Skip to main content

Scabies

Marie S. Brasholt, Annie Bremmelgaard, Lis Danbæk, Kaare Weismann & hygiejnesygeplejerske Lene Theil

2. nov. 2005
18 min.

Oversigtsartiklens formål er at henlede opmærksomheden på, at scabies fortsat udgør et klinisk problem og giver anledning til epidemier på hospitaler og i institutioner. Klinikken ved almindelig og krustøs scabies gennemgås, og nye diagnostiske metoder i form af dermatoskopi og PCR omtales. Den i Danmark gængse scabiesbehandling omtales, og der lægges vægt på samtidig forebyggende behandling af husstandsmedlemmer og hygiejniske forholdsregler i omgivelserne. Ivermectins rolle i behandling og forebyggelse gennemgås kort. En række hospitals- og institutionsepidemier diskuteres med særlig vægt på forhold, der har haft betydning for smittespredning og efterfølgende for standsning af epidemien. Det konkluderes, at den enkelte institution bør have retningslinjer for håndtering af scabiesepidemier, og at den lokale hygiejneorganisation bør inddrages med det samme i tilfælde af en epidemi.

.

Scabies forekommer hos mennesker i alle aldersklasser over hele verden. Sygdommen var indtil 1980 anmeldelsespligtig i Danmark. I perioden 1900-1975 blev der i gennemsnit anmeldt 3.800-36.000 tilfælde årligt (1). Det er vores erfaring fra klinisk praksis, at scabies fortsat udgør et problem i Danmark. Vi vil med denne artikel henlede opmærksomheden herpå og give en kort oversigt over den nyeste viden på området.

Der er beskrevet talrige scabiesepidemier på hospitaler og i institutioner. I Danmark er der i 2000 beskrevet to udbrud af institutionsscabies med i alt 90 smittede (2, 3). Sygdommen giver således fortsat sygehushygiejniske problemer. Der findes ikke i Danmark fastsatte retningslinjer for håndtering af institutionsscabies. Udarbejdelse heraf påhviler den enkelte institution, men sådanne retningslinjer findes kun i beskedent omfang.

Scabiesmiden

Scabies fremkaldes af scabiesmiden, Sarcoptes scabiei var. hominis. Miden gennemlever hele sin livscyklus på mennesket. Den gravide hunmide, der er 0,3-0,4 mm lang, graver sig på få minutter ind i hudens overfladiske lag (epidermis), hvor den borer en tunnel (fnatgang), hvori den efterlader afføring og lægger æg. Æggene klækkes i løbet af få dage og udvikler sig over de næste 3-4 uger via larve- og nymfestadier til voksne mider med en levetid på 4-5 uger (4, 5).

Scabiesmiden overføres typisk via tæt personlig kontakt, men hunmider kan ved almindelig stuetemperatur og luftfugtighed overleve i omgivelserne i op til 1 døgn. Arlian et al (6) har kunnet påvise scabiesmider i 44% af inficerede patienters hjem, typisk fra gulv og møbler. I 64% af tilfældene var der tale om levende scabiesmider på analysetidspunktet.

Hos i øvrigt raske personer findes der typisk kun få scabiesmider i huden. Hos personer med høj personlig hygiejne kan det dreje sig om ganske enkelte mider, som kan være svære at påvise (salonfnat). Krustøs scabies (skorpefnat, norsk fnat, først beskrevet hos norske leprapatienter) optræder hos immunsvækkede personer (7). Huden indeholder fra hundrede til tusinder af mider. Den stærkt øgede midemængde kan overføres indirekte via støv- og hudpartikler til omgivelserne med efterfølgende smitterisiko, også for personer uden tæt kontakt med den inficerede.

