Svær atypisk pneumoni med fund af makrolidresistent Mycoplasma pneumoniae


Anne Sofie Bruno Pedersen, Lars Østergaard & Sanne Jespersen
Infektion med Mycoplasma pneumoniae manifesterer sig hyppigst som øvre luftvejs-infektion. Som regel helbredes tilstanden uden antibiotisk behandling, men den kan udvikle sig til pneumoni. Modsat pneumoni med Streptococcus pneumoniae udvikler pneumoni med M. pneumoniae sig ofte over længere tid med moderat høj feber, hovedpine og langvarig, tør hoste. Diagnosen stilles ved positiv polymerasekædereaktion (PCR) på eksspektorat eller svælgpodning sammenholdt med fund af infiltrat på røntgenoptagelse af thorax. Førstevalgsbehandlingen både i primærsektor og på sygehus er et makrolidantibiotikum.
SYGEHISTORIE
En 47-årig kvinde blev indlagt på mistanke om pneumoni. Hun havde systemisk lupus erythematosus, vaskulitis, reumatoid artritis og type 1-diabetes, og fik fast immunsupprimerende behandling med azathioprin, hydroxycholoroquin og rituximab samt insulin på pumpe. Forud for indlæggelsen havde hendes praktiserende læge ordineret tablet primcillin og efterfølgende clarithromycin, da hun havde haft hoste igennem tre uger. Ved indlæggelsen fandt man følgende værdier: temperatur 39,7 °C, iltsaturation 95% på 1 l ilt, og respirationsfrekvens 20/min. Ved stetoskopi var der krepitation basalt bilateralt. I blodprøver fandtes der en
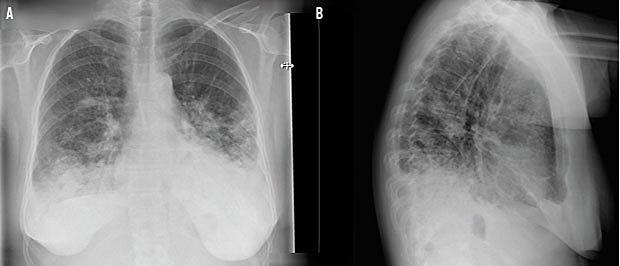
C-reaktivt protein (CRP)-koncentration på 124 mg/l, men leukocyttallet var inden for normalområdet. En røntgenundersøgelse af thorax viste bilateral pneumoni. Man påbegyndte behandling med intravenøst givet benzylpenicillin og clarithromycin samt pauserede den immunsupprimerende behandling. Over fire døgn steg CRP til 264 mg/l (Figur 1), hvorfor man udskiftede benzylpenicillin med piperacillin med tazobactam (pip/tazo), og patienten blev overflyttet til en infektionsmedicinsk afdeling. Et ekspektorat var positivt for M. pneumoniae-DNA ved PCR. Dyrkning af ekspektoratet var uden vækst og med negativ PCR for Legionella pneumophila, Chlamydophila pneumoniae, influenza A + B-virus, parainfluenzavirus, adenovirus og respiratorisk syncytialvirus. Efter behandling med pip/tazo i syv døgn og clarithromycin i ti døgn steg CRP-koncentrationen til 239 mg/l og leukocytkoncentrationen til 13,4 × 109/l (Figur 1). Klinisk var der forværring med brug af accessoriske respirationsmuskler, tiltagende tør hoste og øget iltbehov. En røntgenundersøgelse af thorax viste progression af de infiltrative forandringer. Der blev nu rejst mistanke om makrolidresistent M. pneumoniae, og clarithromycin blev udskiftet med tablet moxifloxacin. Samtidig blev der rekvireret svælgpodning til undersøgelse for M. pneumoniae-makrolidresistens, hvilket blev påvist. Blot et døgn efter påbegyndelse af moxifloxacinbehandling faldt CRP-koncentra-
tionen til 176 mg/l, og efter få døgn var der subjektiv bedring. Patienten kunne udskrives syv dage efter påbegyndelsen af moxifloxacinbehandlingen efter en samlet indlæggelse på tre uger (Figur 1).
