Skip to main content

Status over klinisk anvendte prognostiske og prædiktive faktorer ved allokering til systemisk behandling efter primær cancer mammae

Overlæge Ann Søegaard Knoop & overlæge Birgitte Bruun Rasmussen Odense Universitetshospital, Onkologisk Afdeling R, og Nordsjællands Hospital, Hillerød, Patologiafdelingen

31. aug. 2007
8 min.

Systemisk efterbehandling tilbydes nyopererede kvinder med brystkræft, hvis de har mere end 10% risiko for recidiv inden for ti år (højrisikogruppen). Risikovurderingen foretages på baggrund af resultater fra store randomiserede forsøg og er en blanding af prognostiske og prædiktive markører.

En prognostisk markør

Med en prognostisk markør kan man identificere patienter med en specifik risiko for recidiv eller død. I klassisk forstand forstår man prognose som en forudsigelse af sygdommens naturforløb, såfremt patienten var ubehandlet. I dag får alle højrisikopatienter tilbudt systemisk efterbehandling - og man har derfor udvidet begrebet prognostisk faktor til at være en markør, med hvilken man kan forudse et bestemt og forskelligt sygdomsforløb fra en, der ikke har markøren - hvis behandlingen ikke er målrettet markøren. Med en prognostisk markør kan man altså skelne mellem grupper med forskellig risiko for recidiv og død og derfor selektere til behandling - eller ikke behandling - uden at man kan sige noget om typen af behandling, der skal gives.

En prædiktiv markør

Med en prædiktiv markør kan man derimod prædikere, om en patient med en given markør har gavn af en bestemt behandling. Flere af de markører, der bruges i klinikken i dag, har en blanding af prognostiske og prædiktive egenskaber.

I det følgende vil vi gennemgå baggrunden for den enkelte risikofaktors brug som allokeringsredskab (Tabel 1 ) til systemisk adjuverende behandling og dens eventuelle prognostiske og prædiktive egenskaber.

Lymfeknudestatus

Tilstedeværelsen af metastaser til de regionale aksillære lymfeknuder har vist sig at være den hidtil stærkeste prognostiske faktor [1] ved brystkræft. Aksilrømning med efterfølgende patoanatomisk undersøgelse har derfor været standardbehandling ved cancer mammae, først og fremmest mhp. stadieinddeling. For at minimere risikoen for falsk negativ aksilstatus er anbefalingen i henhold til retningslinjerne fra Den Danske Brystkræftgruppes - The Danish Breast Cancer Cooperative Group (DBCG) [2], at der fjernes lymfeknuder til niveau I og niveau II, helst minimum ti lymfeknuder. På basis af erfaringer fra undersøgelser af sentinel node inddeles metastaserne i dag afhængigt af størrelse i makrometastaser (≥ 2 mm), mikrometastaser (≥ 0,2 mm, < 2 mm) og enkeltceller/clusters (< 0,2 mm eller færre end ti celler). Alle patienter med makro- og mikrometastaser vil få tilbudt adjuverende systemisk behandling. Da det prognostiske udsagn ved mikrometastaser ikke er så stærkt som ved makrometastaser [3], vil man pga. øget risiko for armmorbiditet ikke tilbyde adjuverende strålebehandling.

Størrelse

Tumorstørrelse er en prognostisk faktor, der i lighed med lymfeknudestatus indgår i den klassiske stadieinddeling efter TNM-systemet. Der er en næsten lineær sammenhæng mellem prognose og tumorstørrelse med forværret prognose ved stigende størrelse [4], og i dag defineres alle patienter med en tumor > 2 cm som højrisikopatienter.

Gradering

Malignitetsgradering, tidligere anaplasigrad, defineres som graden af differentiering af tumoren, vurderet på klassiske histologiske faktorer som tubulusdannelse, kernepolymorfi og mitoseaktivitet. Man inddeler tumorerne i tre grader, grad I, grad II og grad III, ved hjælp af en semikvantitativ vurdering af de tre ovennævnte karakteristika. Metoden blev første gang beskrevet af Bloom & Richardson i 1957 og er siden modificeret af Nottingham-gruppen [5]. Malignitetsgraden er ikke så kraftig en prognostisk faktor som lymfeknudestatus og tumorstørrelse, muligvis fordi metoden er meget subjektiv med deraf følgende interobservatørvariation. Imidlertid er det prognostiske udsagn så markant, at malignitetsgraden indgår som et af St. Gallen-kriterierne med definitionen af højrisiko versus lavrisiko (Tabel 1).

