Skip to main content

Rabdomyom i hoved-hals-regionen

Læge Jon Juhlin & læge Susanne Eiholm Sygehus Øst Køge, Øre-næse-hals-kirurgisk Afdeling

31. mar. 2009
5 min.

Ekstrakardiale rabdomyomer er sjældne, benigne tumorer, der udgår fra tværstribet muskulatur. De er sjældne fund i klinikken, og der er i litteraturen kun beskrevet få tilfælde. Når tumoren findes, vil der derfor ofte være usikkerhed om det videre forløb, og da tumoren særligt i hoved-hals-området ofte er tæt på vigtige organer, bør man kende den som differentialdiagnose. Der rapporteres her om to af disse sjældne tumorer, der blev diagnosticeret på Øre-næse-hals-kirurgisk Afdeling i Køge. Begge blev fundet i hoved-hals-regionen hos midaldrende mænd og behandlet med lokal excision.

Ekstrakardiale rabdomyomer er sjældne, benigne mesenkymale tumorer, der udgår fra tværstribet muskulatur [1-5]. De underopdeles i en adult type (matur skeletmuskulatur-differentiering), som udgør omkring 50% [1] af de ekstrakardiale rabdomyomer, og hvor hovedparten (90%) [2] er lokaliseret i hoved-hals-området, oftest som solitære læsioner hos midaldrende mænd [3, 4], og en føtal type (immatur skeletmuskulatur-differentiering), der oftest findes subkutant i hoved- hals-området på mindre børn [4]. Sjældent findes en genital type i vulva eller vagina hos unge til midaldrende kvinder [4].

På Øre-næse-halskirurgisk Afdeling i Køge blev der på et år diagnosticeret to af disse sjældne tumorer, som her rapporteres. Begge blev fundet i hoved-hals-regionen hos midaldrende mænd og må betegnes som værende af den adulte type.



Sygehistorier

I. En 60-årig mand havde en hævelse på højre side af halsen gennem to år. Hævelsen var langsomt taget til i størrelse, men var i øvrigt uden gener. Han var kendt med psoriasis og ellers rask. Objektivt blev der fundet en blød hævelse, 4 × 4 cm stor og ca. 2 cm fra kæbekanten.

To finnålaspirationer blev betegnet som ikkekonklusive, men den ene bestod af tværstribede skeletmuskelceller. Ultralydsskanning af halsen viste en velafgrænset proces.

Der blev eksstirperet en 6 × 5 × 4 cm velafgrænset, brunlig og fast tumor med en lobuleret overflade. Tumoren var beliggende umiddelbart under platysma, over karskeden ind mod cartilago thyroidea over omohyoideus, men under digastricus.

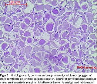
Histologien viste benign mesenkymal tumor, der var opbygget af store polygonale celler med perjodsyre (PAS)-positivt, eosinofilt og vakuoliseret cytoplasma og små ensartede marginalt lokaliserede kerner (Figur 1). Tværstribning kunne ikke påvises ved lysmikroskopi. Der fandtes ingen øget mitoseaktivitet, ingen atypi eller nekrotiske områder. Supplerende immunhistokemi viste positiv reaktion for muskelmarkører, aktin og desmin, negativ reaktion for neuroendokrine markører, epiteliale markører, HMB-45,melan A CD68 og vimentin.

Supplerende elektronmikroskopisk undersøgelse viste en tumor, der var deriveret fra skeletmuskulatur med forekomst af karakteristiske z-bånd. Efterforløbet var uproblematisk.

II. En 65-årig mand havde i flere år haft en hævelse på venstre side af halsen svarende til glandula (gl) submandibularis. Han var kendt med cancer recti (T3, N0, Mx). Han havde gennem perioden haft nogen ømhed, men ikke stærkere smerter fra området. Objektivt blev gl. submandibularis sin. umiddelbart tolket som værende væsentligt hævet, og der blev fundet hævelse i venstre side af mundbunden.

Finnålaspiration viste normale celler fra gl. submandibularis. Ultralydsskanning af halsen viste et 3,5 × 2,5 × 4 cm stort velafgrænset, hypoekkoisk område profund for gl. submandibularis sin., der pressede glandlen superficielt.

Der blev først fjernet en normalt udseende gl. submandibularis. Umiddelbart profund for denne blev fjernet en velafgrænset, groft lobuleret proces beliggende i submandibularislogen.

Histologien viste også her benign mesenkymal tumor i form af rabdomyom, som ovenfor beskrevet.

