Skip to main content

Rekonstruktionskirurgi til børn og unge med sarkomer

Nye rekonstruktionsteknikker tillader, at sarkomer i de lange rørknogler kan fjernes med en tilfredsstillende bevarelse af ekstremitetens funktion.
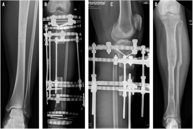
FIGUR 3 / A. Adamantinom i tibia præoperativt. B. Ringfiksation af knogledefekt efter tumorresektion. C. Knoglenydannelse. D. Postoperativt resultat med knogleopheling.
FIGUR 3 / A. Adamantinom i tibia præoperativt. B. Ringfiksation af knogledefekt efter tumorresektion. C. Knoglenydannelse. D. Postoperativt resultat med knogleopheling.

Redaktionen

12. feb. 2020
1 min.

På grund af sjældenhed, og at børn og unge med sarkomer i de lange rørknogler stadig vokser, er kirurgisk behandling af disse patienter vanskelig. Statusartiklen af Sørensen et al gennemgår forskellige muligheder ved ekstremitetsbevarende operationer af børn med sarkomer i bevægeapparatet. Forfatterne gennemgår en række biologiske og nonbiologiske rekonstruktionsteknikker og konkluderer, at patienterne ofte kan opnå højt funktionsniveau og høj livskvalitet.

Læs statusartikel
Ortopædkirurgisk behandling af børn med sarkomer i bevægeapparatet
Anna Lynge Sørensen, Peter Holmberg Jørgensen, Birgitte Jul Kiil & Thomas Baad-Hansen