Samtidig akillesseneruptur og medial malleolfraktur

Bahne Paul Thomsen & Lars Grau Lykkeberg
Total akillesseneruptur (ASR) og medial malleolfraktur (MMF) er hver for sig relativt hyppige skader, som klinikere møder i skadestuen eller på ortopædkirurgisk afdeling. Samtidig forekomst af de to skader diagnosticeres derimod sjældent. Ved gennemgang af engelsksproget litteratur har vi fundet 12 publicerede case reports, hvor traumemekanismen og de objektive fund er karakteristiske. Det fulde omfang af kombinationsskaden er blevet overset i den initiale kliniske undersøgelse i to tredjedele af de foreliggende kasuistikker. Man kan antage, at der findes et relevant højt mørketal.
Denne kasuistik beskriver et tilfælde af total ASR med samtidig ipsilateral MMF. De klassiske, objektive fund og den typiske traumemekanisme diskuteres med henblik på at øge kendskabet til kombinationsskaden.
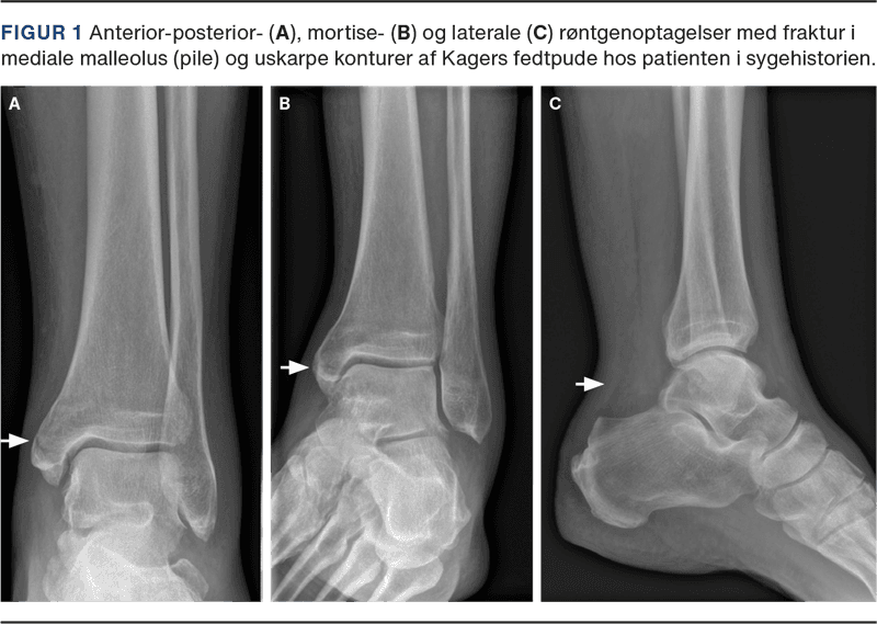
En 59-årig mand mødte i skadestuen med funktionsnedsættelse og smerter i venstre fod. Da han skiftede dæk på bilen, skred hans venstre fod fra hjulnøglen og ramte underlaget. Subjektivt beskrev han et pludseligt smæld i venstre læg. Objektivt observeredes der hævelse, misfarvning og smerter i bagkanten af mediale malleolus, en palpabel defekt i akillessenen samt positiv Matles test og positiv Thompsons test. Anterior-posterior-, mortise- og laterale røntgenoptagelser afslørede en udisloceret, oblik MMF samt sløring og uskarpe konturer af Kagers fedtpude (Figur 1).
Patienten blev behandlet konservativt med regelmæssige kliniske kontroller inklusive røntgenundersøgelser. Foden immobiliseredes med en static walker i aftagende spidsfodsstilling i otte uger og gradvist stigende belastning, og der var et ukompliceret posttraumatisk genoptræningsforløb.
Total ASR er oftest en klinisk diagnose, der ikke kræver billeddiagnostik. Den typiske anamnese med pludseligt smæld i læg samt inspektorisk og/eller palpatorisk defekt, positiv Matles test og positiv Thompsons test er patognomisk og kan fjerne opmærksomheden fra en samtidig foreliggende MMF. Omvendt kan smerter og hævelse med lokal fokus i mediale malleolus, frakturbekræftende billeddiagnostik og manglende støttefunktion aflede fra at undersøge for ASR.
