Spontan koronararteriedissektion


Karoline Bjerg Dam-Huus1, Lene Holmvang1, Rikke Sørensen1, Mette Gitz Charlot2, Nicolaj Brejnholt Støttrup3, Lene Hüche Nielsen4 & Lia Evi Bang1
Spontan koronararteriedissektion (SCAD) er en uforudsigelig, potentielt livstruende akut tilstand.
SCAD er den hyppigste årsag til akut koronart syndrom hos kvinder under 50 år.
Et nyt holdningspapir fra Dansk Cardiologisk Selskab samler konsensus om behandlings- og opfølgningsstrategi.
Spontan koronararteriedissektion (SCAD) er en uforudsigelig og potentielt livstruende tilstand samt den hyppigste årsag til akut koronart syndrom (AKS) blandt yngre kvinder. Tidligere ansås tilstanden som sjælden, men over de senere år er der kommet mere fokus på SCAD. Registre viser, at SCAD forårsager op mod 35% af tilfælde med AKS blandt kvinder under 50 år [1].
Sygdommen defineres som en pludselig opstået spaltning af koronararterievæggens laginddeling uden forudgående traume. Herved opstår et falsk lumen, der helt eller delvist komprimerer det sande lumen [2]. Idet patienterne oftest ved indlæggelsen har brystsmerter, åndenød og hjertebanken i kombination med iskæmiske forandringer på ekg, kan tilstanden ikke adskilles fra den hyppigste årsag til akut myokardieinfarkt: ruptur af et aterosklerotisk plak [1, 3].
Tilstanden rammer oftest yngre og midaldrende kvinder, som ikke har nogen af de traditionelt kendte risikofaktorer for iskæmisk hjertesygdom. Blot 10% af patienterne med SCAD er mænd. Sygdommen er i registerstudier i højere grad associeret til hård fysisk og emotionel belastning, migræne, angst, depression, fibromuskulær dysplasi (FMD), hormonsubstitution, graviditet, inflammation og menopause [1]. I nogle studier har man også påvist en association til specifikke genetiske varianter set ved andre bindevævssygdomme f.eks. Marfans syndrom og Ehlers-Danlos’ syndrom [4].
Over de seneste år viser tal fra interne opgørelser, at der i Danmark årligt indlægges ca. 150 patienter på mistanke om ST-elevationsmyokardieinfarkt, men de diagnosticeres efterfølgende med SCAD. Der foreligger ikke data på, hvor mange patienter der indlægges på mistanke om non-ST-elevationsmyokardieinfarkt og efterfølgende diagnosticeres med SCAD. Et canadisk studie fra 2022 angiver en prævalens på 1-4% af alle patienter med AKS [5]. Dog er prævalensen af sygdommen forbundet med stor usikkerhed, da tilstanden er både under- og fejldiagnosticeret [6]. Ligeledes blev SCAD først anført med en ICD-10-kode i 2020 [7].
Hensigten med denne artikel er at udbrede kendskabet til SCAD og samtidig gøre opmærksom på et nyligt publiceret holdningspapir fra Dansk Cardiologisk Selskab, der vejleder om håndteringen af disse patienter [8].
Der foreligger to teorier til at forklare mekanismen bag SCAD. Fælles for de to teorier er, at SCAD skyldes en pludselig rift i koronararterievæggen, hvilket resulterer i en adskillelse af den ydre og indre del af karvæggen [6, 9]. Årsagen til, at den indledende rift opstår, er ikke klar, men den kan være forbundet med shear stress eventuelt i kombination med strukturelle abnormaliteter i arterievæggen såsom svaghed eller inflammation. I begge teorier kan hæmatomet udvide sig og komprimere det sande lumen.
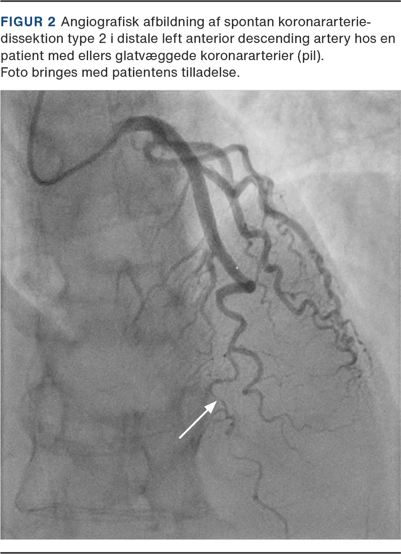
SCAD inddeles i fire typer (Figur 1) afhængigt af dissektionens omfang og kommunikation mellem det sande og falske lumen [10]. Angiografisk mønstergenkendelse er vigtigt for at erkende SCAD. Eventuelt kan der i tvivlstilfælde suppleres med intravaskulær billeddannelse.
