Pyomyositis i m. sternocleidomastoideus


Jeppe Hjembæk-Brandt & Preben Homøe
Pyomyositis er en sjælden bakteriel infektion i skeletmuskulaturen, og den kan være vanskelig at diagnosticere. Pyomyositis afficerer oftest bækkenets og ekstremiteternes muskler, forekommer med tiltagende frekvens i tempererede lande og kan udvikle sig i livstruende retning med bl.a. sepsis og, når hoved-hals-området afficeres, kompression af luftvejene [1-3].
Vi præsenterer her det første danske tilfælde af pyomyositis i hoved-hals-området.
En 36-årig tidligere rask kvinde blev indlagt (på dag 0) pga. tiltagende hævelse og smerter på højre side af halsen gennem 3-4 dage. Der var intet forudgående traume, og ved tonsilpodning via vagtlæge var hun testet positiv for Streptococcus pneumoniae med antigenquicktest.
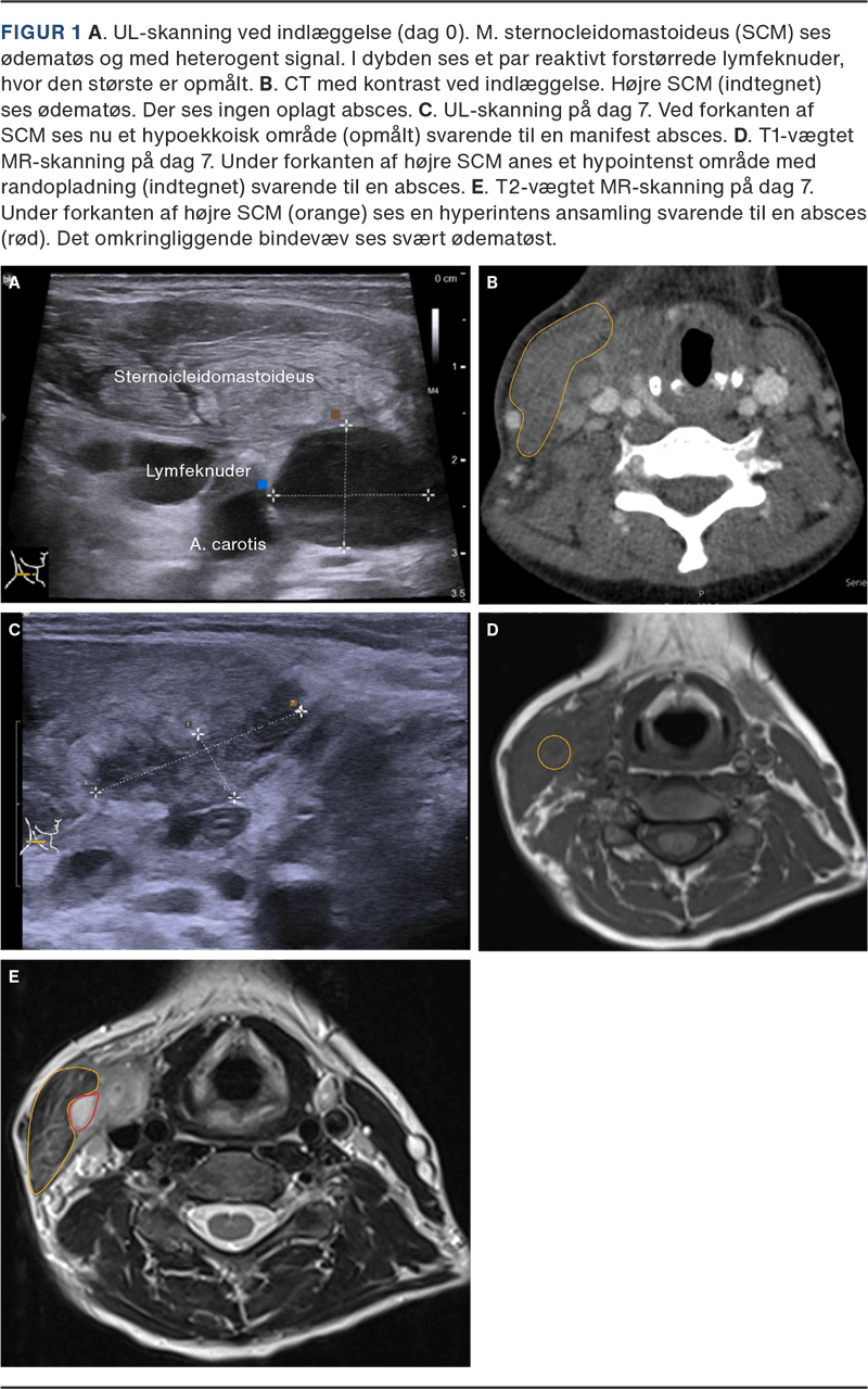
Ved øre-næse-hals-vurdering var tonsillerne højrøde med hvide belægninger, og forholdene i pharynx var symmetriske. På højre side af halsen fandtes en hård, øm hævelse langs forløbet af m. sternocleidomastoideus (SCM). Den overliggende hud var uden rødme. En UL-skanning af halsen viste flegmonøse forandringer i højre SCM og lymfadenitis i højre level 2-4 (Figur 1 A). Temperaturen var 39,1 °C, leukocytniveauet var 24,4 mia./l, og CRP-niveauet var 48 mg/l.
