Aktuelt
Tymomer og thymuskarcinomer kræver kompleks og multidisciplinær behandling

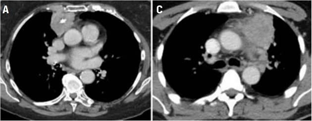
Eksempler på CT-billeder af tymom/thymuskarcinom med kontrast.
10. jan. 2020
1 min.

Tymomer og thymuskarcinomer er sjældne sygdomme, så kirurgisk og onkologisk behandling i Danmark er centraliseret. I statusartiklen beskriver Petersen et al den nyeste viden om diagnosticering og behandling af disse tumorer. Forfatterne konkluderer, at hvis tumoren vurderes til at være resektabel, er kirurgi første behandlingsvalg.
Læs statusartikel:
Behandling af tymom og thymuskarcinom
Peter Meidahl Petersen, Anna Kalhauge, Bodil Brandt et al