Alder

Unge kvinder, der har fået diagnosticeret brystkræft, har en dårligere prognose end ældre kvinder, der har fået diagnosticeret brystkræft, selv efter korrektion for andre risikofaktorer. Således har en kvinde med stadie I-sygdom en relativ risiko for at dø af brystkræft på ca. 5% for hvert år hun er under 45 år. Vedvarende menstruation efter adjuverende behandling, specielt for de receptor-positive patienter, har i flere studier vist sig at være et dårligt prognostikum, og ung alder i sig selv kan derfor ofte vanskeligt adskilles fra menopausal status efter adjuverende behandling. Ung alder - uanset receptorstatus - medfører dog også større risiko for lokalrecidiv efter strålebehandling, hvilket indikerer, at mekanismerne, der medfører den aldersrelaterede dårligere prognose, stadig må siges at være ukendte. Ung alder (< 35 år) må således konklusivt siges at være en surrogatmarkør for en aggressiv cancerfænotype [6].

Hormonreceptorer

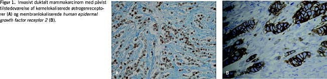
Tilstedeværelsen af østrogen- og progesteronreceptor påvises immunhistokemisk (Figur 1A ). Ca. 80% af alle mammakarcinomer er receptorpositive [7]. Tilstedeværelsen af receptorerne er knyttet til andre, prognostisk favorable faktorer som lav malignitetsgrad og negativ lymfeknudestatus, ligesom andelen af receptorpositive tumorer er stigende med stigende alder. Hormonreceptorerne (HR) er karakteriseret ved deres prædiktive værdi, idet ca. 60% af de HR-positive patienter har effekt af antiøstrogenbehandling.

Man har tidligere opfattet HR som en om end ikke entydig prognostisk faktor. I de senere års publikationer peges der på, at tilstedeværelsen af HR snarere er et udtryk for et prolongeret forløb, således at HR-positive patienter metastaserer sent.

Human epidermal growth factor receptor 2 - HER2

I 20-25% af brystkræfttilfældene ses overekspression af overfladereceptoren human epidermal growth factor receptor 2 (HER2), sædvanligvis betinget af amplifikation af genet, som koder for dannelsen af proteinet. HER2-positivitet undersøges verden over standardiseret med en blanding af immunhistokemi (IHC) (Figur 1B ) og fluorescens in situ-hybridisering (FISH). Overekspression/amplifikation af protein og/eller gen, regn es normalt for at være en selvstændig prognostisk faktor for recidiv og død. I en gennemgang af publicerede oversigtsartikler [8] konkluderes det, at HER2 med overbevisende evidens er en prognostisk markør hos lymfeknudepositive patienter og en mindre overbevisende markør hos lymfeknudenegative patienter, samt at der i flere af undersøgelserne med lang opfølgningstid var en tidsafhængighed, hvor betydningen af HER2-positivitet efterhånden forsvandt. Kun gennem en metaanalyse vil man endeligt kunne afklare HER2's betydning som prognostisk faktor.

Mere overbevisende er HER2's betydning som prædiktiv markør. HER2-positivitet prædikerer, at adjuverende behandling med et antistof, trastuzumab, rettet mod HER2-receptoren, reducerer risikoen for recidiv med ca. 50% og for død med ca. 33% [9]. Muligvis er HER2-amplifikation en bedre prædiktor for behandlingseffekt end proteinoverekspression, men indtil videre tester man kun de patienter, der er tvivlsomt IHC-positive (HER2,2+), for genamplifikation.

