muligheder, da disse ikke har spontan reversibilitet. Den diagnostiske sikkerhed betragtes derfor som høj.

Behandlingen af PIE er kontroversiel. Kirurgisk fjernelse af lungeafsnit er forsøgt med succes, men også konservativ behandling med HFOV, steroid- eller surfaktantbehandling, ECMO samt begrænsning af ventilationen i det afficerede område med sideleje, selektiv intubation og selektiv bronkial okklusion har vist sig effektive [1].

Dødeligheden er høj; ved diffus involvering op til 100% [3]. Når der vælges kirurgi, er det ofte hos ustabile patienter, hvor den konservative behandling har vist sig at være insufficient.

Brugen af og erfaringerne med avancerede respirationsunderstøttende behandlinger til børn og nyfødte er stigende, og HFOV og ECMO er gennemført hos nyfødte og præmature med PIE [4, 5]. Sygehistorien viser, at HFOV er en mulig behandlingsstrategi ved PIE hos større børn og ikke kun hos nyfødte og præmature. Under hensyntagen til sygdommens patofysiologi med mulighed for fuld restitution, selv med svær affektion, må kirurgisk intervention betragtes som absolut sidste løsning og primært benyttes, hvis der ikke er adgang til eller mulighed for avanceret respirationsunderstøttende behandling såsom HFOV eller ECMO.

KORRESPONDANCE: Simon Ladehoff Thomsen, Skejby Vænge 141,
8200 Aarhus N. E-mail: silt@rn.dk

ANTAGET: 3. oktober 2012

FØRST PÅ NETTET: 18. marts 2013

INTERESSEKONFLIKTER: ingen.

Referencer

LITTERATUR

  1. Jassal MS, Benson JE, Mogayzel PJ. Spontaneous resolution of diffuse persistent pulmonary interstitial emphysema. Pediatr Pulmonol 2008;43:615-9.

  2. Donnelly LF, Lucaya J, Ozelame V et al. CT findings and temporal course of persistent pulmonary interstitial emphysema in neonates: a multiinstitutional study. Am J Roentegenol 2003;180:1129–33.

  3. Stocker JT, Madewell JE. Persistent interstitial pulmonary emphysema: another complication of the respiratory distress syndrome. Pediatrics 1977;59:847-57.

  4. Trento A, Thompson A, Siewers RD et al. Extracorporeal membrane oxygenation in children. J Thorac Cardiovasc Surg 1988;96:542-7.

  5. McDougall PN, Loughnan PM, Campbell NT et al. High frequency oscillation in newborn infants with respiratory failure. J Paediatr Child Health 1995;31:292-6.