Klinik

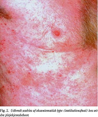
Der skelnes principielt mellem to hovedformer for scabies, almindelig scabies og krustøs scabies. Ved almindelig scabies opstår der efter en inkubationstid på 2-4 uger tiltagende kløe, værst om natten. Ved reinfestation kan kløen indtræffe tidligere, formentlig som følge af sensibilisering over for scabiesmiderne. Almindelig scabies afficerer typisk hænder, aksiller, området omkring umbilicus, penis og areolae mammae. I disse områder kan der ses varierende grader af hudaffektion med forkradsede småvesikler og fnatgange (Fig. 1). Hos børn ses endvidere affektion af fødder, hårbund og ansigt. Udbredt eksantematisk scabies ses undertiden, primært på truncus og ekstremiteter (Fig. 2). Denne type, der ikke sjældent forveksles med medikamentelt eksantem, findes især hos ældre plejehjemsbeboere og kaldes af nogle for institutionsfnat. Tilstanden tilskrives aldersbetingede forandringer i huden, hvilket medfører ændret respons på scabiesmiderne (8, 9). Krustøs scabies fremkaldes af samme type scabiesmider som almindelig scabies og er betinget af et nedsat immunrespons over for miden og dens ekskrementer. Den reducerede immunologiske reaktion fører dels til et øget antal mider og dels til nedsat eller ingen kløe hos den afficerede. Krustøs scabies ses således hos ældre, svækkede personer, hos immunsupprimerede patienter, som ofte har været i langvarig prednisonbehandling, samt hos hiv-inficerede patienter (10-14). Det kliniske billede er præget af varierende grader af skællende forandringer, som kan være universelt udbredte. Sygdommen forveksles derfor ofte med hudlidelser såsom psoriasis, seboroisk dermatit og eksem (Fig. 3). Kløe er ofte fraværende eller beskeden.

Diagnose

Diagnosen stilles på det kliniske billede og påvisning af scabiesmider og -gange. Scabiesgange ses bedst i lup og i kraftigt lys, hvor de fremstår som uregelmæssige, oftest mørke, mm til mm brede, slyngede linjer af varierende længe fra få mm til flere cm. I den ene ende ses ofte et mørkt, brunligt punkt, selve scabiesmiden (Fig. 1). Denne vil typisk hænge fast på nålespidsen, hvis en ikke for spids nål (knappenål) med små sidebevægelser føres gennem scabiesgangen.

Dermatoskopi er betegnelsen for in vivo-mikroskopi af huden. Scabiesmiden fremstår her som en lille, mørk, trekantet struktur (Fig. 1). Den diagnostiske sensitivitet er høj, 93% stigende til 100% ved to undersøgelser med 20 dages interval i et italiensk studie (15).

Ved almindelig scabies med typisk lokalisation er det kliniske billede ofte karakteristisk, så diagnosen ikke volder vanskeligheder. Et atypisk klinisk billede kombineret med at der ofte kun er enkelte scabiesmider og -gange i huden kan imidlertid gøre det vanskeligt at stille diagnosen, hvorfor nye diagnostiske metoder er under udvikling.

En kasuistisk meddelelse har beskrevet påvisning af DNA fra scabiesmiden ved hjælp af PCR (16). Tiden vil vise, om denne og eventuelt andre teknikker får klinisk relevans.

Behandling

Nix (permethrin) er et syntetisk pyrethroid, der herhjemme er førstevalgspræparat til behandling af almindelig scabies. Til fnatbehandling anvendes 5% creme, der fås i håndkøb. Det er uden kendte skadelige bivirkninger fraset sjældne tilfælde af kontaktdermatitis, absorberes kun i beskedent omfang fra huden og nedbrydes hurtigt i blod og væ v. Det kan således gives til helt små børn og gravide.

Nix-creme påsmøres huden i et tyndt lag efter et forudgående bad. Hos voksne indsmøres hele kroppen fra kæberanden og nedefter, særligt omhyggeligt på sygdommens prædilektionssteder. Hos børn under tre år behandles tillige hårbund samt ansigt undtagen omkring øjne og mund. Cremen vaskes af med varmt vand og sæbe efter 8-12 timer, og patienten tager rent tøj på. Det aftagne tøj og sengelinned vaskes ved temperaturer på over 50oC i ti minutter, hvilket er nok til at dræbe alle mider. Alternativt kan tøjet lægges i dybfryseren i et døgn eller opbevares i tætsluttende plastikpose i tre døgn (5, 17-19).

