Strålebehandling af cancer mammae


Maja Vestmø Maraldo1* & Birgitte Vrou Offersen2, 3*
Hovedbudskaber
Adjuverende strålebehandling anbefales efter brystbevarende operation eller lymfeknudepositiv sygdom, i form af delbryst-, helbryst- eller lokoregional strålebehandling.
Moderat hypofraktionerede regimer a tre ugers varighed betragtes nu som standardbehandling og medfører ikke en øget risiko for senfølger.
Moderne dosisplanlægning og vejrtrækningstilpasset strålebehandling har medført en mere skånsom og præcis behandling.
Strålebehandling efter operation for tidlig brystkræft anses at nedsætte risikoen for lokalrecidiv og anses for en essentiel del af den multidisciplinære behandling. Over de sidste ti år har strålebehandling af brystkræft udviklet sig markant inden for alle stadier af sygdommen. I tidlig brystkræft er de tidligere standardregimer med strålebehandling over 5-7 uger til hele brystet aflyst af moderat hypofraktionerede regimer på tre uger til hele brystet (whole breast irradiation (WBI)) såvel som til dele af brystet (partial breast irradiation (PBI)), og det undersøges, om strålebehandling kan undlades for visse lavrisikopatienter. For lokoregional sygdom er den samlede behandlingsvarighed ligeledes reduceret til tre uger, der er mere sikker indikation for lymfeknudebestråling, ligesom moderne teknikker er med til at sikre en mere præcis og skånsom strålebehandling. Inden for metastatisk brystkræft er der tiltagende fokus på stereotaktisk strålebehandling til patienter med få metastaser, og pallierende strålebehandling har fortsat en vigtig plads i behandlingen. I denne statusartikel vil de nyeste regimer og teknikker i strålebehandling af brystkræft blive gennemgået.
Helbryststrålebehandling
WBI tilbydes efter brystbevarende operation, og i en metaanalyse fra 2011 har WBI vist sig at kunne halvere risikoen for tilbagefald og nedsætte brystkræftmortaliteten med en sjettedel [1]. I de studier, som indgår i metaanalysen, blev strålebehandling givet som WBI med daglige doser (fraktioner (F)) på to Gray (Gy) over 5-7 uger, da klinisk erfaring og retrospektive studier havde vist en betydeligt forøget risiko for senfølger (fibrose i bløddele og lunger, hjertedød, lymfødem, nedsat skulderbevægelighed) ved doser på ≥ 3 Gy/F [2]. Der foreligger nu fire randomiserede studier, hvor konventionel strålebehandling (50 Gy givet med 25 F (50 Gy/25 F)) sammenlignes med moderat hypofraktioneret (doser > 2 Gy/F) strålebehandling, oftest 40 Gy/15 F [3-6]. Ingen af studierne har påvist en signifikant forskel i frekvensen af lokalrecidiv eller i overlevelse mellem konventionel og moderat hypofraktioneret, moderne strålebehandling, og i Danish Breast Cancer Groups (DBCG) HYPO-studie var treårsraten af brystfibrose, anden toksicitet samt patienttilfredshed i favør af den samme for 40 Gy/15 F som for 50 Gy/25 F [6]. Standardregime for WBI betragtes derfor i dag som værende 40 Gy givet over tre uger.
Delbryststrålebehandling
PBI tilbydes patienter med lavrisikobrystkræft, idet lokalt tilbagefald oftest findes inden for den samme kvadrant af brystet, som den oprindelige tumor var lokaliseret i. Ved PBI bestråles kun et begrænset volumen af brystet svarende til området omkring det oprindelige tumorleje (se Figur 1). Dette giver mindre fibrose samt en lavere risiko for senfølger på grund af en reduktion i hjerte- og lungedosis. PBI blev indført i Danmark i 2016 på baggrund af resultaterne fra DBCG’s PBI-studie [7] og det engelske IMPORT LOW [8]. I de to studier blev PBI ikke fundet dårligere end WBI og med en generelt meget lav forekomst af lokalrecidiv. Da der ikke er fundet signifikant højere risiko for tilbagefald ved PBI, taler hensynet til et bedre kosmetisk resultat og lavere risiko for senfølger for anbefaling af PBI hos lavrisikopatienter.
I DBCG’s pågående NATURAL-studie undersøges muligheden for yderligere deeskalering i strålebehandling af lavrisikobrystkræft, idet der randomiseres mellem PBI vs. ingen strålebehandling for kvinder > 60 år, der er kandidater til PBI.
