Skader i næse og mellemansigt ved kokainmisbrug


Frederik Vestergaard Hansen1*, Oliver Thistrup Kiehn1*, Anne Fog Lomholt1, 2, Henrik Rindom3 & Kasper Aanæs1, 2
Hovedbudskaber
Kokainforbrug kan have skadelige effekter i næsehulen.
Kokainforbruget i Danmark er stigende, og der er flere henvendelser med skader i næsen og mellemansigtet grundet kokainmisbrug.
Med øget fokus på kokains bivirkninger kan irreversible skader minimeres, og relevant behandling igangsættes, og på sigt udvikles retningslinjer for behandling.
Forbruget af kokain i Danmark har været stigende de seneste 10 år og betragtes ikke længere som et »jetsetfænomen«, men er efterhånden vidt udbredt i alle socioøkonomiske klasser [1-5]. Kokain er et stærkt afhængighedsskabende stof, der ofte indtages for at opnå en følelse af eufori, øget energi og selvtillid. Det bruges hovedsageligt i nattelivet sammen med alkohol, hvor kokain gør det muligt for brugeren at forblive energisk og vågen trods en høj alkoholpromille. Stoffet kan indtages gennem næsen ved snifning, ryges eller injiceres. Indtagelse kan udløse en række akutte bivirkninger, herunder karkonstriktion, der fører til forhøjet blodtryk, iskæmiske hjertesmerter, kramper, angst og paranoia [6, 7]. Ved længere tids nasal snifning af kokain sker der en markant nedsat vaskularisering, hvilket kan føre til destruktive bivirkninger på den nasale struktur, hvor næseskillevæggen oftest påvirkes, men stort set alle strukturer i mellemansigtet kan involveres [8-10]. Tilstanden kaldes i litteraturen »cocaine-induced midline destructive lesions« (CIMDL). Disse patienter har ofte med skorpedannelse, smerter, fløjtende nasal respirationslyde, nedsat lugtesans eller nasal obstruktion. Patienter med denne tilstand kan være svære at behandle, da det kræver total kokainafholdenhed, for at en kirurgisk intervention kan forsøges [8, 9]. Formålet med denne artikel er at gennemgå, hvilke behandlingstilbud der findes til patienter, som viser sig med denne tilstand, og hvilke problemstillinger der er i den forbindelse.
På gadeplan findes kokain som det vandopløselige salt, kokainhydroklorid. Det har været det højest forekommende centralstimulerende stof i Danmark i over ti år og udgør ca. 15% af alle politiets narkotikabeslaglæggelser. Blandt disse beslaglæggelser har man set en ændring i andelen af kokain. I sidste halvdel af 2000’erne var der kokain i 25-30% af beslaglæggelserne, mens andelen i slutningen af 2010’erne var på 50-60% [2]. I en dansk undersøgelse fra 2010 blev det konstateret, at 32% af 1.623 natklubgæster havde prøvet kokain. Samme undersøgelse viste, at kokain er blevet mere mainstream og betragtes af mange unge som relativt ufarligt og foreneligt med et normalt liv [1]. Desuden har spildevandsanalyser fra København vist en stigning i kokainforbruget siden 2013 [3]. Endelig har man observeret en stigning i antallet af indlæggelser som følge af infektioner i næsehulen efter kokainforbrug. Alt dette peger i retning af et stigende kokaintilbud i Danmark. I Europa er gennemsnitsalderen ved brug 23 år, mens gennemsnitsalderen ved indskrivning til første behandling er 32 år. De unge, der bliver afhængige, indtager typisk kokain 2-3 gange ugentligt og ofte i forbindelse med festligheder og alkohol [1, 4]. Ifølge Dansk Misbrugsbehandling er alle socioøkonomiske klasser repræsenteret i misbrugsstatistikkerne. Ofte er det også ressourcestærke personer med arbejde og familie, som indtager kokain [5].
