Skip to main content

Traumatisk udløst synovial femoralcyste fra hofteleddet verificeret ved MR-artrografi

Læge Bo Bech, overlæge Karen-Lisbeth Bay Dirksen, overlæge Uffe Jørgensen & overlæge Bo Jacobsen Amtssygehuset i Gentofte, Kirurgisk Gastroenterologisk Afdeling, Billeddiagnostisk Afdeling og Ortopædkirurgisk Afdeling

4. nov. 2005
4 min.

Den hyppigste årsag til en udfyldning i lysken er et hernie, men i 1-2% af tilfældene findes der anden ætiologi [1]. Vi præsenterer her et sjældent tilfælde af en synovial femoralcyste fra hofteleddet primært tolket som et femoralhernie.

Sygehistorie

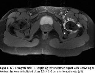
En 33-årig kvinde blev henvist til vurdering af en udfyldning i venstre lyske. Patienten havde haft symptomer i fire år med smerter ned på for- og medialsiden af venstre femur, specielt ved fysisk anstrengelse. En ultralydskanning viste en 2,5 × 2,5 × 3,7 cm stor cyste distalt for ligamentum inguinale medialt for vena femoralis med tegn på forbindelse op under ligamentet, og konklusionen var femoralhernie. Ved eksploration af lysken fandt man en femoralcyste på 5 × 5 cm distalt for ligamentum inguinale strækkende sig ned til bunden af karskeden. Cysten blev excideret og histologien viste en mesotelcyste uden malignitet. Få måneder efter operationen recidiverede symptomerne fra lysken. En ny ultralydskanning viste normale forhold, men ved efterfølgende MR-skanning fandt man recidiv i form af en 2 cm stor cyste. Ved ortopædkirurgisk vurdering blev der påvist let springhofte og knækkelyde fra hoften. For at verificere en mulig forbindelse til hoften forsøgte man ultralydvejledt fistulografi ved punktur af cysten, men teknisk uden held. Herefter foretog man under røntgengennemlysning punktur af hofteleddet og injicerede 20 ml NaCl med 0,4 ml gadolineum 0,5 mg/ml. En efterfølgende MR-artrografi med aksiale, parakoroneale og sagittale T1-vægtede sekvenser med fedtundertrykt signal viste normale forhold i hofteleddet og udsivning af kontrast langs muskelfibrene samt en diskret bræmme af kontrast i den 2,3 × 2,0 cm store femoralcyste. Efter at patienten havde været oppegående i knap en time, gentog man MR-skanningen og fik nu verificeret en fistel fra hofteleddet til femoralcysten (Figur 1 ). Hofteleddet blev artroskoperet gennem anterior adgang og man fandt fovea centralis helt dækket med fibrose og ligamentum teres revet fra og slået ind i leddet. Man lokaliserede den ved MR-artrografi påviste fistel beliggende proksimalt og anteriort under labrum. Fistelåbningen i ledkapslen blev lukket med to suturankre placeret i acetabulum, således at defekten i ledkapslen blev trukket ned til acetabulum. Postoperativ genoptræning førte til normalt funktionsniveau.

Ubehaget fra venstre lyske recidiverede, og en ultralydskanning viste femoralhernie. Ved laparoskopisk herniotomi fandtes et 2 × 2 cm stort femoralhernie, formentlig iatrogent efter den første eksploration af lysken. Patienten blev herefter symptomfri.

Ved nærmere udspørgen kunne patienten fortælle, at hun ca. fire år inden henvendelse til afdelingen i forbindelse med gymnastik blev tvunget ned i en splitposition med benene af sin ambitiøse gymnastiklærer. Bevægelsen udløste momentant et smæld og smerte fra venstre hofteled, og tilstanden udviklede sig til de kendte kroniske gener.

Diskussion

Fistulering gennem ledkapslen i hofteleddet er sjælden og forekommer hyppigst anteriort gennem det svage område mellem ligamentum iliofemorale og ligamentum pubofemorale [2]. Årsagen er et overtryk i leddet udløst af inflammation specielt rheumatoid artrit, infektion f.eks. tuberkuløs artrit [3], osteoartrose [2] eller som i dette tilfælde et traume. I litteraturen er der ikke tidligere beskrevet et lignende tilfælde med dannelse af en fra hofteleddet udgående synovial femoralcyste på traumatisk baggrund.

Ved fundet af en udfyldning i lysken, hvor man ikke umiddelbart formoder, at der er et hernie, er en grundig anamnese og detaljeret objektiv undersøgelse essentiel for at tilrettelægge et sufficient udredningsprogram. Ultralydskanning er førstevalg med specificitet over for hernie på op til 96% [4], afhængig af radiologens erfaring. Ved Doppler-ultralydskanning kan man klarlægge mulig relation til karrene. Ved mistanke om forbindelse til naboorganer, f.eks. hoften, symfysen [5], intraperitonealt eller retroperitonealt, kan der suppleres med MR-skanning evt. med artrografi. MR-artrografi viste i dette tilfælde sin force til verificering af forbindelsen til hofteleddet.

Tilstanden kan behandles artroskopisk.


Bo Bech, Norgesmindevej 24, DK-2900 Hellerup. E-mail: bo.bech@dadlnet.dk

Antaget: 31. juli 2003

Interessekonflikt: Ingen angivet

Summary

Summary Synovial femoral cyst caused by trauma to the hip verified by MRI arthrography Ugeskr Læger 2004;166:495-496 We present the rare case of a 33-year-old woman suspected of having a left femoral hernia. Initially a 5 × 5 cm femoral mesothelial cyst was removed. The cyst recurred, and MRI arthrography revealed a fistula from the hip joint to the cyst. Arthroscopy demonstrated damage to the hip joint, and the fistula was sealed with two suture ancers. Today the patient is without symptoms. Four years before the operation, the patient was physically forced down into a leg-split position by her ambitious fitness instructor, whereupon she felt a sudden pain from her left hip joint.

Referencer

  1. Jaffray DC, Nade S. Painless groin swelling associated with osteoarthritis of the hip. J R Coll Surg Edinb 1986;31:185-6.
  2. Forster BB, Connell DG, Scudamore CH. Synovial cyst of the hip: an unusual cause of an inguinal mass. Can J Surg 1989;32:133-4.
  3. Mitchison DA, Chalmers J. Musculoskeletal tuberculosis. I: Hughes SPF, Fitzgerald RH, eds. Musculoskeletal infections. Chicago: Year Book Medical Publishers, Inc., 1986:207.
  4. Della Santa V, Groebli Y. Diagnostic des voussures inguinocrurales non herniares. Ann Chir 2000;125:179-83.
  5. Morita M, Yamada H, Terahata S et al. Pseudo-synovial cyst arising at the pubic bone region and forming a large femoral-inguinal mass. J Rheumatol 1997;24:396-9.