Skip to main content

Superficiel siderose i centralnervesystemet behandlet med prednisolon

Anne Behrndtz, Grethe Andersen & Claus Z. Simonsen Neurologisk Afdeling, Aarhus Universitetshospital

14. sep. 2012
4 min.

Superficiel siderose (SS) er en sjælden sygdom, der opstår i centralnervesystemet (CNS) og skyldes kronisk subaraknoidalblødning. Ofte findes der ingen blødningskilde. Vi finder det vigtigt at have kendskab til sygdommen samt symptomer herpå og beskriver her en sygehistorie, hvor prednisolon havde god effekt på SS.

SYGEHISTORIE

En 55-årig mand blev henvist til neurologisk ambulatorium. Han var tidligere rask, men havde haft et hovedtraume uden bevidsthedstab i forbindelse med et cykeluheld fem år tidligere. Patientens symptomer i form af svimmelhed opstod efter en operation for Dupuytrens kontraktur foretaget i generel anæstesi tre år før henvisningen. Svimmelheden progredierede, og han fik yderligere snurren i fødderne. Han fik tiltagende dårlig hørelse og øresusen, og hos en øre-næse-hals-læge fik han konstateret perceptivt høretab.

I ambulatoriet blev hørenedsættelsen genfundet. Der var ingen ekstremitetspareser. Knæ-hæl-forsøget var ataktisk, og patienten kunne pga. ataksi ikke udføre tandemgang. Fraset nedsat vibrationssans distalt for ankelledet på venstre side fandt man ved undersøgelsen af patientens sensorik normale forhold. Reflekserne fandtes normale.

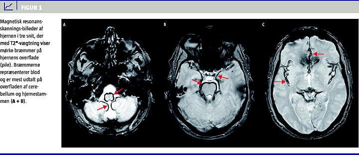
Der blev udført en magnetisk resonans (MR)-skanning af cerebrum. På standardsekvenserne fandt man normale forhold, men med T2*-vægtning blev der set »mørke bræmmer« på hjernens overflade, mest udtalt omkring hjernestammen og den øvre del af vermis (Figur 1 ). Patienten fik derfor diagnosen SS. Paraklinisk var cerebrospinalvæsken (CSV) positiv for xantokromi, der var 505 mio. erytrocytter/l, protein på 0,79 g/l og 10 mio. leukocytter/l. Der var ingen bakterier eller virus i CSV, og blodprøverne var normale.

For at finde en årsag til blødningen blev der foretaget både computertomografi og MR-angiografi, som viste normale forhold. Patienten blev tilbudt en digital subtraktionsangiografi, hvilket han ikke ønskede.

Da undersøgelser af patientens CSV tydede på et inflammatorisk respons, blev han sat i behandling med prednisolon, hvilket havde en markant effekt på svimmelheden, og han kunne igen gå tandemgang. Da vi forsøgte at nedtrappe steroiddosis til under 7,5 mg, recidiverede patientens symptomer, hvorfor han fortsatte på nævnte dosis.

DISKUSSION

SS er tidligere kun beskrevet kasuistisk. De karakteristiske symptomer er gangataksi og perceptivt høretab, men desuden kan der ses en lang række andre symptomer. Hyppigt ses der også affektion af de kortikospinale baner og sensoriske symptomer, og sjældnere ses der påvirkning af de kognitive funktioner, anfaldsfænomener, vandladningsforstyrrelser, synsforstyrrelser, hovedpine og anosmi [1].

SS skyldes kronisk blødning ud i subaraknoidalrummet. Her hæmolyserer blodet i mikroglia, og derved fremkommer hæmosiderinaflejringer i cerebellum og langs den ottende kranienerve. Aflejringen virker toksisk og beskadiger nervevævet [2]. SS er oftest langsomt progredierende, ca. en tredjedel får hydrocefalus, og ca. en fjerdedel bliver sengebundne [3].

Blødningskilden findes kun i godt halvdelen af tilfældene, og blødningen skyldes ofte dural patologi eller tumorer, sjældnere finder man vaskulære malformationer. Disponerende faktorer til SS er især traumer mod CNS og tidligere neurokirurgiske indgreb [3].

Diagnosen stilles ved MR-skanning af cerebrum, der på billeder med T2*-vægtede skanninger viser hypodense randzoner omkring cerebellum, hjernestammen og evt. langs kortikale fissurer, rygmarv og nerverødder. Ofte ses et øget antal blodlegemer samt protein og xantokromi i CSV.

Hvis der under udredningen af SS findes en blødning, består behandlingen af sygdommen i at standse denne blødning kirurgisk [1]. At der i halvdelen af sygehistorierne ikke findes en oplagt årsag til SS, har resulteret i overvejelser om en anden patologi og andre behandlingsstrategier. Hvis der ikke findes en blødningskilde, kan medicinsk behandling overvejes. Her har antioxidanter, steroider og jernkelerende stoffer været forsøgt. Førstnævnte har ikke været systematisk gennemprøvet, men man har påvist, at hæmosiderin kunne reduceres med det jernkelerende stof defiperon, hvilket er ved at blive nærmere undersøgt [4]. Steroider har været forsøgt i tre tilfælde, hvor det i det ene havde god effekt [5]. De to andre patienter havde muligvis andre årsager til deres symptomer.

Idet vores patient med SS havde symptomer på inflammation i spinalvæsken, fandt vi det forsvarligt at forsøge behandling med steroider. Nogle patienter med de idiopatiske former for SS har inflammatorisk sygdom, og man har derfor mistanke om inflammation som komponent i sygdommen. Steroider havde signifikant og reproducerbar effekt på SS hos patienten i sygehistorien.

src="/LF/images_ufl/ufl_bla.gif">
Anne Behrndtz, Dr. Margrethesvej 21, 2. tv., 8200 Aarhus N. E-mail: annebrink_81@hotmail.com

ANTAGET: 13. marts 2012

FØRST PÅ NETTET: 23. april 2012

INTERESSEKONFLIKTER: ingen

TAKSIGELSE: Neurologisk Afdeling, Aarhus Universitetshospital, takkes for magnetisk resonans-skannings-billeder.

Summary

Summary Superficial siderosis of the central nervous system treated with prednisolone Ugeskr Læger 2012;174(38):2237-2238 Superficial siderosis (SS) of the central nervous system is a rare disorder in which the most common clinical manifestations are gait ataxia, sensorineural deafness and affection of the corticospinal tracts. Knowledge of this disorder is important since early diagnosis and treatment is crucial for the prognosis. Furthermore, new treatment strategies are emerging. The effect of corticosteroids on SS without an identifiable bleeding source has been debated. We present a case with a good clinical effect of steroids.

Referencer

  1. Kumar N, Cohen-Gadol A, Wright RA et al. Superficial siderosis. Neurology 2006;66:1144-52.
  2. Koeppen AH, Michael SC, Li D et al. The pathology of superficial siderosis of the central nervous system. Acta Neuropathol 2008;116:371-82.
  3. Fearnley JM, Steavens JM, Rudge P. Superficial siderosis of the central nervous system. Brain 1995;118:1051-66.
  4. Levy M, Llinas RH. Defiperone reduces hemosiderin deposits in the brain of a patient with cerebral hemosiderosis. AJNR 2011;32:E1-E2.
  5. Le Rhun E, Soto Ares G, Pecheux et al. Superficial hemosiderisis of the central nervous system improved by corticisteroids. Rev Neurol(Paris) 2008;164;264-70.