Skip to main content

Tubulointerstitiel nefritis og uveitis-syndrom

Astrid Thaarup Matthesen, Jesper Thaarup, Søren Hagstrøm, Kirstine Thaarup Matthesen & Kristina Thorsteinsson

21. mar. 2022
4 min.

Uveitis og tubulointerstitiel nefritis (TIN) er relativt sjældne sygdomme hos børn, men de kan give anledning til alvorlige oftalmologiske og renale komplikationer og sequelae [1, 2]. Ofte er uveitis idiopatisk, men kan ses som led i systemsygdomme, hyppigst juvenil idiopatisk artritis [1]. Tubulointerstitiel nefritis og uveitis (TINU)-syndrom er en sjælden tilstand, hvor en tværfaglig pædiatrisk og oftalmologisk udredning, behandling og opfølgning er vigtig [3-5].

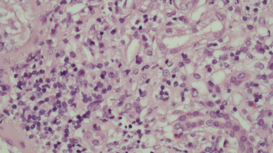
Lysmikroskopi af hæmatoxylin-eosin-farvet nyrebiopsi. Der ses interstitiel inflammation med rigelig infiltration af lymfocytter samt enkelte plasmaceller og neutrofile granulocytter. Tubuli og blodkar er upåfaldende.

SYGEHISTORIE

En 14 år gammel tidligere rask dreng blev set med et akut opstået rødt øje og sløret syn. Han havde en måneds anamnese med almensymptomer, lette mavesmerter og et vægttab på 4 kg. Man fandt unilateral anterior uveitis og behandlede med topikal steroid med god effekt. En måned senere fandt man bilateral anterior uveitis og henviste til oftalmologisk afdeling. Fraset uveitis var den objektive undersøgelse uden positive fund, og han var afebril og normotensiv. Ved oftalmologisk undersøgelse fandtes bilateral uveitis med cellulær lysvej med op til otte celler pr. lysvej samt celler (snowballs) i corpus vitreum. Der fandtes normal synsstyrke. Drengen blev behandlet med topikal steroid i en måned med fuld remission.

Tre måneder efter symptomdebut blev han henvist til en børneafdeling til udredning for systemsygdom. Her var han klinisk rask uden almensymptomer eller gener fra led, hud, lunger eller abdomen, og den objektive undersøgelse var upåfaldende. Der blev ikke fundet udslæt, og ledundersøgelsen var normal. Der var ingen forudgående infektioner eller medicinindtagelse.

Biokemisk fandtes normale værdier fraset forhøjede niveauer af kreatinin og karbamid samt let hæmoglobinuri (Tabel 1). U-albumin-kreatinin-ratio og UL-skanning af nyrerne var normale. Kreatininnieauet faldt spontant fra 123 til 111 μmol/l over en måned. Man havde mistanke om TINU-syndrom.

Fire måneder efter symptomdebut fik drengen recidiv af bilateral uveitis med cellulær lysvej i såvel det anteriore som det posteriore kammer uden tilfredsstillende behandlingsrespons på topikal steroid. Man tillagde peroral prednison 50 mg dagligt i en uge med hurtigt svind af uveitis, hvorefter behandlingen med peroral og topikal steroid blev udtrappet over fem uger.

Et fornyet recidiv af bilateral anterior uveitis tre måneder senere svandt på få ugers topikal steroidbehandling.

Ni måneder efter debut af uveitis fik drengen imidlertid almensymptomer med nedsat appetit og træthed. Den objektive undersøgelse var fortsat uden positive fund, og han var afebril, normotensiv og uden biokemiske eller oftalmologiske tegn på inflammation, men med stigende niveau af kreatinin, proteinuri, forhøjet u-beta-2-mikroglobulin, men uden glukosuri. En nyrebiopsi viste interstitiel inflammation med infiltration af lymfocytter og enkelte plasmaceller. Han blev behandlet med prednison 50 mg dagligt i seks uger med hurtigt faldende kreatininniveau. Man aftrappede steroidbehandlingen til ophør efter seks måneders behandling, hvor drengen var klinisk rask med et kreatininniveau på 100 μmol/l og normal urinanalyse fraset stix-hæmoglobinuri (3+). To år efter symptomdebut var han fortsat klinisk rask med et kreatininniveau på 88 μmol/l, ingen proteinuri og normale forhold uden sequelae ved oftalmologisk undersøgelse.

