Skip to main content

Recidiverende luftvejsinfektioner hos en 22-årig

Ulla Møller Weinreich1, Aage Kristian Olsen Alstrup2, Majbritt Frost3, Victor Vishwanath Iyer3, Henrik Christian Bertelsen3, Paul Clausen4, 5 & Trine Hammer Jensen4

8. dec. 2014
4 min.

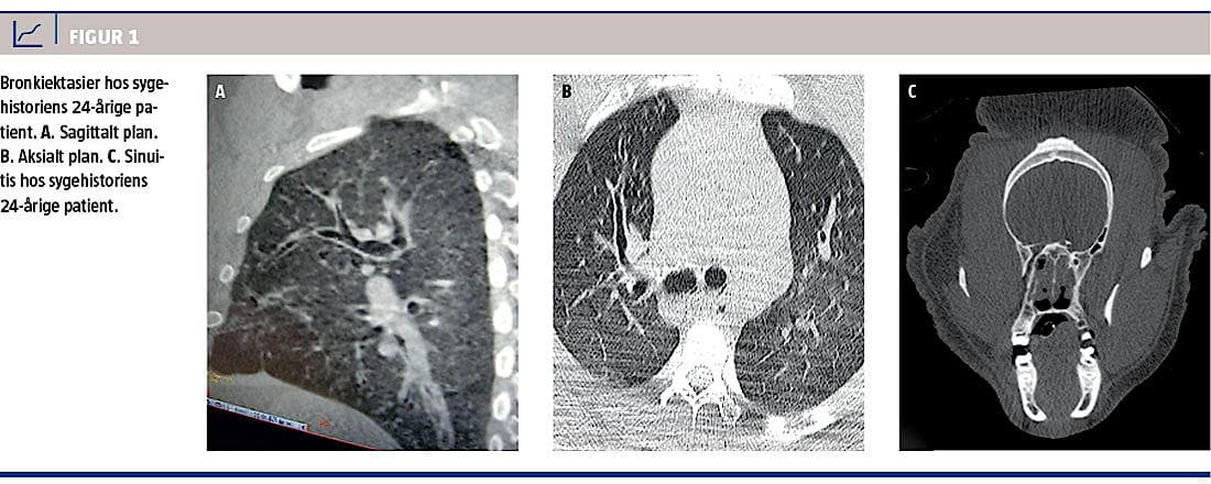
Bronkiektasier defineres som en abnorm og irreversibel dilatation af luftvejene med kronisk produktiv hoste, gentagne infektioner, eventuelt bronkial obstruktion og – på længere sigt – fald i lungefunktion til følge [1]. Diagnosen stilles billeddiagnostisk med CT. Patienter med bronkiektasier lider i op til 70% af tilfældene også af rinosinuitis [2]. I denne kasuistik beskrives et udredningsforløb hos en 22-årig herre.

SYGEHISTORIE

En 22-årig herre, der havde haft recidiverende øvre og nedre luftvejs-infektioner gennem flere år, blev henvist til videre udredning. Patienten havde daglig hoste, hvæsende vejrtrækning samt dagligt næseflåd og havde gennem de seneste år været uarbejdsdygtig.

Patienten kunne ikke kooperere til en lungefunktionsundersøgelse. Det blev derfor besluttet at bronkoskopere ham med henblik på at kortlægge den
mikrobiologiske flora. Ved bronkoskopi sås store mængder purulent sekret i såvel svælg som luftveje. En bronkial lavage viste store mængder leukocytter og ingen eosinofilocytter. En biopsi fra luftvejene viste akut inflammation, men ingen eosinofilinfiltration. Dyrkning og resistensundersøgelse viste > 105/ml Streptococcus pneumoniae, fuldt følsomme for penicillin. Der var ingen fund af mykobakterier eller svampe. Der blev foretaget biokemisk undersøgelse; der var normalt C-reaktivt proteinniveau og ingen leukocytose, dog var der let eosinofili. Patienten havde normale værdier af hæmoglobin, natrium, kalium og kreatinin, normalt blodsukker, normale levertal samt normalt immunglobulin A, G og M.

Patienten blev efterfølgende behandlet med benzylpenicillin, og symptomerne aftog, men recidiverede i løbet af få måneder og blev i den følgende periode behandlet flere gange med benzylpenicillin.

Bronkoskopien blev senere gentaget på grund af vedvarende infektionsepisoder, men dyrkning viste vedvarende kun S. pneumoniae. Ved samme lejlighed blev foretaget en radioimmunanalyse for standardinhalationspanel, denne viste ingen tegn til allergi.

