Subakut skleroserende panencefalitis


Anna Bryan Stensbøl1, Kristina Træholt Franck2, Zohra Fatima Umar3 & Malene Landbo Børresen1
Subakut skleroserende panencefalitis (SSPE) er en sjælden og alvorlig komplikation til mæslingevirusinfektion kendetegnet ved et progressivt tab af motoriske og kognitive færdigheder. Sygdommen udvikles i gennemsnit 6,7 år efter den primære mæslingeinfektion og har en mortalitet tæt på 100% [1]. SSPE kan være forbundet med mutationer i mæslingevirusgenomet, som muliggør virussets vedvarende tilstedeværelse i det centrale nervesystem [2].
WHO estimerede i 2005 incidensen af SSPE til 4-11/100.000 mæslingetilfælde [3], men incidenser så høje som 1/609 blandt børn, der er smittet med mæslingevirus før 12-månedersalderen, er rapporteret [4].
I Danmark indgår vaccination mod mæslinger som en del af det nationale børnevaccinationsprogram (15 måneder og fire år).
En 11-årig dreng af syrisk afstamning blev indlagt med 14 dages symptomer inkl. træthed, konfusion, hovedpine, mavesmerter, opkastning og vægttab (3 kg). Han havde haft mæslinger som spæd, før han blev vaccineret med mæslinger, fåresyge og røde hunde (MFR)-vaccinen som syv måneder gammel i Syrien og revaccineret ved ankomst til Danmark som fireårig og igen som seksårig.
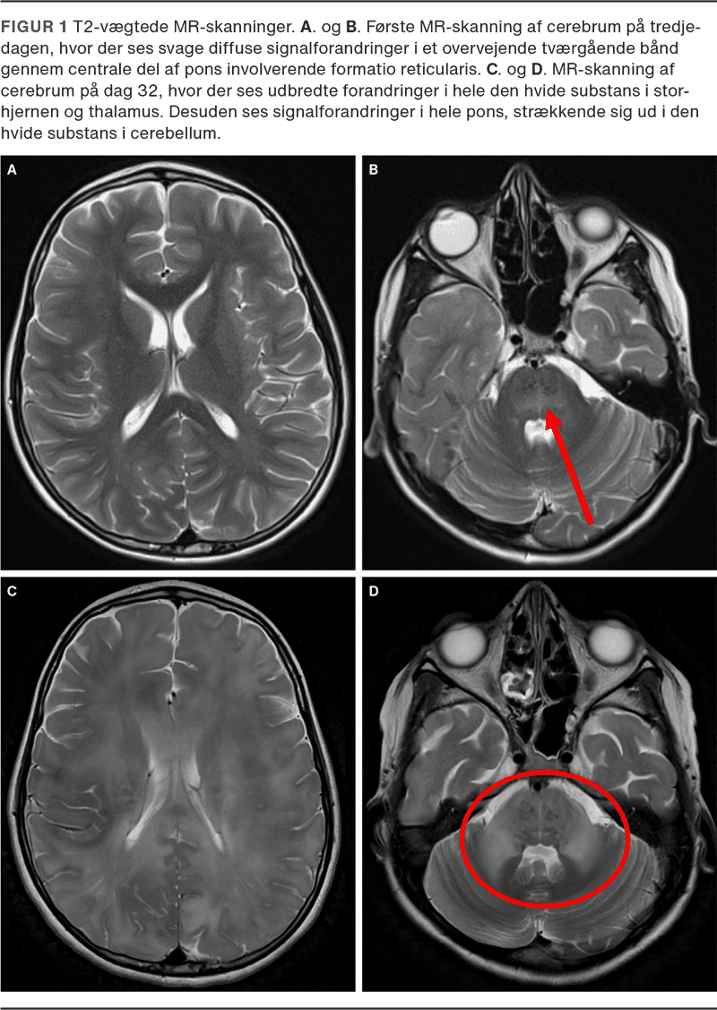
Efter indlæggelsen blev drengen tiltagende bevidsthedspåvirket og udviklede cerebral irritabilitet. Glasgow Coma Scale (GCS) faldt til fem i løbet af 48 timer, og drengen blev intuberet. En lumbalpunktur viste 9 × 106/l (fys < 3 × 106/l) leukocytter og 0,6 g/l (0,15-0,45 g/l) protein i cerebrospinalvæske (CSV), og en PCR-analyse for standard meningitpanel var negativ. Akut MR-skanning af cerebrum viste svage diffuse signalforandringer i den centrale del af pons involverende formatio reticularis og gav mistanke om akut dissemineret encefalomyelit (Figur 1).