Kokain inducerer hovedsageligt en ophobning af neurotransmitteren dopamin i centralnervesystemet. Dopamin har sin virkning i forskellige områder af hjernen, herunder det såkaldte belønningssystem, der er forbundet med motivation, belønning, glæde og afhængighed. Kokain blokerer for præsynaptiske dopamintransportproteiner, så genoptagelsen af dopamin reduceres, og tilstedeværelsen i ekstracellulærrummet forlænges. Derved kan stoffet medføre en enorm rus og en følelse af eufori og glæde. De centralstimulerende effekter af kokain begynder typisk inden for få minutter efter indtagelse af stoffet og aftager igen inden for 30 minutter til en time. Af den grund indtages der ofte flere doser over en aften. Hyppig indtagelse medfører en nedregulering af dopaminreceptorer og dermed toleranceudvikling [6]. Kokain kan spores i urinen i op til 3-5 døgn efter indtagelse. Hvis man har indtaget kokain regelmæssigt gennem en længere periode, kan det måles i urinen flere uger efter [7].
For at øge profitten på salg af kokain tilsætter mellemhandlere ofte medicinske præparater som levamisol, phenacitin og lidocain til kokainet [2]. Især levamisol bliver i stigende grad brugt som fortyndingsmiddel. Levamisol blev tidligere brugt til behandling af bl.a. aids og coloncancer, men blev forbudt til brug hos mennesker i 1999 grundet alvorlige bivirkninger som agranulocytose. Aktuelt bliver det i vid udstrækning benyttet i veterinærmedicinen som ormekur [8].
Patogenesen for CIMDL er endnu ikke fuldt belyst, og den videnskabelige litteratur bygger primært på casestudier med få patienter gennem de seneste 20 år. Det står dog klart, at patogenesen er multifaktoriel og kompleks. Det menes, at følgende faktorer bidrager til udviklingen af CIMDL: 1) Kokains vasokonstriktoriske effekt, 2) Mekanisk destruktion ved f.eks. næsepilleri og sugeremedier, 3) Sekundær infektion, 4) Inducering af autoimmunitet, 5) Aktivering af den interne apoptosesignalvej, 6) Osteoblasthæmning, 7) Livsstil, f.eks. tobaksrygning og detumescerende næsespray), 8) Tilblandingsstoffer, f.eks. levamisol [9-11] (Figur 1).
Ved CIMDL er den hyppigst forekommende destruktion den bruskede del af næseskillevæggen, mens den knoglede del, bestående af vomer og lamina perpendicularis, involveres i mere fremskredne tilfælde [8-10].
Patienter med CIMDL henvender sig typisk med en eller flere af følgende symptomer: skorpedannelse, smerter, en »fløjtende« nasal respirationslyd, sammenfald af ydre næse, dvs. saddelnæse, nasalstenose, næseblod, manglende lugtesans, dårlig ånde, nasal tale, fejlsynkning. Kliniske fund omfatter ud over perforation af næseskillevæggen, diffuse nekrotiserende læsioner, skorpedannelser og bakterielle superinfektioner [10-12]. Der kan også forekomme sår i og omkring næsen, f.eks. ved overlæben, columella, ala nasi og på svælgets bagvæg. I svære tilfælde ses der involvering af den hårde del af ganen, næsemuslingerne, de mediale vægge af sinus maxillaris og ethmoidet. Selv destruktion af orbitas gulv, os sphenoidale og ductus nasolacrimalis er beskrevet kasuistisk [8, 9, 11, 13].