Ved hjertestetoskopi hørtes en tidligere ukendt systolisk mislyd. Patienten blev derfor ekkokardiograferet, uden at der dog blev fundet tegn til endokarditis.
En CT med kontrast af halsen viste udtalt ødem af højre SCM og de omkringliggende bløddele, men ingen absces (Figur 1 B).
Patienten blev behandlet empirisk med i.v. givet cefuroxim, men behandlingen blev pga. stigende infektionsparametre ændret til empirisk i.v. givet meropenem og clindamycin på dag 2 – dette med god effekt på infektionsparametrene, men uden effekt på patientens symptomer.
Patienten blev derfor på dag 7 undersøgt i kræftpakkeforløb. En finnålsaspiration af en ultrasonisk suspekt lymfeknude var med fund af akut inflammation uden malignitetssuspicio, og UL- og MR-skanning viste nu absces ved forkanten af højre SCM (Figur 1 C, D og E). Patienten blev derfor opereret med åbning og oprensning af en 3 × 4 cm stor absceskavitet. Hun blev udskrevet i velbefindende to dage senere med en uges empirisk penicillin til peroral indgift.
Der blev flere gange i forløbet taget venyler, alle var efterfølgende uden vækst. Væv fra abscesvæggen var med kraftig vækst af Staphylococcus epidermidis og S. capitis; disse blev ikke resistensbestemt.
Pyomyositis afficerer yderst sjældent SCM [1, 2]. Disponerende faktorer inkluderer ung alder, hård træning, stumpe traumer, immunsupprimeret tilstand eller anden infektion, som kan spredes hæmatogent [2, 3].
Pyomyositis forårsages hyppigst af S. aureus (75-90%) eller S. pneumoniae (5-25%) [1, 4] og viser sig i form af tiltagende smerter og/eller hævelse af den inficerede muskel. Tilstanden kan udvikle sig med bl.a. rødme af den overliggende hud, feber, abscedering og sepsis [2].
Differentialdiagnoserne ved lokaliserede muskelsmerter hos en inficeret patient inkluderer ud over pyomyositis en række potentielt meget alvorlige tilstande såsom nekrotiserende fasciitis, osteomyelitis, septisk artritis, erysipelas og – på halsen – Lemierres syndrom og inficeret hæmatom/carotisaneurisme [3, 5].
Ved mistanke om pyomyositis bør der ud over almene blodprøver tages venyler og, om muligt, prøver fra det inficerede væv til dyrkning og resistensbestemmelse. Der bør være lav tærskel for ekkokardiografi for at udelukke endokarditis, idet S. aureus er en hyppig agens til begge sygdomme, og pyomyositis kan involvere hæmatogen spredning af bakterier.
Ved mistanke om pyomyositis i hoved-hals-området anbefales UL-skanning (førstevalg), CT med kontrast og/eller MR-skanning afhængigt af de lokale forhold [3]. Med MR-skanning visualiseres de afficerede bløddele bedst, og MR-skanning har værdi i differentialdiagnostisk øjemed, men er ofte mindre tilgængelig end UL-skanning og CT. Omvendt kan UL-skanning og CT vejlede ved punktur af en absces. Behandlingen er antibiotika vejledt af dyrkning og resistensbestemmelse og kirurgisk sanering ved absces.
Den beskrevne sygehistorie er mikrobiologisk unik. S. epidermidis og S. capitis er normale hudbakterier; S. capitis primært i hoved-hals-området []. Begge forårsager ekstremt sjældent pyomositis. S. epidermidis er kun rapporteret som agens to gange (begge i underekstremiteterne) og S. capitis kun én gang (i nakkemuskulaturen) [4]. Den positive antigentest for S. pneumoniae i sygehistorien er af uklar betydning.
Der er aldrig før rapporteret om pyomyositis i hoved-hals-området i Danmark. Tilstanden kan både være vanskelig at diagnosticere og udvikle sig i livstruende retning, hvorfor man som kliniker bør have kendskab til den. Ved erkendt pyomyositis bør patienten kontrolleres efter udskrivelse pga. risiko for sen abscedering som hos patienten i sygehistorien.
Korrespondance Jeppe Hjembæk-Brandt. E-mail: jeppe.hjembaek.brandt@gmail.com
Antaget 20. februar 2024
Publiceret på ugeskriftet.dk 15. april 2024
Interessekonflikter ingen. Forfatternes ICMJE-formularer er tilgængelige sammen med artiklen på ugeskriftet.dk
Referencer findes i artiklen publiceret på ugeskriftet.dk
Artikelreference Ugeskr Læger 2024;186:V11230750
doi 10.61409/V11230750
Open Access under Creative Commons License CC BY-NC-ND 4.0
Pyomyositis is a bacterial infection of striated muscle, usually located to muscles in the extremities or pelvis. We present a microbiologically unique case report of pyomyositis in the sternocleidomastoid muscle (the first of its kind in Denmark) caused by Staphylococcus epidermidis, S. capitis and possibly Streptococcus pneumoniae. Pyomyositis is very rare but can lead to critical complications such as endocarditis and sepsis. It is therefore important to know the condition when evaluating an infected patient with muscle pain. Treatment consists of antibiotics and – if relevant – surgical abscess drainage.