Total destruktion af den bruskede del af næsen efter kokainmisbrug


Stefanie Juul Hyldahl1 & Nina Nguyen2
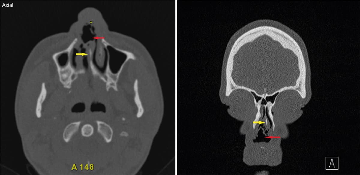
En patient i slut-20’erne har efter et flerårligt forbrug af intranasal kokain udviklet komplikationer i form af destruktion af columella og hele den bruskede del af septum. Dette har medført sammenfald af næsen. Patienten er generet af udtalt nasalstenose, skorpedannelse og gentagne infektioner med Staphylococcus aureus i det resterende væv i næsen. Der er i forløbet lavet en CT, som viser total borterosion af den bruskede del af septum. Det er ikke vurderet muligt at rekonstruere næsen kirurgisk, og patienten er henvist til vurdering i forhold til behandling med protese.
Kokain er en vasokonstriktor, som nedsætter blodgennemstrømningen i væv, og derved er der risiko for nekrose og vævsdestruktion. En kendt komplikation til kokainmisbrug er destruktion af den bruskede del af næseskillevæggen [1]. I nogle tilfælde ses der destruktion i en sådan grad, at både knogle og hud bliver påvirket. Der er i litteraturen også beskrevet tilfælde, hvor store dele af den hårde gane er destrueret [2, 3].
I Danmark ses et stigende forbrug af kokain blandt unge, og vi må derfor formode, at vi i fremtiden kommer til at se flere af de beskrevne komplikationer [4].
Korrespondance Stefanie Juul Hyldahl. E-mail: stefanie.juul.hyldahl@rsyd.dk
Publiceret på ugeskriftet.dk 11. juli 2022
Interessekonflikter ingen. Forfatternes ICMJE-formularer er tilgængelige sammen med artiklen på ugeskriftet.dk
Artikelreference Ugeskr Læger 2022;184:V71091
Kridel RWH, Delaney SW. Simultaneous septal perforation repair with septorhinoplasty: A 31-Year Experience. Facial Plast Surg. 2018;34(3):298-311.
Hélie F, Fournier J. Destructive lesions of the median line secondary to cocaine abuse. J Otolaryngol. 1997;26(1):67-9.
Trimarchi M, Bertazzoni G, Bussi M. Cocaine induced midline destructive lesions. Rhinology. 2014;52(2):104-11.
Sundhedsstyrelsen. Narkotikasituationen i Danmark 2017, 2017. https://www.sst.dk/da/udgivelser/2017/~/media/aa63b6154aea4587a773fc6ddd7fda12.ashx (5. jan 2021).