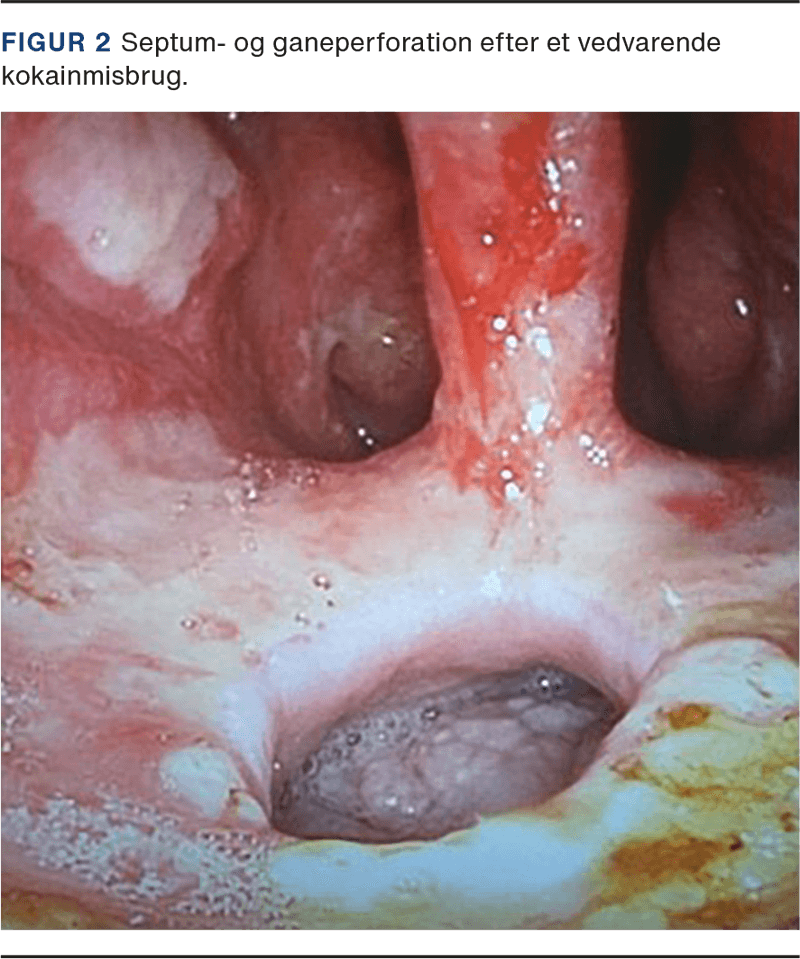
Det er uvist, hvor hurtigt CIMDL udvikles, men der er observeret septumperforationer hos misbrugere, som har haft et misbrug i alt fra 2 år og op til 30 år og indtaget doser lige fra 1 til 180 g/uge [12, 13]. Der mangler stadig longitudinale followupstudier, som kan hjælpe med at bestemme sammenhængen og korrelationen mellem mængden af kokain forbrugt over tid og udbredelsen af vævsdestruktion (Figur 2 og Figur 3).
Da patienter ikke altid er ærlige om deres kokainmisbrug, er det vigtig at kende til differentialdiagnoser til nasale septumperforationer. Overordnet opdeles årsagerne efter ætiologi illustreret i Figur 1 [12, 13].
Diagnosticering af CIMDL kan være udfordrende, og behandlingen kræver ofte en tværfaglig og patientcentreret tilgang med deltagelse af flere specialister og fagfolk fra både primær- og sekundærsektorerne (Figur 4).
I Figur 4 gives et forslag til håndtering af behandlingsforløb for patienter, der har tegn på destruktion i mellemansigtet grundet kokainmisbrug, fra primær sektor til sekundær sektor. Den parakliniske del er primært forbeholdt øre-næse-hals (ØNH)-praksis eller -hospitalsafdeling. En fuld undersøgelse af patienten skal ikke indeholde alle elementer, men skal ses som en huskeliste og hjælp til at vælge de undersøgelser, der kan hjælpe med at sandsynliggøre eller afkræfte de mistænkte diagnoser. F.eks. kan den kliniske præsentation af CIMDL og granulomatose med polyangiitis (GPA) ligne hinanden. De fleste patienter med CIMDL tester positive for antineutrofile cytoplasmatiske antistoffer (ANCA), præcis ligesom patienter med GPA er det, hvilket kan vanskeliggøre diagnosticeringsprocessen [11]. Anamnesen kan således være afgørende i udredningen.