Med forbehold for eventuelle publikationsbias bekræfter litteraturen, at kombinationsskaden jævnligt bliver overset. I otte ud af 12 publicerede cases blev enten ASR eller MMF ikke diagnosticeret ved den initiale undersøgelse [1]. Først intraoperativt eller ved kontroller op til tre måneder senere har man opdaget, at der forelå en yderligere behandlingskrævende skade. Obrist et al fandt 42 (6,6%) radiologisk verificerede MMF hos 630 patienter, der blev opereret for ASR pådraget ved alpine skiløb [2].
Traumatisk ASR opstår, når pludselige, excentriske kræfter virker på akillessenen, mens MMF typisk skyldes hyperekstension i anklen med samtidig inversion eller eversion af bagfoden [1]. Leppilahti et al beskriver tre mulige traumemekanismer for ASR [3]: 1) plantarfleksion af den vægtbærende forfod, mens knæleddet ekstenderes, f.eks. i starten af en løbe- eller hoppebevægelse, 2) pludselig, uventet dorsifleksion af anklen, når foden f.eks. glider ned ad et trappetrin eller snubler i et hul, og 3) kraftfuld dorsifleksion af en plantarflekteret fod, som f.eks. ses ved hop eller fald fra højt niveau. Samtidig kontraktion i triceps surae-muskulaturen øger risikoen for ruptur. Isoleret fraktur i mediale malleolus er associeret med voldsomme rotatoriske kræfter omkring talokruralleddet. I eksperimentelle studier blev det dog påvist, at få grader rotation er tilstrækkelig til at provokere en malleolfraktur, når der samtidig foreligger store aksiale kræfter [4]. Vi antager, at frakturen i mediale malleolus i ovenstående sygehistorie er forudgået af rupturen i akillessenen.
Optimal behandling af ASR med MMF bør vurderes individuelt. Overses en af skaderne og lades ubehandlet, kan det have ugunstige senfølger for patienten. Immobilisering i aftagende spidsfodsstilling øger risikoen for reruptur og forlængelse af akillessenen, og operation øger risikoen for andre komplikationer, især infektion [5]. Udislocerede MMF kan behandles med immobilisering. Talus’ trapezoide form gør dog, at talokruralleddet er mest ustabilt i spidsfodsstilling med risiko for sekundær luksation af MMF.
Baseret på tidligere publicerede kasuistikker understreges vigtigheden af at overveje samtidig forekomst af ASR og MMF. Kendskab til skademekanismen og udførelse af en anatomisk orienteret, objektiv undersøgelse af alle relevante strukturer, inklusive relevant billeddiagnostik, er essentiel for at undgå uhensigtsmæssige patientforløb efter fod-ankel-traume.
Korrespondance Bahne Paul Thomsen. E-mail: Bahne.Paul.Thomsen@rsyd.dk
Antaget 4. april 2023
Publiceret på ugeskriftet.dk 22. maj 2023
Interessekonflikter Der er anført potentielle interessekonflikter. Forfatternes ICMJE-formularer er tilgængelige sammen med artiklen på ugeskriftet.dk
Referencer findes i artiklen publiceret på ugeskriftet.dk
Artikelreference Ugeskr Læger 2023;185:V09220571
Bahne Paul Thomsen & Lars Grau Lykkeberg
Ugeskr Læger 2023;185:V09220571
This case report is about the rare combination of a concomitant ipsilateral occurrence of traumatic Achilles tendon rupture (ATR) and medial malleolar fracture (MMF) in a 59-year-old male patient. We have conducted a literature review and found 12 published cases on the same topic with similar trauma mechanism and characteristic clinical findings. Nevertheless, either the ATR or the MMF was missed in the initial clinical examination in two-thirds of the reported cases. In this case report we discuss the trauma mechanism and clinical findings of ATR and MMF and aim to increase the awareness of the combination of both injuries.