Patienter med SCAD indlægges som regel under mistanke om AKS. Til den akutte udredning hører følgende: 1) en grundig anamnese i forhold til symptombeskrivelse, 2) ekg, 3) biomarkører for myokardieskade (troponin), 4) ekkokardiografi og 5) billeddiagnostisk afklaring med koronarangiografi (KAG) (Figur 2). Fund på KAG afgør, hvordan SCAD klassificeres i forhold til de fire typeinddelinger [11, 12].
Behandlingsstrategien er fortsat omdiskuteret trods flere internationale holdningspapirer. Behandlingen adskiller sig fra de standardiserede forløb ved iskæmisk hjertesygdom, da størstedelen af SCAD-læsionerne heler spontant op inden for 2 mdr. I de fleste tilfælde anbefales medicinsk behandling. I modsætning til ved konventionelt AKS frarådes perkutan koronar intervention (PCI) og koronar bypass-operation (CABG) som udgangspunkt [13]. Ved hjælp af intravaskulær billeddannelse med værktøjer som intravaskulær UL-skanning (IVUS) kan man præcisere diagnosen med den risiko, at wiring af karret kan forværre dissektionen [12]. Ved CABG kan det være vanskeligt for kirurgen at afgøre, om graften er påsat det sande lumen. Hvis koronararterien er okkluderet/subokkluderet, eller patienten er klinisk ustabil, er PCI fortsat anbefalet.
Medicinsk behandling
Under den akutte indlæggelse anbefales trombocythæmmende behandling med acetylsalicylsyre i 12 mdr. og clopidogrel i op til 6 mdr., selv om evidensen herfor er fraværende. Hvis der foretages PCI, gives clopidogrel i et år og acetylsalicylsyre livslangt, mens acetylsalicylsyre gives som monoterapi i de sjældne tilfælde, hvor der er udført CABG efter SCAD [9].
Forebyggende behandling med betablokkere er i registre vist at kunne reducere risikoen for recidiv. Hvis patienterne tåler betablokering, initieres og titreres behandlingen til højeste tålte dosis. Der tilstræbes et blodtryksmål på 120-135/70-85 mmHg (automatisk hvileblodtryk målt uobserveret i klinikken eller som gennemsnit i dagtid ved døgn- eller hjemmeblodtryk) [8].
Mange patienter med SCAD lider også af migræne, men triptaner og ergotamin-alkaloider menes at øge risikoen for recidiv af SCAD, hvorfor disse lægemidler bør undgås [8].
Rehabilitering
Studier tyder på, at den psykiske belastning er større blandt patienter med SCAD end blandt patienter med »konventionelt« AKS [14]. Dette skyldes formentligt, at sygdommen ofte rammer en relativ ung population, som er uden kendte risikofaktorer for iskæmisk hjertesygdom, og samtidig kan den manglende viden om årsagen til SCAD være medvirkende til bekymring for recidivtilfælde.
Mange patienter med SCAD er derfor bange for at genoptage fysisk træning, og rehabiliteringen bør således også fokusere på det psykosociale element efter SCAD-diagnosen [15]. Mens hård fysisk træning efter SCAD bør undgås i den tidlige fase, anbefales umiddelbart efter udskrivelse almindelig fysisk aktivitet, hvor aktivitetsniveauet ikke overstiger patientens evne til at kunne føre en samtale, mens der motioneres. Når patienterne har været til opfølgning med funktionstest i forbindelse med hjerterehabilitering, kan træningsniveauet justeres ind efter sygdomsudviklingen [1], men visse ekstreme former for motion frarådes helt [8].
