Skip to main content

Sonic hedgehog-leveradenom som årsag til leverruptur og intrauterin fosterdød

Mia Steengaard Olesen1, Lise Lotte Torvin Andersen1 & Ole Steen Bjerring2

8. nov. 2021
4 min.

Leveradenomer er sjældne, rigt vaskulariserede tumorer med svagt bindevæv, og de fleste typer er østrogenpåvirkelige. De opstår langt overvejende hos kvinder med langtidsbrug (> 24 måneder) af orale antikonceptiva, og incidensen er estimeret til 3-4 tilfælde pr. 100.000 kvinder. Hormonelle påvirkninger, øget cardiac output og øget blodvolumen under graviditeten kan medføre vækst og dermed øget risiko for ruptur af leveradenomer [1].

Sygehistorie

En 32-årig gravid kvinde, para 0, gestationsalder 34 uger+, henvendte sig i svangreklinikken med uspecifikke trykkende smerter i epigastriet. Tidligere på dagen havde hun haft et tilfælde af almen utilpashed, der svandt spontant igen. Hun havde derudover mærket normalt liv.

Hun var i insulinbehandling for diabetes mellitus type 2 og i medicinsk behandling for hypertension samt tidligere udredt for leverforandringer, som på MR-skanning med leverspecifik kontrast karakteriseredes som fokal nodulær hyperplasi, en benign leverforandring, som ca. 3% af den voksne befolkning er diagnosticeret med.

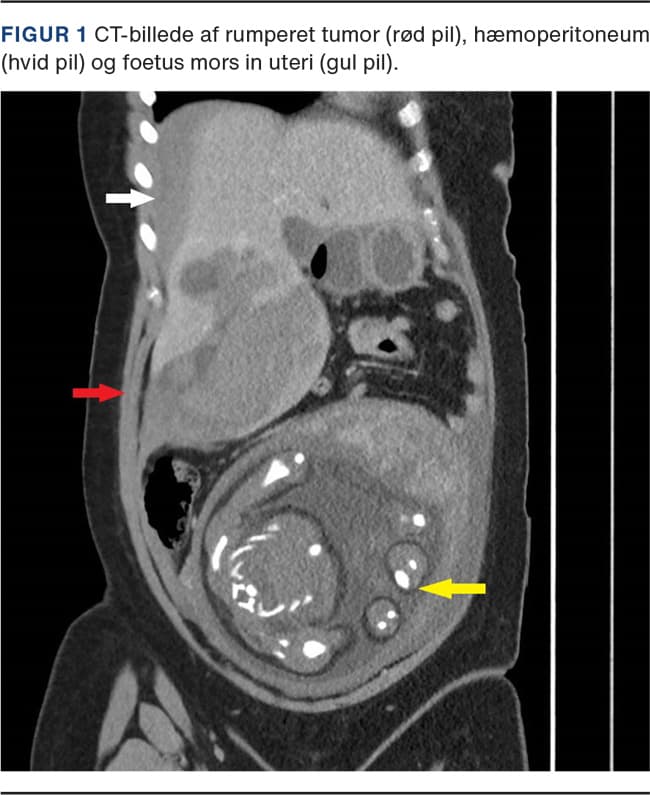
Ved den akutte vurdering var differentialdiagnoserne præeklampsi, HELLP, galdestensanfald, pankreatitis, lungeemboli samt akut myokardieinfarkt som alle blev udelukket pga. normal paraklinik, ekg og A-gas-analyse. Der fandtes initialt let hypotension 95/62 mmHg og en puls på 82 slag/min. Door-step-kardiotokografi (CTG) fandtes normal og reaktiv. Pga. vedvarende smerter blev hun indlagt til observation. En kontrol-CTG viste intrauterin fosterdød, hvorefter patienten kort efter blev akut dårlig, med voldsomme smerter i epigastriet strækkende sig under højre kurvatur og klinisk tegn på hypovolæmisk shock. Der fandtes umiddelbart ikke kliniske tegn til placentaløsning (abruptio), idet uterus blev vurderet blød og uøm, og der ikke var observeret nogen vaginal blødning. Pga. mistanke om intraabdominal blødning udførtes akut CT, der viste blødning fra en rumperet leverforandring (Figur 1).

Patienten blev stabiliseret hæmodynamisk, ved indgift af intravenøs indgift af væske samt blodtransfusioner. Der blev med god hæmodynamisk effekt foretaget akut transarteriel embolisering med Spongostan coils af to arteriegrene, der forsynede tumoren. Senere kunne der foretages kontrolleret sectio med samtidig vurdering af leveren, og man fandt 3 l blødning intraabdominalt, men ingen igangværende blødning. Barnets størrelse svarede til gestationsalderen, og der var ingen synlige misdannelser. Patienten blev udskrevet efter 16 dage.