Sufficient påsmøring af Nix-creme kan være vanskelig, og selv ved regelret gennemført behandling ses behandlingssvigt (20, 21). Behandlingen bør derfor gentages efter 5-8 dage. Efter en afsluttet Nix-kur kan kløe persistere i 2-3 uger. Det kan skyldes hudens reaktion på de dræbte scabiesmider og er ikke udtryk for behandlingssvigt. Kløen kan dæmpes med steroidcreme. Kløe ud over tre uger indicerer ny undersøgelse.

Som alternativ til Nix kan anvendes hexicid-liniment. Det påsmøres som ovenfor anført og vaskes af efter 8-10 timer. Stoffet er neurotoksisk og gives ikke til børn under et år eller til patienter med udbredte inflammatoriske hudlidelser.

Ved krustøs scabies vil gentagne Nix-kure ofte være nødvendige, eventuelt suppleret med 5-8% svovlvaselin, der er scabicidt og letter fjernelsen af hudskorperne. Svovlvaselin bruges ikke til børn under to år på grund af risiko for hypertermi. Samtidig grundig rengøring af omgivelserne er vigtig.

Da scabies i tidligt stadium kan være asymptomatisk, behandles alle husstandsmedlemmer samtidig for at undgå reinfestation. Skoler og børneinstitutioner bør orienteres, så kontakpersoner med symptomer kan henvises til læge.

Stromectol (ivermectin) har vist sig effektivt til behandling af scabies. Givet i en eller to orale doser på 100-200 mikrogram/kg legemsvægt har stoffet ingen forventelige bivirkninger, og det er nemt at administrere. Stoffets endelige rolle er ikke fastlagt, men det synes at frembyde fordele specielt ved krustøs scabies, institutionsepidemier og tilfælde af behandlingsresistens over for gængse scabiesmidler. En række faktorer mangler fortsat at blive klarlagt, herunder optimal dosering og risiko for resistensudvikling. Stoffet kan efter tilladelse fra Lægemiddelstyrelsen rekvireres fra producenten (17, 20, 22).

Scabiesudbrud på hospitaler og i institutioner

Der er publiceret mange artikler om scabiesepidemier på hospitaler og i institutioner, og disse udgør formentlig kun toppen af isbjerget. En canadisk spørgeskemaundersøgelse, der blev foretaget på plejehjem, har vist, at 25% af 130 institutioner har haft scabiesudbrud blandt beboere eller personale inden for et år (23).

Man har i de artikler, der er publiceret om epidemier, ofte kunnet udpege en indeksperson, hyppigst en patient, men i et enkelt tilfælde et personalemedlem (24). Indekspersonen har typisk haft krustøs scabies (2, 10-12, 25-33), som initialt er blevet mistolket som medikamentelt udslæt (25, 26, 34), psoriasis (9, 28), uræmisk kløe (4, 35) eller eksem (5, 12). Diagnosen er ofte først stillet, når personalemedlemmer eller medpatienter har fået kløende hudsymptomer (10, 25-27, 35, 36). Selv ved hurtig og korrekt diagnose har det ikke altid været muligt at undgå spredning til omgivelserne (33).

Sekundære tilfælde er set blandt patienter, personale og pårørende (9, 10, 12, 25, 26, 28-34, 37). De har typisk haft tæt fysisk kontakt med indekspatienten (23, 26, 27, 37), men nogle epidemier har omfattet personale uden direkte patientkontakt, fx en større epidemi der er tilskrevet ukorrekt håndtering af inficeret vasketøj og fællesskabe til kittelopbevaring (34). Plejepersonale har ofte udslæt på arme, men ikke på hænder på grund af brug af handsker (29-31, 36, 37).

