Symptomer på arteria spinalis anterior-syndrom hos patient med iskæmisk apopleksi og Takayasus arteritis


Nina Haarup Ravn1, Inger Havsteen2, Jonas Peter Eiberg3, 4, 5 & Per Meden6
Takayasus arteritis (TA) er en sjælden idiopatisk granulomatøs storkarsvaskulitis, der oftest rammer kvinder før 40-årsalderen [1]. Sygdommen involverer særligt aorta og dens store grene og resulterer i stenoser, hvorfor der ud over almene symptomer forekommer iskæmiske symptomer fra især hjerne, hjerte og ekstremiteter [2, 3].
Der ses ofte forsinkelse fra symptomdebut til diagnose [1], hvilket kan skyldes sygdommens sjældenhed, uspecifikke symptomer i den tidlige fase og heterogen præsentation. I et studie fandt man, at 29% af patienter med TA oplevede organiskæmi, som for 87% opstod omkring diagnosetidspunktet [3]. Cerebral iskæmi ses hos 15-20% af patienter med TA, og en varighed på mere end et år fra symptomdebut til diagnose øger risikoen for dette [4]. Iskæmiske skader medfører betydelig morbiditet, og 74% af patienter med TA oplever en mærkbar begrænsning af deres dagligdagsaktiviteter [2].
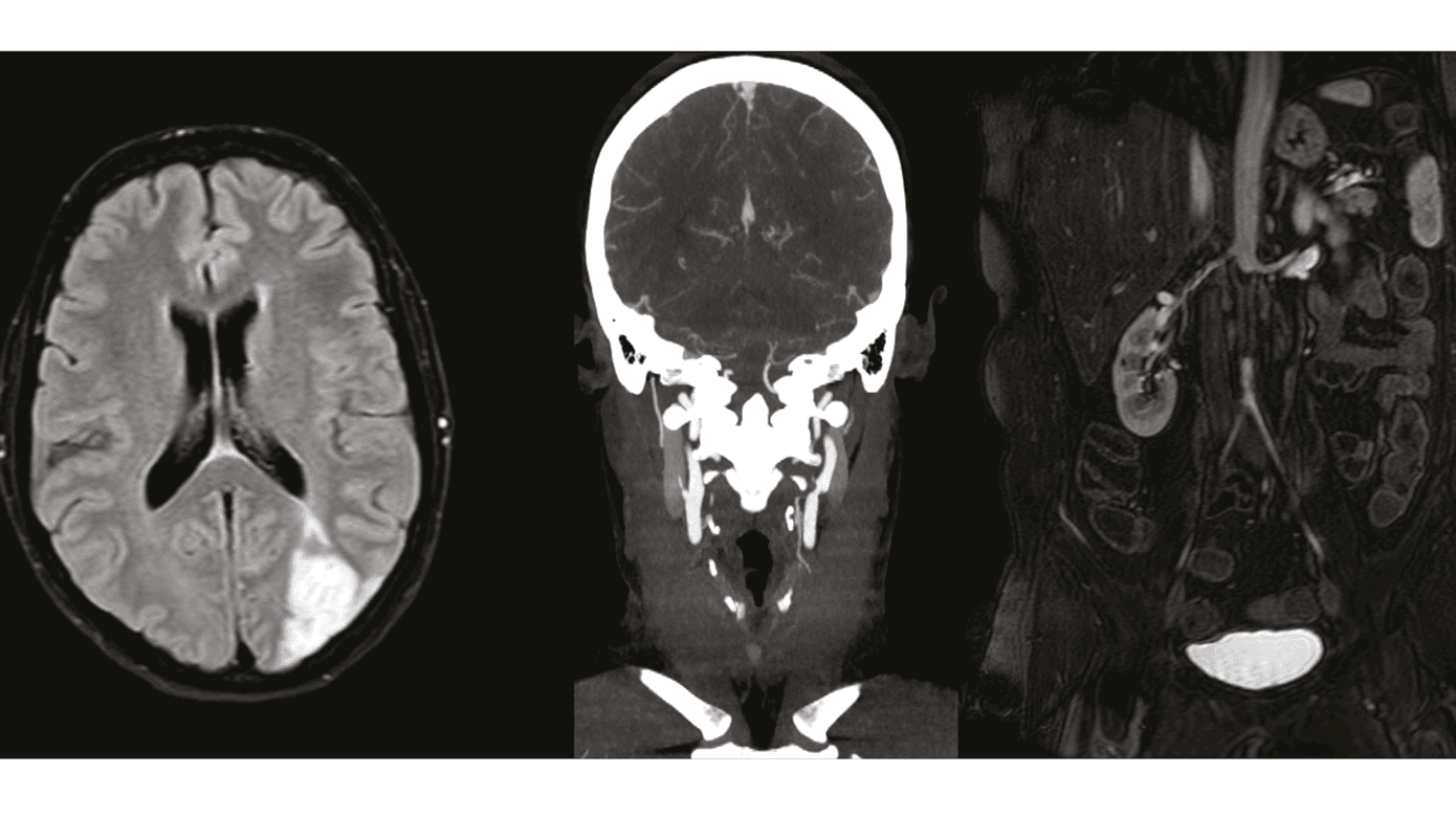
En 44-årig kvinde med Sjögrens syndrom og mangeårig fibromyalgi blev indlagt grundet hovedpine varende tre uger og ordmobiliseringsbesvær varende en uge, ændret finmotorik i højre hånd samt fokuserings- og forståelsesvanskeligheder ved skrivning og læsning. En neurologisk undersøgelse viste herudover højresidig øvre homonym kvadrantanopsi og visuel inattention mod højre. MR-skanning af cerebrum viste subakutte infarkter i venstre vandskelsområder, og CT-angiografi af hjerne og halskar viste svære stenoser proksimalt i venstre a. carotis interna, a. carotis externa og a. subclavia (Figur 1 A + B).