I efterforløbet udførtes MR-skanning, hvor tumoren nu som forventet fremstod som et adenom. Fire uger efter rupturen blev der foretaget en ukompliceret laparoskopisk resektion af et 12 cm stort leveradenom, som ved en histopatologisk analyse blev klassificeret som værende et sonic hedgehog-adenom (SHA).

Diskussion

Spontan leverruptur under graviditeten er en sjælden, men meget alvorlig tilstand, der er associeret med risiko for maternel og føtal mortalitet på henholdsvis 44% og 38% [2].

Risikoen for leverruptur er multifaktoriel, men ses oftest i forbindelse leveradenomer, HELLP-syndrom, præeklampsi, gestationel hypertension og høj maternel alder [3]. Leverruptur forekommer hyppigst i tredje trimester af graviditeten, men er beskrevet i både andet trimester og i puerperiet [3]. De afficerede kvinder har øvre højresidige abdominalsmerter, der strækker sig fra epigastriet ud i højre skulder. Derudover kan de have kvalme, opkastninger, øget abdominalomfang og endelig hypovolæmisk shock, hvilket 30-90% har. Hurtig diagnostisk og behandling hos patienter med pludseligt opståede højresidige mavesmerter reducerer risikoen for maternel og føtal mortalitet. Der er ingen standardiseret behandling ved leverruptur, men ved akut blødning anses arteriel embolisering som førstevalg, hvis denne procedure kan tilbydes uden forsinkelse eller overflytning til et andet sygehus [4]. Akut kirurgisk intervention i form af laparotomi mhp. pakning af abdomen, ligering af a. hepatica og/eller leverresektion er nødvendige og livreddende behandlinger at kunne tilbyde.

Kvinder med kendte leveradenomer anbefales intervalskanninger før og under graviditeten, da der ses en vækst af leveradenomer hos ca. en fjerdedel af kvinderne. Planlagt resektion i ikkegravid tilstand er optimal for leveradenomer > 5 cm eller ved symptomer [5]. Det relativt nydefinerede SHA har den største risiko for ruptur, og en tidligere kirurgisk strategi ved SHA bør formentlig overvejes hos kvinder i fertil alder [5]. Risikoen for malign transformation af leveradenomer antages at være på 4,2-10% [4, 5], men er afhængig af, hvilken undertype af adenomer der er tale om.



Korrespondance Mia Steengaard Olesen. E-mail: miasolesen@gmail.com
Antaget 9. september 2021
Publiceret på ugeskriftet.dk 8. november 2021
Interessekonflikter ingen. Forfatternes ICMJE-formularer er tilgængelige sammen med artiklen på ugeskriftet.dk
Referencer findes i artiklen publiceret på ugeskriftet.dk
Artikelreference Ugeskr Læger 2021;183:V06210540

Summary

Hepatocellular adenoma as a cause of liver rupture and intrauterine foetal death

Mia Steengaard Olesen, Lise Lotte Torvin Andersen & Ole Steen Bjerring

Ugeskr Læger 2021;183:V06210540

During pregnancy, hepatocellular adenoma HCA may grow, which increases the risk of rupture. In this case report, a 34-year-old woman at gestational age 34+ weeks was admitted to hospital with abdominal pain, hypovolaemia and intrauterine foetal death from a ruptured hepatocellular adenoma. It was successfully managed with trans-arterial embolisation and caesarean section, followed by laparoscopic liver resection four weeks later. Spontaneous liver rupture during pregnancy is associated with an increased risk of maternal and foetal mortality, and appropriate interventional radiology and surgical measures are essential for successful treatment.

Referencer

Referencer

  1. Guideline. Leversygdomme i graviditeten. Dansk Selskab for Gynækologi og Obstetrik, 2021.

  2. Cobey FC, Salem RR. A review of liver masses in pregnancy and a proposed algorithm for their diagnosis and management. Am J Surg 2004;187:181-91.

  3. Boregowda G, Shehata HA. Gastrointestinal and liver disease in pregnancy. Best Pract Res Clin Obstet Gynaecol 2013;27:835-53.

  4. Dokmak S, Paradis V, Vilgrain V et al. A single-center surgical experience of 122 patients with single and multiple hepatocellular adenomas. Gastroenterology 2009;137:1698-705.

  5. Nault JC, Couchy G, Balabaud C et al. Molecular classification of hepatocellular adenoma associates with risk factors, bleeding, and malignant transformation. Gastroenterology 2017;152:880-94.e6