Skip to main content

Tarmtuberkulose og adenokarcinom hos en rumænsk mand

Kristian Buch1, Erica Gould Christiansen2 & Anne-Marie Skau3

31. jul. 2017
4 min.

Interkurrente sygdomme skaber ofte forvirring og risikerer at føre til fejltolkning vedrørende muligheden for kurativ behandling. I 2015 ramte tuberkulose 10,8 mio. mennesker på verdensplan [1]. Gastrointestinal tuberkulose er på verdensplan den sjettehyppigste form (3-5%) for ekstrapulmonal tuberkulose og forveksles ofte med mb. Crohn eller malign tarmsygdom [2]. I det følgende gennemgås et tilfælde af tarmtuberkulose og malign tarmsygdom hos samme patient for at henlede opmærksomheden på, at patienter med tarmtuberkulose kan have flere sygdomme.

SYGEHISTORIE

En 57-årig rumænsk mand blev indlagt efter at have haft feber og mavesmerter gennem fire uger. Efter antibiotisk behandling med tydelig klinisk og paraklinisk effekt fravalgte han yderligere udredning og lod sig udskrive mod givet råd.

Halvanden måned senere blev han genindlagt. Han havde haft et vægttab på 10-15 kg og havde feber samt mavesmerter. En CT af thorax/abdomen viste syv stenoserede tarmsegmenter og apikale infiltrater i lungerne. På mistanke om tuberkulose blev han overflyttet til en infektionsmedicinsk afdeling, hvor en positiv
quantiferontest og påvisning af syrefaste stave i fæces førte til medicinsk behandling for tarmtuberkulose. Han blev udskrevet til ambulant opfølgning.

I forbindelse med ambulant kontrol få uger senere blev han indlagt pga. tiltagende abdominalsmerter og fik kort tid efter fækulente opkastninger. En CT viste
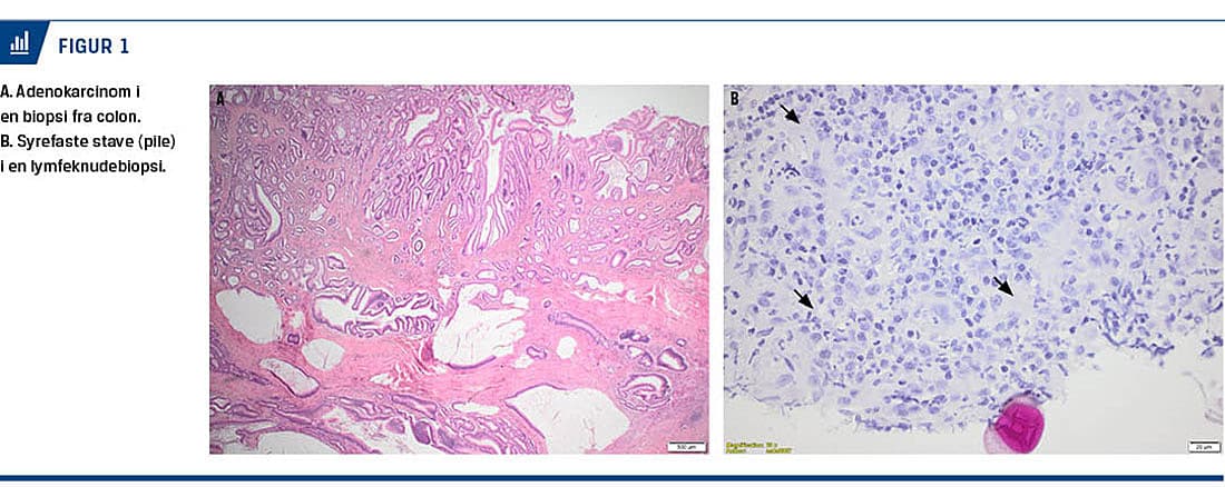
nu dilaterede tyndtarme og en større tumor i sigmoideum, hvilket var foreneligt med et tuberkulom og ileus. Ved sigmoideoskopi fandtes en malignitetssuspekt tumor, og biopsier viste overraskende adenokarcinom (Figur 1A).