DISKUSSION
Hos patienten i sygehistorien blev diagnosen M. pneumoniae stillet på baggrund af infiltrater set på en røntgenoptagelse og et ekspektorat, der var positivt for
M. pneumoniae, mens makrolidresistensen blev fundet ved en svælgpodning, idet patienten på daværende tidspunkt ikke kunne ekspektorere. Patienten havde et protraheret forløb, også forud for indlæggelsen, hvilket er typisk for infektion med M. pneumoniae. Retrospektivt kunne man have haft overvejelse om makrolidresistens tidligere i forløbet, men man var afventende med at skifte antibiotikastrategi, idet den immunsupprimerende behandling også kunne forklare det langvarige sygdomsforløb. Endvidere undersøges der ikke systematisk for makrolidresistens, da det ikke er et hyppigt fund.
Statens Serum Institut tilbyder undersøgelse for
M. pneumoniae-resistens ved sekventering af en sekvens på 17 nukleotider i domæne V af 23S rRNA hos M. pneumoniae, hvor mutationer kan forårsage makrolidresistens. Prøvemateriale, der findes positivt for
M. pneumoniae, kan analyseres [4].
I 2010-2011 og 2015-2016 var der i Danmark
M. pneumoniae-epidemier. Makrolidforbruget var højere i disse perioder, men data giver ikke mistanke om, at forbruget øgede makrolidresistensen [1, 2]. Makrolidresistent M. pneumoniae er et stigende problem internationalt, dog primært i Asien [3]. I Danmark er der beskrevet makrolidresistens på kasuistisk basis [5].
Der vurderes at være en forekomst af makrolidresistente M. pneumoniae på ca. 2% i Danmark og under 10% i Europa. Man anbefaler i disse tilfælde behandling med et tetracyklin eller quinolon [2, 4]. Forekomsten er således fortsat relativt sjælden i Danmark, men man bør få mistanke om tilstanden ved verificeret
M. pneumoniae-pneumoni med manglende behandlingsrespons på makrolider. Patienter, som er inficerede med M. pneumoniae, diagnosticeres og behandles i mange forskellige specialer inklusive almen medicin, akutmedicin, pædiatri, geriatri samt infektions- og lungemedicin. Vi ønsker med denne kasuistik at udbrede kendskabet til makrolidresistent M. pneumoniae.
Korrespondance: Anne Sofie Bruno Pedersen.
E-mail: abrunopedersen@gmail.com
Antaget: 30. april 2018
Publiceret på Ugeskriftet.dk: 23. juli 2018
Interessekonflikter: ingen.
Taksigelse: Tak til Carsten Schade Larsen for indsendelse af prøvemateriale til resistensundersøgelse.
This is a case report of a 47-year-old woman, who was admitted to hospital, due to severe cough and fever. A chest X-ray showed bilateral infiltrates, and sputum was found positive for Mycoplasma pneumoniae. She received treatment with intravenous clarithromycin but did not recover. After ten days macrolide-resistant M. pneumoniae was found in a throat swab. Moxifloxacin was administered, and she recovered quickly afterwards. Macrolide-resistant M. pneumoniae is an increasing problem and should be suspected, when there is no clinical effect on macrolides. Quinolones or tetracyclines may be used, when macrolide-resistant M. pneumoniae is detected.
LITTERATUR
Uldum SA, Bangsborg JM, Gahrn-Hansen B et al. Epidemic of Mycoplasma pneumoniae infection in Denmark, 2010 and 2011. Eurosurveillance 2012;17:1-4.
Individuelt anmeldte sygdomstilfælde 2015. Mycoplasma pneumoniae-epidemien er aftagende. EPI-NYT uge 10 2016.
Cao B, Qu JX, Yin YD et al. Overview of antimicrobial options for Mycoplasma pneumoniae pneumonia: focus on macrolide resistance. Clin Respir J 2017;11:419-29.
https://www.ssi.dk/Diagnostik/DiagnostiskHaandbog/100-199/198.aspx (15. jan 2018).
Uldum SA, Amberg P, Jensen JF. Makrolidresistens hos Mycoplasma pneumoniae ved recidiv og langvarigt sygeforløb. Ugeskr Læger 2012;
174:730-1.