Behandlingen af CIMDL bør bestå af et samarbejde mellem flere specialer. De kirurgiske og medicinske problemstillinger varetages både af egen læge, private ØNH-læger og på specialiserede hospitalsafdelinger. Et pågående misbrug behandles primært hos egen læge, i kommunalt regi og/eller i psykiatrien. Forløbene udfordres af, at der ikke nødvendigvis er kommunikation på tværs af sektorerne. Udviklingen af CIMDL kan kun bremses ved fuldstændig kokainafholdenhed, og derudover tilstræbes afholdenhed for tobak, før en kirurgisk intervention forsøges [10, 11, 14, 15]. I forløbet indlægges patienterne ofte med akutte behandlingskrævende infektioner i næsehulen, hvilket i værste tilfælde kan forværre tilstanden og indsnævre de kirurgiske behandlingstilbud. Nogle patienter med CIMDL lider også af medikamentel rinitis, hvorfor det er vigtigt, at de stopper brugen af detumescerende næsesprays eller -dråber, da det kan forværre tilstanden. Et pludseligt stop kan dog give udtalt næsetæthed, hvorfor det generelt anbefales, at patienterne anvender isotonisk saltvand nasalt og/eller nasalsteroid som alternativ. Ovenstående er ikke underbygget i litteraturen specifikt for CIMDL, men er videnskabeligt underbygget for medikamentel rinitis [16].
Det vil som oftest være fordelagtigt, at egen læge agerer tovholder og bindeled mellem de forskellige behandlingstilbud. På den måde sikres patienten de bedst mulige vilkår for misbrugsstop og efterfølgende eventuel kirurgisk behandling. Grundet forhold som komplians, selverkendelse hos patienten og evnen til at afstå fra et kokain- og tobaksforbrug kan behandlingen trække ud og vanskeliggøres [9, 10, 14]. Stigmatisering af patienten kan føre til en manglende vilje til at søge behandling i første omgang. En hjørnesten i behandlingen er grundig information og rådgivning om gratis kommunale behandlingstilbud. En hurtig internetsøgning på »misbrugsbehandling [kommunenavn]« vil føre til respektive kommunes behandlingstilbud.
Kokain er det mest udbredte centralstimulerende stof i Danmark, og undersøgelser peger i retning af et stigende forbrug af kokain. Det er blevet mere mainstream blandt unge, som ofte betragter det som relativt ufarligt.
Et kokainmisbrug kan medføre slimhinde-, brusk- og knogledestruktion i næse og mellemansigt, også kendt som CIMDL. Diagnosticering af kokainrelaterede vævsdestruktioner i næsen kan være en udfordring, da anamnese, objektive og parakliniske undersøgelser ikke nødvendigvis giver entydig information om diagnosen. En række andre tilstande kan også føre til septumperforationer, hvoraf den vigtigste differentialdiagnose til CIMDL er GPA.
Det er vigtigt at være opmærksom på tilstanden hos patienter med gener fra næsen uden oplagt årsag og spørge ind til et kokainforbrug.
Behandlingen af kokainrelaterede vævsdestruktioner kræver en tværfaglig indsats på tværs af primær- og sekundærsektorer med det formål at opnå total kokainafholdenhed. På den ene side er der misbrugsbehandlingen, og på den anden side er der den medicinske og kirurgiske behandling på en ØNH-afdeling.
Korrespondance Anne Fog Lomholt. E-mail: anne.fog.lomholt.02@regionh.dk
*) Delt førsteforfatterskab
Antaget 13. september 2023
Publiceret på ugeskriftet.dk 2. oktober 2023
Interessekonflikter ingen. Forfatternes ICMJE-formularer er tilgængelige sammen med artiklen på ugeskriftet.dk
Referencer findes i artiklen publiceret på ugeskriftet.dk
Artikelreference Ugeskr Læger 2023;185:V07230473
Frederik Vestergaard Hansen, Oliver Thistrup Kiehn, Anne Fog Lomholt, Henrik Rindom & Kasper Aanæs
Ugeskr Læger 2023;185:V07230473
Studies indicate that cocaine abuse in Denmark is rising. The drug can damage the midface’s nasal tissues, cartilage, and bone. Diagnosing the cocaine-induced midline destructive lesions condition is difficult as patients may not admit to drug use. Thus, this review finds that physicians should ask about cocaine abuse in younger patients who present with midline destructions of unknown origin. Mild symptoms are reversible with total abstinence, which is why it is important to involve addiction services early. Besides drug abstinence, comprehensive treatment involves assistance from GPs, physiatrists, rhinologists, and plastic surgeons.