Striktur i øsofagus forårsaget af lichen planus og intramural pseudodivertikulose


Jonas Sanberg Jensen1, Jan Lindebjerg2 & Lars Stig Jørgensen1
Behandlingskrævende forsnævring i spiserøret ses relativt hyppigt på afdelinger, hvor man udfører endoskopi. Her præsenterer vi en kombination af to sjældne årsager til striktur og fremhæver vigtigheden af at stille den histologiske diagnose.
En 68-årig mand blev henvist med henblik på endoskopisk ballondilatation af en striktur i øsofagus. Patienten var tidligere blevet behandlet med god, men temporær, effekt. Ved den første dilatation var der blevet taget biopsier, der havde vist kronisk inflammation uden tegn til malignitet. Man havde derfor tolket strikturen som værende sekundær til gastroøsofageal reflukssygdom og sat patienten i behandling med højdosisprotonpumpehæmmer.
I forbindelse med den endoskopiske ballondilatation, der foregik ukompliceret, spurgte man endnu en gang ind til patientens symptomer, der udelukkende bestod af intermitterende dysfagi, der typisk intensiveredes over uger, indtil han oplevede totalt synkestop. Han kunne i lange perioder overvinde symptomerne ved at spise findelt mad og indtage danskvand.
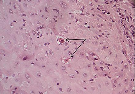
Ved endoskopien sås flere pseudodivertikler i spiserøret (Figur 1), og patientens symptomer sammenholdt med strikturens proksimale placering (22 cm fra tandrækken) gav anledning til overvejelser over strikturens genese. På mistanke om eosinofil øsofagitis blev der taget endnu et sæt biopsier, der viste lichen planus-associerede forandringer i form af tæt båndformet infiltration af lamina propria med lymfocytter, spongiosering af epitelet, lymfocytær eksocytose og tilstede-
værelse af Civattelegemer.
Patienten blev undersøgt på en dermatologisk afdeling og havde hverken kutane eller orale manifestationer af lichen planus. Han blev henvist til gastromedicinsk opfølgning, hvor man forsøgte med oral indgift af inhalationssteroid uden nogen særlig effekt. Man tilbød systemisk behandling med steroid, men patienten ønskede ikke dette. Han blev fortsat ballondilateret med jævne mellemrum, når dysfagien tiltog, og hans selvregulering med findelt kost og danskvand ikke var tilstrækkelig.
Lichen planus er en mukokutan sygdom, der har ukendt årsagsmekanisme, der oftest involverer hud eller mundslimhinde, men som også kan omfatte spiserør, negle, hovedbund og ydre kønsorganer. Sygdommen manifesterer sig forskelligt, men er kronisk, fraset ved hudinvolvering hvor tilstanden oftest remitterer inden for et år. Histologisk er sygdommen karakteriseret ved tæt infiltration af lamina propria med lymfocytter og tilstedeværelse af Civattelegemer [1].
Ved involvering af spiserøret er symptomerne oftest dysfagi og odynofagi, og diagnosen kan kun stilles ved øvre endoskopi med biopsitagning. Behandlingen er empirisk med lokaltvirkende steroid (i praksis synkning af steroidinhalationer) eller systemisk steroid. Trods behandling progredierer tilstanden oftest til en kronisk striktur, der kun kan lindres med endoskopisk ballondilatation [2].
Pseudodivertikulose ses ved øvre endoskopi som en eller flere 1-4 mm store udposninger arrangeret longitudinelt i spiserørets slimhinde. Histologisk er tilstanden karakteriseret ved dilatation af mukøse kirtler i slimhinden omgivet af kronisk inflammation. Biopsier fra øsofagus er dog ofte for overfladiske til, at kirtlerne kan visualiseres. Pseudodivertikulose viser sig oftest som dysfagi og kan udvikle sig til strikturer på grund af den kroniske inflammationstilstand [3].
Der er i litteraturen beskrevet mere end 80 tilfælde af lichen planus i spiserøret. Af disse var kun otte tilfælde hos mænd. 64% havde strikturer i den proksimale del af øsofagus, og hos 18% udvikledes der lichen planus i spiserøret som eneste manifestation af sygdommen [4]. Der er formentlig tale om en præmalign tilstand, men der foreligger ikke retningslinjer for endoskopisk kontrol. Der er rapporteret om ca. 200 tilfælde af pseudodivertikulose i øsofagus, og såvel lichen planus som pseudodivertikulose er formentlig underrapporteret [5].
Kombinationen af pseudodivertikulose og lichen planus med striktur er ikke tidligere beskrevet i litteraturen. Sandsynligvis er der tale om pseudodivertikulose sekundært til lichen planus-striktur, hvor den relative obstruktion har medført dilatation af de mukøse kirtler. Det er ved udredning af enhver striktur i øsofagus essentielt at bioptere under dække af højdosisprotonpumpehæmmer for at afklare årsagen og sikre optimeret behandling.
Korrespondance: Jonas Sanberg Jensen. E-mail: jsanberg@dadlnet.dk
Antaget: 25. november 2016
Publiceret på Ugeskriftet.dk: 6. februar 2017
Interessekonflikter: ingen.
We present the rare case of a proximal oesophageal stricture caused by a combination of oesophageal lichen planus without any other manifestations and intramural pseudo-diverticulosis, resulting in significant dysphagia. The diagnosis was not reached until a second set of biopsies were performed after split-dose treatment with proton pump inhibitors. Although local corticosteroid treatment was unsuccessful and symptomatic relief was only achieved after endoscopic dilatation, this case emphasizes the importance of adequate biopsies in the diagnosis of oesophageal strictures.
Le Cleach L, Chosidow O. Clinical practice. Lichen planus. N Engl J Med 2012;366:723-32.
Nelsen JA, Law RM, Fiman KH et al. Esophageal lichen planus: a case report and review of the literature. World J Gastroenterol 2013;19:2278-81.
Siba Y, Gorantla S, Gupta A et al. Esophageal intramural pseudodiverticulosis, a rare cause of food impaction: case report and review of the literature. Gastroenterol Rep (Oxf) 2015;3:175-8.
Fox LP, Lightdale CJ, Grossman ME. Lichen planus of the esophagus: what dermatologists need to know. J Am Acad Dermatol 2011;65:175-83.
Franco DL, Islam SR, Lam-Himlin DM et al. Presentation, diagnosis, and management of esophageal lichen planus: a series of six cases. Case Rep Gastroenterol 2015;9:253-60.