Recidiv af hiatushernie med intratorakal perforation og respiratorisk svigt under graviditet


Malene Børgager Dissing & Jesper Durup
Alvorlige diafragmahernier (DH) som komplikation til graviditet forekommer sjældent [1, 2].
Varieret symptomatologi medfører ofte forsinkelse i diagnostik og behandling, mens mortalitet og morbiditet øges [1, 2]. Vi beskriver en case med akut recidiv af et tidligere opereret hiatushernie (HH) hos en gravid, der udviklede respirationssvigt pga. inkarceration og intratorakal perforation. Casen belyser vigtigheden af en grundig gennemgang af tidligere sygdomshistorik.
Akut recidiv af tidligere operativt behandlet HH under graviditet er kun sparsomt beskrevet i litteraturen.
En 31-årig kvinde blev indlagt med øvre venstresidige mavesmerter. Vitalparametre og paraklinik var upåfaldende. Hun var gravid i uge 23+5 og var tre år tidligere blevet opereret med laparoskopisk fundoplikation for et mindre HH.
Dagen efter tiltog smerterne. Der tilkom leukocytose, opkastninger og hviledyspnø samt lav saturation, takykardi og takypnø. Stetoskopi var med nedsat luftskifte og dæmpning på venstre lunge. En arteriel blodgasanalyse viste hypoxi, hypokapni og normalt laktat.
En fokuseret lungeultralydskanning og røntgen af thorax viste pleuraekssudat og en udfyldning i venstre lungekavitet.
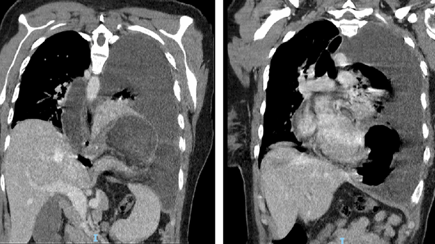
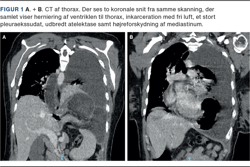
En CT af thorax viste herniering af ventriklen til thorax, inkarceration, stort pleuraekssudat, udbredt atelektase og højreforskydning af mediastinum (Figur 1). Recidivet var hidtil ukendt.
Hun udviklede respiratorisk svigt. Ved pleuracentese udtømtes 2.500 ml, hvilket dog ikke afhjalp højreforskydning af hjertet.
Hun blev overflyttet til specialafdeling, hvor man foretog akut laparoskopisk operation, forudgået af lungemodnende og vehæmmende medicin. Ventriklen blev reponeret. Man så perforation øverst på ventriklen, hvor en sutur fra fundoplikatet havde skåret sig igennem. Der var nekrose af de orale vasa brevia, og serosa var med pletvis iskæmi og nekrose. Fuldvægsiskæmi blev afkræftet endoskopisk. Perforationen og området med iskæmi blev sutureret, og vasa brevia blev delt.
Efter udskrivelse blev patienten genindlagt med opkastninger, vægttab og føtal vægtstagnation. En MR af abdomen og gastroskopi afkræftede mekanisk årsag, og man mistænkte vaguspåvirkning med gastroparese. Man gav supplerende ernæring, først via sonde og efterfølgende parenteralt for at sikre ernæringsstatus frem til fødslen. Hun fødte ved elektivt sectio et velskabt barn.
DH inddeles i kongenitte, traumatiske og erhvervede hernier. Erhvervede hernier underinddeles i HH og paraøsofageale hernier og opstår pga. svaghed i vævet omkring den gastroøsofageale overgang (GEJ) [1, 3].
DH som komplikation til graviditet er sjældent. De opstår typisk i 3. trimester pga. øget intraabdominalt tryk fra den voksende uterus samt afslapning af væv og ligamenter omkring GEJ pga. øget progesteron [4, 5] eller under fødslen, hvor trykket øges intraabdominalt, samtidig med at diafragma presses nedad ved veer [1, 4].
Prævalensen af HH i graviditeten er ukendt men menes at være seks gange højere end de andre to kategorier. Op til 85% af kvinder oplever reflukssymptomer under graviditet, de fleste dog kun i mild grad [4, 5].
Symptomerne kan udvikle sig fra almindelige graviditetslignende gener med let abdominalia og kvalme til intraktable opkastninger, brystsmerter og svære øvre mavesmerter. Ventriklen er rigt vaskulariseret, og iskæmi opstår sjældent, medmindre ventriklen stranguleres pga. herniering som i denne case. I litteraturen er der kun få eksempler med udvikling af inkarceration, perforation og respiratorisk svigt og endnu færre, der opstår som recidiv [1, 3].
I en systematisk casegennemgang af 30 gravide med DH blev 50% initielt fejldiagnosticeret. Størstedelen af hernierne, der gav komplikationer, var kongenitte eller traumatiske. Kun to patienter havde recidiv [1].
Et studie fra 2006 [5] fulgte 25 kvinder, der blev gravide efter laparoskopisk fundoplikation. Kun én udviklede akut inkarceration. En anden kasuistik [2] beskriver et tilfælde med intratorakal perforation, der dog ikke var et recidiv.
DH i graviditeten med milde symptomer kan behandles konservativt, mens tilfælde med strangulering af de intraabdominale organer bør behandles med akut operation, uafhængigt af fosterets gestationsalder [1-4]. Man anbefaler sectio til kvinder med tidligere fundoplikation, hvilket understøttes i litteraturen, hvor man anbefaler sectio ved erkendte DH i graviditeten [1, 3]. Patienter med inkarcereret DH bør aflastes endoskopisk inden overflytning til primært esophagus-, cardia- og ventrikelcenter.
Korrespondance Malene Børgager Dissing. E-mail: malene.hansen@yahoo.dk
Antaget 20. marts 2025
Publiceret på ugeskriftet.dk 23. juni 2025
Interessekonflikter ingen. Forfatternes ICMJE-formularer er tilgængelige sammen med artiklen på ugeskriftet.dk
Referencer findes i artiklen publiceret på ugeskriftet.dk
Artikelreference Ugeskr Læger 2025;187:V01250061
doi 10.61409/V01250061
Open Access under Creative Commons License CC BY-NC-ND 4.0
Recurring diaphragmatic hernias severely complicating pregnancy is a rare but potentially fatal condition. Varying symptoms and low incidence often lead to delays in diagnosis and treatment, causing increased morbidity and mortality. We present a case where a 31-year-old pregnant woman developed respiratory failure due to a right mediastinal shift caused by perforation of an incarcerated hiatal hernia, for which she had previously been operated for. Post-operatively, she suffered from vomiting due to gastroparesis, likely caused by damage to the vagus nerve, and needed supplementary nutrition.