Skip to main content

Rakitis og anæmi betinget af cøliaki hos en tre år gammel pige

Allan Bybeck Nielsen

25. jun. 2018
5 min.

Cøliaki er en immunmedieret tyndtarmsenteropati,

der udløses ved indtag af glutenholdige fødevarer hos genetisk disponerede individer. Cøliaki forekommer i hele verden og i alle aldersgrupper. Prævalensen blandt voksne i Danmark er for nylig estimeret til 0,5% [1]. De klassiske symptomer ved cøliaki er diarré, malabsorption og dårlig trivsel i de første leveår. Abdominalgener inklusive smerter, oppustethed og diarré er fortsat de mest dominerende symptomer, men det synes at være tiltagende klart, at en stor gruppe børn har andre symptombilleder inkl. forstoppelse, opkastninger, øget trætbarhed, anæmi, lav højde, endokrinologiske autoimmune sygdomme, ledsmerter og hudforandringer. En ikke ubetydelig andel identificeres ved screening af risikoindivider, hvor cøliaki ofte ses med få og uspecifikke symptomer [2, 3]. I den vestlige verden er rakitis en kendt, men dog ganske sjælden præsentation af cøliaki, og der findes ikke sikre data om forekomsten af cøliaki blandt børn med rakitis. I enkelte mindre studier er det dog angivet, at det blandt arabiske børn med cøliaki er op til en tredjedel, der har rakitis [4].

SYGEHISTORIE

En tre år og fem måneder gammel pige blev indlagt med smerter fra højre underben. Forældre beskrev også let træthed, men derudover ingen gener og særligt ingen gastrointestinale gener. Smerterne og trætheden var tiltaget gennem to måneder. Pigen kunne gå, men aflastede højre ben. Forældrene var fætter og kusine af pakistansk oprindelse, og pigen havde tre ældre, raske søstre. Objektivt fandtes pigen afebril og alment upåvirket, men med distinkt palpationsømhed distalt og lateralt på højre crus. Der sås let genu valgum uden sideforskel, og der var mistanke om epifysesvulst af distale radius bilateralt. Der var ingen rosenkrans. Pigens højde var 95 cm, hvilket svarer til –1,35 standarddeviation (SD) mod et genetisk potentiale på –1,65 SD (danske vækstkurver). Vægten var 12,5 kg (–2,1 SD).

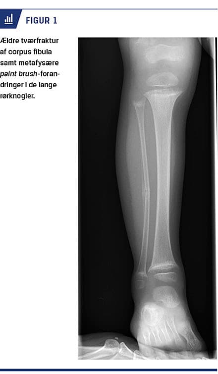
En røntgenoptagelse af højre crus viste tværfraktur af corpus fibula med periostal reaktion, hvilket tydede på en fraktur af ældre dato. Der var paint brush-forandringer metafysært i samtlige medfotograferede lange rørknogler, hvilket mest sandsynligt repræsenterede rakitisforandringer (Figur 1). Blodprøver viste meget lavt D-vitaminniveau (8 nmol/l), massivt forhøjet parathyroideahormonniveau (99,7 pmol/l), umåleligt højt basisk fosfatase-niveau (> 1.200 E/l), diskret nedsat ioniseret calciumniveau (2,16 mmol/l) og moderat nedsat fosfatniveau (0,49 mmol/l). Dertil mikrocytær anæmi med lavt hæmoglobinniveau (4,5 mmol/l) og lavt middelcellevolumen (60 fl). Desuden fandt man lavt ferritinniveau (3 mikrog/l) og normalt reticulocytniveau (62 × 109/l). Infektionstal, nyretal og øvrige levertal var normale.

