Skip to main content

Sallasygdom hos danske børn

Reservelæge Pia Sønderby Christensen, overlæge Per-Henrik Kaad & overlæge John Rosendahl Østergaard Aalborg Sygehus, Børneafdelingen, Sygehus Vendsyssel, Børneafdelingen, og Skejby Sygehus, Børneafdelingen

31. okt. 2005
5 min.

Sallasygdom (SS), en neurodegenerativ lysosomal aflejringssygdom, blev første gang beskrevet af Aula i 1979 [1]. Sygdommen er hyppigst i Finland, og på verdensplan er der beskrevet mindre end 150 tilfælde. Her beskrives de to første tilfælde af SS i Danmark.

Sygehistorie

Patienterne er to danske søskende, en pige og en dreng født i henholdsvis 1989 og 1999, med raske ubeslægtede forældre uden kendte finske aner. Pigen, der nu er 14 år gammel, havde et ukompliceret fødselsforløb og et ukompliceret neonatalt forløb. Hun blev henvist otte måneder gammel, hvor man fandt hende hypoton med ataktiske bevægelser af hoved og arme og med svage dybe reflekser. Fra toårsalderen fik hun gradvist spasticitet, initialt i underekstremiteterne, og fra fireårsalderen endvidere i overekstremiteterne. Fem år gammel kunne hun hive sig selv op i en siddende stilling og havde hovedkontrol. Hun brugte ca. otte forskellige ord og forstod korte beskeder. Syv år gammel havde hun et enkeltstående generaliseret krampeanfald. Ved en undersøgelse, da hun var 121/2 år gammel, fandtes ikke dysmorfe træk, og pubertetsudviklingen var i gang. Hovedomfanget var 52 cm (-2 standarddeviationer (SD)), længden 137cm (-2 SD) og vægten 25,7 kg (-3 SD). Hun havde ingen selvstændig gangfunktion, taleevnen var mistet, men hun havde en god impressiv sprogforståelse og gav god socioemotionel kontakt.

Udredningsprogram

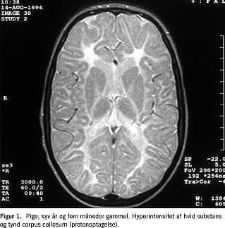
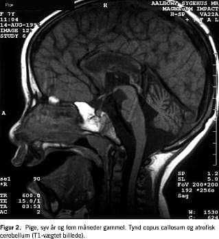
En grundig neurometabolisk screening viste normale resultater af følgende undersøgelser: urinaminosyrer og organiske syrer, lysosomale enzymaktiviteter, kreatinkinase, myoglobin, carnitin, acetylkolinreceptorantistoffer, nerveledningshastighed, muskelbiopsi (inkl. elektronmikroskopi), meget langkædede fede syrer, fytansyre, laktat og pyrovat. Der var ingen vakuoliserede lymfocytter otte måneder gammel (lysmikroskopi). Oftalmoskopi, audiometri, hjernestammeaudiometri og CT af cerebrum var normale. Initialt var elektroencefalografi (EEG)-værdierne normale, men da pigen var 7 år gammel, viste EEG diffus lavfrekvent aktivitet (2-3Hz) og et spike-focus. En MR-skanning af cerebrum viste omfattende mangel på myelinisering i de cerebrale hemisfærer, manglende myelinisering af cerebellum og en tynd corpus callosum og hjernestamme (Figur 1 ). Vermix cerebellum var udtalt atrofisk, og der fandtes nogen atrofi af cerebrum (Figur 2 ).

Pigens kliniske tilstand blev betragtet som stabil, og til trods for udredningen blev der ikke stillet en diagnose.

Diagnosticering

Familien fik herefter to raske børn. Det fjerde barn blev henvist seks måneder gammelt med hypotoni og forsinket motorisk udvikling. Halvandet år gammel havde han samme symptomer som storesøsteren, og en fornyet udredning med henblik på arvelig sygdom blev iværksat. MR-billederne blev vurderet i Holland, hvor der blev rejst mistanke om SS. Mistanken blev bekræftet, da børnene var henholdsvis 13 år og tre år gamle, da urinanalyser afslørede en stærkt forhøjet udskillelse af fri sialsyre (tyndtlagskromatografisk bestemmelse udført på Klinisk Genetisk Afdeling, Rigshospitalet). Genetiske analyser (udført i Holland) påviste mutationer i genet SLC17A5 på 6q14-q15, henholdsvis den »finske« mutation (R39C) på den ene allel og en nonsense mutation (W240X) på den anden allel.

