Renalcellekarcinom med polymyalgia rheumatica-lignende symptomer


Misk Ghassan Farik Muhammad1, Abdullah Ghassan Farik Muhammad2 & Hayder Alhusseinawi3
Renalcellekarcinom (RCC) er den hyppigst forekommende form for nyrekræft og udgør cirka 85% af alle maligne tumorer i nyrerne [1]. Symptomer kan omfatte flankesmerter, hæmaturi, træthed og vægttab. Incidensen er højest i aldersgruppen 60-70 år og ses hyppigere hos mænd end hos kvinder. Omkring 50-60% af alle tilfælde diagnosticeres tilfældigt ved billeddiagnostiske undersøgelser foretaget af andre årsager, da RCC kan være helt asymptomatisk [2]. I sjældne tilfælde kan RCC præsentere sig med symptomer, der ligner polymyalgia rheumatica (PMR), som det er tilfældet i denne kasuistik.
Sygehistorie
En 70-årig kvinde henvendte sig med en måneds varende morgenstivhed, smerter i begge lysker, begge knæ, flankesmerter, natlige svedeture og utilsigtet vægttab. Patienten beskrev desuden lejlighedsvise feberfornemmelser, men havde ingen dokumenteret feber. Hun havde i perioden selvmedicineret med paracetamol og NSAID, hvilket kun gav forbigående lindring.
Blodprøver viste forhøjet CRP, positiv antinukleær antistof (ANA)-test samt forhøjet immunglobulin G (IgG). Anticyklisk citrullineret peptid (anti-CCP) lå inden for normalområdet. Yderligere analyser viste forhøjet CRP, forhøjet erytrocytsedimentationshastighed (ESR) samt let forhøjede værdier af trombocytter og leukocytter. Mistanken faldt på en reumatologisk lidelse, hvorved patienten blev henvist til yderligere udredning.
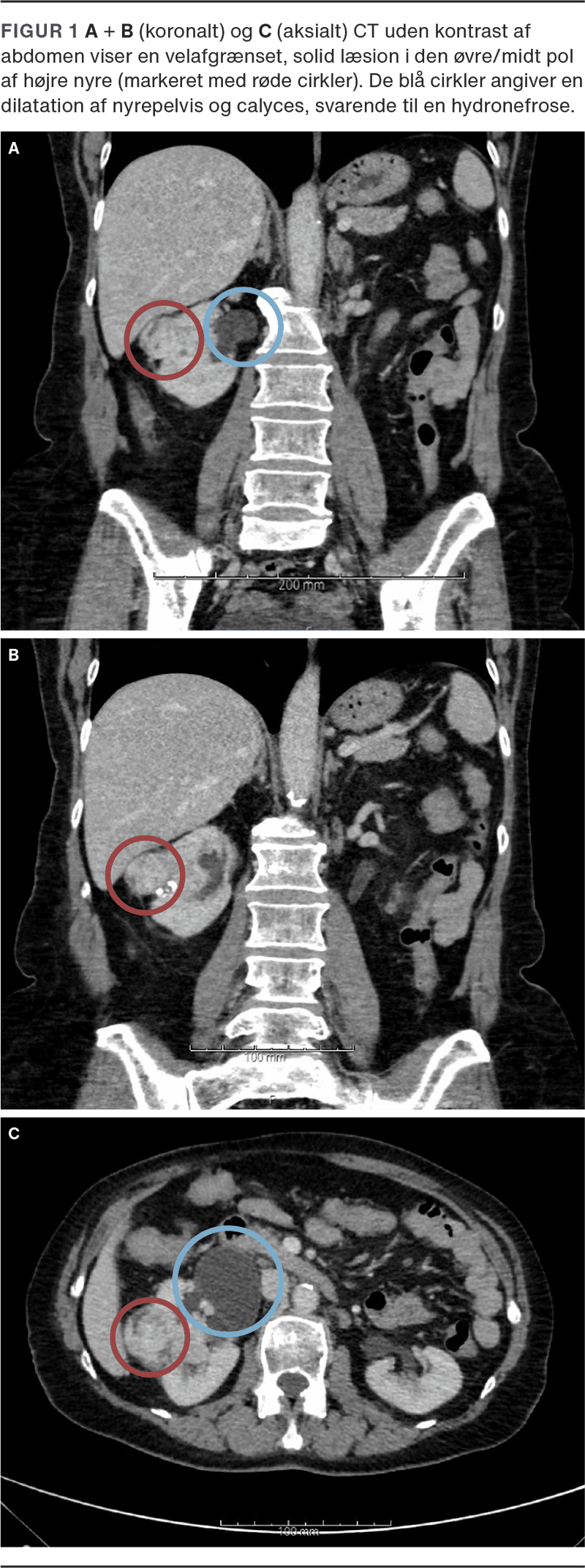
En CT af thorax, abdomen og bækken påviste en tumor på 5 × 3,5 cm i højre nyre. Derudover blev der fundet parenkymal forkalkning og hydronefrose i højre nyre, formentlig på grund af en udiagnosticeret ureteropelvin stenose. Patienten gennemgik radikal højresidig nefrektomi. Histologisk undersøgelse viste clear cell renalcellekarcinom (ccRCC), stadie pT3a, og Leibovich-score 5 (Figur 1).