DISKUSSION

TINU-syndrom er en sjælden tilstand, som overvejende er kasuistisk beskrevet i litteraturen, og er årsag til under 2% af uveitis og op til 31% af TIN hos børn [2-5]. Årsagen er ukendt, men menes at være en kombination af værtsfaktorer, herunder vævstyper, og eksterne triggere, bl.a. medicin og infektioner [3-5]. Patogenesen er autoimmun med holdepunkt for dysregulering af elementer i både det innate og det adaptive immunsystem humoralt og cellulært [3-5]. Ofte ses en asynkron debut af nyre- og øjensymptomer, hvor uveitis ikke sjældent opstår uger til måneder efter nefritis, majoriteten dog inden for tre måneder. Forløbet er ofte præget af vekslende behandlingsrespons og hyppige relaps [3-5]. Differentialdiagnostisk skal man bl.a. overveje sarkoidose, hvor man imidlertid ofte vil forvente lungesymptomer, forhøjet niveau af angiotensinkonverterende enzym og granulomer i biopsien [3, 5]. TIN behandles ofte konservativt eller med immunsuppression uanset fravær af prospektive randomiserede undersøgelser, mens uveitis behandles med topikal og/eller systemisk steroid eller anden immunsuppression [1-5]. Prognosen er god efter ofte langvarig behandling, og flertallet af patienterne får ingen sequelae [3-5].

Sygehistorien illustrerer vigtigheden af undersøgelse for nyresygdom (TIN) ved uveitis og ved TIN at udføre gentagne oftalmologiske undersøgelser. Ligeledes illustreres vigtigheden af langvarig, tværfaglig behandling og monitorering af patienter med TINU-syndrom.



Korrespondance Astrid Thaarup Matthesen. E-mail: thaarup.asse@gmail.com
Antaget 22. december 2021
Publiceret på ugeskriftet.dk 21. marts 2022
Interessekonflikter ingen. Forfatternes ICMJE-formularer er tilgængelige sammen med artiklen på ugeskriftet.dk
Referencer findes i artiklen publiceret på ugeskriftet.dk
Artikelreference Ugeskr Læger 2022;184:V08210643

Summary

Tubulointerstitial nephritis and uveitis syndrome

Astrid Thaarup Matthesen, Jesper Thaarup, Søren Hagstrøm, Kirstine Thaarup Matthesen & Kristina Thorsteinsson

Ugeskr Læger 2022;184:V08210643

Tubulointerstitial nephritis and uveitis (TINU) syndrome in children is an uncommon, underreported condition. Onset of renal and ocular symptoms is often not simultaneous with nephritis which may precede uveitis by several months. A variable treatment response and a propensity for relapse characterize the syndrome. This is a case report of a previously healthy 14-year-old boy with TINU syndrome, emphasizing the need for long-term interdisciplinary treatment and monitoring. Also, the importance of repetitive screening of patients with uveitis for renal disease and ophthalmological evaluation of children with nephritis is emphasized.

Referencer

Referencer

  1. Chan NS, Choi J, Cheung CMG. Pediatric uveitis. Asia-Pac J Ophthalmol. 2018;7(3):192-9.

  2. Ruebner RL, Fadrowski JJ. Tubulointerstitial nephritis. Pediatr Clin North Am. 2019;66(1):111-9.

  3. Clive DM, Vanguri VK. The syndrome of tubulointerstitial nephritis with uveitis (TINU). Am J Kidney Dis. 2018;72(1):118-28.

  4. Amaro D, Carreño E, Steeples LR et al. Tubulointerstitial nephritis and uveitis (TINU) syndrome: a review. Br J Ophthalmol. 2020;104(6):742-7.

  5. Pakzad-Vaezi K, Pepple KL. Tubulointerstitial nephritis and uveitis. Curr Opin Ophthalmol. 2017;28(6):629-35.