Topoisomerase II-alpha - TOP2A

I begyndelsen af 1990'erne blev det vist, at antracyklinerne (de hyppigst anvendte kemoterapeutika til brystkræft) primært udøver deres cytotoksiske effekt via en hæmning af topoisomerase II-alfa-enzymet (topo-IIα). Genet, der koder for dette enzym, hedder TOP2A og undersøges i tumorvæv ved hjælp af FISH. I en stor retrospektiv undersøgelse gennemført af DBCG er det vist, at ændringer i TOP2A- genet kan prædiktere effekten af behandling med antracyklin [10]. 25% af patienternes tumorer havde forandringer i TOP2A- genet, og disse patienters recidivrisiko blev reduceret med 50% af antracyklinholdigt kemoterapi i forhold til anden kombinationskemoterapi. Det forventes derfor, at FISH-testning for TOP2A relativt hurtigt vil vinde indpas i klinikken, og at denne farmakodiagnostiske test vil blive udført på linje med de tilsvarende test for hormonreceptorer og HER2.

TOP2A er altså hovedsageligt en prædiktiv markør, men ser man på den prognostiske værdi af genændringen, var den i DBCG-studiet, ud over at være en prædiktiv markør, også en uafhængig prognostisk variabel for recidiv og død.

Stadieinddeling og risikostratificering inden for brystkræft er p.t. ikke optimal. Efterhånden som nye biologiske - og dyre - behandlinger dukker frem, er behovet for markører, med hvilke man kan forudsige prognosen og prædikerer behandlingen til den enkelte patient, efterspurgt, og feltet er derfor genstand for intensiv udforskning.


Ann Søegaard Knoop, Onkologisk Afdeling R, Odense Universitetshospital, DK-5000 Odense C. E-mail: knoop@dadlnet.dk

Antaget: 12. marts 2007

Interessekonflikter: Ingen angivet

Summary

Summary Prognostic and predictive factors for endocrine treatment in breast carcinoma Ugeskr L&aelig;ger 2007;169(36):2997-2999 There is a long tradition for defining prognostic factors in breast carcinoma; the classic ones being lymphnode status, tumor size, malignancy grade, and hormone receptor status. More important are the detection of predictive factors, defined as factors in the tumor which predict the effect of a certain treatment. The hormone receptors are a classic example of predictive factors for determining whether patients should be offered endocrine treatment. New predictive factors are HER2 for predicting the effect of trastuzumab and TOP2A for predicting the effect of certain chemotherapies.

Referencer

  1. Fitzgibbonns PL, Page DL, Weaver D et al. Prognostic factors in breast cancer. College of American Pathologists Consensus Statement 1999. Arch Pathol Lab Med 2000;124:966-78.
  2. www.dbcg.dk / marts 2007.
  3. Liberman L. Pathologic analysis of sentinel lymph nodes in breast carcinoma. Cancer 2000;88:971-7.
  4. Abner AL, Collins L, Peiro G et al. Correlation of tumor size and axillary lymph node involvement with prognosis in patients with T1 breast carcinoma. Cancer 1998;83:2502-8.
  5. Elston CW, Ellis IO. Pathological prognostic factors in breast cancer. I. The value of histological grade in breast cancer: experience from a large study with long-term follow-up. Histopathology 1991;19:403-10.
  6. Kroman N, Jensen MB, Wohlfahrt J et al. Factors influencing the effect of age on prognosis in breast cancer: population based study. BMJ 2000;320: 474-9.
  7. Rhodes A, Jasani B, Balaton AJ et al. Frequency of oestrogen and progesterone receptor positivity by immunohistochemical analysis in 7016 breast carcinomas: correlation with patient age, assay sensitivity, threshold value, and mammographic screening. J Clin Pathol 2000;53:688-96.
  8. Williams C, Brunskill S, Altman DG et al. Cost-effectiveness of using prognostic information to select women with breast cancer for adjuvant systemic therapy. Health Technology Assessment 2006;10:1-204.
  9. Baselga J, Perez EA, Pienkowski T et al. Adjuvant trastuzumab: a milestone in the treatment of HER-2-positive early breast cancer. Oncologist 2006;11: 4-12.
  10. Knoop AS, Knudsen H, Balslev E. Retrospective analysis of topoisomerase IIa amplifications and deletions as predictive markers in primary breast cancer patients randomly assigned to cyclophosphamide, methotrexate, and fluor-ouracil or cyclophosphamide, epirubicin, and fluorouracil: Danish Breast Cancer Cooperative Group. J Clin Oncol 2005;23:7483-90.