Efter operationen bedredes hendes gener markant. De natlige svedeture ophørte, og vægttabet standsede. For at afhjælpe de PMR-lignende symptomer blev der iværksat en kortikosteroidbehandling på 20 mg dagligt i to uger med efterfølgende nedtrapning. En måned postoperativt var patienten i komplet remission for de reumatologiske symptomer og næsten helt trappet ud af kortikosteroidbehandlingen. Ved seksmåneders opfølgning var patienten fortsat i remission.
Patienten blev initialt udredt med mistanke om PMR, hvilket blev understøttet af patientens alder, de systemiske symptomer som udtalt morgenstivhed samt forhøjede akutfaseparametre. Selv om smertelokalisationen i dette tilfælde ikke var klassisk for PMR, er det velbeskrevet, at præsentationen kan variere, og diagnosen stilles ofte klinisk i fravær af objektive artrittegn eller anden oplagt ætiologi. En positiv ANA-test og forhøjet IgG-niveau vakte dog yderligere mistanke om en alternativ underliggende årsag, da disse fund er usædvanlige ved klassisk PMR. Hertil kom, at patienten ikke oplevede bedring på trods af indledt steroidbehandling, hvilket også taler imod idiopatisk PMR [3].
I det foreliggende tilfælde indikerede de initiale kliniske fund PMR, men symptomerne kunne retrospektivt tilskrives en underliggende malign lidelse. Der eksisterer kun sparsom litteratur, der beskriver en association mellem RCC og PMR-lignende symptomer, men enkelte kasuistikker rapporterer om patienter, hvor RCC først diagnosticeres som følge af manglende respons på standardbehandling for PMR [4]. En større retrospektiv kohorteundersøgelse fra Sverige omfattede 35.918 indlagte patienter med PMR og Giant Cell Arteritis (GCA). Heraf identificerede de 3.941 cancertilfælde, hvoraf 46 udgjordes af RCC [5]. Små renale tumorer (≤ 4 cm, cT1a) behandles primært med partiel nefrektomi. Hvis kirurgi ikke er muligt, kan ablation eller aktiv overvågning overvejes hos skrøbelige patienter. Ved tumorer < 7 cm foretrækkes partiel nefrektomi, mens radikal nefrektomi anbefales, når nyrebevarende behandling ikke er muligt. For tumorer > 7 cm (cT2) er radikal nefrektomi standard. Paraneoplastiske symptomer ses hos nogle patienter med RCC og forsvinder ofte efter nefrektomi [2].
Ved manglende behandlingsrespons hos patienter med en formodet PMR-diagnose bør der rejses mistanke om en underliggende neoplastisk sygdom. Den præsenterede kasuistik fremhæver nødvendigheden af at overveje relevante differentialdiagnoser ved atypiske eller behandlingsresistente symptombilleder. Der er derfor behov for yderligere forskning for at belyse de underliggende patofysiologiske mekanismer bag denne sammenhæng.
Korrespondance Misk Ghassan Farik Muhammad. E-mail: misk.gfm@gmail.com
Antaget 19. september 2025
Publiceret på ugeskriftet.dk 15. december 2025
Interessekonflikter ingen. Alle forfattere har indsendt ICMJE Form for Disclosure of Potential Conflicts of Interest. Disse er tilgængelige sammen med artiklen på ugeskriftet.dk
Referencer findes i artiklen publiceret på ugeskriftet.dk
Artikelreference Ugeskr Læger 2025;187:V05250412
doi 10.61409/V05250412
Open Access under Creative Commons License CC BY-NC-ND 4.0
A 70-year-old woman presented with morning stiffness, groin and knee pain, weight loss, and night sweats—initially suggestive of polymyalgia rheumatica (PMR). Laboratory tests showed elevated inflammatory markers, but imaging revealed a renal tumour. Following nephrectomy, symptoms resolved without sustained corticosteroid treatment. This case underscores the need to consider malignancy in patients with atypical or treatment-resistant PMR-like symptoms.