Det er ofte svært at vurdere en epidemis omfang. Nogle patienter vil være udskrevet eller flyttet til andre afdelinger før symptomdebut, og diagnosen vil med stor sandsynlighed blive stillet af forskellige læger (23). Indekspatienten i en artikel, der for nylig er publiceret om en dansk epidemi, nåede således at smitte plejepersonale på tre hospitaler og medpatienter på to af disse, før epidemien blev erkendt (2). Scabies er fortsat en stigmatiserende lidelse (34), hvilket kan medføre underrapportering. Overrapportering skyldes »psykogen scabies« (acarofobi) hos patientkontakter (38).

Behandling af institutionsscabies adskiller sig ikke fra behandling af scabies, der er erhvervet uden for institution. Særlige behandlingsmæssige forhold vil dog ofte gælde for indekspatienten, der hyppigt har krustøs scabies.

Det er vanskeligt at vurdere det nødvendige omfang af isolationsregimener ved almindelig scabies, men der er ingen tvivl om, at isolation er nødvendig ved krustøs scabies. De fleste anbefaler enestue, og at personalet bruger langærmede kitler, handsker og overtrækssko (14, 18, 19). Det synes fornuftigt at opretholde isolationen, til der ikke længere kan påvises levende scabiesmider i huden (30). Enkelte anbefaler begrænsning af eksposition, ved at mindst muligt plejepersonale tager sig af patienten, og at der opretholdes kohorteisolation og stop for indtag af nye patienter og for cirkulation af personale mellem afdelinger (28, 31, 37). Personale med scabies er blevet hjemsendt, til de har afsluttet behandlingen (5, 14, 30).

Vasketøj anbefales opbevaret i specielt mærkede poser, som håndteres som risikomateriale. Undladelse heraf ved krustøs scabies har ført til større epidemier (34). Der anbefales grundig daglig rengøring af patientens opholdsrum og eventuelt sprøjtning af møbler med et antiscabicidt middel (23). Efter endt behandling kan rummet sprøjtes med antiscabicid eller lukkes af i tre døgn (18, 19).

Mange har givet forebyggende behandling til samtlige medindlagte, alt personale og i varierende grad også personalets familier (10, 14, 23, 39). Det kan dog være mere hensigtsmæssigt kun at behandle personale, der har haft kontakt med patienten, hvilket har vist sig tilstrækkeligt til at standse en epidemi (31). Enkelte har undladt forebyggende behandling og i stedet undersøgt alle implicerede for at identificere smittede (27). Det mest hensigtsmæssige regimen afhænger af institutionens økonomiske og menneskelige ressourcer.

En scabiesepidemi kræver et højt informationsniveau hos personale og patienter. Mange har afholdt informationsmøder, uddelt skriftligt informationsmateriale og sendt brev til udskrevne patienter og andre involverede. Det understreges, at godt samarbejde og god kommunikation mellem de implicerede er vigtigt, herunder også med praktiserende læger, andre institutioner og eventuelt presse (21, 23, 26, 28).

Konklusion

Scabies er oftest en ukompliceret sygdom, der imidlertid kan give anledning til ubehagelig kløende hudlidelse og påføre enkeltindivider og institutioner store udgifter. Målet ved en scabiesepidemi er at begrænse smittens omfang så hurtigt, effektivt og billigt som muligt. Dette gøres via opmærksomhed på sygdommen, så den erkendes, og så adækvat behandling iværksættes hurtigst muligt. Hver institution bør have retningslinjer for håndtering af tilfælde. Det er vigtigt hurtigt at få overblik over problemets omfang ved mistanke om en scabiesepidemi, hvorfor vi foreslår, at den lokale hygiejneorganisation inddrages med det samme.

Eksempel på aktuelle sygehushygiejniske retningslinjer ved scabies

Typeinddeling (foretages af en dermatolog)

Type 1: almindelig scabies.

Type 2: institutionsscabies med udbredt eksantemlignende billede.

Type 3: krustøs scabies.

