Skrotaltumor med vækst til retroperitoneum og nyre


Sofie Amalie Klüver-Kristensen & Kim Predbjørn Krarup
I Norden diagnosticeres der årligt omkring 1.000 personer med bløddelssarkomer. Det svarer til ca. 0,5% af alle cancerdiagnoser [1]. Tumorerne kan vokse sig ekstremt store inden fjernelse af tumoren. I nogle tilfælde kan det være indiceret med kemo- eller stråleterapi enten præ- eller postoperativt, men den anbefalede behandling vil være radikal operation [2, 3].
Behandlingen af et retroperitonealt sarkom skal altid drøftes på en multidisciplinær konference med radiologer, patologer, onkologer og de relevante kirurger. I Danmark foregår dette på enten Aarhus Universitetshospital eller på Rigshospitalet [2].
51-årig tidligere rask mand sås ved egen læge grundet hævelse af skrotum. Han havde ved denne første lægekontakt ingen smerter eller trykgener, men havde blot bemærket hævelse af skrotum.
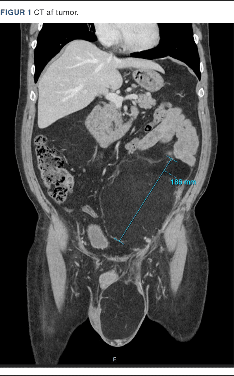
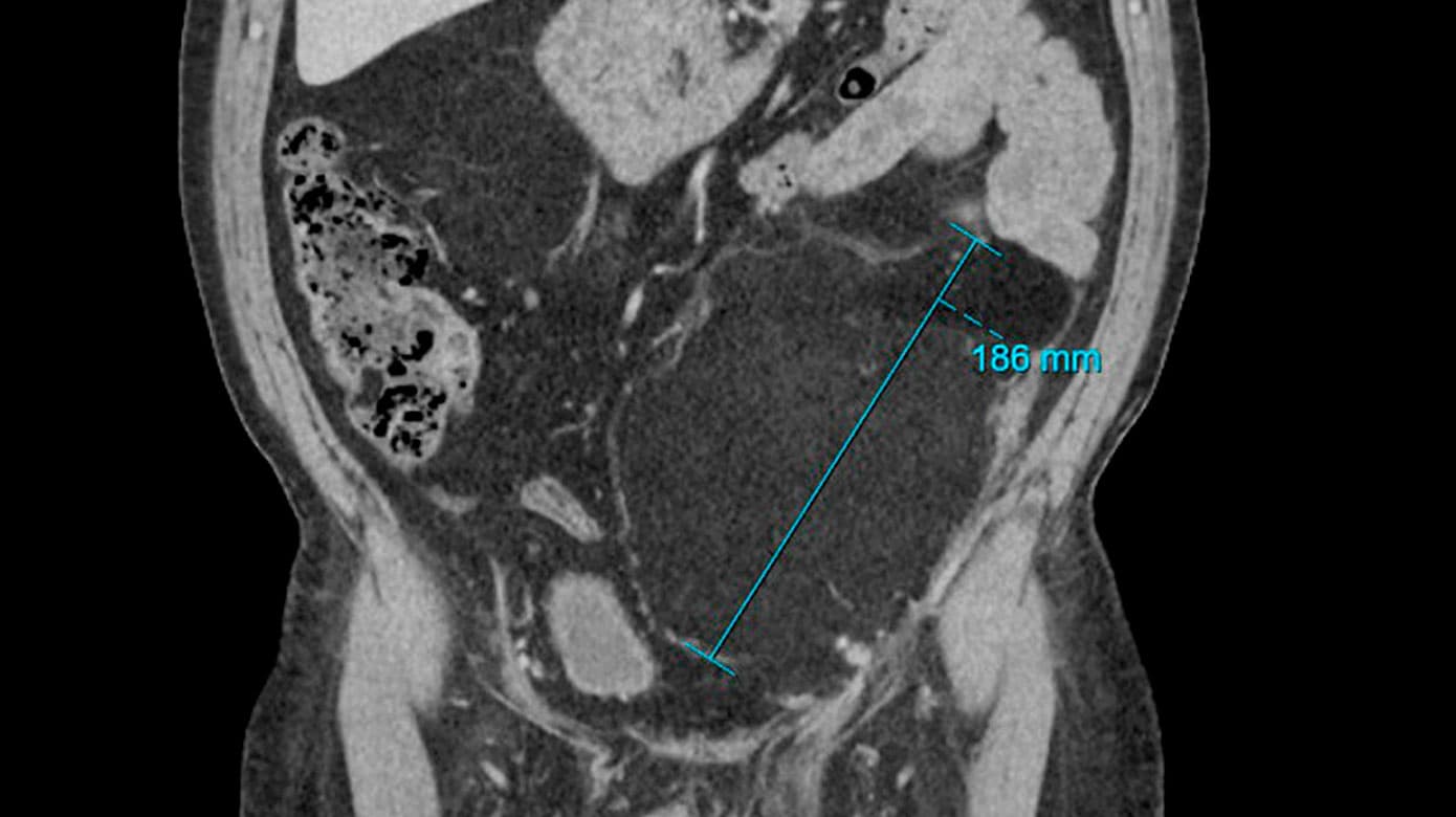
Patienten blev udredt med CT, hvor man fandt en stor tumor i venstre hemiskrotum samt i retroperitoneum. Tumoren kommunikerede via ingvinalkanalen og strakte sig op mod venstre nyre (Figur 1).
