Skip to main content

Spontan bilateral ekstrauterin graviditet efter kejsersnit

Jesper Friis Petersen1, Charlotte Ekelund2 & Annette Settnes1

23. mar. 2015
4 min.

Ekstrauterin graviditet (EUG) er en relativt hyppigt forekommende komplikation hos gravide kvinder [1], som har velkendte risikofaktorer som assisteret reproduktion, tidligere kirurgi på salpinx, brug af spiral, tidligere infektion og rygning. Bilateral ekstrauterin graviditet (BEG) er yderst sjældent forekommende (ca. 1:1.000 EUG), men risikoen øges med ovennævnte faktorer [2], ligesom der er set en stigning i antallet af publicerede cases i de senere år.

I denne kasuistik beskrives en spontan BEG hos en kvinde, der ikke havde typiske risikofaktorer og tre uger efter primær salpingektomi pga. EUG blev genindlagt med kontralateral EUG, der nødvendiggjorde reoperation.

SYGEHISTORIE

En 33-årig kvinde blev indlagt med vaginal blødning og lette abdominalsmerter. Hun var spontant og ønsket gravid med positiv graviditetstest (urin-humant choriogonadotropin (hCG)) og menostasi igennem fem uger. Hun var i øvrigt sund og rask og havde haft to tidligere fødsler ved kejsersnit fire og ti år tidligere, objektivt var hun upåvirket og hæmodynamisk stabil. Ved en vaginal ultralydskanning fandt man en tom uterus med smalt midtlinjeekko og en mulig proces ved venstre ovarium, højre blev vurderet som normalt uden fri væske. Kvinden blev behandlet som »gravid med ukendt lokalisering« med udvidet genhenvendelsesvarsel og kontrol af S-hCG-niveau.

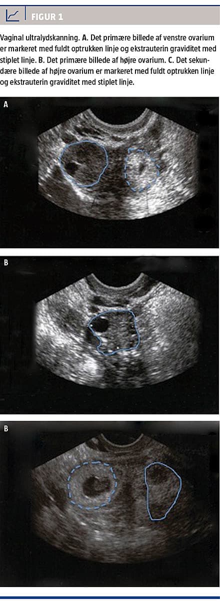
Hun henvendte sig igen samme aften med tiltagende smerter og et S-hCG-niveau på 2.530 mIU/ml. Ved en ny vaginal ultralydskanning genfandt man den venstresidige proces, der nu var suspekt for EUG (Figur 1A og Figur 1B). Ved en operation blev højre salpinx beskrevet som normal medialt, men lateralt adhærent til ovariet og med ødelagt fimbriaeapparat, men på grund af massive adhærencer kun delvist synlig. Hun blev udskrevet
i velbefindende uden yderligere opfølgning.

Kvinden blev genhenvist 23 dage senere. Hun havde været alment utilpas i det meste af den mellemliggende periode med lette abdominalsmerter, men hun var objektivt upåvirket. Der blev foretaget en vaginal ultralydskanning med et karakteristisk fund af en mulig EUG på højre side (Figur 1C), der var ingen fri væske. Ved genindlæggelsen var S-hCG-niveauet på 11.400 mIU/ml. Ved operationen fandt man hele vejen rundt om salpinx talrige adhærencer, der blev løsnet før det endelig fund af en højresidig tubar graviditet. Efter salpingektomien blev S-hCG-niveauet fulgt til 0 mIU/ml, og behandlingen blev afsluttet med videre opfølgning i fertilitetsambulatoriet pga. fortsat graviditetsønske.

DISKUSSION

Hos patienten i sygehistorien var der bortset fra de to tidligere kejsersnit ingen af de velkendte risikofaktorer for EUG til stede. Sygehistorien er et eksempel på, at tidligere intraabdominale operationer kan medføre risiko for adhærencer, som kan være mulige årsager til den ekstrauterine placering af graviditeten.

Dansk Selskab for Obstetrik og Gynækologi anbefaler kun postoperativ kontrolmåling af S-hCG-niveau, såfremt der foretages salpingotomi mhp. bevarelse af fertiliteten [3]. Selvom ovenstående sygehistorie illustrerer en yderst sjælden komplikation, tjener det som eksempel på, at den mindste peroperative tvivl om modsidige adnex bør udløse opfølgning med bestemmelse af S-hCG-niveau postoperativt.

Kejsersnitsfrekvensen er stigende verden over [4], og der er stigende evidens for en række langtidskomplikationer. I et nyligt publiceret studie [4] så man på risikoen for efterfølgende dødfødsel, abort eller EUG hos førstegangsfødende i en dansk kohorte, der fik foretaget kejsersnit. Man fandt en signifikant øget risiko for dødfødsel og EUG, der dog i absolutte tal var begrænset, numbers needed to harm var 1.000 for EUG. Risikoen var evident efter såvel planlagt som akut kejsersnit. I studiet inkluderede man kun opfølgning efter første kejsersnit, og det er muligt, at risikoen for EUG er større hos kvinder, der har fået foretaget flere kejsersnit.

Informeret samtykke til kejsersnit på moderens ønske (Figur 2) [5] bør ikke kun omhandle umiddelbare komplikationer, men også de langsigtede, efterhånden som viden herom øges.

Korrespondance: Jesper Friis Petersen, Gynækologisk-obstetrisk Afdeling, Nordsjællands Hospital, Dyrehavevej 29, 3400 Hillerød.
E-mail: jesperfriis@dadlnet.dk

Antaget: 13. januar 2015

Publiceret på Ugeskriftet.dk: 23. marts 2015

Interessekonflikter:

Summary

Spontaneous bilateral tubal pregnancy following caesarean section

We describe a rare case of bilateral tubal pregnancy following natural conception in a woman with no other known risk factor than two former caesarean sections. Intraabdominal adhesions following the caesarean sections complicated the salpingectomy thus diminishing certainty of a healthy contralateral tube. The woman was readmitted three weeks later and had an additional salpingectomy on behalf of an unrecognized tubal pregnancy. Considering the rising caesarean section rates clinicians need to be certain of no additional ectopic pregnancy while performing the primary operation.

Referencer

LITTERATUR

  1. Li W, Wang G, Sun W. Misdiagnosis of bilateral tubal pregnancy: a case report. J Med Case Rep 2014;8:342.

  2. De Los Ríos JF, Castañeda JD, Miryam A. Bilateral ectopic pregnancy.
    J Minim Invasive Gynecol 2007;14:419-27.

  3. Vedsted-Jakobsen A, Settness A, Bülow-Lehnsby AL et al. Diagnostik, behandling og kontrol af ekstrauterin graviditet. DSOG Guideline 2010. www.dsog.dk/hindsgavl/ (3. feb 2015).

  4. O’Neill SM, Agerbo E, Henriksen TB et al. Cesarean section and rate of subsequent stillbirth, miscarriage, and ectopic pregnancy: a Danish register-based cohort study. PLoS Med 2014;11:e1001670.

  5. D’Souza R, Arulkumaran S. To “C” or not to “C”? Caesarean delivery upon maternal request: a review of facts, figures and guidelines. J Perinat Med 2013;41:5-15.