Testikulær schistosomiasis


Frederikke Anine Prætorius1 & Thomas Wagner2
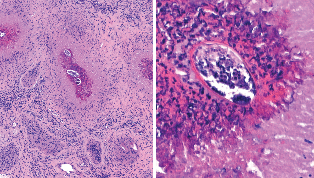
En 18-årig, dansk mand, nyligt hjemvendt til Danmark fra Ghana, blev henvist til urologisk afdeling grundet øm udfyldning i den ene testis. Testisserumtumormarkører var normale, og der blev fundet områder med uregelmæssigt ekkomønster samt nedsat blodtilførsel ved ultralydskanning, hvor malignitet ikke kunne udelukkes. Der blev derfor foretaget eksplorativ kirurgi. Peroperativt frysesnit viste nekrotiserende granulomatøs inflammation i testis, hvorfor der ikke blev foretaget orkiektomi. Kontrolsnit af frysesnit bekræftede granulomatøs inflammation, og der blev påvist schistosomiasisæg som årsag hertil. Patienten blev efterfølgende henvist til infektionsmedicinsk afdeling med henblik på behandling.
Schistosomiasis er en parasitsygdom, som smitter ved ophold i inficeret ferskvand i endemiske områder. Symptomerne afhænger af arten, som man er smittet med, men relaterer sig hyppigst til urinvejene eller mave-tarm-kanalen [1, 2]. Yderst sjældent findes ormene dog i testes, hvor de kan fejltolkes som kræftknuder [3, 4].
Denne sygehistorie illustrerer vigtigheden af differentialdiagnostisk tankegang, heriblandt rejseanamnese, når malignitet ikke er oplagt, samt betydningen af peroperative frysesnit som redskab i diagnostisk kirurgi.
Korrespondance Frederikke Anine Prætorius. E-mail: frederikke.anine.praetorius@regionh.dk
Publiceret på ugeskriftet.dk 13. maj 2024
Interessekonflikter ingen. Forfatternes ICMJE-formularer er tilgængelige sammen med artiklen på ugeskriftet.dk
Artikelreference Ugeskr Læger 2024;186:V72026.
doi 10.61409/V72026
Open Access under Creative Commons License CC BY-NC-ND 4.0