Behandling

Type 1: Nix-kur 2 med 5-7 dages interval.

Type 2: Nix-kur 2 + tbl. ivermectin (12 mg) 2 gange med 14 dages interval.

Type 3: svovlvaselin 5-8% 1 dgl. i 3-5 dage + tbl. ivermectin (12 mg) 2 gange med 14 dages interval.

I alle tilfælde gives der forebyggende behandling af patientens husstand. Ved type 3 tages der ved en dermatologisk konsulent stilling til forebyggende behandling af øvrige beboere/patienter og personale inkl. gennemgangspersonale.

Efterkontrol

Alle patienter kontrolleres 2-3 uger efter afsluttet behandling. Patienter med scabies type 2 og type 3 tilses af en dermatolog.

Isolationsregimen

Type 1: handsker ved patientkontakt.

Type 2: isolation på enestue til afsluttet første del af Nix-kuren, overtrækskitler og handsker ved patientkontakt.

Type 3: isolation på enestue til afsluttet behandling med svovlvaselin, overtrækskitler og handsker ved ophold på sygestuen.

Ved type 2 og type 3 må anden undersøgelse og behandling uden for afdelingen begrænses mest muligt, i hvert fald indtil første del af kuren er gennemført.

Personale, der ved undersøgelse af en dermatolog konstateres smittet, sygemeldes, og kun i disse tilfælde behandles husstanden også.

Rengøring, affald, snavsetøj

Almindelig rengøring. Grundig slutrengøring med støvsugning af stofbetrukne møbler i de rum hvor patienten (type 2 og type 3) har færdedes. Ved type 2 og type 3 er alt affald risikoaffald, og snavsetøj opsamles i gule plastposer.

Anmeldelse og information

Hygiejneorganisation og afdelingsledelse. Ved epidemisk smitte informeres hospitalsledelsen, andre berørte afdelinger og institutioner samt tidligere og aktuelt indlagte patienter på afdelingen. Der udleveres skriftlig vejledning.


Marie S. Brasholt, klinisk mikrobiologisk afdeling 445, H:S Hvidovre Hospital, DK-2650 Hvidovre.

Antaget den 12. april 2002.

H:S Hvidovre Hospital, klinisk mikrobiologisk afdeling,

H:S Frederiksberg Hospital, geriatrisk afdeling, og

H:S Bispebjerg Hospital, dermato-venerologisk afdeling.