Han blev herefter overflyttet til en gastrokirurgisk afdeling, hvor der ved en eksplorativ laparotomi blev foretaget aflastende stomi og taget biopsi fra stenosen omkring coecum. Tumoren blev ikke fjernet, da der fortsat var mistanke om dissemineret sygdom pga. malignsuspekte lymfeknuder i mesenteriet og de multiple tyndtarmsstenoser. Histologisk fandtes der ikke tegn på spredning af adenokarcinomet, men syrefaste stave i lymfeknuden (Figur 1B).

Der blev herefter foretaget en sigmoideumresektion med frie resektionsrande. Under et langt og kompliceret efterforløb verserede der en sag om patientens opholdstilladelse. I det stabile efterforløb blev han udvist og fløjet til Bukarest, hvorfor der ikke er yderligere oplysninger om hans tilstand efterfølgende.

DISKUSSION

Tuberkulose er en sjælden tilstand i Danmark, idet der i 2014 kun blev konstateret 312 tilfælde. Tuberkulose er særligt hyppig blandt indvandrere, socialt dårligt stillede danskere og grønlændere [3]. Den øgede migration gør, at det også fremover er en diagnose, der skal overvejes.

Hos patienten i sygehistorien var den lægefaglige udfordring at adskille symptomer fra den maligne tumor og symptomer fra tarmtuberkulosen. Mb. Crohn kunne hurtigt forkastes, men da diagnosen tarmtuberkulose var stillet, var det afgørende ikke at afvente en effekt af den medicinske behandling, men at forsætte udredningen på baggrund af patientens symptomer. Kun derfor blev adenokarcinomet påvist og senere operativt fjernet. Tarmtuberkulose er overrepræsenteret hos 20-40-årige mænd og viser sig i 55% af tilfældene som en tumor i coecum, og hos 46% findes der forstørrede lymfeknuder [4].

Tarmtuberkulose kan ikke blot ligne anden malignitet, men også i sjældne tilfælde forekomme samtidig med malign tarmsygdom, ofte med et lignende symptombillede [5]. Hos patienten i sygehistorien var der ingen tegn på spredning af adenokarcinomet, hvorfor prognosen måtte betragtes som værende god. Den tidlige diagnose af adenokarcinomet kan måske endda tilskrives symptomerne fra tarmtuberkulosen.

Korrespondance: Kristian Buch. E-mail: buch.kristian@gmail.com

Antaget: 24. maj 2017

Publiceret på Ugeskriftet.dk: 31. juli 2017

Interessekonflikter:

TAKSIGELSE: Gitte Kronborg, Infektionsmedicinsk Afdeling, Hvidovre Hospital, for hjælp til gennemgang af sygehistorie og kritisk gennemlæsning af manuskriptet.

Summary

Simultaneous intestinal tuberculosis and adenocarcinoma

Intestinal tuberculosis is a rare diagnosis, which may often be mistaken for mb. Crohn or cancer. We present a case of a 57-year-old man, who was diagnosed with intestinal tuberculosis. Due to increased abdominal pain, a computed tomography was performed, revealing a growing sigmoidal tumour, and the biopsies taken showed an adenocarcinoma. Further histological tests revealed no spread of cancer, and the patient could receive curative surgery. While intestinal tuberculosis can appear similar to colon cancer, it may also as in this case be an intercurrent disease.

Referencer

LITTERATUR

  1. Statens Serum Institut. Tuberkulose. www.ssi.dk/service/sygdomsleksikon/t/tuberkulose.aspx (9. mar 2017).

  2. Chong VH, Lim KS. Gastrointestinal tuberculosis. Singapore Med J 2009;50:638-45.

  3. WHO. Tuberculosis. www.who.int/mediacentre/factsheets/fs104/en/
    (9. mar 2017).

  4. Gan H, Mely M, Zhao J et al. An analysis of the clinical, endoscopic, and pathologic features of intestinal tuberculosis. J Clin Gastroenterol 2016;
    50:470-5.

  5. Husain M, Sachan P, Khan S et al. Co-existing abdominal tuberculosis and colon carcinoma: case report with review of literature. Internet J Surg 2016;13:2.