Pigen spiste helst kartofler, brød og ris, men fik også kød og grøntsager af og til. Hun drak kun sjældent mælk. Moderen havde taget D-vitamin i graviditeten og angav også at have fået målt normalt D-vitaminniveau i graviditeten. Pigen fik tilskud af D-vitamin, indtil hun var to år gammel, men derefter intet tilskud. Forløbet blev tolket som rakitis betinget af svær D-vitaminman-gel og dertil jernmangelanæmi. Der blev ordineret

højdosis peroral D-vitamin med 2.500 mikrogram (100.000 IE) en gang månedligt i tre måneder og calcium 800 mg dagligt. Ved første blodprøvekontrol

efter 17 dage sås der klar effekt heraf med niveauer af D-vitamin på 47 nmol/l og parathyroideahormon på 32,8 pmol/l, ligesom pigen også havde det markant bedre med aftagende smerter og mere energi. Fraktu-ren blev behandlet konservativt. Der blev ordineret højdosisjernbehandling med 6 mg/kg/døgn, men grundet misforståelse om doseringen fik pigen kun en tredjedel af denne dosis i de første fire uger, og anæmiprøverne forblev uændrede. Hun fik herefter korrekt dosis i mere end seks uger. Kompliansen var god, men der var ingen ændring i reticulocytniveau eller øvrige anæmiprøver. Der blev udført peroral jernabsorptionstest, som var uden sufficient stigning i plasmajern, og samtidig bekræftedes mistanken om malabsorption ved svært forhøjede cøliakiantistoffer (transglutaminase immunglobulin (Ig)A > 128 kU/l og deamideret gliadin IgA 72 kU/l). En gastroskopi viste affladet slimhinde i duodenum, og biopsier bekræftede cøliaki (Marsh type 3 b).

DISKUSSION

Sygehistorien illustrerer et tilfælde af cøliaki uden gastrointestinale symptomer. Nongastrointestinale symptomer ses hyppigt hos børn med cøliaki, og udredning bør bl.a. tilbydes til risikogrupper (f.eks. ved type 1-

diabetes) samt hos børn og unge med dårlig vækst [5]. Dette bør erindres, særligt da cøliaki fortsat vurderes at være væsentligt underdiagnosticeret [1]. Dertil illustrerer sygehistorien vigtigheden af udredning for malabsorption hos børn med jernmangel, særligt når kostanamnesen ikke bekræfter stort mælkeindtag, som ellers er en hyppig årsag, og når der ikke er effekt af korrekt behandling.

Korrespondance: Allan Bybeck Nielsen. E-mail: allan@bybeck.dk

Antaget: 11. april 2018

Publiceret på Ugeskriftet.dk: 25. juni 2018

Interessekonflikter: ingen. Forfatterens ICMJE-formular er tilgængelig sammen med artiklen på Ugeskriftet.dk

Summary

Rickets and anaemia caused by coeliac disease in a three-year-old girl

We present a case report of a three-year-old girl of Pakistani origin with coeliac disease. The first symptom was spontaneous fracture of the fibula. Vitamin D deficiency rickets and iron deficiency anaemia were demonstrated. An intestinal biopsy and elevated antibody levels confirmed the coeliac disease. Rickets is a known but rare presentation of coeliac disease, but this case report illustrates, how coeliac disease in children often presents with non-gastrointestinal symptoms. The importance of investigations for malabsorp­tion, if iron deficiency is not easily corrected with sufficient iron supplements, is underlined as well as the importance of screening for coeliac disease.

Referencer

Litteratur

  1. Horwitz A, Skaaby T, Kårhus LL et al. Screening for celiac disease in Danish adults. Scand J Gastroenterol 2015;50:824-31.

  2. Rashid M, Cranney A, Zarkadas M et al. Celiac disease: evaluation of the diagnosis and dietary compliance in Canadian children. Pediatrics 2005;116:754-9.

  3. Khatib M, Baker RD, Ly EK et al. Presenting pattern of pediatric celiac disease. J Pediatr Gastroenterol Nutr 2016;62:60-3.

  4. Al-Sharafi BA, Al-Imad SA, Shamshair AM et al. Severe rickets in a young girl caused by celiac disease: the tragedy of delayed diagnosis: a case report. BMC Res Notes 2014;7:701.

  5. Husby S, Koletzko S, Korponay-Szabó IR et al. European Society for Pediatric Gastroenterology, Hepatology, and Nutrition guidelines for the diagnosis of coeliac disease. J Pediatr Gastroenterol Nutr 2012;54:136-60.