Patienten blev henvist til kirurgisk vurdering og behandling på Afdeling for Urivejskirurgi på Rigshospitalet, som har regionsfunktion for behandling af retroperitoneale tumorer. En udført biopsi af tumor var med højt differentieret liposarkom.
Patienten blev planlagt til åben kirurgisk fjernelse af tumoren. Via en bådformet incision i venstre hemiskrotum til ingvinalkanalen blev tumor og venstre testis løsnet. Alt skrotalindhold i venstre side blev taget ud med tumoren. Herefter åbnedes ingvinalkanalen, og incisionen blev udvidet til midtlinjen. Venstre ureter og iliaca communis samt externa løsnedes fra tumor, hvor den var mest adhærent.
Sigmoideum blev ligeledes løsnet fra tumor. Nedre del af Gerotas fascie og peritumoralt retroperitonealt fedtvæv blev fjernet med tumor, og patienten blev herefter vurderet makroradikalt opereret.
Der var ikke indvækst i naboorganer, hverken colon, ureter, nyre eller kar.
Patienten blev udskrevet velbefindende, men genindlagt to dage efter med stor sivning fra cikatricen samt abdominale smerter, kvalme og opkastninger. CT viste indeklemt tarm i en fasciedefekt i midtlinjecikatricen, og patienten blev akut opereret. Herefter var det postoperative forløb fredeligt, og patienten blev igen udskrevet efter fem dage.
Histologien viste dedifferentieret liposarkom med ekspansivt vækstmønster og uden karindvækst.
Patienten blev CT-skannet tre måneder efter operationen, og skanningen viste ingen tegn til recidiv. Der er planlagt en ny CT efter yderligere tre måneder, hvor man vil kontrollere cikatricen, som giver patienten gener.
I Danmark diagnosticeres der omkring 200 bløddelssarkomer årligt, og størstedelen kan kurativt behandles [1]. Kirurgisk behandling af disse store tumorer skal i Danmark foretages af specialister på hhv. Aarhus Universitetshospital eller Rigshospitalet. Det multidisciplinære samarbejde med urologer, radiologer, patologer og onkologer var i denne patientcase også nødvendigt for at planlægge den rette behandling og opfølgning.
Anbefalingen til behandlingen af disse tumorer er »komplet resektion inkl. kapsel«, hvilket kan være vanskeligt, da der ofte er tæt relation til omkringliggende strukturer. I dette tilfælde: iliaca communis og externa, sigmoideum samt venstre nyre/ureter. Her bekræftede den patologiske undersøgelse dog, at patienten var makroradikalt opereret, og der var ikke behov for yderligere kirurgi eller strålebehandling. Histologien efter kirurgi viste, at det drejede sig om et dedifferentieret liposarkom, hvor den præoperative biopsi havde vist højt differentieret liposarkom. Graderingen af liposarkomet ændrer ikke behandlingen for denne patient, hvor kirurgi er den umiddelbare anbefaling til kurativ behandling [2, 3].
I litteraturen er der beskrevet få lignende tilfælde, hvor behandlingen også har bestået af radikal kirurgi. Man har ved dette tidligere tilfælde valgt at resektere tumoren både ingvinalt og interkostalt fra. Den interkostale incision udvidede man hen over abdomen. Denne tilgang viste sig at skabe problemer, da tumoren havde en stor masse og pressede de omkringliggende strukturer til side. Man var derfor nødsaget til at lave endnu en incision ingvinalt, hvor tumoren kunne fjernes en bloc [4]. Dette understreger, hvorfor man anbefaler primær resektion af disse tumores.
Denne kasuistik viser vækstpotentialet for dedifferentierede liposarkomer og bidrager med viden om en sjælden kræftsygdom og en aldeles sjælden placering af denne.
Korrespondance Sofie Amalie Klüver-Kristensen. E-mail: sofiekluver37@gmail.com
Antaget 7. oktober 2025
Publiceret på ugeskriftet.dk 12. januar 2026
Interessekonflikter ingen. Begge forfattere har indsendt ICMJE Form for Disclosure of Potential Conflicts of Interest. Disse er tilgængelige sammen med artiklen på ugeskriftet.dk.
Referencer findes i artiklen publiceret på ugeskriftet.dk
Artikelreference Ugeskr Læger 2025;187:V05250404
doi 10.61409/V05250404
Open Access under Creative Commons License CC BY-NC-ND 4.0
Soft tissue sarcomas are a rare form of cancer that around 1000 people are diagnosed with every year in the Nordic countries. In this case report, we describe a patient presenting with scrotal swelling, which was later diagnosed as liposarcoma. The tumour grew in the scrotum, through the inguinal canal, retroperitoneal and in close relation to the left kidney. The tumour was removed with radical surgery, and histology showed a dedifferentiated liposarcoma with clean margins. This case report shows the growth potential of liposarcomas and contributes to knowledge about a rare form of cancer.