Boost
Historisk blev der givet et sekventielt boost til tumorlejet ved WBI ud fra rationalet om, at en øget stråledosis til området med størst tumorbyrde må formodes at reducere risikoen for lokalrecidiv. I Danmark blev der tidligere givet et boost på 10 Gy/5 F til alle kvinder [9, 10]. Et europæisk studie randomiserede efter WBI mellem intet vs. boost til tumorlejet på 16 Gy/8 F med en risikoreduktion efter 20 år til fordel for boost. Risikoreduktionen var statistisk signifikant for patienter under 51 år, men ikke for de ældre aldersgrupper, og den var mest udtalt for kvinder ≤ 40 år (20-årsrisikoreduktion på 11,6%). Som bivirkning til den højere stråledosis sås en kumulativ incidens af svær fibrose på 5,2% (95% konfidens-interval (KI): 3,6-6,4%) efter 20 år med boost vs. 1,8% (95% KI: 1,1-2,5%) uden boost [11, 12]. I samme studie blev også patienter, hvis tumorleje ikke havde frie rande, randomiseret mellem et boost på 10 vs. 26 Gy. Der var ingen signifikant forskel på lokalkontrol eller overlevelse med en høj vs. en lav boostdosis (hazard ratio (HR) = 0,97; 95% KI: 0,59-1,5), men til gengæld var svær fibrose hyppigere hos patienter behandlet med den høje dosis [11]. I DBCG 89-studiet var der særligt blandt de unge ≤ 40 år en høj frekvens af lokalrecidiv, hvorimod frekvensen for de 41-50-årige var sammenlignelig med den for de > 50-årige, når de modtog et boost på 10 Gy/5 F (upublicerede data). I Danmark anbefales derfor et »alders«-boost til kvinder ≤ 40 år på 16 Gy/8 F og til kvinder på 41-49 år på 10 Gy/5 F. Derudover anbefales boost til patienter, hvor tumor er fjernet med en snæver margin (< 2 mm).
Ved et simultant integreret boost (SIB) gives boostdosis samtidig med den daglige strålebehandling, hvorved dosis/F i højrisikoområdet øges. SIB blev introduceret i Danmark i 2015 med DBCG’s SKAGEN I-studie [13] og vil alene for patienter ≤ 40 år medføre en øget behandlingsvarighed på tre dage.
Lokoregional strålebehandling
Ved lokoregional strålebehandling bestråles brystet eller thoraxvæggen svarende til det fjernede brysts areal samt regionale lymfeknuder parasternalt, interpektoralt, periklavikulært og i aksillen.
I en metaanalyse fra 2005 medførte lokoregional strålebehandling efter mastektomi ved lymfeknudepositiv sygdom en reduktion i lokalrecidivfrekvensen og død som følge af brystkræft [14]. En senere metaanalyse fra 2014 [15] undersøgte effekten hos kvinder med udelukkende 1-3 positive lymfeknuder, og her blev gevinsten af strålebehandling bekræftet, også når systemisk behandling blev givet. Der var ingen gevinst af strålebehandling efter mastektomi ved lymfeknudenegativ sygdom.
Internationalt har der været uenighed om, hvorvidt de parasternale lymfeknuder (IMN) skal medbestråles ved lokoregional sygdom. IMN-bestråling har betydning for dosis til hjertet, og fra dansk-svenske data er det set, at risikoen for iskæmisk hjertesygdom er proportional med middeldosis til hjertet [16]. I 2003 valgte DBCG på grund af ovenstående, at patienter med venstresidige tumorer ikke fik IMN-bestråling, hvorimod patienter med højresidige tumorer gjorde (IMN-studiet). Denne praksis ophørte i 2014, idet IMN-studiet demonstrerede en fordel ved IMN-bestråling med mindsket død som følge af brystkræft (HR = 0,85; p = 0,03) efter mediant ni år [17]. Blandt alle undergrupper var der gavn af IMN-bestråling. Disse resultater er blevet bekræftet i et større randomiseret, europæisk studie [18, 19].
Nye, kirurgiske teknikker, herunder sentinel node (SN)-proceduren, har nødvendiggjort stillingtagen til aksilbestråling. I AMAROS-studiet blev randomiseret mellem rømning af aksillen vs. aksilbestråling. Der var ingen forskel på femårsaksilrecidivraten, og der var signifikant mindre lymfødem blandt patienter, som ikke blev aksilrømmet [20]. Med langtidsopfølgning var tiårsaksilrecidivraten fortsat lav (syv vs. 11 recidiver), og der var ingen signifikant forskel mellem kirurgi og aksilbestråling (HR = 1,71; 95% KI: 0,67-4,39) [21]. Lignende resultater er set i andre studier [22, 23].