  1. Christophersen J. Scabies epidemiologi i Danmark 1900-75. Ugeskr Læger 1977; 139: 2529-32.
  2. Pettersson E, Prag J, Juul J, Ternowitz T, Misfeldt J. Nosokomielt scabiesudbrud i Viborg Amt. Epi-Nyt 2001, uge 7.
  3. Brasholt MS, Danbæk L, Theil L, Bremmelgaard A, Weismann K. Institutionsscabies. Ugeskr Læger 2002; 164: 2772.
  4. Fogh H, Weismann K. Institutionsfnat. Ugeskr Læger 1988; 150: 29-30.
  5. Andersen BM, Haugen H, Rasch M, Heldal AH, Tageson A. Outbreak of scabies in Norwegian nursing homes and home care patients. J Hosp Infect 2000; 45: 160-4.
  6. Arlian LG, Estes SA, Vyszenski-Moher DL. Prevalence of Sarcoptes scabiei in the homes and nursing homes of scabietic patients. J Am Acad Dermatol 1988; 19: 806-11.
  7. Danielsen DG, Boeck W. Treatment of leprosy or Greek elephantiasis. Paris: JB Balliere, 1848.
  8. Meyers LN. Clinical presentation of scabies in a nursing home population. J Am Acad Dermatol 1988; 18: 396-7.
  9. Moberg SAW, Löwhagen GE, Hersle KS. An epidemic of scabies with unusual features and treatment resistance in a nursing home. J Am Acad Dermatol 1984; 11: 242-4.
  10. Rostami G, Sorg TB. Nosocomial outbreak of scabies associated with Norwegian scabies in an AIDS patient. Int J STD AIDS 1990; 1: 209-10.
  11. Sirera G, Romeu J, Ribera M, Tor J, Rius F, Llibre J et al. Hospital outbreak of scabies stemming from two AIDS patients with Norwegian scabies. Lancet 1990; 335: 1227.
  12. Moss WA, Salisbury J. Scabies in an AIDS hospice unit. BJCP 1991; 45: 35-6.
  13. Cárdenes Santana MA, Suárez Ortega S, Jiménez Santana P, Carretero Hernández G, Artiles Vicaíno J, Melado Sánchez P. Brote epidémico de escabiosis en relación con un paciente con infección por el virus de la inmunodeficiencia humana y sarna noruega. Rev Clin Esp 1993; 193: 155-8.
  14. Obasanjo OO, Wu P, Conlon M, Karanfil LV, Pryor P, Moler G et al. An outbreak of scabies in a teaching hospital. Infect Control Hosp Epidemiol 2001; 22: 13-8.
  15. Argenziano G, Fabbrocini G, Delfino M. Epiluminescence microscopy: a new approach to in vivo detection of Sarcoptes scabiei. Arch Dermatol 1997; 133: 751-3.
  16. Bezold G, Lange M, Schiener R, Palmedo G, Sander CA, Kerschner M et al. Hidden scabies: diagnosis by polymerase chain reaction. Br J Dermatol 2001; 144: 614-8.
  17. Lægemiddelkataloget. København: Dansk Lægemiddel Information, 2001.
  18. Nosocomial transmission and infection control aspects of parasitic and ectoparasitic diseases. Part III. Ectoparasites/summary and conclusions. Infect Control Hosp Epidemiol 1991; 12: 179-85.
  19. Daha T. Wat te doen als bij een opgenomen patiënt scabiës wordt geconstateerd? Ned Tijdschr Geneeskd 2000; 144: 2374.
  20. Usha V, Gopalakrishnan Nair TV. A comparative study of oral ivermectin and topical permethrin cream in the treatment of scabies. J Am Acad Dermatol 2000; 42: 236-40.
  21. Yonkosky D, Ladia L, Gackenheimer L, Schultz MW. Scabies in nursing homes: an eradication program with permethrin 5% cream. Am Acad Dermatol 1990: 23: 1133-6.
  22. Del Giudice P, Marty P. Ivermectin. Arch Dermatol 1999; 135: 705-6.
  23. Holness L, DeKoven JG, Nethercott JR. Scabies in chronic health care institutions. Arch Dermatol 1992; 128: 1257-60.
  24. Parish LC, Witkowski JA, Millikan LE. Scabies in the extended care facility. Int J Dermatol 1991; 30: 703-6.
  25. Dahl O. Scabies. Tidsskr Nor Lægeforen 1976; 96: 551-3.
  26. Gooch JJ, Strasius SR, Beamer B, Reiter MD, Correll GW. Nosocomial outbreak of scabies. Arch Dermatol 1978; 114: 897-8.
  27. Pancoast SJ, Kishel JJ. Patient-source scabies among hospital personnel - Pennsylvania. JAMA 1983; 250: 1817-8.
  28. Reilly S, Cullen D, Davies MG. An outbreak of scabies in a hospital and community. BMJ 1985; 291: 1031-2.
  29. Scalzini A, Barni C, Bertelli D, Sueri L. A hospital outbreak of scabies. J Hosp Infect 1992; 22: 167-8.
  30. Clark J, Friesen DL, Williams WA. Management of an outbreak of Norwegian scabies. Am J Infect Control 1992; 20: 217-22.
  31. Lerche NW, Currier RW, Juranek DD, Baer W, Dubay NJ. Atypical crusted »Norwegian« scabies: Report of nosocomial transmission in a community hospital and an approach to control. Cutis 1983; 31: 637-84.
  32. Burns DA. An outbreak of scabies in a residential ho