På tredje indlæggelsesdøgn viste et elektroencefalogram (EEG) et encefalopatisk kurvebillede. Myelin-oligodendrocyt-glykoprotein-autoantistof-panel (p-MOG-ab) og aquaporin 4-antistoffer (P-Aquaporin 4-Ab) for autoimmun encefalitis og demyeliniserende sygdom var negative. Behandling med aciclovir, højdosis i.v.-methylprednisolon, i.v.-immunoglobulin og udskiftning af plasma blev forsøgt.
Drengen udviklede bevægeforstyrrelser (dystoni), kramper og paroksystisk sympatisk hyperaktivitet. Han var ude af sedation på indlæggelsesdag ti og blev ekstuberet på indlæggelsesdag 11, men var fortsat ukontaktbar. De efterfølgende uger blev drengens tilstand forværret fra minimal conscious state til vegetativ tilstand med tiltagende lavfrekvent aktivitet på EEG-optagelser.
MR-skanning af cerebrum på dag 32 viste betydelig progression (Figur 1). CT af cerebrum viste stigende intrakranielt tryk. Neuroprotektivt regime blev iværksat, og på vital indikation forsøgtes rituximab.
Behandlingen blev indstillet på indlæggelsesdag 40, og på dag 43 indtrådte manifest inkarceration. Post mortem bekræftede hjernebiopsidiagnosen SSPE med stærkt positiv mæslingevirus (PCR-positiv i 17. cyklus), genotype D8 og forhøjede mæslinge-IgG-antistoffer i CSV.
SSPE er en ekstremt sjælden komplikation til mæslingeinfektion, og i Danmark er der ikke beskrevet nye tilfælde de seneste 40 år. Den lave incidens i Danmark skyldes formentligt flokimmunitet som følge af høj tilslutning til børnevaccinationsprogrammet kombineret med effektiv smitteopsporing og postekspositionsprofylakse.
I kriseramte områder kan vaccinedækningen ofte svigte på grund af f.eks. vanskeliggjort distribution og administration førende til øget risiko for mæslingeudbrud. I takt med stigende migration og flygtningestrømme fra regioner med utilstrækkelige vaccinationsprogrammer er der risiko for, at vi vil observere flere børn med komplikationer som SSPE. Det understreger nødvendigheden af at forbedre alle led i vaccinekæden og sikre høj vaccinedækning globalt [1].
Kasuistikken understreger den fortsat påkrævede opmærksomhed på infektionssygdomme hos børn og unge fra krigs- og kriseramte lande trods tilsyneladende sufficient vaccinedækning. Først sent i det aktuelle sygdomsforløb blev der spurgt direkte til mæslingeinfektion. Tidligere diagnostisk afklaring havde formentlig ikke bedret drengens overlevelseschancer.
Korrespondance Anna Bryan Stensbøl. E-mail: anna1bryan@gmail.com
Antaget 28. august 2025
Publiceret på ugeskriftet.dk 15. december 2025
Interessekonflikter ingen. Alle forfattere har indsendt ICMJE Form for Disclosure of Potential Conflicts of Interest. Disse er tilgængelige sammen med artiklen på ugeskriftet.dk
Referencer findes i artiklen publiceret på ugeskriftet.dk.
Artikelreference Ugeskr Læger 2025;187:V03250235
doi 10.61409/V03250235
Open Access under Creative Commons License CC BY-NC-ND 4.0
Subacute sclerosing panencephalitis (SSPE) is a rare, fatal complication of measles, manifesting years after infection due to persistent measles virus in the central nervous system. An 11-year-old Syrian boy with prior measles and measles – mumps – rubella (MMR) vaccination developed progressive encephalopathy and a vegetative state. MRI showed diffuse white matter, thalamic, and pontine changes; SSPE was confirmed post-mortem. This case emphasises the need for high MMR vaccine coverage and the importance of clinical awareness of rare infectious diseases in patients from crisis-affected countries.