Skip to main content

Spontan pneumomediastinum som komplikation til jubelscene under EM-kvartfinale

Chastine Kølster, Lasse Holmgaard Jensen & Malene Kirchmann

13. dec. 2021
4 min.

Spontan pneumomediastinum (SPM) med subkutant emfysem er en sjælden, ofte overset tilstand, som er defineret ved spontant opstået fri luft i mediastinum. Tilstanden blev første gang beskrevet af Hamman i 1939 [1]. Hyppige årsager til SPM er vomitus, hoste, defækation og fødsel ledende til intratorakale trykændringer. Prædisponerende faktorer er f.eks. kroniske lungesygdomme, rygning og nedre luftvejsinfektioner.

SYGEHISTORIE

En tidligere rask 16-årig dreng blev af en læge i familien henvist til øre-næse-hals-ambulatoriet på Nordsjællands Hospital med langsomt progredierende symptomer i form af synkesmerter, hæshed samt hævelse og emfysem udvendigt på halsen. Symptomerne var debuteret to dage forinden i forbindelse med jubelscener under Danmarks EM-kvartfinalekamp mod Tjekkiet.

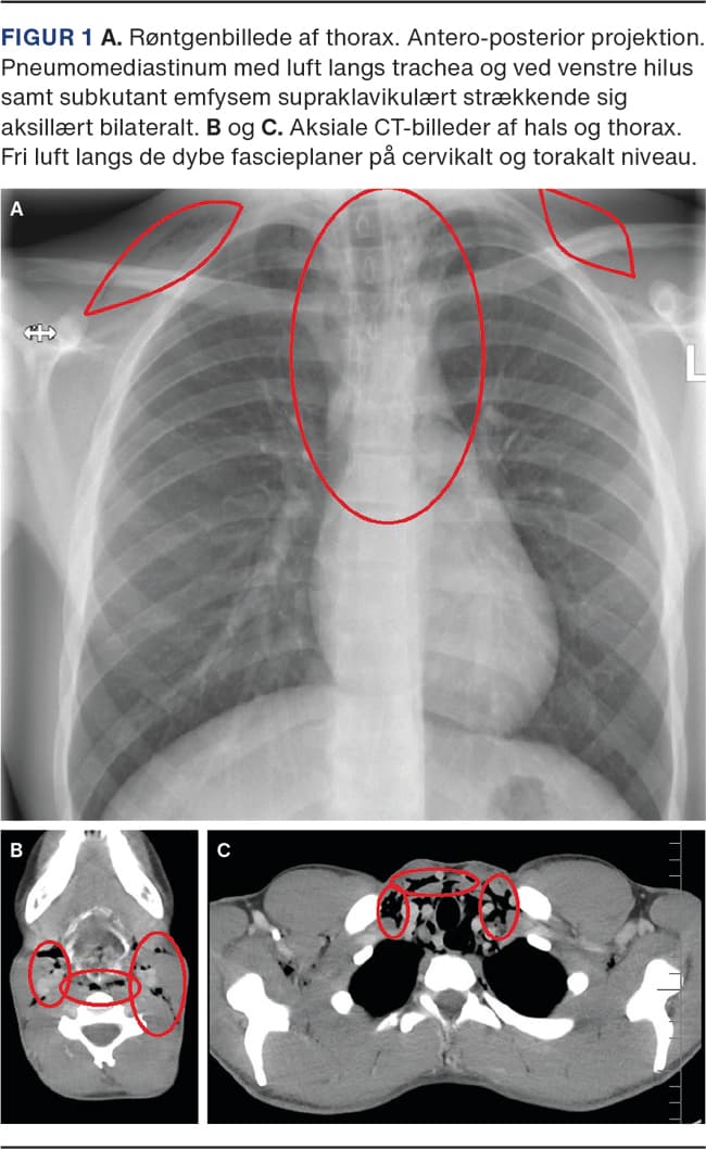
Den objektive undersøgelse inklusive fiberlaryngoskopi viste kun emfysem på halsen og fravær af Hammans tegn. De vitale værdier var alle i normalområdet. Røntgen af thorax viste pneumomediastinum med fri luft langs trachea og venstre hilus samt subkutant emfysem supraklavikulært strækkende sig aksillært bilateralt (Figur 1).