Diskussion

Ved SS er symptomerne bl.a. psykomotorisk retardering og ataksi, og ved MR af cerebrum ses hyperintensitet af den subkortikale hvide substans i cerebrum og hypoplasi af corpus callosum [1-3]. Børnenes klinik og MR-fund var forenelige med SS. Der er sammenhæng mellem genotype og fænotype, således har homozygote for den finske mutation et mildere forløb, mens compound heterozygote, som de danske børn, ofte har et sværere forløb og tilsvarende mere udtalte forandringer ved MR af cerebrum [4, 5]. Nonsense -mutationen er tidligere beskrevet hos en svensk patient [4].

Der er forhøjet udskillelse af fri sialsyre i urinen, men der undersøges ikke for dette ved den almindeligt anvendte metaboliske screeningsundersøgelse i Danmark. Ved mistanke om SS skal der derfor rekvireres specifik analyse for fri sialsyre.

Vi antager, at SS er underdiagnosticeret og anbefaler undersøgelse af urin eller dyrkede fibroblaster for fri sialsyre ved udredning af børn med psykomotorisk retardering, ataksi og hvor MR af cerebrum viser forandringer i den hvide substans.

Bahandling af børn og voksne med SS er understøttende. Der er mulighed for prænatal diagnostik i familier med SS [6].


Pia Sønderby Christensen, Børneafdelingen, Afsnit Nord, Aalborg Sygehus, DK-9100 Aalborg. E-mail: Pias@dadlnet.dk

Antaget: 19. august 2004

Interessekonflikter: Ingen angivet

  1. Aula P, Autio S, Raivio KO et al. "Salla Disease": a new lysosomal storage disorder. Arch Neurol 1979;36:88-94.
  2. Renlund M. Clinical and laboratory diagnosis of Salla disease in infancy and childhood. J Pediatr 1984;104:332-236.
  3. Haataja L, Parkkola R, Sonninen P et al. Phenotypic variation and magnetic resonance imaging (MRI) in Salla disease, a free sialic acid storage disorder. Neuropediatrics 1994;25:238-44.
  4. Aula N, Salomäki P, Timonen R et al. The spectrum of SLC175A-gene mutations resulting in free sialic acid-storage disease indicates some genotype-phenotype Correlation. Am J Hum Genet 2000;67:832-40.
  5. Christensen PS, Kaad P-H, Østergaard JR. Sallasygdom. Ugeskr Læger 2005;167:2270-1.
  6. Salomäki P, A ula N, Juvonen V et al. Prenatal detection of free sialic acid storage disease: genetic and biochemical studies in nine families. Prenat Diagn 2001;21:354-58.

Summary

Summary Salla disease: The first two cases in Denmark Ugeskr Læger 2005;167: 2292-2293 Salla disease is a neurodegenerative lysosomal storage disorder. The mode of inheritance is autosomal recessive. The major symptoms are psychomotor retardation and ataxia. Repeated findings on MRI are hyperintensity of the subcortical white matter of the cerebrum and hypoplasia of the corpus callosum. Free sialic acid accumulates in the lysosomes and is excreted in excessive amounts in the urine. A screening test for lysosomal storage disorders does not reveal this, and the disease may be underdiagnosed. This article describes the first two cases of Salla disease in Denmark.

Referencer

  1. Aula P, Autio S, Raivio KO et al. "Salla Disease": a new lysosomal storage disorder. Arch Neurol 1979;36:88-94.
  2. Renlund M. Clinical and laboratory diagnosis of Salla disease in infancy and childhood. J Pediatr 1984;104:332-236.
  3. Haataja L, Parkkola R, Sonninen P et al. Phenotypic variation and magnetic resonance imaging (MRI) in Salla disease, a free sialic acid storage disorder. Neuropediatrics 1994;25:238-44.
  4. Aula N, Salomäki P, Timonen R et al. The spectrum of SLC175A-gene mutations resulting in free sialic acid-storage disease indicates some genotype-phenotype Correlation. Am J Hum Genet 2000;67:832-40.
  5. Christensen PS, Kaad P-H, Østergaard JR. Sallasygdom. Ugeskr Læger 2005;167:2270-1.
  6. Salomäki P, Aula N, Juvonen V et al. Prenatal detection of free sialic acid storage disease: genetic and biochemical studies in nine families. Prenat Diagn 2001;21:354-58.