I området for lokoregional strålebehandling findes kar og nerver til armen, som kan beskadiges ved strålebehandling, hvorfor man i DBCG har været forbeholden over for at ekstrapolere resultaterne om hypofraktionering ved WBI til lokoregional strålebehandling. DBCG’s SKAGEN I-studie blev randomiseret mellem 50 Gy/25 F og 40 Gy/15 F til patienter med lokoregional strålebehandling. Data fra studiet blev præsenteret i 2022 med en lavere end forventet treårsrisiko for armlymfødem, og især var der ikke nogen øget forekomst efter hypofraktionering. Der var ingen indikation af, at 40 Gy/15 F øgede risikoen for recidiv lokalt, regionalt eller for fjernmetastaser [13].
Indikation for lokoregional strålebehandling er således brystbevarende operation eller mastektomi ved lymfeknudepositiv sygdom i form af makrometastaser. For alle patienter inkluderes IMN. For klinisk lymfeknudenegative patienter med positiv SN kan tilbydes udvidet aksilbestråling frem for aksilrømning. Strålebehandlingen gives med 40 Gy over tre uger.
Moderne stråleteknikker
Moderne strålebehandling planlægges ud fra CT-diagnostik. I forbindelse med planlægningsskanningen fikseres patienten i behandlingsposition, hvilket vil sige i rygleje med den samsidige eller begge arm(e) over hovedet. Som standard gives strålebehandlingen mod bryst/thoraxvæg med tangentielle felter, hvilket baseret på årtiers kliniske praksis giver en erfaringsmæssig lav og kendt bivirkningsprofil. Ved planlægning anbefales, at alle stråleplaner overholder DBCG’s dosiskrav og prioriteringer, hvorved der i hele landet sikres en ensartet kvalitet af strålebehandling for brystkræft. Som noget nyt baseres de anbefalede dosisniveauer på hypofraktioneret behandling som givet i DBCG’s HYPO- og SKAGEN I-studier (upublicerede data). Derudover bruges daglig billedtagning forud for hver fraktion for at minimere den daglige usikkerhed i forbindelse med opstilling og lejring af patienten og dermed sikres, at det tilsigtede behandlingsområde bestråles præcist og skånsomt.
Til patienter med venstresidige tumorer og/eller ved lokoregional strålebehandling anbefales brug af respirationstilpasset strålebehandling (gating), idet dette kan reducere stråledosis i hjertets venstre ventrikelvæg og venstre koronararteries ramus interventricularis (se Figur 2). Ved gating gives kun behandling i inspiration. Herved forøges hjertets afstand til thoraxvæggen og dermed strålefeltet, ligesom en relativt mindre del af lungevolumen medbestråles [24]. Teknikken varierer fra simple metoder med frivillig, nonmonitoreret, dybt holdt inspiration til avancerede metoder med kontrolleret respiration med komplekst udstyr [25, 26]. Gating kræver ekstra apparaturressourcer, men har en høj patientkomplians og reproducerbarhed [27].
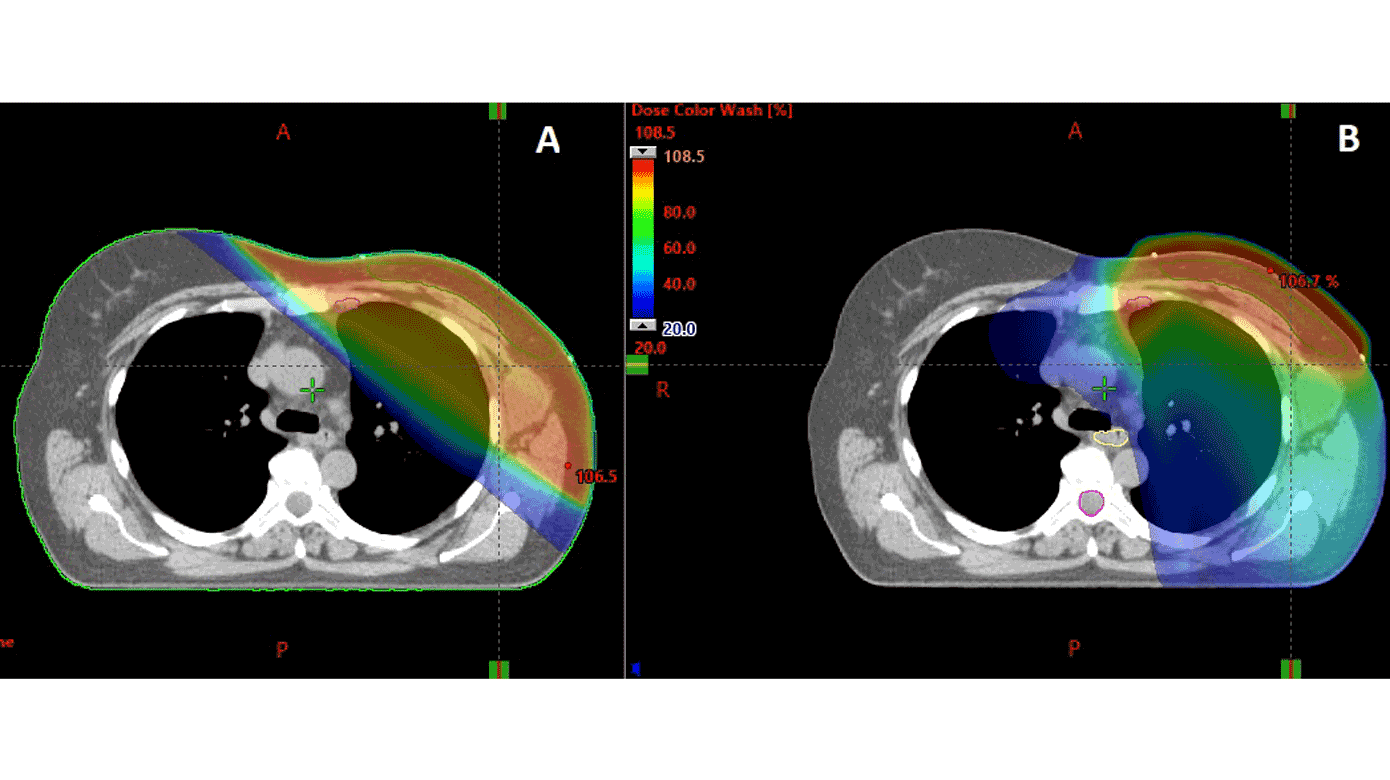