På mistanke om perforation af øsofagus eller trachea blev der foretaget CT af thorax. Der sås pneumomediastinum og emfysem på halsen, men ingen perforation eller anden ætiologisk forklaring. Patienten blev henvist til pædiatrisk vurdering, hvor man pga. spontan bedring i tilstanden og god almentilstand vurderede, at patienten kunne følges ambulant med kontrol en uge efter. Ved denne kontrol var patienten symptomfri, og en kontrolrøntgenundersøgelse af thorax viste normale forhold. Der har ikke været recidiv af symptomer eller objektive fund siden.

DISKUSSION

Spontan pneumomediastinum opstår oftest hos unge raske mænd og har en incidens på 1/44.500 [2]. Tilstanden er relateret til forhøjet intraalveolært tryk og deraf alveoleruptur, hvilket medfører luft i mediastinum, hvorfra luften kan diffundere til subkutant væv på hals, thorax og overekstremiteter eller sjældnere tilfælde til retroperitoneum, pleura og perikardium.

Hyppige symptomer er akut indsættende kraftige retrosternale brystsmerter, dyspnø, halssmerter og hæshed. Tilstedeværelse af Hamanns tegn, som er en knitrende mislyd prækordialt synkront med hjerteslaget, og som formentlig opstår, når hjertet slår mod omkringliggende luftfyldt væv, er næsten patognomonisk, men er dog også beskrevet ved pneumothorax [3]. Subkutant emfysem på halsen er ofte til stede.

Diagnosen stilles ved fund af luft i mediastinum på røntgen af thorax, hvor man f.eks. kan se luft langs det trakeobronkiale træ. CT kan anvendes differentialdiagnostisk, men anbefales ikke rutinemæssigt som led i udredningen.

Potentielle differentialdiagnoser er andre årsager til brystsmerter såsom muskuloskeletale tilstande, akut koronart syndrom, perikarditis, pneumothorax, lungeemboli samt perforation af det trakeobronkiale træ eller øsofagus.

Tilstanden er som regel benign og selvlimiterende, da luften langsomt reabsorberes, men hurtig diagnosticering og udelukkelse af potentielt farlige differentialdiagnoser er essentielt.

Tilstanden er tidligere kun sparsomt beskrevet i forbindelse med råben som ved f.eks. militærøvelser, men til vores viden ikke tidligere beskrevet i forbindelse med kortvarig jubel til en fodboldkamp [4, 5].

Kampen endte i øvrigt 2-1 til Danmark.



Korrespondance Chastine Kølster. E-mail: chastinekolster@yahoo.dk
Antaget 30. november 2021
Publiceret på ugeskriftet.dk 13. december 2021
Interessekonflikter ingen. Forfatternes ICMJE-formularer er tilgængelige sammen med artiklen på ugeskriftet.dk
Referencer findes i artiklen publiceret på ugeskriftet.dk
Artikelreference Ugeskr Læger 2022;183:V09210749

Summary

Spontaneous pneumomediastinum as a complication to cheering during the UEFA European Football Championship

Chastine Kølster, Lasse Holmgaard Jensen & Malene Kirchmann

Ugeskr Læger 2022;183:V09210749

Spontaneous pneumomediastinum is a rare condition caused by a bronchial or alveolar rupture. The condition is often benign and self-limiting, but rapid diagnosis is essential, and potentially dangerous differential diagnoses must be eliminated. In this case report, we present a 16-year-old male who developed voice changes, a sore throat and swelling of the neck in relation to football cheering. X-ray and CT findings showed pneumomediastinum and supraclavicular subcutaneous emphysema. No treatment was necessary, and after one week there were no symptoms left.

Referencer

Referencer

  1. Caceras M, Ali S, Braud R et al. Spontaneous pneumomediastinum: a comparative study and review of the literature. Ann Thorac Surg 2008;86:962-6.

  2. Kouritas VK, Papagiannopoulos K, Lazaridis G et al. Pneumomediastinum. J Thorac Dis 2015;7(suppl 1):S44-S49.

  3. Glintborg B, Seersholm N, Hansen H. Spontan pneumomediastinum, en sjælden årsag til brystsmerter. Ugeskr Læger 2004;166:4168-9.

  4. Sherrier D, Lizardo R. Spontaneous pneumopericardium in a U.S. marine: do not lose heart. Mil Med 2020;185:518-21.

  5. Singla M, Potocko J, Sanstead J et al. Ooh-rah! An unusual cause of spontaneous pneumomediastinum. Mil Med 2012;177:1396-8.