Patientens eosinofili blev i lyset af resultatet af bronkoskopien og den allergiske udredning tolket som en reaktion på længerevarende infektion – eller muligvis en normalvariant hos patienten, da eosinofili også var fundet hos nært, dog ikke familiært, beslægtede.

Hyppigheden af såvel øvre som nedre luftvejs-
infektioner tiltog, og patienten, der på daværende tidspunkt var 24 år, blev tiltagende alment påvirket. Det blev derfor besluttet at foretage en billeddiagnostisk undersøgelse. Han blev derfor anæsteseret, intuberet og transporteret til Aalborg Universitetshospital. Der blev foretaget CT på Nuklearmedicinsk Afdeling. Skanningen viste bilateral sinuitis af sinus maxillaris, bilateral mastoiditis og bilaterale bronkiektasier (Figur 1). Med baggrund i skanningen blev han sat i længerevarende antibiotikabehandling med azithromycin 1 g dagligt (han vejede 156 kg) og begyndte endvidere i fysiurgisk træning. Samtidig blev han anbefalet et vægttab, og kulhydratindholdet i kosten blev reduceret.

Patientens almentilstand var efter to måneders behandling bedret betydeligt. Han havde allerede da genoptaget arbejdet og så sig således igen i stand til at bidrage til artens overlevelse.

DISKUSSION

Mennesker og orangutangerne har fælles forfædre indtil for 12-16 mio. år siden [3]. Orangutangen har som de andre store menneskeaber, gorillaen og chimpansen, 24 kromosompar mod menneskets 23 kromosompar, men de er i øvrigt genetisk sammenlignelige [3]. Luftvejsinfektioner er et kendt problem hos orangutanger [4] og symptomerne er lig de symptomer, der kendes fra mennesker: hoste, opspyt, sinuitis symptomer og træthed [1].

Profylaktisk behandling med azithromycin er velkendt og relativt veldokumenteret som behandling til humane patienter med bronkiektasier[5]. Længerevarende brug af makrolider til orangutanger har til gengæld aldrig været prøvet tidligere.

Erfaringen har vist, at diagnostik af luftvejsproblematik hos orangutanger med fordel kan foregå i samarbejde mellem læger og dyrlæger, og at dyrlæger med fordel kan benytte humane behandlingsprincipper i behandlingen af luftvejsinfektioner hos orangutanger.

Korrespondance: Ulla Møller Weinreich, Lungemedicinsk Afdeling, Aalborg
Universitetshospital, Mølleparkvej 4, 9000 Aalborg. E-mail: ulw@rn.dk

Antaget: 19. november 2013

Interessekonflikter:

Taksigelser: Tak til Biokemisk Afdeling, Aalborg Universitetshospital, Biokemisk Afdeling, Viborg Regionshospital, Klinisk Mikrobiologisk Afdeling, Aalborg Universitetshospital, Klinisk Immunologisk Afdeling, Aalborg Universitetshospital og Statens Serum Institut, som alle har været behjælpelige med parakliniske undersøgelser.

Summary

Recurrent periods of respiratory tract infections in a 22-year-old

A 22-year-old male with recurrent periods of coughing and nasal discharge was unable to work and co-operate. A bronchoscopy revealed high amounts of leucocytes and no eosinofils, acute inflammation and > 105/ml Streptococcus pneumoniae susceptible to penicillin. The symptoms relapsed after penicillin and at the age of 24 the patient was CT-scanned which revealed bilateral sinusitis, mastoiditis and bronchiectasis. Treatment with azithromycin and a weight loss programme (from 156 kg) improved the health of the patient, who was an orangutan. This highlights the benefit of co-operation between medical doctors and veterinarians.

Referencer

LITTERATUR

  1. Barker AF. Bronchiectasis. N Engl J Med 2002;346:1383-93.

  2. Guilemany JM, Angrill J, Alobid I et al. United airways again: high prevalence of rhinosinusitis and nasal polyps in bronchiectasis. Allergy 2009;64:790-7.

  3. Locke DP, Hillier LW, Warren WC et al. Comparative and demographic analysis of orangutan genomes. Nature 2011;469:529-33.

  4. Zimmermann N, Pirovino M, Zingg R et al. Upper respiratory tract disease in captive orangutans (Pongo sp.): prevalence in 20 European zoos and predisposing factors. J Med Primatol 2011;40:365-75.

  5. Shi Z-L, Peng H, Hu X-W et al. Effectiveness and safety of macrolides in bronchiectasis patients: a meta-analysis and systematic review. Pulm Pharmacol Ther 2014;28:171-8. doi: 10.1016/j.pupt.2013.09.003.