Summary

Summary Scabies. Ugeskr Læger 2002; 164: 2748-52. The aim of this review is to draw attention to the fact that scabies still causes clinical problems and gives rise to epidemics in hospitals and institutions. We describe the clinical aspects of ordinary and crusted scabies and newer diagnostic methods, such as epiluminescence microscopy and PCR. The current treatment of scabies in Denmark is mentioned, and the importance of simultaneous preventative treatment of household contacts and hygienic measures in the surroundings is emphasised. The role of ivermectin in the treatment and prevention is briefly described. A series of scabies epidemics in hospitals and institutions are discussed with emphasis on factors influencing the spread and subsequent interruption of the epidemic. It is concluded that each institution should have guidelines for the handling of such epidemics and that the local hygiene unit should be involved immediately in the case of an epidemic.

Referencer

  1. Christophersen J. Scabies epidemiologi i Danmark 1900-75. Ugeskr Læger 1977; 139: 2529-32.
  2. Pettersson E, Prag J, Juul J, Ternowitz T, Misfeldt J. Nosokomielt scabiesudbrud i Viborg Amt. Epi-Nyt 2001, uge 7.
  3. Brasholt MS, Danbæk L, Theil L, Bremmelgaard A, Weismann K. Institutionsscabies. Ugeskr Læger 2002; 164: 2772.
  4. Fogh H, Weismann K. Institutionsfnat. Ugeskr Læger 1988; 150: 29-30.
  5. Andersen BM, Haugen H, Rasch M, Heldal AH, Tageson A. Outbreak of scabies in Norwegian nursing homes and home care patients. J Hosp Infect 2000; 45: 160-4.
  6. Arlian LG, Estes SA, Vyszenski-Moher DL. Prevalence of Sarcoptes scabiei in the homes and nursing homes of scabietic patients. J Am Acad Dermatol 1988; 19: 806-11.
  7. Danielsen DG, Boeck W. Treatment of leprosy or Greek elephantiasis. Paris: JB Balliere, 1848.
  8. Meyers LN. Clinical presentation of scabies in a nursing home population. J Am Acad Dermatol 1988; 18: 396-7.
  9. Moberg SAW, Löwhagen GE, Hersle KS. An epidemic of scabies with unusual features and treatment resistance in a nursing home. J Am Acad Dermatol 1984; 11: 242-4.
  10. Rostami G, Sorg TB. Nosocomial outbreak of scabies associated with Norwegian scabies in an AIDS patient. Int J STD AIDS 1990; 1: 209-10.
  11. Sirera G, Romeu J, Ribera M, Tor J, Rius F, Llibre J et al. Hospital outbreak of scabies stemming from two AIDS patients with Norwegian scabies. Lancet 1990; 335: 1227.
  12. Moss WA, Salisbury J. Scabies in an AIDS hospice unit. BJCP 1991; 45: 35-6.
  13. Cárdenes Santana MA, Suárez Ortega S, Jiménez Santana P, Carretero Hernández G, Artiles Vicaíno J, Melado Sánchez P. Brote epidémico de escabiosis en relación con un paciente con infección por el virus de la inmunodeficiencia humana y sarna noruega. Rev Clin Esp 1993; 193: 155-8.
  14. Obasanjo OO, Wu P, Conlon M, Karanfil LV, Pryor P, Moler G et al. An outbreak of scabies in a teaching hospital. Infect Control Hosp Epidemiol 2001; 22: 13-8.
  15. Argenziano G, Fabbrocini G, Delfino M. Epiluminescence microscopy: a new approach to in vivo detection of Sarcoptes scabiei. Arch Dermatol 1997; 133: 751-3.
  16. Bezold G, Lange M, Schiener R, Palmedo G, Sander CA, Kerschner M et al. Hidden scabies: diagnosis by polymerase chain reaction. Br J Dermatol 2001; 144: 614-8.
