Sister Mary Joseph-nodulus


Suhayb Abdi1, Adna Mohamud2 & Milan Mohammad3
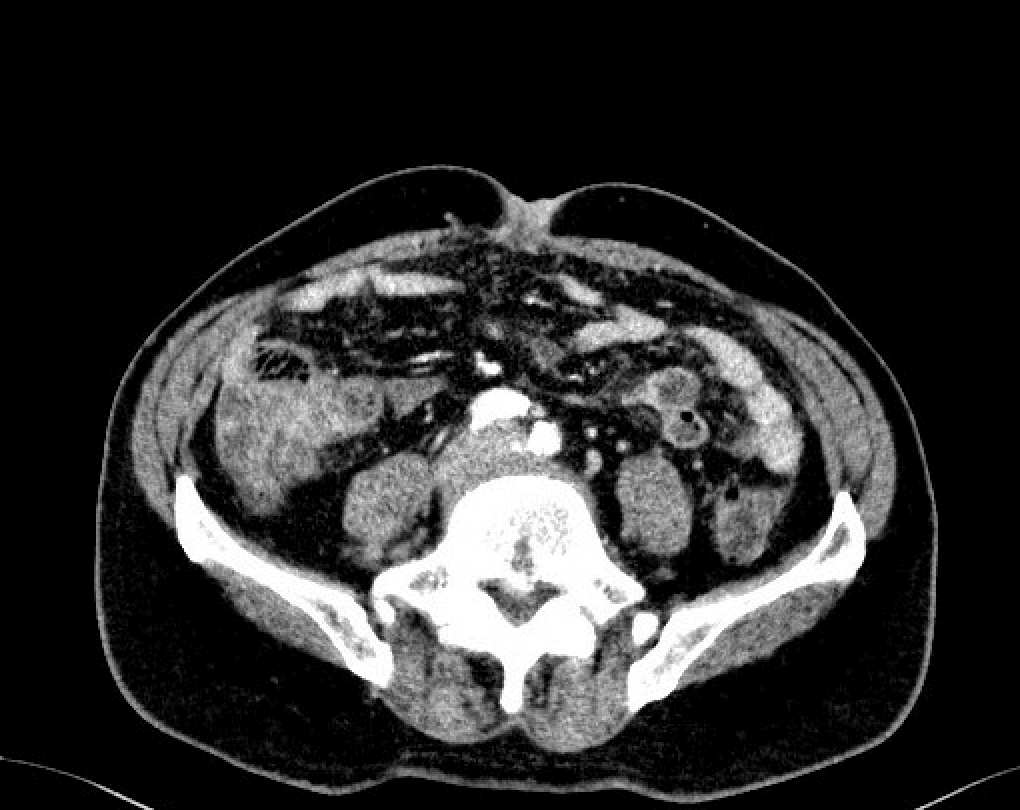
En 78-årig mand oplevede igennem længere tid tilstedeværelsen af en hård, rødlig og let kløende udfyldning omkring navlen. Han havde været i behandling for både svamp og eksem uden effekt. CT af abdomen viste dissemineret malignitet, herunder umbilikalmetastase samt peritoneal karcinose. Biopsi fra umbilikalmetastasen påviste adenokarcinom, og sammenholdt med skanningssvarene var diagnosen forenelig med primærtumor udgående fra pancreas. Patienten afgik ved døden, under to måneder efter at diagnosen var stillet, på trods af kemoterapi.
Sister Mary Joseph-nodulus er en umbilikalmetastase forbundet med gastrointestinal malignitet [1], og tilstedeværelsen af denne nodulus tyder ofte på en fremskreden cancer med en dårlig prognose [2]. Dette fænomen blev for første gang beskrevet i 1949, da sygeplejerske Sister Mary Joseph Dempsey observerede sammenhængen mellem umbilikale forandringer hos patienter med dissemineret gastrointestinal malignitet [3].
Det er vigtigt at overveje muligheden for en Sister Mary Joseph-nodulus hos patienter med periumbilikale forandringer, da det kan være det første tegn på en hidtil uerkendt, dissemineret cancer eller kan indikere progression af en allerede kendt cancer [2].
Korrespondance Suhayb Abdi. E-mail: suhayb25@hotmail.com
Publiceret på ugeskriftet.dk 24. juni 2024
Interessekonflikter ingen. Forfatternes ICMJE-formularer er tilgængelige sammen med artiklen på ugeskriftet.dk
Artikelreference Ugeskr Læger 2024;186:V72034.
doi 10.61409/V72034
Open Access under Creative Commons License CC BY-NC-ND 4.0