Reaktive lymfeknuder efter vaccination mod COVID-19 kan forveksles med muligt recidiv af mammacancer


Peter Svane, Christian Haarmark & Rikke Broholm
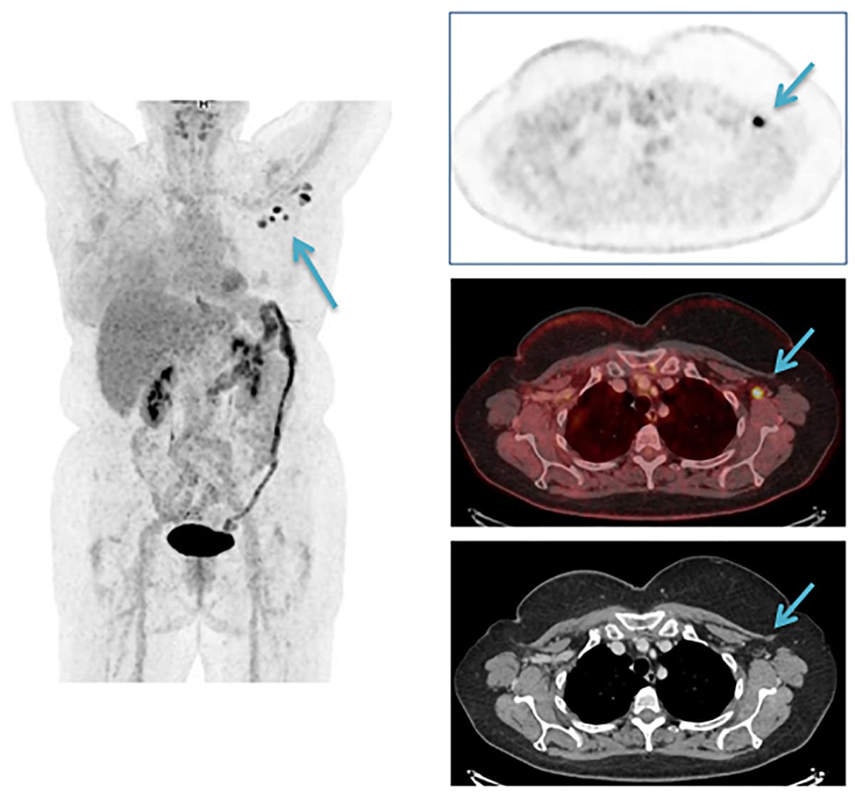
En 65-årig kvinde, der et år tidligere havde haft højresidig brystkræft med ipsilaterale lymfeknudemetastaser og var blevet behandlet kurativt med brystbevarende kirurgi med lumpektomi, aksilrømning og adjuverende kemo- og stråleterapi, bemærkede ca. fem dage efter afsluttet COVID-19-vaccination (Pfizer BioNTech) en hævelse under venstre arm. Egen læge henviste samme dag til akut UL-skanning, hvor der blev fundet flere forstørrede, malignitetssuspekte lymfeknuder i venstre aksil.
Patienten fik 11 dage efter vaccinationen udført en 18F-fluordeoxyglucose (FDG)-PET/CT, der viste flere små og forstørrede lymfeknuder med øget metabolisme i venstre aksil. En opfølgende UL-skanning 19 dage efter vaccinationen viste regression af de forstørrede lymfeknuder, hvoraf to med let asymmetrisk udseende finnålsaspireredes. Cytologien var uden malignitetsuspekte celler.
Reaktive lymfeknuder efter vaccination er velkendt [1] og også beskrevet som bivirkninger af vaccination mod COVID-19, herunder med vaccinen fra Pfizer BioNTech [2], men kan give anledning til differentialdiagnostiske overvejelser, særligt ved tolkning af 18F-FDG-PET/CT-billeder [3-5] hos patienter, der tidligere har haft cancer mammae, lymfom og malignt melanom.
Korrespondance Peter Svane. E-mail: PeterSvane@hotmail.com
Publiceret på ugeskriftet.dk 16. august 2021
Interessekonflikter ingen Forfatternes ICMJE-formularer er tilgængelige sammen med artiklen på Ugeskriftet.dk
Burger IA, Husmann L, Hany TF et al. Incidence and intensity of F-18 FDG uptake after vaccination with H1N1 vaccine. Clin Nucl Med 2011;36:848-53.
Polack FP, Thomas SJ, Kitchin N et al. Safety and efficacy of the BNT162b2 mRNA Covid-19 vaccine”. N Engl J Med 2020;383:2603-15.
Eifer M, Eshet Y. Imaging of COVID-19 vaccination at FDG PET/CT. Radiology 2021;299:E248.
Doss M, Nakhoda SK, Li Y, Yu JQ. COVID-19 vaccine-related local FDG uptake. Clin Nucl Med 2021;46:439-41.
Özütemiz C, Krystosek LA, Church AL et al. Lymphadenopathy in COVID-19 vaccine recipients: diagnostic dilemma in oncology patients. Radiology (online 24. feb 2021).