  17. Lægemiddelkataloget. København: Dansk Lægemiddel Information, 2001.
  18. Nosocomial transmission and infection control aspects of parasitic and ectoparasitic diseases. Part III. Ectoparasites/summary and conclusions. Infect Control Hosp Epidemiol 1991; 12: 179-85.
  19. Daha T. Wat te doen als bij een opgenomen patiënt scabiës wordt geconstateerd? Ned Tijdschr Geneeskd 2000; 144: 2374.
  20. Usha V, Gopalakrishnan Nair TV. A comparative study of oral ivermectin and topical permethrin cream in the treatment of scabies. J Am Acad Dermatol 2000; 42: 236-40.
  21. Yonkosky D, Ladia L, Gackenheimer L, Schultz MW. Scabies in nursing homes: an eradication program with permethrin 5% cream. Am Acad Dermatol 1990: 23: 1133-6.
  22. Del Giudice P, Marty P. Ivermectin. Arch Dermatol 1999; 135: 705-6.
  23. Holness L, DeKoven JG, Nethercott JR. Scabies in chronic health care institutions. Arch Dermatol 1992; 128: 1257-60.
  24. Parish LC, Witkowski JA, Millikan LE. Scabies in the extended care facility. Int J Dermatol 1991; 30: 703-6.
  25. Dahl O. Scabies. Tidsskr Nor Lægeforen 1976; 96: 551-3.
  26. Gooch JJ, Strasius SR, Beamer B, Reiter MD, Correll GW. Nosocomial outbreak of scabies. Arch Dermatol 1978; 114: 897-8.
  27. Pancoast SJ, Kishel JJ. Patient-source scabies among hospital personnel - Pennsylvania. JAMA 1983; 250: 1817-8.
  28. Reilly S, Cullen D, Davies MG. An outbreak of scabies in a hospital and community. BMJ 1985; 291: 1031-2.
  29. Scalzini A, Barni C, Bertelli D, Sueri L. A hospital outbreak of scabies. J Hosp Infect 1992; 22: 167-8.
  30. Clark J, Friesen DL, Williams WA. Management of an outbreak of Norwegian scabies. Am J Infect Control 1992; 20: 217-22.
  31. Lerche NW, Currier RW, Juranek DD, Baer W, Dubay NJ. Atypical crusted »Norwegian« scabies: Report of nosocomial transmission in a community hospital and an approach to control. Cutis 1983; 31: 637-84.
  32. Burns DA. An outbreak of scabies in a residential home. Br J Dermatol 1987; 117: 359-61.
  33. Corbett EL, Crossley I, Holton J, Levell N, Miller RF, De Cock KM. Crusted (»Norwegian«) scabies in a specialist HIV unit: successful use of iver-mectin and failure to prevent nosocomial transmission. Genitourin Med 1996; 72: 115-7.
  34. Pasternak J, Richtmann R, Ganme AP, Rodrigues EAC, Silva RBM, de Lurdes Hirata M et al. Scabies epidemic: price and prejudice. Infect Control Hosp Epidemiol 1994; 15: 540-2.
  35. Lempert KD, Baltz PS, Welton WA, Whittier FC. Pseudouremic pruritus: a scabies epidemic in a dialysis unit. Am J Kidney Diseases 1985; 5: 117-9.
  36. Robles Garcia MR, de la Lama López-Areal J, Avellaneda Martinez C, Giménez Garcia R, Cortejoso Gonzalo B, Vaquero Puerto JL. Brote nosocomial de escabiosis. Rev Clin Esp 2000; 200: 538-42.
  37. Jimenez-Lucho VE, Fallon F, Caputo C, Ramsey K. Role of prolonged surveillance in the eradication of nosocomial scabies in an extended care Veterans Affair medical center. Am J Infect Control 1995; 23: 44-9.
  38. Scabies in health-care facilities - Iowa. MMWR Morb Mortal Wkly Rep 1988; 37: 178-9.
  39. Danielsen AG, Weismann K. Scabies crustosa og aids. Ugeskr Læger 1998; 160: 6358-9.