Der blev rejst mistanke om TA og påbegyndt behandling med to trombocythæmmere og prednisolon. Blodprøver viste normal CRP på 6 mg/l og forhøjet sedimentationsreaktion på 40 (normalt 2-20). Gentagen udredning viste forhøjede ß-2-glykoprotein- og antikardiolipinantistoffer, hvorfor hun blev diagnosticeret med antifosfolipidsyndrom, og tromboseprofylakse blev ændret til warfarin. Cerebrospinalvæske og helkrops-PET-CT var normale. Reumatologen vurderede, at hun var i det fibrotiske stadie af sygdommen, og prednisolon blev aftrappet.
Patienten klagede over smerter i venstre arm med forværring ved brug og havde gennem syv år haft tiltagende smerter i begge ben med forværring ved gang. Ved indlæggelsen kunne hun gå 50 meter med rollator, men var primært mobiliseret i kørestol. Det seneste år oplevede hun ved gang tab af følesans fra navlen og nedefter samt tab af kontrol over defækation og vandladning. CT-og MR-angiografi viste okklusion af aorta abdominalis infrarenalt med genåbning ved bifurkaturen og spinkle aa. iliacae (Figur 1C). MR-skanning af medulla spinalis var normal. Ved karkirurgisk vurdering fandt man manglende lyske- og fodpuls i begge ben, ankeltryk på 30-40 mmHg (normalt 10-20 mmHg højere end højeste armtryk), manglende håndledpuls venstresidigt samt blodtryk på 106/64 mmHg og 132/64 mmHg på hhv. venstre og højre arm. Patienten fik foretaget perkutan transluminal angioplastik af venstre a. subclavia og indsat en aorto-bifemoral protese. Histologisk undersøgelse af vævsprøve fra aorta viste svær cellefattig sklerose uden tegn på aktiv artritis.
Efter operationerne og genoptræning var patienten uden medullære symptomer og kunne efter et år gå 250 meter uden gangredskab på seks minutter. To år senere var der stationære kognitive vanskeligheder med let nedsat hukommelse og overblik.
TA har et trifasisk forløb med en præstenotisk fase med systemisk inflammation, en fase med progredierende inflammatoriske arterielle skader og en fibrotisk fase. Denne patient blev vurderet til at være i den fibrotiske fase på diagnosetidspunktet. Udviklingen af arterielle stenoser er klassisk tænkt inflammatorisk betinget, men ses også i den fibrotiske fase som følge af ikkeinflammatorisk vaskulær remodellering samt tiltagende indsnævring af arterielumen ved fibrosering af karvæggen [2].
Som noget specielt frembød patienten medullære symptomer ved fysisk aktivitet uden forandringer på MR-skanning. Dette er tidligere beskrevet hos patienter med svære stenoser af aorta abdominalis og veludviklede kollateraler. En foreslået mekanisme er, at a. spinalis anterior via lumbale arterier virker som et kollateralt system, der forsyner kar distalt for aortaokklusionen. Dermed kan der ved fysisk aktivitet opstå et stealfænomen fra den medullære karforsyning førende til intermitterende medullær iskæmi [5].
Denne patienthistorie fremhæver behovet for tidlig identifikation og behandling af TA med henblik på at mindske udviklingen af iskæmiske skader.
Korrespondance Per Meden. E-mail: per.meden@regionh.dk
Antaget 18. oktober 2023
Publiceret på ugeskriftet.dk 18. december 2023
Interessekonflikter ingen. Forfatternes ICMJE-formularer er tilgængelige sammen med artiklen på ugeskriftet.dk
Referencer findes i artiklen publiceret på ugeskriftet.dk
Artikelreference Ugeskr Læger 2023;185:V07230447
Nina Haarup Ravn, Inger Havsteen, Jonas Peter Eiberg & Per Meden
Ugeskr Læger 2023;185:V07230447
In this case report, a 44-year-old woman developed an ischaemic stroke with aphasia and right hemianopia. She revealed a history of ischaemic symptoms from the lower body including pain provoked by walking, numbness below the waist, and loss of continence that was reversed by rest. Angiography showed arterial stenosis in the left internal, left subclavian artery, and occlusion of the abdominal aorta. Takayasu arteritis was diagnosed with an additional antiphospholipid antibody syndrome. Reconstructive surgery improved her walking capacity, spinal cord symptoms disappeared, and new ischaemic events were not experienced.