Diskussion

Ekstrakardiale rabdomyomer er sjældne fund i klinikken, og der er i litteraturen kun beskrevet omkring 160 tilfælde (2005) [3]. Når de findes, vil der ofte være usikkerhed om det videre forløb, og de er således vigtige at beskrive. Da tumoren særligt i hoved-hals-området ofte er tæt på vigtige organer, bør man kende den som differentialdiagnose.

Ekstrakardiale rabdomyomer er sjældne tumorer, der er benigne, mesenkymale og udgår fra skeletmuskulatur [1-5]. Adult rabdomyom er den hyppigste af disse, og som i de ovenstående sygehistorier ses de i ca. 90% af tilfældene i hoved-hals-området [2]. I de i litteraturen beskrevne tilfælde er der en overhyppighed hos mænd (4:1) [1, 3], og medianalderen er ifølge World Health Organisation (WHO) 2002 60 år. De er langsomt voksende, og symptomerne skyldes rumopfyldning og er afhængige af lokalisation og evt. udelukkende af kosmetisk karakter [5]. De hyppigste lokalisationer i hoved-hals-området er pharynx, oralkaviten og larynx, hvor symptomerne oftest vil være synkegener eller hæshed [1, 4, 5]. Der er beskrevet enkelte med multifokal lokalisation [4].

Hyppigheden for alle ekstrakardiale rabdomyomer er beskrevet til at være ca. 2% af alle de tumorer, der udgår fra skeletmuskulatur [1, 4, 5].

Recidivhyppigheden er 15-40%, og i de fleste tilfælde har det været tolket som inkomplet ekstirpation [1-4]. Der er aldrig påvist malignt potentiale hos ekstrakardiale rabdomyomer [3].

For de adulte rhabdomyomer er det makroskopiske billede ensartet. Som ved ovenstående to patienter er billedet en velafgrænset, groft lobuleret, rødbrun tumor, der i vores tilfælde relativt let kunne ekstirperes. Den er aldrig blevet associeret med malignitet og kan derfor behandles som et benignt neoplasme med lokal excision.


Jon Juhlin, Hostrups Have 2, 1. th., DK-1954 Frederiksberg C. E-mail: jon@skaftenet.dk

Antaget: 8. september 2008

Interessekonflikter: Ingen

  1. Zolota V, Tzelepi V, Charoulis N et al. Mediastinal rhabdomyoma: case report and review of the literature. Virchows Arch 2006;449:124-8.
  2. Sørensen KB, Godballe C, Østergaard B et al. Adult extracadiac rhabdomy-oma: Light and immunohistochemical studies of two cases in the pararharyngeal space. Head Neck 2006 ;28:275-9.
  3. Hansen T, Katenkamp D. Rhadomyoma of the head and neck: morphology and differential diagnosis. Virchows Arch 2005;447:849-54.
  4. Liess BD, Zitsch RP 3rd, Lane R et al. Multifocal adult rhabdomyoma: a case report and literature review. Am J Otolaryngol 2005;26:214-7.
  5. Hærslev T, Hansen SH, Andersen CB. Ekstrakardiale rabdomyomer. Ugeskr Læger 1992;154:2030-2.

Summary

Summary Rhabdomyoma in the head and neck region Ugeskr Læger 2009;171(14):1194 Extracardiac rhabdomyoma is an extremely uncommon benign neoplasm with skeletal muscle differentiation which usually involves the head and neck region. We report two cases of extracardiac adult rhabdomyoma affecting adult patients and initially seen as slowly-growing, indolent neoplasms. In both cases, an asymptomatic neck mass was noticed by the patient. Complete local excision without radical surgery was performed and histological findings confirmed the diagnosis of adult rhabdomyoma. Adult rhabdomyomas should be considered as a differential diagnosis in the head and neck region.

Referencer

  1. Zolota V, Tzelepi V, Charoulis N et al. Mediastinal rhabdomyoma: case report and review of the literature. Virchows Arch 2006;449:124-8.
  2. Sørensen KB, Godballe C, Østergaard B et al. Adult extracadiac rhabdomy-oma: Light and immunohistochemical studies of two cases in the pararharyngeal space. Head Neck 2006;28:275-9.
  3. Hansen T, Katenkamp D. Rhadomyoma of the head and neck: morphology and differential diagnosis. Virchows Arch 2005;447:849-54.
  4. Liess BD, Zitsch RP 3rd, Lane R et al. Multifocal adult rhabdomyoma: a case report and literature review. Am J Otolaryngol 2005;26:214-7.
  5. Hærslev T, Hansen SH, Andersen CB. Ekstrakardiale rabdomyomer. Ugeskr Læger 1992;154:2030-2.