For de få patienter, hvor den planlagte dosis til hjerte og lunger overskrider de anbefalede dosisgrænser, kan brug af moderne planlægning med rotationsteknik være en mulighed. Her omfordeles stråledosis, således at der sikres en mere konform dosisfordeling i højdosisområdet, men til gengæld eksponeres et større volumen af modsatte bryst og lunge, som ellers ikke ville være medbestrålet, for lav dosis (se Figur 3). En anden mulighed er protonbehandling, hvor de anderledes fysiske egenskaber ved protoner potentielt kan forbedre dosisfordelingen. Protonbehandling anses for eksperimentel ved strålebehandling af brystkræft, hvorfor DBCG’s SKAGEN II-studie tilbyder randomisering mellem standardfotonbehandling og protonbehandling til patienter, hvor stråledosis til hjerte og/eller lunger overskrider de anbefalede dosisniveauer.
Inden for metastatisk brystkræft har pallierende strålebehandling en vigtig rolle i behandlingen af knogle- og bløddelsmetastaser samt ved medullært tværsnitssyndrom. Behandlingen kan gives over flere fraktioner, oftest hos patienter med en relativt lang, forventet restlevetid for at skåne det raske væv, eller som et »single-shot« med 8 Gy/F hos patienter med knoglemetastaser, hvor hurtig palliation og minimal ulempe er at foretrække.
Hjernemetastaser behandles ofte med strålebehandling. Hos patienter med én til få, mindre hjernemetastaser tilbydes stereotaktisk strålebehandling, som er højpræcis strålebehandling leveret til et lille område med meget høje doser på ganske få fraktioner. Ved flere metastaser eller leptomeningeal sygdom tilbydes helhjernebestråling, som gives over flere fraktioner for at skåne blandt andet korttidshukommelse og kognition.
I tidlig brystkræft er de tidligere standardregimer med strålebehandling givet over 5-7 uger erstattet af moderat hypofraktionerede regimer på tre uger, hvormed behandlingstiden er forkortet betragteligt for de fleste patienter. Ligeledes er moderne teknikker med til at sikre en mere præcis og skånsom strålebehandling. Ved metastatisk sygdom er strålebehandling vigtig som palliation, og stereotaktisk strålebehandling er et område under udvikling.
Korrespondance Maja Vestmø Maraldo. E-mail: maja.vestmoe.maraldo@regionh.dk
*) På vegne af Danish Breast Cancer Groups Radioterapi Udvalg
Antaget 28. september 2023
Publiceret på ugeskriftet.dk 18. marts 2024
Interessekonflikter Der er anført potentielle interessekonflikter. Forfatternes ICMJE-formularer er tilgængelige sammen med artiklen på ugeskriftet.dk
Referencer findes i artiklen publiceret på ugeskriftet.dk
Artikelreference Ugeskr Læger 2024;186:V02230106
doi 10.61409/V02230106
Open Access under Creative Commons License CC BY-NC-ND 4.0
In early breast cancer, adjuvant moderately hypofractionated regimens are recommended for both whole breast, partial breast and locoregional irradiation which abbreviates the overall treatment time, as argued in this review. Gating is recommended as well as the use of a simultaneous integrated boost when indicated. A tangential field set-up is standard, however, for challenging cases volumetric modulated arc therapy techniques, or referral for proton therapy, may be considered. In the metastatic setting, stereotactic radiotherapy is a promising treatment option for oligometastatic disease.