Split scar sign ved rectumcancer


Marie-Louise Niebe Kærup & Søren Rafaelsen
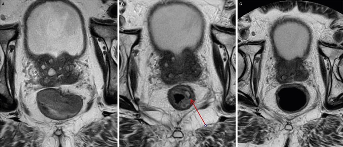
En 81-årig mand med intermitterende rektalblødning fik foretaget koloskopi, som afslørede en tumor 6 cm fra analåbningen. Biopsien viste, at der var tale om et adenokarcinom. En CT af thorax og abdomen viste ingen fjernmetastaser.
Patienten blev behandlet med radiokemoterapi efter wacthful waiting (WW)-protokollen. Efter seks uger blev der foretaget MR-skanning af rectum. På en T2-vægtet sekvens så man, at tumoren var regredieret og erstattet af fibrose med et centralt ar. Denne konfiguration kaldes split scar sign.
Der blev igen udført koloskopi med biopsi og endnu en MR-skanning, begge var uden tegn til recidiv. CT og MR-skanninger over to år viste ikke tegn på recidiv.
Kirurgi er standardbehandling af rectumcancer i Danmark, og WW udføres kun i protokolleret regi [1]. Et studie har vist, at split scar sign, et tidligt radiologisk fund, er specifikt for komplet respons [2]. Dette morfologiske tegn kan bidrage til udvælgelsen af patienter, der kan forsætte i en WW-protokol. European Society of Gastrointestinal and Abdominal Radiology anbefaler, at MR-skanning korreleres med endoskopi ved kontrol [3]. Et nyt studie har vist god livskvalitet ved lang followup på fem år [4].
Korrespondance Marie-Louise Niebe Kærup. E-mail: marie-louise.niebe.kaerup2@rsyd.dk
Publiceret på ugeskriftet.dk 14. marts 2022
Interessekonflikter ingen. Forfatternes ICMJE-formularer er tilgængelige sammen med artiklen på ugeskriftet.dk
Artikelreference Ugeskr Læger 2022;184:V71098
Appelt AL, Pløen J, Harling H et al. High-dose chemoradiotherapy and watchful waiting for distal rectal cancer: a prospective observational study. Lancet Oncol. 2015;16(8):919-27.
Santiago I, Barata M, Figueiredo N et al. The split scar sign as an indicator of sustained complete response after neoadjuvant therapy in rectal cancer. Eur Radiol. 2020;30(1):224-38.
Beets-Tan RGH, Lambregts DMJ, Maas M et al. Magnetic resonance imaging for clinical management of rectal cancer: updated recommendations from the 2016 European Society of Gastrointestinal and Abdominal Radiology (ESGAR) consensus meeting. Eur Radiol. 2018;28(4):1465-1475.
Dizdarevic E, Frøstrup Hansen T, Pløen J et al. Long-term patient-reported outcomes after high-dose chemoradiation therapy for nonsurgical management of distal rectal cancer. Int J Radiat Oncol Biol Phys. 2020;106(3):556-563.