Flere konsensusrapporter og holdningspapirer anbefaler, at alle patienter med SCAD tilbydes helkrops-MR-skanning eller CT-angiografi i forbindelse med rehabiliteringsforløbet. Formålet er at diagnosticere uerkendt FMD, der i visse studier er fundet hyppigere blandt patienter med SCAD [1, 16]. FMD er en systemisk vaskulær sygdom, der hyppigst påvirker de renale og kranielle arterier. Tilstanden medfører stivhed eller svaghed i karvæggen, hvilket kan resultere i forsnævring, dissektion eller aneurismedannelse i arterien [17]. Hvis der er mistænke om FMD efter billeddiagnostisk screening, henvises patienten til specialafdeling, f.eks. en reumatologisk eller en karkirurgisk afdeling. Da både SCAD og FMD er sjældne sygdomme, findes der ikke evidens for, at screeningen ændrer patienternes generelle prognose.
I både en spørgeskemaundersøgelse udført på Rigshospitalet i 2023 og en workshop afholdt i regi af Videnscenter for Rehabilitering og Palliation ligeledes i 2023 udtrykte de adspurgte patienter med SCAD et ønske om råd til at opnå bedring i livskvalitet. Desuden oplevede patienterne stor diskrepans mellem informationer givet på behandlingsstedet, i genoptræningsregi og hos den praktiserende læge. Dansk Cardiologisk Selskab har i forlængelse heraf udgivet et holdningspapir, der har til formål blandt andet at ensrette efterbehandling og rådgivning [8].
Prognosen for patienter med SCAD er afhængig af mange faktorer. De fleste patienter har en gunstig langtidsprognose, men der er betydelige risici og tilstande, der skal håndteres for at forbedre prognosen herunder hjertesvigt, arytmi og pludselig hjertedød [5].
Et af de væsentligste aspekter ved SCAD-prognosen er risikoen for recidiv. I et stort canadisk studie har man fundet, at langtidsmortaliteten (followup på tre år) var < 1%, og recidivraten for gentagen SCAD i nye områder var < 3% [5].
Psykosociale faktorer spiller en væsentlig rolle i prognosen for patienter med SCAD, herunder påvirker stress, angst og depression patienternes livskvalitet og helbredsmæssige resultater [1]. En helhedsorienteret tilgang til patienten, der omfatter både de fysiske og psykosociale behov, er derfor afgørende.
Over de senere år er der etableret tiltag såsom Hjerteforeningens LadyWalk og dedikerede forskningsbevillinger, hvis hovedformål er at øge fokus på sygdomme, som især rammer kvinder [18]. Initiativer som disse skaber mulighed for betydelige fremskridt inden for forståelsen og håndteringen af sygdomme, der rammer kvinder – herunder SCAD. Forskningsindsatsen på området har medført vigtig viden, fokus og forståelse for sygdommen [17].
Derudover har der været en stigning i opmærksomheden omkring SCAD blandt sundhedspersonale og offentligheden, hvilket har medført vigtig viden om og fokus på sygdommen.
Trods nævnte fremskridt er der stadig flere udfordringer, der skal adresseres. En af de største udfordringer er behovet for at udvikle mere skræddersyede behandlingsstrategier baseret på individuelle patientkarakteristika og sværhedsgraden af arteriedissektionen. Samtidig er evidensen for flere af de medicinske anbefalinger svag og primært baseret på konsensus dannet på baggrund af registeropgørelser. Der er derfor behov for større randomiserede forsøg, der kan afklare effekten af behandling med f.eks. antitrombotika og betablokker hos patienter med SCAD.
Korrespondance Karoline Bjerg Dam-Huus. E-mail: karoline.bjerg.dam-huus@regionh.dk
Antaget 15. oktober 2024
Publiceret på ugeskriftet.dk 25. november 2024
Interessekonflikter Der er anført potentielle interessekonflikter. Forfatternes ICMJE-formularer er tilgængelige sammen med artiklen på ugeskriftet.dk
Referencer findes i artiklen publiceret på ugeskriftet.dk
Artikelreference Ugeskr Læger 2024;186:V07240453.
doi 10.61409/V07240453
Open Access under Creative Commons License CC BY-NC-ND 4.0
Spontaneous coronary artery dissection (SCAD) presents a life-threatening condition, prevalent among young women, comprising up to 35% of acute coronary syndrome cases. It involves sudden, trauma-free splitting of coronary artery walls, reducing blood flow and mimicking symptoms of acute myocardial infarction. Despite recent attention, treatment remains debated. Hormonal changes, stress, migraines, physical and psychological aspects impact the prognosis. Ongoing research aims to refine diagnostic and therapeutic approaches, addressing long-term outcomes. In this review, we have summarised current aspects of SCAD to increase awareness of the condition.